1/108
Looks like no tags are added yet.
Name | Mastery | Learn | Test | Matching | Spaced | Call with Kai |
|---|
No analytics yet
Send a link to your students to track their progress
Cases
Closed cases: Cases that successfully identified missing persons, decedents and/or cause of death
Cold cases: Cases that have “gone cold,” remain unsolved in any of the above aspects
Closed Cases: The Romanov Murders About
Czar Nicholas II reigned 1894-1917, last emperor of Russia
Not universally liked, not considered a good leader
Khodynka Tragedy on his day of coronation → people trampled, killing 1200+
Bloody Sunday (1905) → Russian soldiers opened fire on peaceful protestors, killing 9
WWI outbreak
His wife, Czarina Alexandra took advice from the prophet/mystic Rasputin, who was not well-tolerated
Nicholas and Alexandria had four daughters, one son
Son was heir
Their household was managed by staff, including
Yergeny Botkin, family doctor
Alexei Trupp, the footman
Ivan Kharitonov, the cook
Anna Demidova, the maid
In total, 11 people comprise the householdprophet/mystic Rasputin, who was not well-tolerated
In 1917, Nicholas abdicates throne due to the Bolshevik Revolution (Russian Revolution)
Family and staff flee to the Ural Mountain region to their fortified mansion in the mountains
On the night of July 17th, 1918, they were urged to “flee to safety.” Anastasia, Tatiana, and Maria filled their dress linings with jewels. Maid Anna carried metal boxes with jewels in pillows
This urge was a trap. All were taken prisoner, amurdered in the house basement

Closed Cases: The Romanov Murders
Narrative from witnesses:
Only the death of the czar announced
38 shots at the whole family
The jewels sewn into the girls’ dresses protected them from gunfire. They were bayoneted, bludgeoned and shot in the head
Bodies dumped in pit, covered in sulfuric acid to cover the smell
Alexei (son) and one of his sisters were cremated and not buried with their family.
Some people believed Anastasia had escaped.
Animated film Anastasia
In 1979, a grave was found in the region where the Romanovs were killed.
Soviets kept the grave location a secret until the Union fell in 1991
Initial forensic work by Drs. Peter Gill, Pavel Ivanov
American team in 1992
Analysis found 5 females, 4 males

Closed Cases: The Romanov Murders
1)
Adult, middle aged female (pelvis)
Mandible had poor quality dental bridge
Ankle joint had squatting facets, suggesting repetitive crouching or kneeling
2)
Adult, older male (pelvis, cranium)
Antemortem loss of upper teeth
1 bullet in pelvic region, 1 in vertebrae
Gunshot wound on left forehead
3)
Young adult female, early 20s, based on root development of M3 and fused epiphyses
Stature: 5’4’’
Extensive molar fillings
Gunshot wound to jaw that exited thru forehead
4)
Middle aged male, based on cranial morphology
Short stature
Joint deformation on pelvis consistent with horse riding
Poor dental health
5)
Late teens/early 20s female, based on root tips of M3 incomplete, sacrum not fully developed
Stature: 5’6’’
6)
Adult female based on pelvic development and fusion of the clavicle
Gunshot wound to back of the skull
7)
Older adult female
Possible perimortem trauma on ribs
Expensive dental work (precious metals)
8)
Heavily damaged by acid
Middle adult male, 40s, estimated by cranium
Healed ulna fracture
9)
Large older adult male
Heavily worn teeth


Closed Cases: The Romanov Murders
Narrative from witnesses:
Only the death of the czar announced
38 shots at the whole family
The jewels sewn into the girls’ dresses protected them from gunfire. They were bayoneted, bludgeoned and shot in the head
Bodies dumped in pit, covered in sulfuric acid to cover the smell
Alexei (son) and one of his sisters were cremated and not buried with their family.
Some people believed Anastasia had escaped
Animated film Anastasia


Closed Cases: The Romanov Murders Findings
In the 90s, researchers also conducted mtDNA tests to prove the relatedness of the bodies
Confirmed genetic sex and familial relationship between the mother and children
Using living descendants, there’s a 99% probability that the skeletons belong to the Romanov family
In 2007, a small pit 70 m away from Grave 1 was found
Contained the remains of 2 individuals: 1 male and 1 female
DNA tests confirmed they were related to the Romanovs
Alexei and Maria/Anastasia
Can’t confirm which
Forensic work was able to:
Successfully identify remains through contextualized biological profiles
Confirm parts of the narrative about trauma (bullets vs. bayonets

Closed Cases: Homicide, The Murder of Nicola Brown Simpson; California vs. OJ Simpson (1994)
Bodies of OJ Simpson’s ex-wife, Nicole Brown Simpson, and ex-wife’s lover, Ronald Goldman, found night of June 12th
DNA from OJ, Nicole, and Ronald found throughout OJ’s estate and car, along with gloves at both the scene of the crime and OJ’s house
Despite overwhelming evidence against him, jury finds him not-guilty on all counts of murder
Remember – very first DNA used in criminal case only 1987 in England
Very new technology at the time, but this case brought it DNA into the realm of public knowledge
Excellent example of non-scientific aspect of forensics/justice
If cases go to trial, what matters is not technically scientific precision
Rather, what matters is the opinion of a jury of your peers

