1/111
Looks like no tags are added yet.
Name | Mastery | Learn | Test | Matching | Spaced | Call with Kai |
|---|
No analytics yet
Send a link to your students to track their progress
Opacități
1) Localizare
2) Formă
nodulară
grad I (micronoduli) < 3 mm
grad II 3-10 mm
grad III 1-3 cm
grad IV (macronoduli) > 3 cm
liniară
întinsă
sistematizată - teritoriu funcțional (lob, segment)
nesistematizată - fără limite nete, difuze
3) Număr
4) Dimensiune
5) Intensitate
6) Structură
7) Contur
8) Particularități
Hipertransparențe
1) Localizare
2) Formă
3) Număr
4) Dimensiune
5) Contur
6) Grosimea peretelui
7) Particularități
Imagini mixte (hidro-aerice)
1) Localizare
2) Formă
3) Număr
4) Dimensiune
5) Contur
6) Grosimea peretelui
7) Aspectul nivelului hidro-aeric
8) Particularități

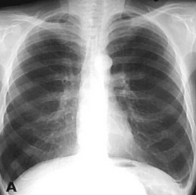
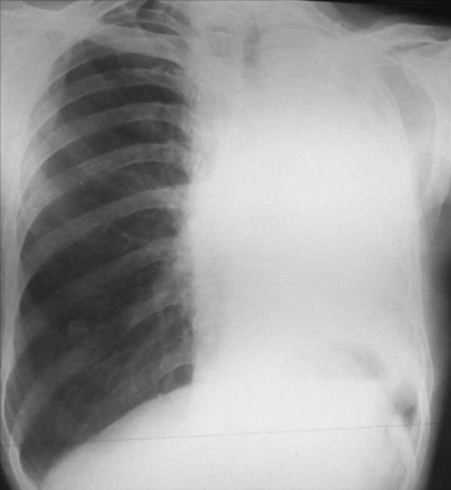
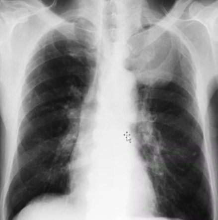
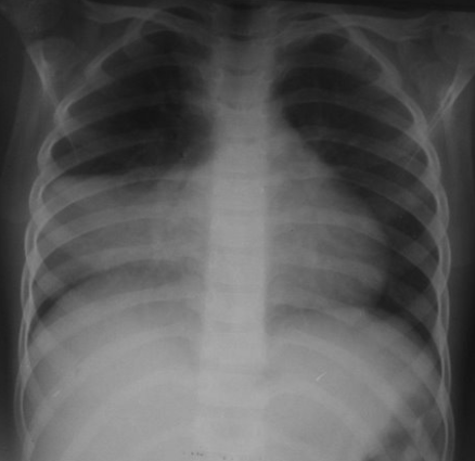
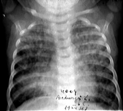
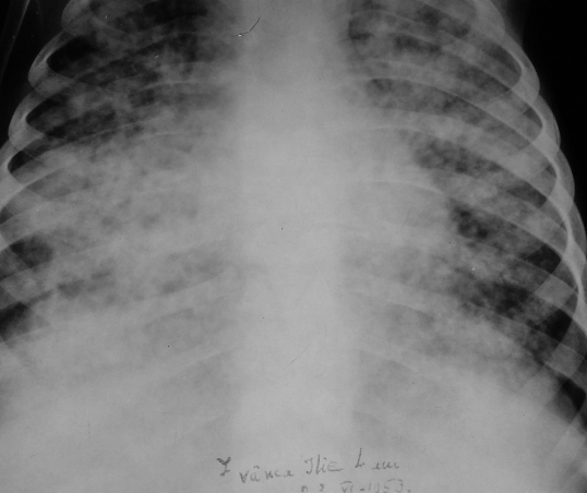
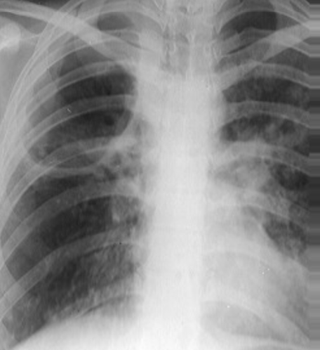
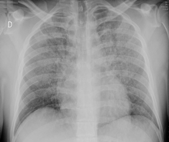
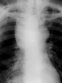
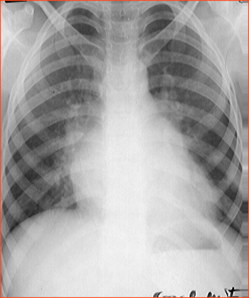
Rx toracică, incidență P-A
DESCRIERE:
DX: emfizem pulmonar
DD:

