1/58
Looks like no tags are added yet.
Name | Mastery | Learn | Test | Matching | Spaced | Call with Kai |
|---|
No analytics yet
Send a link to your students to track their progress
complete or partial tear of medial or lateral collateral ligament
what defines a collateral ligament injury
sprain
a ligament injury is considered a (sprain/strain)...
mild
a 1st degree sprain is considered ___
moderate
a 2nd degree sprain is considered ___
complete
a 3nd degree sprain is considered ___
strain
a muscle tendon unit injury is considered a (sprain/strain)... and has no form of grading
limit varus-valgus motion of stifle
general function for medial and lateral collateral ligaments

injury to other primary and secondary restrains of stifle joint
injuries to M/L collateral lig usually occur w/ ____ and typically are the result of multiple ligament injuries from severe trauma

extended
the stifle is (extended/flexed) to examine for collateral injury during PE

medial
the valgus stress test evaluates the ____ collateral ligament

patient in lateral, one hand stabilize the femur and the other grasps tibia and applies upward/abduction force
briefly explain how to perform the valgus stress test to assess the medial collateral lig/MCL

lateral
the varus stress test evaluates the ____ collateral ligament

patient in lateral, one hand stabilize the femur and the other grasps tibia and applies inward/ adduction force
briefly explain how to perform the varus stress test to assess the lateral collateral lig/LCL

craniocaudal and medial-lateral RADs to assess bone fragments/avulsion associated with lig. damage as well as stress RADS to assess joint space
diagnostic imaging associated with collateral ligament damage