Closed Cases: Homicide, The Murder of Caylee Anthony (2008)
Orlando, FL
After not being seen for weeks, 2-year-old Caylee Anthony was reported missing by her grandmother, Cindy Anthony
Said her daughter, Casey’s car smelled like death
December 2008, Caylee’s skeletal remains were found in a trash bag in the woods near the Anthony home
Forensic evidence finds duct tape near the mouth
ME: “homicide by undetermined means”
At trial, the defense says Caylee drowned in the family pool on June 16th and that Casey’s father buried the body. Also asserted abuse by father as a child
July 5th, 2011, Casey Anthony found not guilty on all charges except for lying to a police officer
Caylee’s Law: felony offense if legal guardian fails to report child missing

Closed? or Cold? Serial Killers
John Wayne Gacy Murders (1978)
The “Killer Clown”, Chicago area
Humans in different part of decomposition process laid around the house.
Forensic anthropologists identify 33 victims, most of which were young males.
Victims identified by cross-referencing with missing persons reports.
Five still unidentified
Convicted of the rape and murder of 33 boys and men. Executed May 10th, 1994

Cold Cases: Serial Killers
“Black Dahlia” (1947)
Gruesome murder of 22-year-old Elizabeth Short
Body mutilated in clean cut
TW: disturbing images if you search the case
“Zodiac Killer” (1968-1969)
Northern California
Claimed 37 deaths, only five confirmed by forensic evidence

Cold Cases: Structural Violence
Missing and unidentified persons in the United States: the nation’s “silent mass disaster”
Statistics in the us
85,000 active missing persons
40,000 unidentified persons
4,400 unidentified human remains found annually
1,000 remain unsolved after 1 year
Exacerbated by
Inconsistent maintenance and reporting of birth/death certificates by state laws lead to nation-wide difficulties with investigations
Inconsistent handling of unidentified remains → some in ME/coroners offices, some buried in unmarked graves or cemeteries
Missing persons or unidentified cases voluntarily collated into the National and Missing Unidentified Persons System (NamUs)
76% of unidentified remains may never be identified due to issues of decomposition, traumatic injury, scavenging or poor recovery
Studies of cases from 1979-2008 found
Over 80% of unidentified decedents were male
Death rates are highest among African Americans in major cities and in the SW US
Homicide victims are most often young adults, unidentified women and children
Women and children disproportionately victims of domestic homicide
“Many researchers argue that the distribution and geographic variation of unidentified persons are likely related to trends in homelessness, sex work or human trafficking, and irregular border migration. Consequently, unidentified persons in the United States often represent the most vulnerable and transient groups among us: our homeless, runaways, foreign-born individuals, and under-represented minorities”
Unidentified remains in contexts perceived to be self-destructive or deviant receive fewer resources in identification → poor change of solvability
“In other words, thousands of people who experience the highest rates of social exclusion, violence, premature death, and overall poor health outcomes continue to be marginalized in death
Goad’s suggestion to make cases more solvable
1. Incorporate the “biocultural” profile
Biological profile: Age, sex, stature, ancestral group, pathology etc.
Cultural profile: geographic area of recovery, personal effects, body modifications, etc.
2. Foster positive relationships with marginalized communities
Family advocacy improves acquisition of medicolegal records
Public outreach builds community confidence in law enforcement
Biomolecules
Biomolecules are “large organic compounds found in living organisms and sometimes present, usually in a partly degraded state, in the remains of those organisms after their death”
We are going to include stable isotopes in that definition

Multi-”omics”
Genomics deals with DNA, which is found in all organic material and soils
RNA doesn’t last very long and doesn’t tell us much DNA can’t
Proteomics deals with proteins, which are found in similar places to DNA, as DNA codes for them
Metabolomics deals with lipids and carbohydrates, which are residues of fat, oils, resins and starches
Isotopes are not biomolecules, perse, but are contained within the other biomolecule classes and their analysis is conducted with bulk protein or lipid preps

Biomolecules in Forensics
Study biomolecules from teeth, bone, hair, and nails
For forensic contexts, lipids, proteins, and carbohydrates are less commonly studied, while DNA and isotopes are more commonly studied
DNA is frequently used in forensic contexts
Cases solved with DNA
Golden State Killer
Boston Strangler
Fawn Mari Cox Murder
Susan Berman Murder
1975 Teree Becker Cold Case
First DNA case
Leicestershire England
Victims:
November 21st 1983, 15-year-old Lynda Mann
July 31st 1986, 15-year-old Dawn Ashworth
Semen recovered, only blood type able to be reconstructed
False confession wrested from local 17-year-old boy with learning disabilities, Richard Buckland
Eventually, Colin Pitchfork DNA matched to that of the semen sample
Pitchfork’s parole was reviewed and denied 2025
Point being – very recent technology

DNA
Exons: Protein coding portions of the DNA
Introns: Non-protein coding portions of the DNA
Do all sorts of stuff you don’t need to know about
Esp. gene regulation
Deoxyribonucleic acid
In contrast to RNA – Ribonucleic acid
Stores biological data
Chromosomal sex
Ancestry
Pathogens
Biological relatedness (phylogenetics)
String of nucleotide bases (Adenine, Cytosine, Thymine, Guanine) = polynucleotide chain
Adenine always pairs with Thymine
Cytosine always pairs with Guanine
In coding DNA
Every 3 base pairs forms a ‘codon’
Codes for a specific amino acid
Amino acids combine to form proteins

