1/12
Looks like no tags are added yet.
Name | Mastery | Learn | Test | Matching | Spaced | Call with Kai |
|---|
No analytics yet
Send a link to your students to track their progress
state the main staining agents to know (3)
sodium fluorescein
rose bengal
lissamine green
what is sodium fl - appearance (3)
•A yellow/orange dye.
•Orange under white light.
Green (fluorescence) under UV light.
explain the application of sodium fl (3)
•Topical
•1% or 2% solution in drops (single-use minims) OR via Fluorescein impregnated strips called flourets.
•Sometimes combined with local anaesthetics, e.g., lignocaine 0.25%.
explain the mechanism of HOW sodium fl actually fluoresces - fluorescence (6)
•When excited by light, fluorescein absorbs lower wavelengths and emits light of higher wavelengths
•Typically absorbs in the blue spectrum 465-490nm
•Typically emits in the yellow-green spectrum 510-530nm (i.e., giving the fluorescence).
•The wavelength that most effectively excites fluorescein is ~ 490-495nm
•Hence, fluorescein is best viewed using a blue filter
• The intensity of the fluorescence is pH dependent - max. around pH 8
describe what is meant by - sodium fl is not a true stain (3)
•Water soluble - dissolves in the tear film and highlights areas of pooling - including areas of epithelial damage or disruption, where cell junctions are disrupted or where cells have been shed.
•Healthy intact corneal epithelial cells do not readily stain with fluorescein.
•Note the ‘green’ fluorescence indicating the area of ‘staining’

describe the different uses of sodium fl (4)
Detecting conjunctival and corneal lesions - corneal abrasion, dry eye disease, conjunctival follicles

Procedures - GP contact lens fitting, Mire visualisation GAT

Further Assessment - Nasal lacrimal duct patency, TBUT

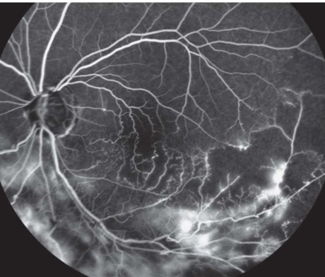
Hospital setting - Fluorescein Fundus Angiography (injected into eye)

what is rose bengal - appearance (2)
•A synthetic red xanthene dye - staining agent
•Red/pink under white light

how does rose bengal work (3)
Stains dead or devitalised tissue and mucous.
Does not stain living tissue
phototoxic - the substance becomes toxic to cells and tissues only when exposed to light of a specific wavelength, typically green light or natural sunlight - can cause damage
explain the application/use of rose bengal (5)
•It is used topically in the eye, applied via impregnated strips.
•Stings on insertion (contains NaOH).
•1% minims, Rosettes (impregnated strips).
•Use: Assessment of ocular surface integrity (diagnosis of keratoconjunctivitis sicca, dry eye etc.)
•Not readily available in the UK.
what is lissamine green - appearance (2)
•Vital green dye under white light
•Best viewed through a Wratten filter.

what does lissamine green do (2)
•Selectively stains dead or damaged cells and mucous (much like Rose Bengal) - but does not harm healthy cells allowing us to see damaged areas of the ocular surface (is not phototoxic)
•Does not stain living tissue
describe the application and use of lissamine green (3)
•Delivered using 1.5mg impregnated strips
•Does not sting - yay
•Indication for use: Assessment of ocular surface integrity, dry eye
state and describe 3 other less common staining agents - dont need to know really
Methylene Blue - Can stain dead cells like Rose Bengal - Has been used in lacrimal sac surgery
Indocyanine Green - Has been used in angiography to visualise choroidal vessels
Trypan Blue - Used in cataract surgery to stain the anterior capsule
All of these are not used by optometrists