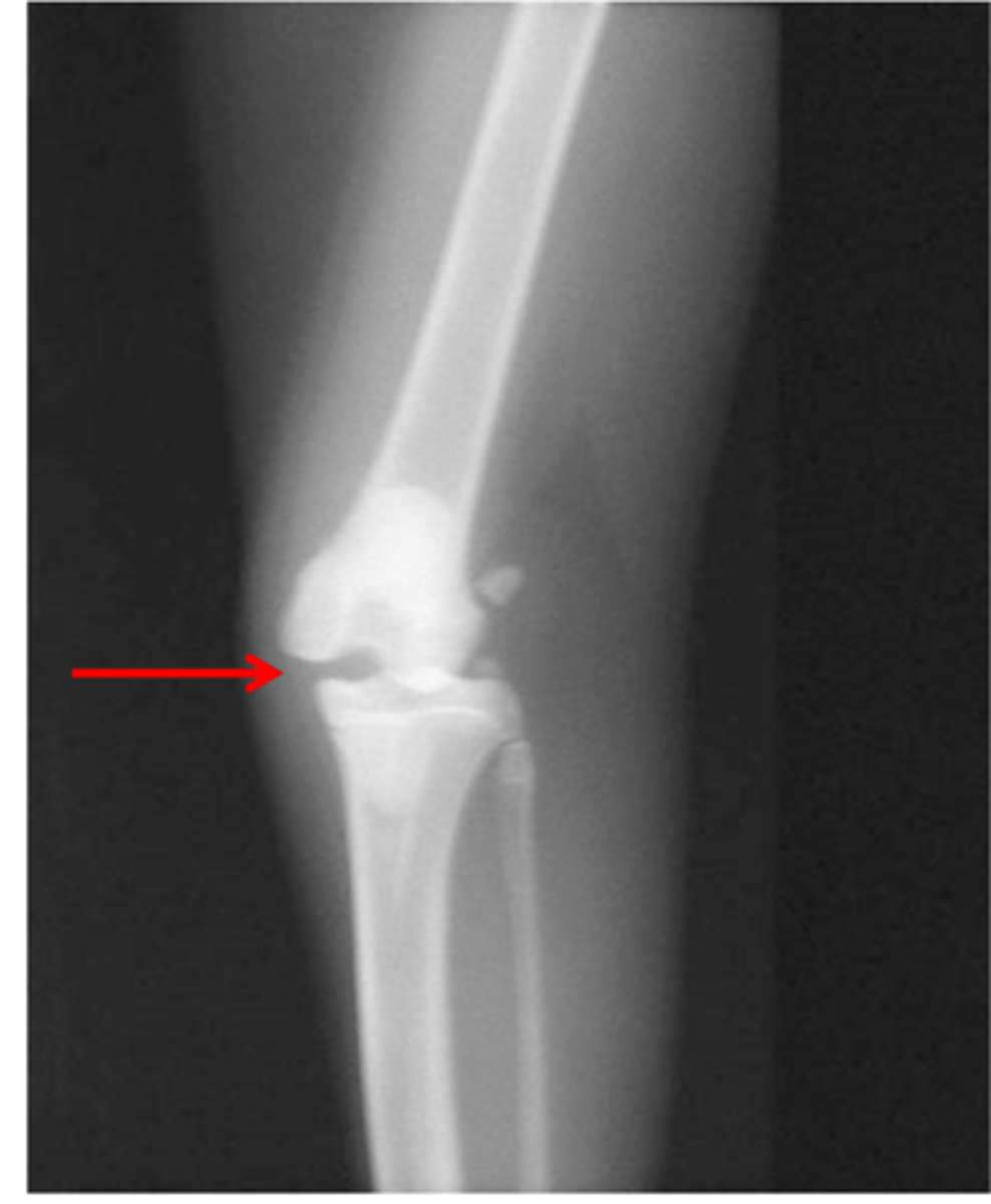
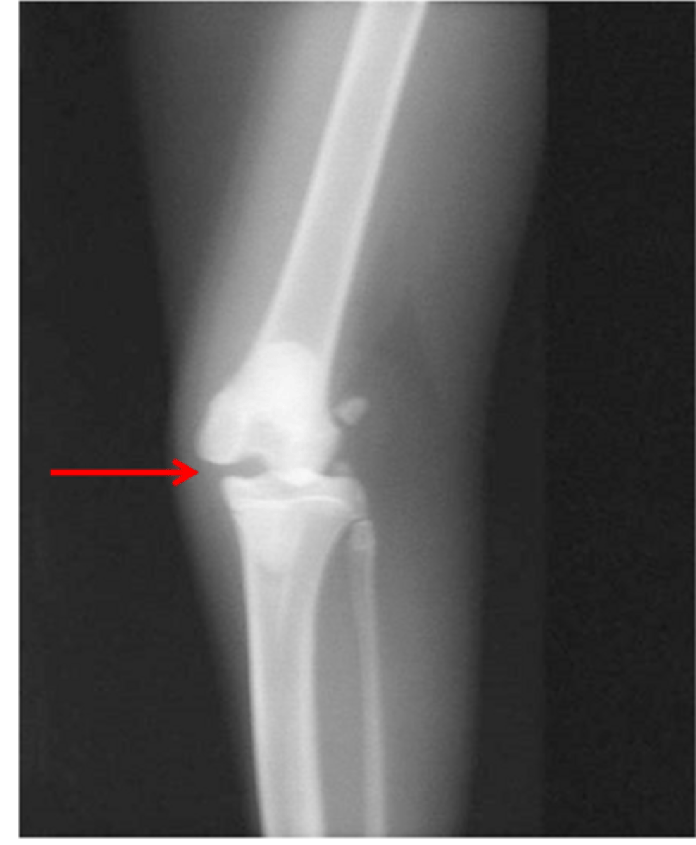
stress RAD of cat with MCL injury
what is shown in this image

1. muscle strains
2. cruciate ligament tears
3. nondisplaced physeal fractures in immature animals
what are some of the differential dx. associated with collateral lig. injury
degree of injury
conservative or surgical tx. for isolate collateral lig injury based on _____
1. minimal swelling and only slight opening of joint space w/ stress test
2. 1st degree sprain
indications for medical management of collateral lig. injury
1. moderate to severe swelling and significant opening of join space w/ stress test
2. greater injury to collateral restraints
3. 2nd and 3rd degree sprains
indications for sx. tx. of collateral lig. injury
1. collateral ligaments
2. meniscocapsular lig
3. joint capsule
what is included in the RECONSTRUCTION during sx. for tx. of collateral lig damage
all injured ligaments, tendons, and joint capsule
when sx. tx. collateral lig damage, we must be sure to repair...