DNA - Chromosomes
DNA found in chromosomes in the nucleus of each cell
Each human cell nucleus has 23 pairs of chromosomes (one inherited from each parent)
46 in total
Segments of chromosomes that code for proteins are called genes
Alternative forms of the same gene are called alleles


DNA - Genome
Complete set of genetic material is called a genome
Not all portions of the genome code for proteins
“There are approximately 1013 cells in the adult human body, and each one has its own copy or copies of the genome…”
22 sets are autosomes
1 set are sex chromosomes
Males: XY
Females: XX

XX and XY chromosomes are passed down differently
Females pass down genes located on each X chromosome to offspring. Each offspring has a unique combination of genes
The two X chromosomes undergo recombination, exchanging material
True of males and females
Males pass down their X chromosome without recombination because it lacks another X counterpart
Y chromosomes likewise do not undergo recombination, so they are passed down without change
DNA
Single nucleotide polymorphisms (SNPs) are variants at a single nucleotide location
Any time a polymorphism occurs, a new “branch” is created
The SNPs are passed down, therefore frequencies vary by population
Each offspring has a mixture of maternal and paternal SNPs → record of grandparent polymorphisms, etc. → ancestral group = haplogroups
Groups of repeating DNA nucleotide bases are called short tandem repeats (STRs)
Help establish a likelihood of genetic proximity (family relationships) based on shared # of repeats

DNA
Remember: each cell contains all 23 sets of chromosomes in its nucleus
1) Nuclear DNA→ a.k.a autosomal DNA. Found in cell nucleus of all chromosomes. Reflects the DNA of the 22 autosomes
Contains genes that code for physical appearance (phenotype)
2) Y chromosome DNA → found in cell nucleus. Useful for tracing paternal lineage
If females have 2 sets of X chromosomes in their cell nucleus, how could we differentiate between mother’s maternal lineage and father’s maternal lineage?
3) Mitochondrial DNA (mDNA)→ found in cell mitochondria on X chromosomes. Transferred between females via egg cells. No sperm involvement
Mitochondrial genome shorter and more copious than nuclear genome, more likely to survive in badly degraded cases
mtDNA: thousands of copies per cell, nuclear DNA: two copies per cell
mtDNA: 16,500 bases long, nuclear DNA: 3.2 billion bases long
Why do mitochondria have their own DNA?: “Endosymbiosis”


DNA
SNPs on Y chromosome DNA and mtDNA male and female lineages, respectively
Fall into haplogroups (Haplo means “one”)

What samples studied for DNA?
Organic components found in skin, hair, blood, semen, and vaginal fluids
Anything with cells!
Will discuss more about these types of evidence in a few weeks

How is DNA studied?
In the past: Polymerase Chain Reaction (PCR)
Amplifies extant endogenous DNA to allow for typing
Cycle of heating and cooling essentially zip and unzip, allowing for sequences to copy
Take finalized solution and put it into a…
Agarose Gel Electrophoresis allows for visualization of PCR
Principles of Gel Electrophoresis
DNA has a specific charge and length
Agar gel is electrified
Longer chains make it less far
Doesn’t require sequencing entire genome
Allows for a focus on a few specific genes likely to be variable and preserved
PCR was invented by Kary Mullis
Probably one of the most important discoveries in the history of science
“It's impossible to overstate PCR's impact. The ability to generate as much DNA of a specific sequence as you want, starting from a few simple chemicals and some temperature changes—it's just magical”
David Bilder
Today: Next Gen Sequencing (NGS)
Benefits = “Hypothesis-free” approach, higher discovery power; High throughput = less cumbersome for large samples or samples with many regions of interest
Require calibration with libraries
Portions of genomes made of different lengths
Human genome project (completed in 2022)
A common method is Illumina

NAGPRA - Native American Graves Protection and Repatriation Act
Federal Law
Human remains, funerary objects, sacred objects and objects of cultural significance held by public entities to be repatriated
Two criteria:
Native American
Tribal affiliation

