1/170
Mosbys Exam Practice
Name | Mastery | Learn | Test | Matching | Spaced | Call with Kai |
|---|
No analytics yet
Send a link to your students to track their progress
Which of the following best describes the shape of the x-ray beam utilized in multidetector CT (MDCT)?
a. pencil beam
b. fan-shaped
c. electron beam
d. cone-shaped
cone shaped
Collimation of the CT x-ray beam occurs:
1. at the x-ray tube, regulating slice thickness
2. just beyond the patient, focusing off-axis transmitted radiation
3. before the detectors, limiting the amount of scatter radiation
absorbed
a. 1 only
b. 1 and 2 only
c. 1 and 3 only
d. 1, 2, and 3
1 and 3 only
CT numbers are usually provided in the form of:
a. hounsfield units
b. EMI numbers
c. cormacks
d. μ
hounsfield units
The mathematical technique allowing the reconstruction of
motion-free images from helically acquired CT data is called:
a. convolution
b. radon transformation
c. interpolation
d. Fourier reconstruction
interpolation
The full width at half maximum (FWHM) of a CT scanner is
used to describe:
a. spatial resolution
b. contrast resolution
c. noise
d. calibration accuracy
spatial resolution
A first-generation CT scanner consists of an x-ray tube and two
detectors that translate across the patient's head while rotating in
1-degree increments for a total of:
a. 45 degrees
b. 90 degrees
c. 180 degrees
d. 360 degrees
180 degrees
Which of the following abbreviations is used to identify a
computerized network that stores, retrieves, communicates, and
displays digital medical images?
a. WORM
b. PACS
c. DICOM
d. HIPAA
PACS
The CT “window” controls the __________ of the CT image as it appears to the viewer.
a. density and detail
b. spatial and contrast resolution
c. contrast and brightness
d. attenuation coefficient and Hounsfield value
contrast and brightness
Voxels with equal dimensions along the x-, y-, and z-axes are
referred to as:
a. prospective
b. isotropic
c. retrospective
d. anisotropic
isotropic
Which of the following artifacts is not affected by the CT
technologist?
a. motion
b. partial volume
c. edge gradient
d. ring
ring
When one is viewing a multiplanar reformation (MPR) image,
each pixel represents:
a. the maximum attenuation occurring within the voxel
b. the average attenuation occurring within the voxel
c. the minimum attenuation occurring within the voxel
d. all attenuation occurring within the voxel above a set threshold
value
the average attenuation occurring within the voxel
Statistical noise appears as __________ on a CT image.
a. decreased contrast
b. increased brightness
c. concentric circles
d. graininess
graininess
The component of the CT computer system responsible for the
data processing of image reconstruction is the:
a. pipeline memory
b. array processor
c. hard disk drive
d. RAM microprocessor
array processor
The loss of anatomic information between contiguous sections
due to inconsistent patient breathing is called:
a. cupping artifact
b. misregistration
c. overshoot artifact
d. out-of-field artifact
misregistration
Before a CT image can be reconstructed by a computer, the
transmission signal produced by the detectors must be converted
into numerical information by a(n):
a. kernel
b. analog-to-digital converter (ADC)
c. array processor
d. digital-to-analog converter (DAC)
analog-to-digital convertor (ADC)
A CT image is formed in part by projecting back all of the
attenuation values recorded during data acquisition onto a:
a. pixel
b. voxel
c. matrix
d. reformat
matrix
Areas of a CT image that contain abrupt changes in tissue
density are electronically represented by which of the following?
a. positive CT numbers
b. high spatial frequencies
c. negative CT numebrs
c. low spatial frequencies
high spatial frequencies

Which of the following components of CT image quality are
being evaluated in the figure?
1. low-contrast detectability
2. noise
3. uniformity
a. 2 only
b. 1 and 2 only
c. 1 and 3 only
d. 2 and 3 only
2 and 3 only

The differences in Hounsfield value exhibited in the regions of
interest (ROIs) measured on this CT image of a water-filled
phantom are most likely due to the phenomenon referred to as:
a. partial volume averaging
b. noise
c. beam hardening
d. detector drift
beam hardening

