1/43
Looks like no tags are added yet.
Name | Mastery | Learn | Test | Matching | Spaced | Call with Kai |
|---|
No analytics yet
Send a link to your students to track their progress

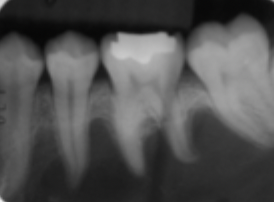
Periocoronits

Osteomyelitis

Radicular cycst

Resiudal cyst

Follicular cyst

KOT

Lateral periodontal cyst

Nasopalatine/incisive canal cyst

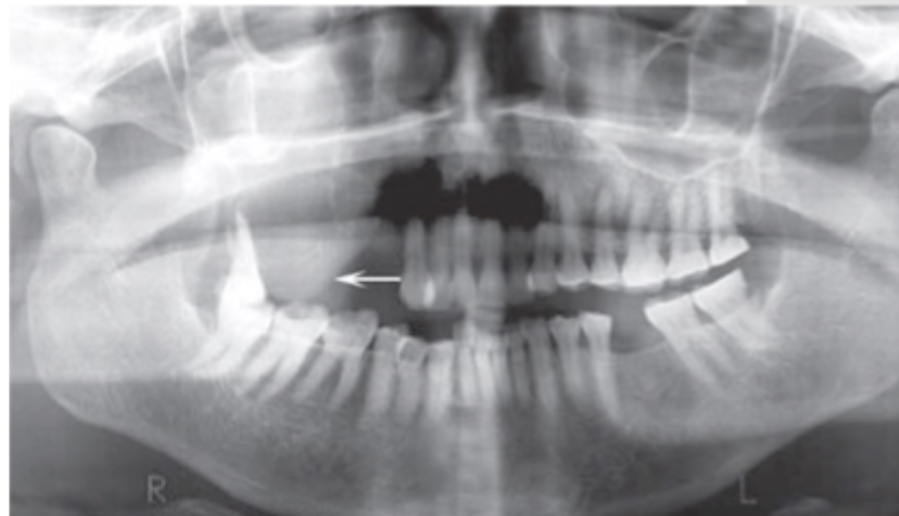
Simple bone cyst

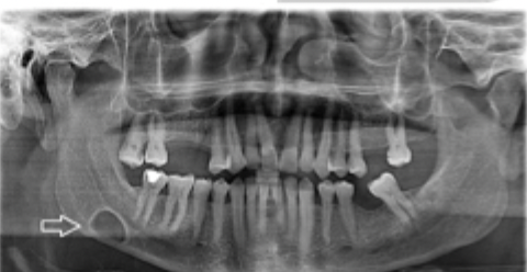
Stafne´s cavity

Squamous cell carcinoma

Osteosarcoma

Chondrosarcoma

Juvenile sarcoma

Multiple myeloma

Hyperplasia - torus palatinus

Hyperplasia - Mandibular torus

Enostones

Ameloblastoma

Odontoma

Odontogenic myxoma

Cementoblastoma

Neodontogenic osteoma

Gardners syndrome

Mesiodens

Distodens

Dilaceration

Dens invaginatus

Dens evaginatus

Amelogenesis imperfecta

Dentinogenesis imperfecta

Dentin dysplasia

Cleft

Complex odontoma

Compound odontoma

Dense bone island

Hyperplasia

Hypoplasia

Bifid condyle

Remodelation

Ankylosis

Osteoarthitis

Rheumatoid arthiris

Synovial chondromatosis