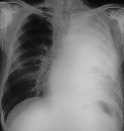
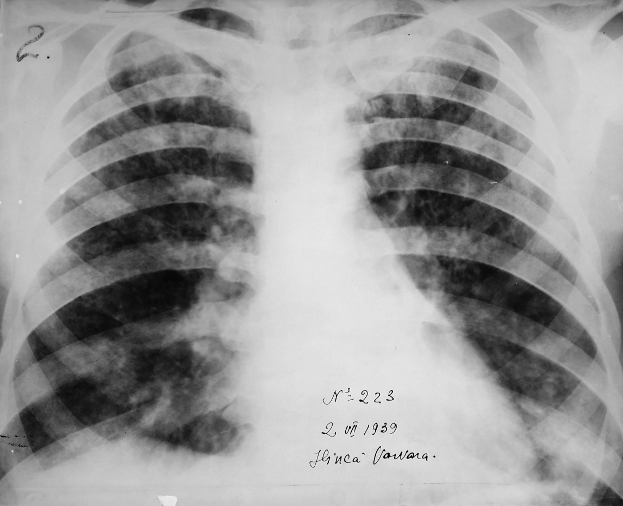
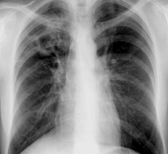
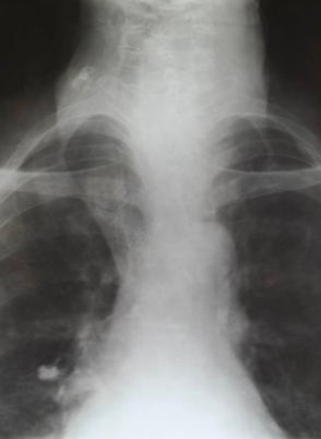
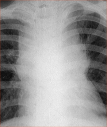
Rx toracică, incidență P-A
DESCRIERE:
DX: emfizem pulmonar
DD:

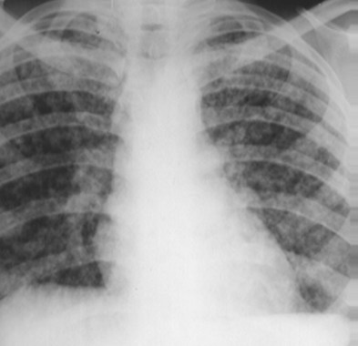
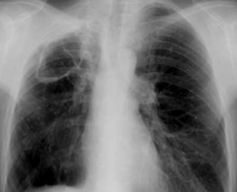
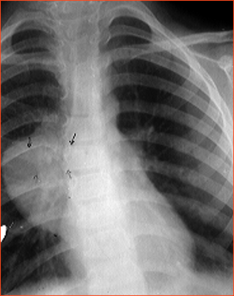
Rx toracică, incidență P-A
DESCRIERE:
în 1/3 mijlocie a hemitoracelui drept, perihilar → opacitate nodulară, unică, dimensiune mare, intensitate mare, omogenă, contur neregulat, ce trimite prelungiri spre parenchimul pulmonar
DX: NBP central exobronșic
DD:
tumoră mediastinală (teratom) → regula lui Felson
adenopatii hilare