Which region of interest (ROI) on the figure demonstrates the
greatest amount of image noise?
a. 1
b. 2
c. 3
d. impossible to determine from the information provided
1
Which of the following terms is used to describe a set of rules
for solving a mathematical problem?
a. reconstruction
b. algorithm
c. function
d. array
algorithm
Which of the following factors does not affect the dimensions of
a voxel?
a. slice thickness
b. matrix size
c. kernel
d. display field of view
kernel
The size of the CT image displayed on a computer monitor can
be enlarged by increasing the:
1. display field of view (DFOV)
2. scan field of view (SFOV)
3. image magnification
a. 1 only
b. 3 only
c. 1 and 2 only
d. 1 and 3 only
3 only
The average photon energy of the primary beam of a CT
scanner operating at a tube potential of 120 kVp is
approximately:
a. 50 keV
b. 70 keV
c. 100 keV
d. 120 keV
70 keV
Multidetector CT (MDCT) systems typically employ which of
the following detector geometries?
a. first-generation
b. second-generation
c. third-generation
d. fourth-generation
third-generation
The acquisition of a series of CT images at a single anatomic
location over a set period is referred to as:
a. ultrafast CT
b. cine CT
c. conventional CT
d. temporal CT
cine CT
The rate at which a quantity of x-radiation emitted from a CT
tube passes through a unit area over a unit of time is called the:
a. effective mAs
b. photon flux
c. constant mAs
d. photon fluence
photon flux
An average CT number value for bone is:
a. +100 HU
b. +500 HU
c. +1000 HU
d. +3000 HU
+1000 HU
A standard CT image reconstructed on a 5122 matrix has a
digital size of approximately:
a. 0.5 MB
b. 3.0 MB
c. 5.0 MB
d. 10.0 MB
0.5 MB
The term used to describe the relationship between the linear
attenuation coefficient of an object and the calculated CT number
is:
a. linearity
b. mottle
c. quantum noise
d. spatial resolution
linearity
Quality control measurements to test the accuracy of the CT
scanner's calibration should be performed:
a. daily
b. weekly
c. monthly
d. annually
daily
The 3-D CT technique that includes all of the acquired voxel
information in the reconstructed model with adjustments to its
opacity is termed:
a. surface rendering
b. maximum intensity projection (MIP)
c. curved multiplanar reformation
d. volume rendering
volume rendering
Where is the high-frequency generator often located in a
modern CT scanner?
a. inside the gantry
b. just outside the scan room
c. beneath the CT table
d. inside the operator's console
inside the gantry
The smallest unit of information used in the binary language of
computers is the:
a. bit
b. chip
c. base
d. byte
byte
The continuous gantry rotation required by helical CT
acquisition is made possible by the application of:
a. electromagnetic bushings
b. titanium bearings
c. slip-rings
d. oil-cooled couplings
slip-rings
The process of applying a mathematical filter to remove
blurring from the reconstructed CT image is termed:
a. convolution
b. interpolation
c. iteration
d. z-filtration
convolution
Which of the following acquisitions may be characterized as
contiguous?
a. 2.5-mm sections reconstructed every 1.25 mm
b. 5.0-mm sections reconstructed every 7.5 mm
c. 3.75-mm sections reconstructed every 3.75 mm
d. 20-second cine acquisition with 1.25-mm sections
3.75-mm sections reconstructed every 3.75 mm
Pixels representing tissues with average attenuation coefficients
greater than that of water have which of the following types of
values?
a. extremely small
b. positive
c. negative
d. low contrast
positive
Digital CT images are networked and archived in accordance
with a standardized computer protocol identified by which of the
following abbreviations?
a. HIPAA
b. HTTP
c. TCP/IP
d. DICOM
DICOM
The contrast resolution of a CT scanner is not related to which
of the following?
a. focal spot size
b. section width
c. reconstruction algorithm
d. signal-to-noise ratio
focal spot size

The artifact present on the lateral borders of the image in the
figure most likely represents which of the following?
a. edge gradient
b. out-of-field artifact
c. tube arcing
d. beam hardening
out-of-field artifact