Kennewick Man
Discovered in 1996 in Washington by two college students
Police called, thought to be a forensics case as the skull did not ”look” Native American, but “Caucasoid”
A prehistoric spear point embedded in the hip-bone cast doubt on it being a “forensic” case
Radiocarbon dating (C14) confirmed that remains were > 9000 years old
Three groups vied for authority over the remains:
1) After learning the ancient nature, Army Corps of Engineers (in charge of the land where bones were found) claimed authority over them, forced all scientific study to end, and put into an evidence locked at the sheriff’s office pending review.
County coroner protested saying he had legal jurisdiction
2) A coalition of Columbia River Basin tribes and bands claimed the skeleton under NAGPRA and demanded the bones back for reburial.
“From our oral histories, we know that our people have been part of this land since the beginning of time. We do not believe that our people migrated here from another continent, as the scientists do.”
3) James Chatters enlisted his friend and colleague Doug Owsley (National Museum of Natural History), a well-respected forensic anthropologist who ran cases for the CIA, the FBI, the State Department and various police departments. They wanted to study the remains due to their rarity.
Owsley argued that they should be able to study the remains, as the skeletal remains bore no evidence of relatedness to any existing tribes. The skeleton lacked physical features characteristic of Native Americans
The Army Corps told the tribal coalitions that they would eventually receive the remains after a window of open investigation was closed
The remains had to be studied forensically in order to find tribal affiliation, otherwise NAGPRA was not applicable
The Army Corps was about to repatriate remains when Chatters, Owsley and a small group of scientists sued the US government and various Army departments. Lawsuits lasted years
Remains moved around, mysteriously portions of the femora were removed, FBI launched investigation. Portions later found in the county coroner’s office...
Scientists won lawsuit in 2002 (7 years later), with courts agreeing remains could not be Native affiliated
Scientists studied remains intensely, felt features were most consistent with modern Polynesians
“…the tribes continue to believe that Kennewick Man is their ancestor. They want the remains back for reburial. The corps, which still controls the skeleton, denied Owsley’s request to conduct numerous tests, including a histological examination of thin, stained sections of bone to help fix Kennewick Man’s age. Chemical analyses on a lone tooth would enable the scientists to narrow the search for his homeland by identifying what he ate and drank as a child. A tooth would also be a good source of DNA. Biomolecular science is advancing so rapidly that within five to ten years it may be possible to know what diseases Kennewick Man suffered from and what caused his death.” (2014)
Kennewick Man = The Ancient One
Five tribes involved in repatriation: Colville, Yakama, Nez Perce, Umatilla and Wanapum
President Obama signed bill repatriating remains
Reburied in 2017 in undisclosed location


Proteins
Coded by DNA
Provide structure (e.g., collagen, osteocalcin, hemoglobin) and function in a number of other capacities
Subunits are amino acids, which connected via peptide chains
Robust and highly diagnostic
Widely studied as proteomes = proteomics
Forensic Proteomics studies proteins to identify body fluids and tissues = serology
Different fluids and tissues have differently expressed proteins
E.g.: Hemoglobin in blood
Proteomes are sensitive to behavior and the environment
Saliva proteome is dynamic in response to smoking and daily fluctuations in the microbiome
Seminal and vaginal proteomes, sweat and vomit
Can be used when DNA is too damaged for
Fingerprints → trace left on surface
Species identification → species-specific proteins
Sex estimation → sex specific proteins
Postmortem interval → degradation rate of proteins

Every contact leaves a trace
“Every contact leaves a trace” = Locard’s Exchange Principle
Whenever two objects come into contact, there is a transfer of material.
Usually, this transfer is done without notice, making it ideal for forensics
Any detected transfer can associate objects, individuals, or locations with one another, however, the strength of the association varies
Rarely leaves identifying information at the level of the individual
Rather, can help reconstruct the series of events that took place at a scene

Studied by mass spectrometry (MS)
Analytical machine that identifies molecules by observing the behavior of their ions in varying electromagnetic fields.
This behavior depends on the varying mass-to-charge ratio (m/z) of the ions.
Sample is first ionized
Magnetic sector MS
Samples pass through magnetic fields, those with more inertia (heavier) won’t bend as much as those with less inertia (lighter)
Beam hits the detector at different locations, detecting the ions
Time of flight (TOF) MS
Measures speed, rather than weight
Magnetic pulse propels ions down and whichever hits the detector first is lighter
Mass spectra
Output of a mass spec
Compared to known sample

Major types of trace evidence: Fingerprints
“The product of the contact of papillary ridges—present on human beings’ fingertips, palms, and soles—with a surface; this interaction transfers sweat and skin components to the material, leaving a particular mark.”
Premise: While fingerprints contain similar components, the chemical content varies by demographics and patterns are idiosyncratic
Shape and size of blood vessels, growth speed, intrauterine environment, all influence pattern
Even identical twins have different fingerprints!
Fingerprint patterns relatively stable
Solves ~10x more cases than DNA
Chemical studies can also tell how long it has been since the fingerprint was left
Fatty acids studied via mass spectrometry
Most sweat and chemical compounds sit in the ridges of the fingerprints initially, but over time moves out of the “ridge” and into the “valley”
Looks at diffusion rate
Latent fingerprints are those identified with powder or liquids, which fall into the print’s valleys
Different powder for different substrates
”lifting prints”

Stable Isotope Analysis
Main underlying principle: “You are what you eat”
…and drink and breath…
The food you eat partially becomes energy
The food you eat partially becomes you
The physical composition of your body comes from metabolic processes
Anabolism = building
Catabolism = breaking down
This is very helpful for biological anthropologists
Important parts of the atom for this class
Nucleus: Dense, positively charged center.
Proton: Positively charged subatomic particle
Neutron: Neutral subatomic particle
Electrons: Negatively charged subatomic particles
”Orbit” the nucleus
If you remove…
Proton: Different element
Electron: Different ion
Neutron: Different isotope

Stable isotopes
Stable isotopes are isotopes that do not undergo radioactive decay.
Can be light or heavy based on atomic mass
Analyzed via mass spectrometry
Interpreted by the ratio of an element’s heavier form to its lighter form (e.g. 13C/12C)
Reported using delta notation (δ), expressed in parts per thousand (or per mil) (‰).