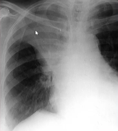
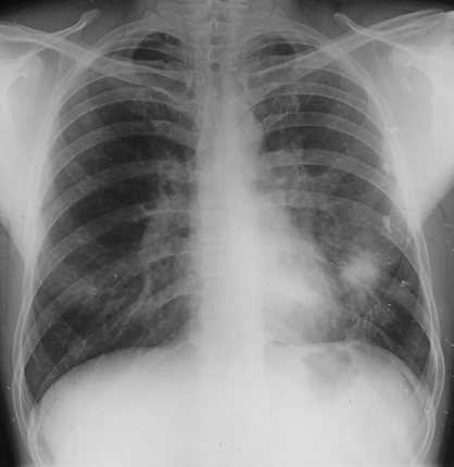
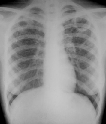
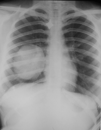
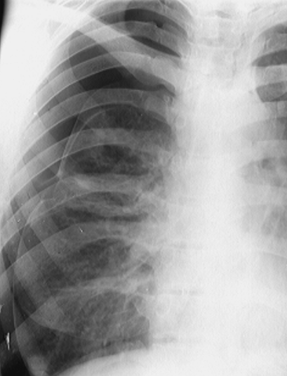
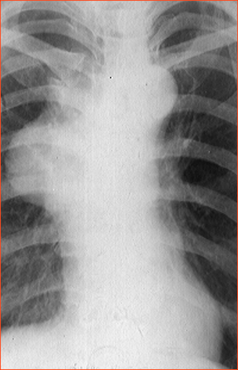
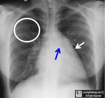
Rx toracică, incidență P-A
DESCRIERE:
în 1/3 sup. a hemitoracelui drept, perihilar → opacitate nodulară, unică, dimensiune mare, intensitate mare, omogenă, contur neregulat, ce trimite prelungiri spre parenchimul pulmonar
la nivelul lobului sup. drept → multiple opacități liniare, cu caracter retractil (tracționează traheea și mica curbură)
DX: NBP central mixt, cu 2 componente:
exobronșică → predominantă
endobronșică → atelectazie incipientă prin obstrucția bronhiei lobare sup. drepte
DD:
componenta exobronșică:
tumoră mediastinală (teratom) → regula lui Felson
abces neevacuat - fără prelungiri în parenchim
chist hidatic necomplicat - contur net, fără prelungiri în parenchim
componenta endobronșică:
pneumonie lobară - caracter neretractil
pleurezie - caracter expansiv

Rx toracică, incidență P-A
DESCRIERE:
la niv. întregului hemitorace stg → opacitate extinsă, nesistematizată, de intensitate mare, omogenă
caracter retractil → tracționează traheea și mediastinul de partea afectată
fără bronhogramă aerică
duce la micșorarea spațiilor intercostale
la niv. hemitoracelui controlateral → hipertransparență compensatorie
DX: atelectazie prin NBP central endobronșic (pe bronhia principală stg)
DD: pleurezie masivă → caracter expansiv

Rx toracică, incidență P-A
DESCRIERE:
DX: atelectazie prin NBP central endobronșic (pe bronhia principală stg)
DD: pleurezie masivă → caracter expansiv

Rx toracică, incidență P-A
DESCRIERE:
la niv. întregului hemitorace stg → opacitate extinsă, nesistematizată, de intensitate mare, omogenă
caracter retractil → tracționează traheea și mediastinul de partea afectată
fără bronhogramă aerică
duce la micșorarea spațiilor intercostale
la niv. hemitoracelui controlateral → hipertransparență compensatorie (emfizem)
DX: atelectazie prin NBP central endobronșic (pe bronhia principală stg)
DD: pleurezie masivă → caracter expansiv

Rx toracică, incidență P-A
DESCRIERE:
la niv. întregului hemitorace stg → opacitate extinsă, nesistematizată, de intensitate mare, omogenă
caracter retractil → tracționează traheea și mediastinul de partea afectată
fără bronhogramă aerică
duce la micșorarea spațiilor intercostale
la niv. hemitoracelui controlateral → hipertransparență compensatorie (emfizem)
DX: atelectazie prin NBP central endobronșic (pe bronhia principală stg)
DD: pleurezie masivă → caracter expansiv