The image in the figure was produced using the following
parameters: large (full) scan field of view (SFOV); maximum
display field of view (DFOV) (48 cm); 200 mA, 120 kVp; soft
tissue algorithm. Which of the following technical adjustments
would serve to reduce the artifact present?
a. switching to a detail or bone algorithm
b. using a smaller SFOV
c. increasing the mA to 240 and the kVp to 140
d. centering the patient within the SFOV
centering the patient within the SFOV
The average photon energy of the CT x-ray beam can be
increased by:
a. increasing mAs
b. increasing filtration
c. increasing collimation
d. all of the above
increasing filtration
Which of the following is a solid-state device used to record the
light flashes given off by a scintillation crystal?
a. photomultiplier tube
b. anode
c. photodiode
d. input phosphor
photodiode
Automatic tube current modulation (ATCM) software is used
in current multidetector CT (MDCT) systems to control:
a. patient radiation dose
b. cardiac motion
c. timing of the contrast agent bolus
d. tissue perfusion assessment
patient radiation dose
The type of multidetector CT (MDCT) detector array that
contains multiple rows of detector elements, each of the same
length, is called a(n):
a. uniform matrix array
b. adaptive array
c. hybrid array
d. stationary array
uniform matrix array
A CT image is displayed in a window with a level of 0 and a
width of 500. Which of the following statements is correct?
a. Pixels with values between 0 HU and 500 HU will appear
white.
b. Pixels with values between −250 HU and +250 HU will be
assigned shades of gray.
c. Pixels with values greater than +500 HU will be black.
d. Pixels with values less than 0 HU will appear white.
Pixels with values between −250 HU and +250 HU will be
assigned shades of gray.
Reformatted CT image planes that lie perpendicular to the
original plane of acquisition may be described as:
a. oblique
b. orthogonal
c. obtuse
d. orthographic
orthogonal
Segmenting the data acquisition process into separate
components of smaller rotation angles may improve which of the
following components of CT image quality?
a. temporal resolution
b. longitudinal spatial resolution
c. contrast resolution
d. in-plane spatial resolution
temporal resolution
Which of the following image artifacts is unique to
multidetector CT (MDCT) systems?
a. step artifact
b. aliasing artifact
c. out-of-field artifact
d. cone beam artifact
cone beam artifact
Which of the following is considered an analytic form of image
reconstruction?
1. iterative technique
2. Fourier reconstruction
3. filtered back-projection
a. 1 only
b. 1 and 2 only
c. 2 and 3 only
2 and 3 only
A 16-slice MDCT system utilizes an adaptive array of 24
detectors, each ranging in size from 0.625 to 1.25 mm. What is the
maximum number of sections the system can acquire with each
rotation of the gantry?
a. 8
b. 16
c. 32
d. 64
16
The measurement of transmitted radiation made by an
individual detector is called a(n):
a. attenuation coefficient
b. Hounsfield value
c. CT number
d. ray sum
ray sum
The information included during the 3-D reconstruction of a
CT scan is controlled by the:
a. algorithm
b. window setting
c. threshold setting
d. grayscale map
threshold setting
The component of the CT scanner responsible for the
mathematical calculations of the image reconstruction process is
the:
a. data acquisition system (DAS)
b. analog-to-digital converter (ADC)
c. digital-to-analog converter (DAC)
d. array processor
array processor
Filament sizes for modern CT x-ray tubes range between:
a. 0.5 and 1.2 mm
b. 2.0 and 3.0 mm
c. 5.5 and 7.8 mm
d. 25.0 and 31.5 mm
0.5 and 1.2 mm
Which of the following would serve to increase spatial
resolution of a CT examinations using a large focal spot size, 5-
mm sections, and a 5122 matrix?
1. change to small focal spot size
2. acquire 2.5-mm sections
3. reconstruct images in a 3202 matrix
a. 1 only
b. 1 and 2 only
c. 1 and 3 only
d. 1, 2, and 3
1 and 2 onlt
A CT image is formed in part by projecting back all of the
attenuation values recorded during data acquisition onto a:
a. pixel
b. voxel
c. matrix
d. reformat
matrix
The mathematical process that allows multidetector CT
(MDCT) images to be reconstructed at any point along the
acquired volume is commonly referred to as:
a. iteration
b. filtered back-projection
c. Fourier reconstruction
d. z-filtering
z-filtering
Fourth-generation CT scanners use a __________ tube-detector
configuration.
a. rotate–translate
b. electron beam–stationary
c. rotate–stationary
d. rotate–rotate
rotate-stationary
Which of the following is considered an equipment-induced CT
image artifact?
a. step artifact
b. metallic artifact
c. cupping artifact
d. aliasing artifact
aliasing artifact
The measurement of CT system performance through quality
testing procedures and evaluation of the test results is referred to
as:
a. calibration
b. uniformity
c. quality assurance
d. linearity
quality assurance
During CT x-ray exposure, the product of the selected mA
setting and the scan time is called the:
a. effective mAs
b. peak mAs
c. absorbed mAs
d. constant mAs
constant mAs
Which of the following mathematical reconstruction methods
may be used by a CT system to decrease image noise and offer
patient dose savings?
a. convolution
b. iterative reconstruction
c. Fourier transform
d. back-projection
iterative reconstruction
What matrix size was used to reconstruct an image with a
display field of view (DFOV) of 25 cm and a pixel area 0.25 mm2?