Isotopes
Atoms of same element with same number of protons and electrons, but different number of neutrons
Variability in atomic mass
Naturally occur in the environment
When an organism consumes (and metabolize) food and water, it incorporates the source’s elemental composition
You are what you eat!
The carbon atoms in your bones are from your food and the air
The heavy and light isotopes are separated in a chemical reaction process called fractionation.
Prefers lighter isotopes over heaver ones

Unstable isotopes
Carbon 14
After death, it begins to decay
Radiocarbon dating
Chemical reaction between sunlight, the atmosphere, photosynthesizing plants, and their consumers
All elemental signatures come from our environment
Tissues Studied for isotopes
Any tissue in sufficient quantity
Best characterized tissues are…
Hair, nails, teeth, collagen
Collagen → bone → remodels throughout life
Analyzed via bulk averages
Carbonate/Apatite (Ca10(PO4)6(OH)2) → teeth → develop in childhood
Analyzed via incremental sampling
Timeline
Hair: ~1 cm/month
1-2 week lag between dietary intake and root composition
Nails: ~1-4 mm/month
Bones: ~7 year average
Teeth: Window into childhood
Carbon Isotopes
δ^13 C/^12 C
Speaks to plant consumption (direct or indirect)
Photosynthetic pathway of plants
C4 vs. C3
E.g. Corn (maize) = C4 | wheat = C3
Baseline: Know local plants!
Challenging in
Nitrogen Isotopes
δ^15 N/^14 N
Measures the trophic effect of meat protein consumption
Also helps differentiate aquatic vs. terrestrial animal diet
Aquatic soil δ 15N is more positive than terrestrial soils
Vegans would have a “herbivore” diet
Oxygen Isotopes
δ^18O/^16O
Measures consumption of meteoric waters, which vary across (and within) landscapes
Rainwater, freshwater, differs across latitude, altitude and distance from the sea
Fractionation in the water cycle (evaporation, condensation, precipitation) leaves the heavier isotope (18O) behind
Human behavior influences isotopes
Mobility → changing Sr across teeth
Manuring soil → increases N
Cooking food → increases or decreases O, C, N
Starvation → increases N
Breastfeeding → increases N

Strontium Isotopes
87^Sr/86^Sr
Reflect local geological signature
Variation in 87Sr depends on amount of decaying rubidium in rock during formation
Varies from 0.720 – 0.703 on land
Plants uptake strontium into their tissues
Consumers uptake plant strontium into their teeth
Strontium substitutes for Ca in hydroxyapatite
Baselines: local fauna


87^Sr/86^Sr
Reflect local geological signature
Variation in 87Sr depends on amount of decaying rubidium in rock during formation
Varies from 0.720 – 0.703 on land
Plants uptake strontium into their tissues
Consumers uptake plant strontium into their teeth
Strontium substitutes for Ca in hydroxyapatite
Baselines: local fauna
Histology
The microscopic study of tissues
Includes soft (skin, muscle, etc.) and hard tissues (bone, teeth)
Forensic Histopathology → study of tissues or biopsies to determine pathology (illness) in living patients and decedents. Make diagnosis based on findings (e.g., is it cancer, what type, etc.)

Hard Tissues
Bones are recording structures, which means they “respond to changes of physiological condition of an organism by changing their morphological characteristics as they grow.” (Klevezal 1996, 1)

Enamel Histology
Similar periodic growth (and growth arrest) characterizes the histological structure of tooth enamel and dentin
Study of incremental development of dental tissues => periodicity
In enamel, Striae of Retzius develop at a periodicity of ~8-9 days in humans; Cross striations: daily
What does this mean?: Daily (24 h) record of circadian rythym, stress events recorded
Remember, teeth start developing in utero!
The neonatal line (NNL) applies the same premise to the birth event--> more stressful the event, the more accentuated the line
Also visible in bone
By this premise, unborn children lack a NNL
Children born via c-section experience less stress and have thinner NNLs


Teeth
Tooth enamel forms from tip of cusps down to roots in layers known as perikymata.
During stressful life events experienced when the enamel was forming, perikymata may become exaggerated. These cessations of enamel growth are called linear enamel hypoplasia (LEH)

Cementochronology
Unlike enamel and dentin, cementum continues growing throughout the entirety of life
1 light + 1 dark band = 1 year
Count up band pairs, add to age at which tooth root forms
More precise than other aging methods for adults
During reproduction (gestation, lactation), elemental composition of bone changes


Pathology
The study of disease. From the Greek pathos (suffering)
Ever-evolving, expanding understanding of how disease affects humans
We only observe lesions (NOT the disease itself)
From skeletal remains, differential diagnosis is often as good as you can get
Important to understand etiology
Number of causes result in the same outcome
Example: “This individual exhibits lesions consistent with cribra orbitalia which are a nonspecific indicator of stress that can reflect either prolonged nutritional deficiency or anemia

NAMUS (National Missing and Unidentified Persons System)
A U.S. database that helps match missing persons with unidentified human remains by collecting and comparing forensic data such as DNA, dental records, and biological profiles
Connects:
Missing persons cases
Unidentified bodies
Used by:
Law enforcement
Medical examiners
Forensic anthropologists
Includes:
DNA
Dental records
Case details

What is violence?
WHO: “The intentional use of physical force or power, threatened or actual, against oneself, another person, or against a group or community, that either results in, or has a high likelihood of, resulting in injury, death, psychological harm, maldevelopment or deprivation.”
Three types of violence:
Direct Violence: Actions and behaviors that cause physical harm
Cultural Violence: Social constructs and ideologies that encourage direct violence
Structural Violence: Institutions and structures that perpetuate violence