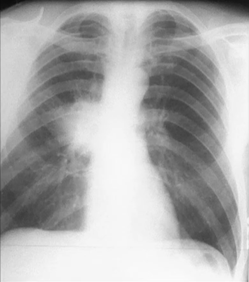
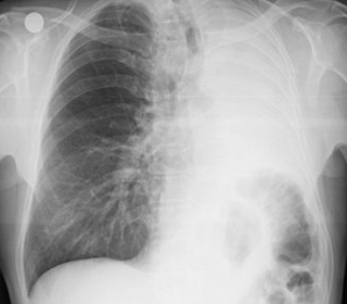
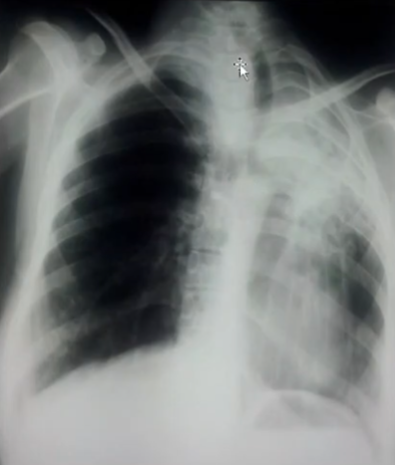
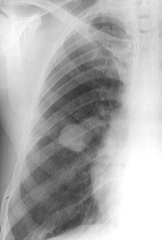
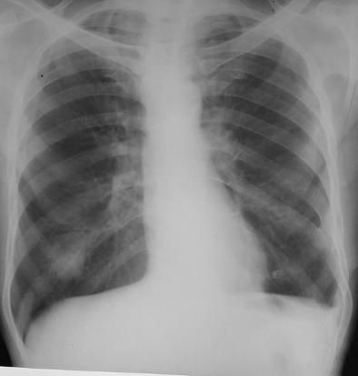
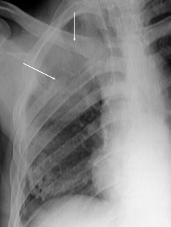
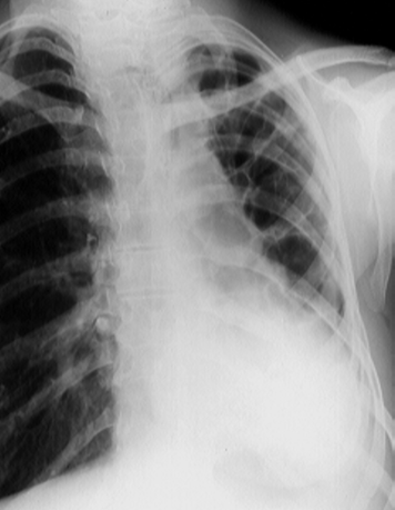
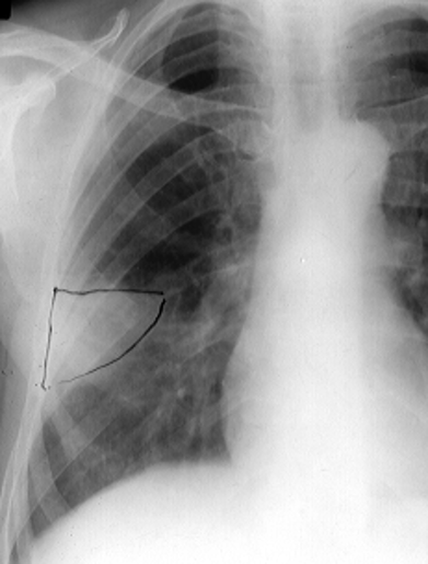
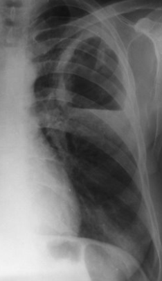
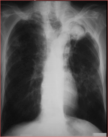
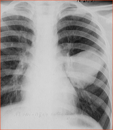
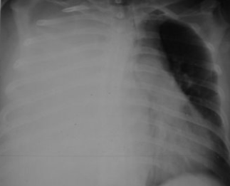
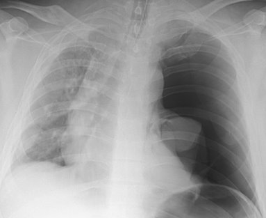
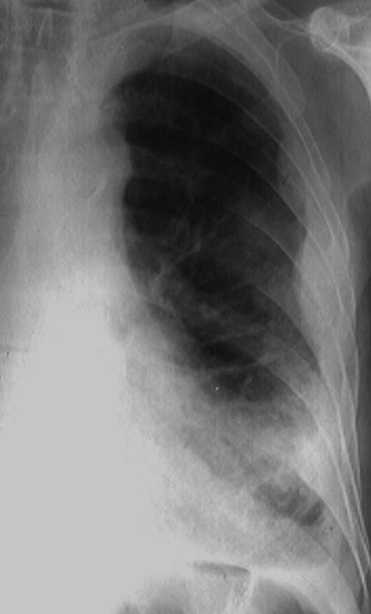
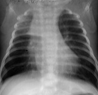
Rx toracică, incidență P-A (centrată pe hemitoracele drept)
DESCRIERE:
în 1/3 sup. a hemitoracelui drept → opacitate de formă triunghiulară, intensitate medie-mare, omogenă
caracter retractil → tracționează traheea și mediastinul de partea afectată + retracția scizurii orizontale (aspect concav)
adenopatii hilare
pahipleurită diafragmatică → îngroșarea pleurei + tracțiuni fibroase
DX: atelectazie prin NBP central endobronșic (pe bronhia lobară sup. dr.)
DD: pneumonie lobară - nu are caracter retractil, prezintă bronhogramă aerică

