1/36
Looks like no tags are added yet.
Name | Mastery | Learn | Test | Matching | Spaced | Call with Kai |
|---|
No analytics yet
Send a link to your students to track their progress
True
T/F: Difficult clinical situations, e.g. minimal coronal tooth structure, gingival tissue impingement, or bridge abutments, cannot excuse the failure to properly isolate the treatment area with a rubber dam.
True
T/F: It is mandatory to use a rubber dam during endodontic treatment; failure to do so puts the patient (and therefore the dentist) at risk.
20% (73.6% without rubber dam, 93.3% with rubber dam)
According to Dr. Amato's study, using the rubber dam improves the success of post placement by what percent?
- Too difficult to use
- Time consuming
- Not available at practice
- Cost
- Patient complaint
- Insufficient training
- Badly decayed tooth
- Incomplete erupted
- Leakage
- Fear of aspiration of the clamp before placing the dental dam
What are some reasons dentists do not use a rubber dam?
- Control of cross-infection
- Protection
- Improving treatment efficient
What are the three main reasons for using a rubber dam?
Cross-infection
What type of concerns are the following?
- The use of the air turbine
- Formation of aerosols and droplets - contaminated with bacteria and blood
- Potential route for transmission of infectious diseases such as measles, tuberculosis, SARS, hepatitis and AIDS
Results in a significant reduction in the microbial (90% to 98%) content of air turbine aerosols produced during operative procedures
How does a rubber dam prevent cross-infection?
Protection
What type of concerns are the following?
1. Possible aspiration or swallowing of instruments, medicaments, irrigating solutions and tooth/material debris
2. Legal responsibility should these accidents occur
1. Avoids aspiration or swallowing
2. Protects you for legal lawsuits
3. It also retracts and protects the soft tissues (gingival tissues, tongue, lips and cheeks) from rotary and hand instruments, medicaments and potential the trauma of repeated manual manipulation
How does a rubber dam contribute to protection?
- Improves the access to operating field by retraction of soft tissues
- Improves visibility by providing a dry field, reducing mirror fogging and enhancing visual contrast
- Reduces flooding of the oral cavity with fluids, especially those with unpleasant taste [i.e. sodium hypochlorite (NaOCl)]. This eliminates the need for repeated change of cotton rolls and frequent rinsing by the patient
- Facilitating the practice of four-handed dentistry during endodontic treatment.
- Minimizes patients’ conversation during treatment and encouraging them to maintain their mouths open
How does a rubber dam enhance efficiency?
Instead of having to be careful about protecting the patient’s airways, controlling and retracting the soft tissues, both the operator and the dental assistant can concentrate on the endodontic procedure
What is the practice of four-handed dentistry during endodontic treatment?
Low contrast and two dark
Acceptable colors for rubber dams are blue, green, purple. black, grey, pink, and white. Why do you avoid light colors?
Thicker
What type of rubber dam has better resistance: thinner or thicker?
Largest hole
What size hole should you punch for the rubber dam for endo?
Orifice (where the rubber dam forceps will be attached)
ID the part of the clamp at 1

Arch
ID the part of the clamp at 2

Wing
ID the part of the clamp at 3

Arm
ID the part of the clamp at 4

Bow
ID the part of the clamp at 5

Winged
What type of clamp?

Wingless
What type of clamp?

Active
What type of clamp?

Passive
What type of clamp?

Molars
What teeth are these clamps used for?

Premolars
What teeth are these clamps used for?

Anterior
What teeth are these clamps used for?

- One wall intact, one wall broken
- Better grip for broken teeth
When can you use this modified clamp?

More space for high speed
How does a clamp with an increased bow to arch distance help in endo procedures?

1 - Placing the clamp before the rubber dam (clamp first)
2 - Placing the clamp and rubber dam together (wing technique)
3 - Placing the rubber dam first (rubber first)
4 - Possible variations (multiple teeth isolated)
What are four techniques to place a rubber dam?
Young's arch (typically avoid metal frame because it interferes with x-rays)
What type of frame is this that is typically used in endo cases?

1 - Adapt the clamp (ALWAYS use a floss before trying the clamp)
2 - Bring the rubber dam into palce
3 - Use a floss to invert the rubber dam
What are the steps for placing the clamp before the rubber dam?
Direct visualization of the clamp and tooth to be isolated. Allows control when placing and adapting the clamp
What are the advantages of placing the clamp first?
Wing Technique (Clamp, rubber dam and frame together)
Which technique does this show?

Rubber dam before clamp
Which technique does this show?

Cotton roll
What should be placed in the vestibule (under the thumb)?

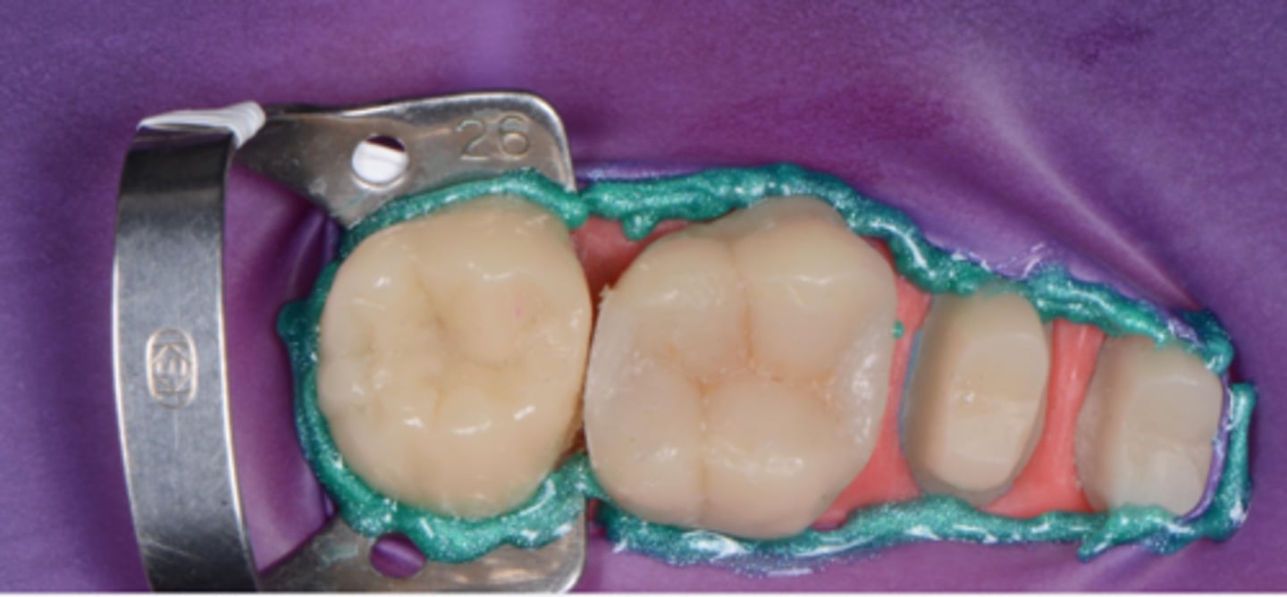
Gingival barrier
What is placed around the teeth, shown in teal?

Remove carries, might need diamond bur or spoon excavators
If there is soft tissue growing and could cause leakage with the rubber dam, what should you do?