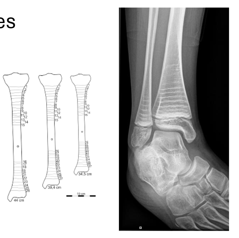
Trauma types
Force Fractures
Blunt Force Trauma (BFT)
Medium velocity impact
Typically shows radiating fractures
Sharp Force (SFT)
Low-velocity impact
Projectile Force Trauma (PFT)
High-velocity impact
Differentially beveled

Force Fractures
Defines as the interruption of bone’s structure, as either a fissure or complete break.
Bones fracture in different ways because of difference in biomechanical force

Transverse Fracture
Fracture occurring from a force perpendicular to the bone’s main shaft (shear force)
Splits the bone into superior and inferior halves (or medial and lateral in the clavicle)

Oblique Fracture
Bone fractured from a strong force hitting on a plane diagonal to the long axis of the bone
Shear force on a diagonal plane
Tends to occur on long bones

Spiral Fracture
Like an oblique fracture, but bone fractures across both transverse planes
Caused by a ‘twisting’ force, or torsion, where oblique is caused by a heavy force at a diagonal angle

Comminuted Fracture: Butterfly Fracture
Large, triangular fragments of bone common to comminuted fractures
Comes from bending force and axial loading
Two oblique fracture lines meeting

Avulsion Fracture
Sudden dislocation caused by muscular contraction detaching or tearing a fragment of bone away from the main body

Impacted Fracture
One end of the bone impacts the other end of the bone, and this force causes one end to jam toward the other (compression force)
Creates wedge-like fusion of bone
Compression force

Fissure/ Hairline/ Stress Fracture
A crack extending from a surface into, but not complete through, a bone
Caused by accumulated insult to one area (chronic), rather than a singular stressful event (acute)
Common in athletes

Greenstick Fracture
Usually occurs in children >10 yrs
Green = fresh
Bone bends and breaks, but the break does not extend across the whole bony surface

Special: Parry Fracture
Generally, occur during moments of self-defense, usually involves the ulna
Can also affect the clavicle, humerus, and distal radius

Special: Colles’ Fracture
Fracture of the distal radius
Comes from protecting oneself from a fall
Impacted fracture specific to the distal arm
Shearing force

Special: Boxer’s Fracture
Fracture of the 4th or 5th metacarpal
Most often affecting MC 5
Comes from striking an object/person with a closed fist

Facial Fractures
Type I: Fracture line separates the upper dental arch from the rest of the face
Type II: Involves the maxilla and extends through the nasal bones, crossing the orbit and orbit’s margin
Type III: The line is transverse and high, producing a separation between vault and face

Sharp Force
Injury from an instrument with beveled edge
i.e. knife, box cutter, razor blade
Most deaths by sharp force are homicides
Slow velocity
Kerf: a cut or incision made by a sharp instrument
Analyze ‘kerf walls’ and ‘kerf floors’ to determine type of instrument

Blunt Force Trauma
Often associated with a violent event
Caused by large, heavy objects with a blunt edge striking the body
i.e. baseball bat, club, hockey stick
Different areas of bones will react differently depending on the structural integrity of the bone
Also depends on severity of hit
Bone collapses and shatters


Hacking and Chopping
Contains elements of blunt and sharp force trauma
Larger wounds than sharp force (wide “V”), sometimes radiating fractures like blunt force
Kerf striae often found perpendicular to floor

Projectile/Ballistic Trauma
Fast-moving small objects
Can perforate (only enter) or penetrate (fully pass through)
Entrance and exit leave different patterns
Radiating fractures

Projectile/Ballistic Trauma
Bullet caliber and shooter position influence appearance of lesions and directionality
Entrance and exit wounds differ depending on the distance between shooter and victim and bullet caliber
Close-range
Weapon-to-target
Entrance wound has ragged appearance
Bone may be blackened
“Burning shots”
Shots of <15 cm
Entrance wound circular
Some blackening of bone possible
Short-distance (60-70 cm)
Entrance wound circular
No blackening of bone
Long-distance (70+ cm)
May only perforate, not penetrate bone
Depends on bullet caliber
Bullet caliber and shooter position influence appearance of lesions and directionality

Kerf distinction by:
• Size
• Shape
• Distance between blades
• Angle of blades
• Direction of mark
• Depth of the mark
• Power of the mark
Mechanical? Manual?

Keyhole Lesion
When a projectile object skims bones
Both an entrance and exit wound in the same feature

How does bone heal?
Irregular Healing
Pseudarthrosis
When broken bone fails to fuse
Usually occurs from a lack of immobility, bad or absent treatment and alignment
Each broken piece heals as its own element
Left: When a poorly set bone fuses.
Right: When a poorly set bone does not fuse
Types of “Diseases”
Vascular
Inflammatory (infectious)
Traumatic
Anomaly (congenital/non-metric)
Metabolic (anemias/gout, etc.)
Interaction (neuromechanical)
Neoplastic (tumors/cancer)

Vascular Disease
Diseases involving blood and the vessels which carry it
Reduced blood flow to the limbs
General appearance is increased vascularity
Examples: Thalassemia, anemia

Inflammatory or Infectious Disease
Contracted virus or bacteria
Area inflames
Increased blood flow
Pooling of blood
Infection festers
Microorganisms multiply
Infection spreads
Can spread locally (within an organ, or adjacent space)
Can spread systemically (through the blood or lymph nodes