Rx toracică, incidență P-A (centrată pe hemitoracele drept)
DESCRIERE:
în 1/3 sup. a hemitoracelui drept → opacitate de formă triunghiulară, intensitate medie-mare, omogenă
caracter retractil → tracționează traheea și mediastinul de partea afectată + retracția scizurii orizontale (aspect concav)
DX: atelectazie prin NBP central endobronșic (pe bronhia lobară sup. dr.)
DD: pneumonie lobară - nu are caracter retractil, prezintă bronhogramă aerică

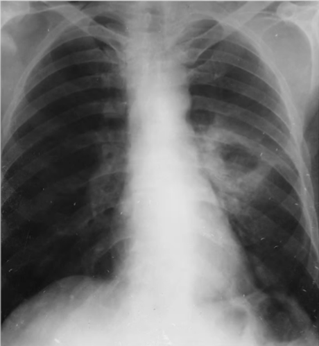
Rx toracică, incidență P-A
DESCRIERE:
în 1/3 sup. a hemitoracelui stâng → opacitate nodulară, unică, dimensiune mare, intensitate mare, neomogenă, contur neregulat
trimite prelungiri spre parenchimul pulmonar
restul hemitoracelui → benzi de atelectazie
caracter retractil → tracționează traheea și mediastinul de partea afectată
DX: NBP central mixt, cu 2 componente:
exobronșică
endobronșică → atelectazie
DD: pleurezie → omogenă, caracter expansiv

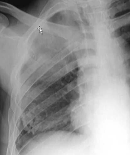
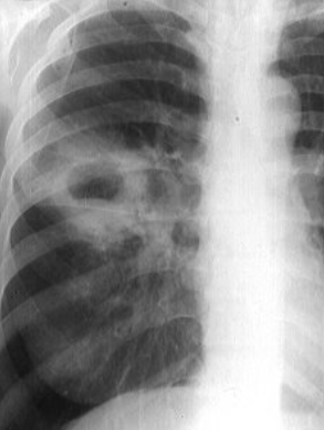
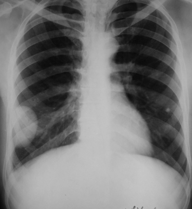
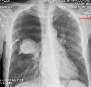
Rx toracică, incidență P-A (centrată pe hemitoracele drept)
DESCRIERE:
în 1/3 mijlocie a hemitoracelui drept, perihilar → opacitate nodulară, unică, dimensiune medie, intensitate mare, neomogenă, contur neregulat
trimite prelungiri spre parenchimul pulmonar
DX: NBP periferic
DD:
MTS pulmonară hematogenă unică
chist hidatic necomplicat
tuberculom
abces neevacuat

Rx toracică, incidență P-A (centrată pe hemitoracele drept)
DESCRIERE:
în 1/3 inf a hemitoracelui stg → opacitate nodulară, unică, dimensiune medie, intensitate mare, neomogenă, contur neregulat
trimite prelungiri spre parenchimul pulmonar
DX: NBP periferic
DD:
MTS pulmonară hematogenă unică
chist hidatic necomplicat
tuberculom
abces neevacuat

Rx toracică, incidență P-A (centrată pe hemitoracele drept)
DESCRIERE:
în 1/3 inf a hemitoracelui drept → opacitate nodulară, unică, dimensiune medie, intensitate mare, neomogenă, contur neregulat
trimite prelungiri spre parenchimul pulmonar
DX: NBP periferic
DD:
MTS pulmonară hematogenă unică
chist hidatic necomplicat
tuberculom
abces neevacuat