a. 80 × 80 pixels
b. 256 × 256 pixels
c. 320 × 320 pixels
d. 512 × 512 pixels
512 × 512 pixels
When one is viewing a minimum intensity projection (min-IP)
image, each pixel represents:
a. the maximum attenuation occurring within the voxel
b. the average attenuation occurring within the voxel
c. the minimum attenuation occurring within the voxel
d. all attenuation occurring within the voxel above a set threshold
value
the minimum attenuation occurring within the voxel
Which of the following statements regarding predetector
collimation of the CT x-ray beam is true?
a. Predetector collimation reduces patient radiation dose.
b. Predetector collimation reduces the production of scatter radiation
c. Predetector collimation determines the scan field of view
(SFOV).
d. Predetector collimation removes scatter radiation before it
reaches the detectors.
Predetector collimation removes scatter radiation before it
reaches the detectors.
Which of the following would be considered the best method to
reduce respiratory motion on the CT image?
a. good patient–technologist communication
b. reduced scan times
c. immobilization devices
d. glucagon administration
good patient–technologist communication
Power output for a modern multidetector CT (MDCT) x-ray
tube has an approximate range of:
a. 3–5 kilowatts (kW)
b. 15–20 kilowatts (kW)
c. 40–48 kilowatts (kW)
d. 60–100 kilowatts (kW)
60–100 kilowatts (kW)
The mathematical manipulations required during the
reconstruction of a CT image are accomplished using a(n):
1. algorithm
2. kernel
3. mathematical filter function
a. 1 only
b. 1 and 2 only
c. 1 and 3 only
d. 1, 2, and 3
1, 2 and 3
When an operator reduces the scan field of view for a particular
body part, which of the following technical changes occurs?
1. The displayed image appears larger.
2. Spatial resolution increases.
3. A smaller number of detectors are activated.
4. The displayed image appears smaller.
A smaller number of detectors are activated.
An average CT number value for blood is:
a. −20 HU
b. +10 HU
c. +45 HU
d. +100 HU
+45 HU
The electronic combination of signals from adjacent detectors to
form a CT image is called:
a. binning
b. interpolation
c. z-filtering
d. partial volume averaging
binning
Which of the following technical adjustments may be employed
to improve the temporal resolution of a multidetector CT
(MDCT) system?
1. decrease in section width
2. image segmentation
3. physiologic gating
a. 1 only
b. 3 only
c. 1 and 2 only
d. 2 and 3 only
2 and 3
The streaking artifact that occurs in the area of the posterior
fossa during a CT examination of the brain may be referred to as:
a. cupping
b. the “boiled egg” artifact
c. stairstep
d. the Hounsfield bar
the Hounsfield bar
The relative accuracy between calculated CT numbers and their
respective linear attenuation coefficients is referred to as:
a. linearity
b. calibration
c. uniformity
d. contrast resolution
linearity
To maintain security and patient privacy when medical images
are transmitted across a network, the images may be coded in a
form decipherable only by software at the destination location.
This process is referred to as:
a. write-once, read-many (WORM)
b. Hypertext Transfer Protocol (HTTP)
c. teleradiology
d. encryption
encryption
Which of the following 3-D imaging techniques is utilized to
provide “fly-through” images during CT colonography?
a. orthographic volume rendering
b. shaded surface display (SSD)
c. perspective volume rendering
d. minimum intensity projection (min-IP)
perspective volume rendering
Which of the following sets of technical factors would yield an
isotropic data set when a multidetector CT (MDCT) image is
reconstructed using a 5122 matrix?
a. 5.0-mm sections, 17-cm DFOV
b. 3.0-mm sections, 25-cm DFOV
c. 1.25-mm sections, 48-cm DFOV
d. 0.625-mm sections, 32-cm DFOV
0.625-mm sections, 32-cm DFOV
Which of the following is not commonly used as a CT
scintillation detector material?
a. ceramic rare earth
b. silver halide
c. bismuth germanate
d. cadmium tungstate
silver halide
The mathematical technique that involves the estimation of an
unknown value from values on either side of it is known as:
a. filtering
b. interpolation
c. convolution
d. summation
interpolation
During which of the following CT examinations is a
misregistration artifact most likely to occur?
a. brain
b. pelvis
c. neck
d. abdomen
abdomen
In a single-slice CT (SSCT) system, which of the following
technical parameters may be adjusted retrospectively?
1. section width
2. section increment
3. reconstruction algorithm
a. 2 only
b. 1 and 2 only
c. 2 and 3 only
d. 1, 2, and 3
2 and 3 only
Bow-tie filters are employed in a CT x-ray system to reduce:
a. image noise
b. low spatial frequency signal
c. patient radiation dose
d. high spatial frequency signal
patient radiation dose
Which of the following technical factors is/are involved in the
determination of section width for multidetector CT (MDCT)images?
1. scan field of view (SFOV)
2. beam collimation
3. detector configuration
a. 2 only
b. 1 and 2 only
c. 1 and 3 only
d. 2 and 3 only
2 and 3 only
The fluctuation of CT numbers in an image of uniform,
homogeneous material may occur because of:
a. linearity
b. noise
c. aliasing
d. partial volume effect
noise
A region of interest (ROI) measurement placed over a portion
of a CT image provides which of the following?
a. distance (mm)
b. diameter (mm)
c. linear attenuation coefficient (μ)
d. average CT number (HU)
average CT number (HU)