Pathology: Inflammatory or Infectious Disease Example: Periostosis
Extremely common, from a traumatic event or numerous illnesses
Inflammation of the bone’s periosteum (outer layer of tissue)
Results in wood-like, bubbled texture on outside of bone

Pathology: Inflammatory or Infectious Disease Example: Dental abcesses & caries
Abscesses form when food particles get stuck between teeth and bacteria festers
Dental caries (=cavities) form from acid-producing bacteria

Pathology: Inflammatory or Infectious Disease Example: Leprosy (Hansen’s Disease)
Spread via air
Symptoms include skin lesions and muscle weakness
Loss of sensation in digits and eventual loss of the digits
Destruction of nasal cartilage

Pathology: Inflammatory or Infectious Disease Example: Tuberculosis (TB)
Spread via air droplets
Acute or chronic infection of soft or skeletal tissues by bacteria
Affects the lungs (and by proxy, nearby bones)
Can result in vertebral degradation (Pott’s disease)

Pathology: Inflammatory or Infectious Disease Example: Venereal Syphilis
Can be sexually transmitted or transmitted from mother to child (breastfeeding)
Affects the soft tissue as skin ulcers, sores on genitalia, benign growths
Mainly affects tibia (saber shin) and cranial vault (stellate scarring)
Anomalies/ Congenital Disease
Caused by pathological changes in normal development during intrauterine life
May be hereditary or acquired between fertilization and birth
Bottom line: something someone is born with

Pathology: Anomalies/ Congenital Disease Example: Facial cleft
Cleft lips, cleft palates
Caused by the failure of various tissues to fuse in early embryological development

Pathology: Anomalies/ Congenital Disease Example: Congenital syphilis
Passed to baby during pregnancy
Can be treated if caught early in fetal development
Results in destruction of the facial skeleton, mostly the nasal area

Metabolic Diseases
Diseases affecting the body’s ability to continue cellular processes
Encompasses issues with converting food to fuel for proper function of the body, and hormone deficiencies
General appearance: small pitting on bone surface, growth arrest or bone breakdown

Pathology: Metabolic Diseases Example: Osteoporosis
Less estrogen hormone production => less bone production
Trabecular bone loses density quicker than bone can rebuild itself.
More common in older females
Can lead to collapse of vertebral column

Pathology: Metabolic Diseases Example: Linear Enamel Hypoplasia (LEH)
Episodic stress events result in enamel growth arrest during development
Episodic stress events result in enamel growth arrest during development
Enamel stops being deposited while tooth continues to grow
Can estimate age of stress event based on location on tooth

Pathology: Metabolic Diseases Example: Harris Lines
Episodic stress events result in bone growth arrest during development
Can estimate age of stress event based on location on skeleton

Pathology: Metabolic Diseases Example: Cribra orbitalia and Porotic hyperostosis
Porosity of superior orbit or cranial vault
Nonspecific indicator of stress
Malnutrition, illness, anemia

Pathology: Metabolic Diseases Example: Vitamin deficiencies
Lack of vitamin C → scurvy
Impairment of collagen synthesis, defective osteoid formation
Lack of vitamin D → Osteomalacia and rickets
Rickets = Softening of bones in childhood, weight bearing bends bones
Mass Fatality Incidents
Events that result in a large number of dead
Exs. Famine, fire, floods, viral epidemics, terrorism (and more)
The number of injured, sick, dying or dead victims overwhelms local or governmental resources
Forensic anthropological goals are to identify decedents, CoD, MoD within a closed population
Closed population = we have some sense of who could be present
Open population = could be anyone
Can have a high degree of fragmentation and commingling (unsure who is who)
• Examples: Hurricane Katrina, Challenger space shuttle crash, 9/11
In 1980s, creation of DMORT (Disaster Mortuary Operational Response Team). Allowed for dedicated personnel to aid in collection and identification of remains.
Team of pathologists, anthropologists, odontologists, DNA techs, etc.
Team that works with surviving family members to collect antemortem records important for identification efforts
What is trace evidence?
Typically, invisible evidence that encompasses both personally identifying biological material (DNA or fingerprints) and other circumstantial nonbiological material.
Biological trace evidence (DNA) is present 38% of cases
Latent fingerprints are present in 28% of cases
DNA is present in only 4.5% of homicide cases
Hence, multiple materials and their analyses are incredibly important for solving criminal cases

Major types of trace evidence: Hair
Postmortem hair banding (PMHB) occurs 2-3 days after death
An opaque ellipsoidal band formed by gas/air pockets near the root of the hair
Important if hairs with PMHB found in location, as it shows movement of body after death
Hairs also contain DNA. In the follicle, blood-borne materials get incorporated into the hair matrix
Nuclear DNA preserved in the hair follicle (individualizing), but only mtDNA is preserved in the grown-out hair shaft (not individualizing)
In the case of forcibly removed hair, nuclear DNA is likely to be preserved. Naturally shed hair might also have it if the root is preserved