1. point of failure is origin or insertion of ligament
2. an intrasubstance tear w/ large segments of ligament intact
primary repair of collateral ligaments done if
1. apply modified Robert Jones to prevent further damage
2. HBC patients need thoracic, cardiovascular, and abdominal evaluation
3. perioperative antibiotics and preemptive pain meds like NSAIDs, opioids, epidural analgesia
important preoperative managements of collateral ligament damage
origin and insertion points
knowledge of ____ is important for sx. of collateral ligaments
1. strong attachment to joint capsule and medial meniscus as it crosses medial joint line
2. lies deep to caudal sartorius
3. origin from medial femoral epicondyle and inserts on proximal tibial metaphysis
noteable anatomy for medial collateral ligament
peroneal (fibular) nerve---->otherwise loss of proprioception
we should be careful of the ______ when dissecting near the lateral collateral ligament
1. incise insertion at caudal head of sartorius mm. and deep fascia along proximal tibia
2. replace lig w/ spiked washer and cancellous bone screws
3. primary repair w/ locking-loop suture pattern and supplemental primary repair w/ screws & figure 8 repair
explain general process of repair of medial collateral injury

locking loop
what ligament/tendon suture pattern is shown here that is ideal for flat tendon/ligaments

three loop pulley
what ligament/tendon suture pattern is shown here that is ideal for round tendon/ligaments

bunnell suture
what ligament/tendon suture pattern is shown here that is has fallen out of favor as it cuts off blood supply

far-near-near-far
what ligament/tendon suture pattern is shown here

craniolateral approach; parapatella incision
when repairing lateral collateral lig. we use a _____ approach to expose the lig. to make our proximal-to-distal ______ incision through the fascia lata
peroneal nerve
as we continue our parapatellar incision to access out L collateral lig. distally 4cm below the tibial crest, we must you caution to isolate and protect the ____
fascia lata
we must reflect the ____ caudally in order to expose the lateral collateral lig. and lateral joint capsule
same as for the MCL w/ spiked washers, cancellous bone screws, and interlocking loops
how might you describe the repair process for the LCL...
good to excellent
prognosis for isolated collateral ligament tears is...
fair to guarded
prognosis for multiple ligament tears is...
HBC or other major trauma
multiple ligament tear injuries are typically caused by what
1. moderate to severe swelling and bruising of ST surrounding joint
2. torn collateral lig. may be hard to ID due to edematous CT
3. menisci often displaced and folded either cranially or caudally
in terms of surgical anatomy of the stifle following damage due to trauma...

loss of cranial and caudal cruciate lig. and disruption of medial restraints
what damage is notable in this deranged stifle joint

1. cranial and caudal cruciate ligament tears
2. failure of primary and secondary medial restraints
3. peripheral medial meniscal tears
what is the common triad of multiple ligament injuries
deranged stifle...multiple lig. injuries often associated w/ meniscal injury and stifle luxation
what condition is shown here

reviewed
OK you REALLY need to know this so review it!

arthroscopy and surgical exploration
how can we dx meniscal injuries

1. transection of meniscotibial ligament...A in the image
2. transection of midbody meniscus....B in the image
what are the location of release of the medial meniscus...process of protecting medial meniscus following sx. stabilization of the stifle in a procedure such as a TPLO

compromises the function of the meniscus by eliminating hoop stresses
meniscal release is controversial and has uncertain efficacy based on the fact that it...
1. femoral condyle increases contact w/ articular cartilage of tibial plateau to contribute to osteoarthritis
2. impairs function of meniscus to provide stability
the result of a midbody release or transection of meniscotibial lig leads to...
there are no clinical studies demonstrating the efficacy but it is still a widely used technique
in terms of clinical studies demonstrating the efficacy of meniscal release in decreasing incidence of post TPLO meniscal injury....
IS NOT AN OPTION as it accelerates DJD through continues back and forth sliding
medical management/conservative tx. of meniscal injuries...
a stable joint
when might rest +/- a splint be applicable in meniscal injury tx.

1. partial meniscectomy
2. primary repair of peripheral meniscal injuries
3. total meniscectomy
sx. tx. options for meniscal injury
medial
medial meniscectomy is easiest to perform through a ____ surgical approach
partial
experimentally a ______ meniscectomy carries less morbidity than a total meniscectomy
bucket handle tears
a partial meniscectomy is the tx. for ______ of the medial meniscus
peripheral tears
in dogs, primary repair is uncommon but reserved for what kind of meniscal injury
servere DJD in stifle
total meniscus removal induces....

total meniscectomy
what procedure is shown here

only when peripheral rim of meniscus is so damaged that the primary suturing of meniscocapsular tissue is not possible
when is total meniscectomy considered
OA/osteoarthritis
the more meniscal tissue removed the more rapidly ______ develops