Which of the following is the common term for the artifact
present on the image in the figure?
a. aliasing
b. streaking
c. edge gradient
d. tube arcing
streaking

Which of the following would be the most common cause of
the artifact in the figure?
a. metallic dental fillings
b. partial volume averaging
c. beam hardening
d. detector malfunction
metallic dental fillings

Reduction of the type of artifact seen in the figure on a coronal
multidetector CT (MDCT) view of the sinuses may be
accomplished through:
a. an increase in the mA
b. a decrease in the kVp
c. coronal multiplanar reformation (MPR) images built from an
axial acquisition
d. a reduction in the scan field of view (SFOV)
coronal multiplanar reformation (MPR) images built from an
axial acquisition
First-generation CT scanners used a method of data acquisition
based on a __________ principle.
a. multiplanar
b. rotation-only
c. translate–rotate
d. transaxial
translate–rotate
Compared with conventional radiography, computed
tomography produces diagnostic images with better:
a. low-contrast resolution
b. spatial resolution
c. minute detail
d. patient radiation dose reduction
low-contrast resolution
Writable CD and DVD media are optical disks that may be
described as:
a. read-only
b. lossy
c. write-once, read-many (WORM)
d. lossless
write-once, read-many (WORM)
Which of the following statements comparing the efficiency of
scintillation and gas ionization detectors is correct?
a. Both have approximately the same capture efficiency.
b. The scintillation detector has a higher capture efficiency.
c. Unlike the scintillation detector, the gas ionization detector has
a problem with afterglow.
d. Gas ionization detectors have a higher conversion efficiency.
The scintillation detector has a higher capture efficiency.
The data acquisition system (DAS) of a CT scanner is
responsible for:
1. measuring transmitted intensity
2. converting the transmission data into a digital signal
3. sending the digital information to the computer for processing
a. 1 only
b. 2 only
c. 1 and 3 only
d. 1, 2, and 3
1, 2 and 3
Which of the following is used to remove image blurring
during the back-projection method of CT image reconstruction?
1. z-filtering
2. convolution kernel
3. Feldkamp–Davis–Kress (FDK) algorithm
a. 2 only
b. 3 only
c. 1 and 2 only
d. 2 and 3 only
2 only
During CT x-ray production, the electromagnetic steering of
the electron beam from the cathode to two alternating targets is
referred to as:
a. prospective gating
b. ultrafast CT
c. twin CAT
d. flying focal spot
flying focal spot

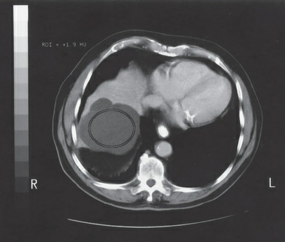
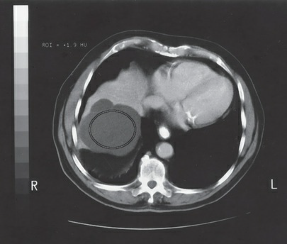
The region of interest (ROI) measurement in the figure
provides an average density of +1.9 HU. This material is most
likely:
a. fat
b. blood
c. tumor
d. water
water

The image in the figure was most likely displayed with the use
of which of the following window widths?
a. 70
b. 400
c. 1300
d. 3800
400
Areas of a CT image that contain minimal changes in tissue
density are electronically represented by:
a. positive CT numbers
b. high spatial frequencies
c. negative CT numbers
d. low spatial frequencies
low spatial frequencies