Major types of trace evidence: Bite marks
Typically performed by forensic odontologists (forensic dentists) beginning in the 70s/80s
From the victim, the following data are collected:
1. Demographics (age, sex, ethnicity)
2. Location of bite mark and surface contour
3. Bite mark shape (e.g., round, ovoid)
4. Color and size of markings
Photos taken with and without flash and UV over 24 hr intervals due to visibility differences
Base layer of human skin contains melanin. Injury to the skin causes melanin to be released throughout the area. As it heals, cells (melaninocytes) migrate to edges of the wound.
Melanin absorbs UV radiation (think how different complexions tan differently) hence UV photography can capture these marks
First 12 hours: high contrast and visibility
Day 2: No bite marks discerned, only bruising, which persisted for 12 days. UV could not discern bite
Day 17: Bitemark pattern reappeared in UV photographs
Day 60: Bitemark pattern peaked in visibility
Day 61+: Visibility decreased
Dental impressions and saliva sample from a suspect are taken
Look for any trace amounts of DNA in bite wound
Look for idiosyncrasies of dentition, such as:
Canine-canine distance
Tooth alignment
Arch shape
Diastemas (gaps)
Dentistry work
Wear or chipping

Bite Mark Analysis drawbacks
Has no solid scientific basis
Unlike astrology, we can be fun, many negative consequences
Bite Mark Analysis vs. Forensic Odontology
Forensic Odontology: the broader study of human dental remains for forensic purposes
History and appearance of dentition can be specific to the individual
History and appearance of dentition can be specific to the individual
Orthodontic history or apparati
Presence of fillings
Idiosyncratic missing teeth
Dental abnormalities
Supernumerary or missing teeth
Dental staining or erosion patterns
Can be very useful in identifying a decedent
Specific role of the forensic anthropologist
Frye and Daubert Hearings
Either side may choose to challenge the credentials of a forensic anthropologist
Occur pre-trial
Goal is probably to get the anthropologists testimony thrown out
Remember – goal of prosecutor or defender is not to find truth, but to win for their side
Frye Hearings
Three foci
1. Whether the Forensic Anthropologist qualifies as an expert “by knowledge, skill, experience, training, or education,”
2. Whether the Forensic Anthropologist's “scientific, technical, or other specialized knowledge” will help the jury (or the judge) understand the evidence or determine a fact in issue
3. Whether the techniques employed by the Forensic Anthropologist are generally accepted as reliable in the scientific community
Daubert Hearings
Three foci
1. Whether the testimony is based on sufficient facts or data
2. Whether the testimony is the product of reliable principles and methods
3. Whether the Forensic Anthropologist has reliably applied the principles and methods to the facts of the cas
The Role of a Forensic Anthropology
Usually to provide expert testimony
“An opinion stated under oath by a qualified individual during a trial or deposition. Such testimony can aid in clarifying complex concepts, presenting scientific evidence, evaluating data, and assisting in understanding the implications of certain actions or events.”

El Sendero Luminoso/The Shining Path
Founded 1969 by Abimael Guzmán (1934 – 2021)
University philosophy prof.
Heavy influenced by trip to Maoist China
Militant Maoist doctrine
Believed success of communism required a military revolution
Elections rigged or unreliable
1977-1980: Began training camps in Ayacucho, Peru
May 17th, 1980 - ballot boxes in the town of Chuschi were burned
Often considered inciting incident
Violence & guerilla warfare escalated through 1981
Eventually, Peruvian government declared “emergency zone” in relevant regions
Allowed military to act with arbitrary impunity
Often led to murder, rape, abuse, and torture of innocent people
Military would train civilians to take action
Responses to this from the shining path were brutal
70 killed in Lucanamarca Massacre
Rejected the concept of human rights:
“Our position is very clear. We reject and condemn human rights because they are bourgeois, reactionary, counterrevolutionary rights, and are today a weapon of revisionists and imperialists, principally Yankee imperialists.”
Communist Party of Peru – Shining
Path, Sobre las Dos Colinas
Between 1980 and 2000:
70,000 people dead or missing
Unclear which are govt and which are insurgent
Both sides waged brutal war against civilians
600,000 displaced
Majority of shining path victims people outside of positions of power
Indigenous, young, women frequently victims
1990 – Alberto Fujimori comes to power as president
1992: responds with force to the shining path
Largely ended the shining path as an active threat
Also killed thousands of civilians
Forcible sterilized indigenous women
Enacted a coup d’état dismantling legislative and judicial power
2000 – Alberto Fujimori fled to Japan
2007: Eventually captured by Peruvians during a trip to Chile
2024: Died
Truth and Reconciliation Commission established in 2001
Formal Organization charged with investigating and recommending reconciliation of human rights abuses
The 2001 TRC of Peru was charged with investigating a wide variety of human rights abuses
Part of the charge: forensic exhumation, identification, and repatriation of remains of individuals killed and buried in clandestine/mass graves
>2500 bodies found
>1500 identified
>1300 returned to families
Identification of individuals is an ongoing process
Biological profile can be very limited – at best you get..
Sex
Age
Trauma
Stature
Pathology
Weight
How to reconstruct mobility?
Oxygen isotope analysis
Different body parts “remodel” at different speeds
Fastest: Hair, nails, skin
Slowest: Bones
Never: Dental enamel
Allows a reconstruction of where people lived during various aspects of the life course
Can help reconstruct where victims may have been from
The forensic work on The Shining Path is still politically important
Much of Keikio Fujimori’s support comes from goodwill generated by her father’s dismantling the Shining Path
