1/71
Cell Cycle and Cell Division
Name | Mastery | Learn | Test | Matching | Spaced | Call with Kai |
|---|
No analytics yet
Send a link to your students to track their progress
Interphase
DNA replication occurs, cells make extra proteins and organelles in preperation, not part of mitosis
interphase
majority of a cells life
all cells
which cells go through interphase
G1 stage
majority of interphase, cells grow and work, “listen” for cues to divide
S stage
synthesis making- DNA replication, make a complete second copy of the nuclear DNA
G2 stage
make extra organelles and proteins
G0 stage
where the cells stop listening cues to divide and focus 100% on working, ex: neurons
checkpoints
proteins and enzymes that regulate the cell cycle, controls when cells divide and helps remove damaged cells
M checkpoint
is everyone attached to the spindle?
yes- anaphase
no- fix it or apoptis
G1 checkpoint
did the receive enough cues to divide?
yes- move onto S phase
no- keep working
G2 checkpoint
do we have a second copy of DNA? Extra proteins and organelles?
yes- on to prophase
no- correct the issue or apoptis
cyclins
messenger molecule/activator
apoptis
programmed cell death, removes damaged, aged, or unecessary cells without causing inflammation
G1, S, G2, G0
stages of interphase
binary fission
performed by prokaryotic cells, asexual reproduction, includes mitochondria and chloroplast, DNA is attached directly to the plasma membrane
prokaryotic cells
where does binary fission take place
eukaryotic cells
where does mitosis take place
mitosis
division of the nucleus, growth, repair/replacement, asexual reproduction
chromosome
a pair of identical DNA, helices held together by proteins

kinetochore
protein “handle” used during mitosis and meiosis

centrome
“waist” of the chromosome, location can vary across chromosomes
P arm
short arm of a chromosome
Q arm
long arm of a chromosome
chromatid
1 DNA helix

mitotic spindle
equally divide DNA helices to form 2 complete sets
microtubules
make up mitotic spindle, largest element of the cytoskeleton
astral microtubules
position the spindles
kinetochore microtubules
shrinks and pulls apart the chromosome
polar microtubules
grow and push the poles the apart
centrioles
found in pairs, only in animal cells, made of microtubules, help arrange the spindle fibers
prophase, metaphase, anaphase, telophase
mitosis stages
prophase
DNA condenses, nuclear envelope and nucleolus disappear, spindle forms and attaches to the chromosome
anaphase
chromosomes split, chromatids migrate to opposite sides
telophase
spindle disappears, DNA relaxes, nuclear envelope and nucleolus reappear
cytokinesis
division of the cytoplasm
telophase, not during mitosis
when does cytokinesis occur
meiosis
sexual reproduction
meiosis is sexual reproduction, mitosis is asexual reproduction
what is the difference between meiosis and mitosis
homologous chromosomes

homologs

chromatids

prophase 1, metaphase 1, anaphase 1, telophase 1, prophase 2, metaphase 2, anaphase 2, telophase 2
stages of meiosis
prophase 1
DNA condenses, homologous chromosomes are formed, crossing over occurs, nuclear envelope and nucleolus disappear, spindle forms and attaches
metaphase 1
homologous chromosomes line up, M checkpoint
anaphase 1
homologous chromosomes split, homologs migrate to opposite poles
telophase 1
cells may do some or all of the following:
DNA relaxes, nuclear envelope and nucleolus reappear, spindle disappears
interkinesis
optional phase, cells make extra proteins and organelles in preperation for meiosis
prophase 2
DNA condenses, homologs form, nuclear envelope and nucleolus disappear
metaphase 2
homologs line up, M checkpoint
anaphase 2
homologs split, chromatids migrate to opposite poles
telophase 2
DNA relaxes, nuclear envelope and nucleolus reappear, spindle disappears, incomplete split of cytoplasm
get rid of damaged cells, help shape our body during development, get rid of old cells
reasons to undergo apoptis
mitosis and cytokinesis
the process of cell division involves the two stages...
A
which is the astral microtubule

E
which is the kinetochore microtubule

D
which is the polar microtubules

no
does DNA replication occur during Mitosis
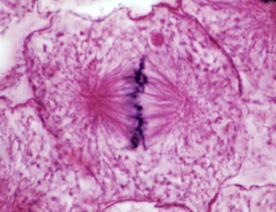
metaphase
what stage of mitosis is this

metaphase
The chromosomes line up randomly at the equator of the cell during
bacteria cells
this process if performed by

kinetochore
acts as a handle where a microtubule attaches to the chromosome
meiosis
chromosome number is cut in half (2n → 1n)
used to produce gametes
involved crossing over which increases diversity of offspring
involved in sexual reproduction
prophase
The chromosomes shorten and thicken, becoming visible, during
prophase
what is this stage of mitosis

telophase 2
Nuclear membrane reforms, cytoplasm divides, 4 daughter cells formed
interphase
The portion of the cell cycle when a cell is not dividing and instead performs normal cellular processes is called
mitosis
somatic cells undergo
meiosis
germ cells undergo
binary fission
bacterial cells undergo
2
diploid cells have how many copies of each chromosome
diploid
containing two complete sets of chromosomes, one from each parent
haploid
having a single set of unpaired chromosomes