1/53
Looks like no tags are added yet.
Name | Mastery | Learn | Test | Matching | Spaced | Call with Kai |
|---|
No analytics yet
Send a link to your students to track their progress
what is the purpose of mitosis
growth and to increase the number of cells
the majority of a cells life is spent in ______
interphase
what are the 3 periods of interphase
G1, S, G2
what happens during the G 1 phase
the cell grows larger
what happens during the S phase
replication occurs
what happens during the G 2 phase
the cell prepares to divide
what is it called when the cytoplasm divides
cytokinesis
the purpose of meiosis is
sexual reproduction
as a result of meiosis the number of chromosomes in each daughter cell called a ______ is _______
gamete is halved
at fertilization when male and female gametes fuse the chromosome number of the resulting ______ is restored to normal number
zygote
when a cell prepares to enter mitosis the chromosomes _______
condense into a tight coil
sister chromatids are connected by a
centromere
what is the apical meristem
meristems in the rapidly growing regions if the tip of the stem and roots
key features during interphase
distinct nucleus is available
2 or more nucleoli
nuclear envelope in tact

key features in prophase
condensing chromosomes
spindle fibers appear
nuclear envelope disappears
key features of metaphase
sister chromosomes line up in middle
spindle fibers attach to sister chromatids

key features in anaphase
sister chromatids separate (now called chromosomes again) and move towards opposite poles of the cell

key features of telophase
chromosomes reached opposite ends of poles
chromsomes decondense
spindle disappears
nuclear envelope reforms
key features of cytokinesis
typically starts while cell is in telophase
in plants a new cell plate forms
in animals a cleavage furrow forms
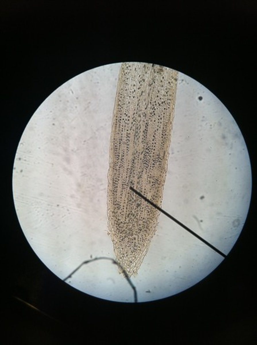
allium root tip
grid-like cells, all have nucleus, some undergoing mitosis

when a sperm fertilizes an ovum in an animal the resulting ___ begins a series of rapid divisions called cleavage
zygote
whitefish blastula
the cells we observed that were fertilized

somatic body cells in humans have _______ chromosomes
46
but there are only 23 different kinds of chromosomes
you have 2 of each kind (one from your mom and one from your dad) these are called homologous pairs
the number of different kinds of chromosomes, 23 in humans is referred to as
haploid (n) number of chromosomes
the total number of chromosomes in humans is 46 which is _____
diploid 2n
in mitosis a diploid parent cell produces _____________
2 diploid daughter cells
in meiosis a diploid parent cell produces _____________4 haploid daughter cells
the 4 haploid daughter cells produced my meiosis are __________
gametes
sperm in males
ova in females
the overall life cycle involves meiosis which _____ the number of chromosomes followed by restoration of the full set of chromosomes by fertilization in sexual reproduction
halves
Meiosis 1: Prophase 1
DNA condenses
each homologous pair of chromosomes pair resulting is a pair of sister chromatids called a tetrad
the nuclear envelope disappears

Meiosis 1: Metaphase 1
the tetrads line along the equator
the centrosome for one homologous in the tetrad attach to the spindle fibers
the centromere for the other attaches to the spindle fibers facing the other pole of the cell

meiosis 1: anaphase 1
the tetrad separates
one replicated chromosomes moves towards one side, the other on the other side

Meiosis 1: Telophase 1 and Cytokinesis
each pair of sister chromatids reaches its pole
cytokinesis occurs
in humans there are now 2 cells each with 23 chromosomes in the paired sister chromatid form
Meiosis 2: Prophase 2
chromosomes remain in sister chromatid form
chromosomes condenses

meiosis 2: metaphase 2
the centromere for each sister chromatid attaches to the spindle fibers facing one pole of the cell
sister chromatids migrate to the equator and line up with the centromeres

meiosis 2: anaphase 2
sister chromatids separate and move toward opposite poles

Meiosis 2: Telophase 2 and Cytokinesis
chromosomes reach opposite ends of the cell
nuclear envelope reforms
chromosomes unwind into chromatin
cytokinesis takes place
there are now 4 haploid daughter cells

independent assortment
during metaphase 1 when tetrads align along the equator of the cell with one homologue facing one pole and one with the other there is no rule that governs how they segregate. its random
the number of chromosome combination is dependent on the number of chromosomes in the organism
crossing over
introducing different allele combinations to the gametes
reshuffles some of the allele on the chromosomes to produce new combos of alleles
nondisjunction
Error in meiosis in which homologous chromosomes fail to separate.
spermatogenesis
meiosis of male gametes
produces sperm
occurs in testes
spermatogonia
diploid cells that give rise to gametes via meiosis
spermatids
four haploid cells that are formed when a diploid reproductive cell divides meiotically
the production of ova
oogenesis
meiosis of female gametes that occurs in the ovaries
the diploid female reproductive cell ________ does not undergo mitosis after the embryonic period therefore women are born with a finite number of potential ova
oogonium
the diploid oogium enlarges to a
primary oocyte
the secondary oocyte is released from the ovary during
ovulation
oocytes are housed in the
ovarian follocies
graffian follicles

process of gamete production in males vs females
males: spermatogenesis
females: oogenesis
the diploid repreductive cell destined to become a gamete in make vs female
male: spermatogonium
female: oogonium
gamete production occurs in
the ovaries or testes
males produce _____ viable gametes per meiotic division
4 viable sperm
females produce _____ viable gametes per meiotic division
1 viable egg