Rx toracică, incidență P-A
DESCRIERE:
în 1/3 medie a hemitoracelui stâng, perihilar → hipertransparență unică, dimensiune mare, cu perete gros și contur intern și extern neregulat
linie de separație față de elem. din mediastin
discretă accentuare a hilurilor
DX: cavernă neoplazică (necroza unui NBP periferic nodular)
DD:
cavernă TBC - localizare apicală
abces complet evacuat/chist aerian/bulă de emfizem - contur regulat, pereți subțiri

Rx toracică, incidență P-A
DESCRIERE:
în 1/2 sup. a hemitoracelui drept → opacitate întinsă, nesistematizată, de intensitate mare, omogenă, cu contur difuz
procese de osteoliză la nivelul coastelor din vecinătate
în 1/3 inf. a hemitoracelui drept → placard de intensitate mare, calcară, neomogen, cu contur neregulat
DX: sdr. Pancoast-Tobias + pahipleurită calcară “în platoșă“
DD:
abces neevacuat
chist hidatic necomplicat
cavernă TBC neevacuată
→ fără osteoliză

Rx toracică, incidență P-A
DESCRIERE:
în 1/3 sup. a hemitoracelui stg → opacitate nodulară, unică, de dimensiune mare, intensitate mare, omogenă, contur neregulat
procese de osteoliză la nivelul coastelor din vecinătate
DX: sdr. Pancoast-Tobias
DD:
abces neevacuat
chist hidatic necomplicat
cavernă TBC neevacuată
→ fără osteoliză

Rx toracică, incidență P-A
DESCRIERE:
în 1/3 sup. a hemitoracelui stg → opacitate nodulară, unică, de dimensiune mare, intensitate mare, omogenă, contur neregulat
procese de osteoliză la nivelul coastelor din vecinătate
DX: sdr. Pancoast-Tobias
DD:
abces neevacuat
chist hidatic necomplicat
cavernă TBC neevacuată
→ fără osteoliză

Rx toracică, incidență P-A
DESCRIERE:
în 1/3 sup. a hemitoracelui stg → opacitate nodulară, unică, de dimensiune mare, intensitate mare, omogenă, contur neregulat
procese de osteoliză la nivelul coastelor din vecinătate
DX: sdr. Pancoast-Tobias
DD:
abces neevacuat
chist hidatic necomplicat
cavernă TBC neevacuată
→ fără osteoliză

Rx toracică, incidență P-A, centrată pe hemitoracele dr
DESCRIERE:
în 1/3 sup. a hemitoracelui dr → opacitate nodulară, unică, de dimensiune mare, intensitate mare, omogenă, contur neregulat
procese de osteoliză la nivelul coastelor din vecinătate
DX: sdr. Pancoast-Tobias
DD:
abces neevacuat
chist hidatic necomplicat
cavernă TBC neevacuată
→ fără osteoliză

Rx toracică, incidență P-A
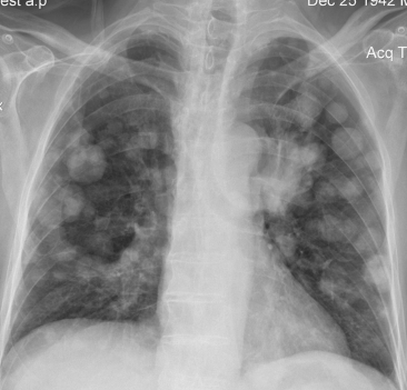
DESCRIERE:
pe tot teritoriul pulmonar, bilateral → opacități nodulare multiple de dimensiuni variabile, intensitate medie-mare, omogene, cu contur net
distribuție anarhică
blocuri adenopatice la niv. hilurilor pulmonare
DX: MTS pulmonare hematogene
DD:
hidatidoză - dimensiuni mai mari
bronhopneumonie - contur neregulat, neomogene, distribuție bazală

Rx toracică, incidență P-A
DESCRIERE:
pe tot teritoriul pulmonar, bilateral → opacități nodulare multiple de dimensiuni variabile, intensitate medie-mare, omogene, cu contur net
distribuție anarhică
blocuri adenopatice la niv. hilurilor pulmonare
DX: MTS pulmonare hematogene
DD:
hidatidoză - dimensiuni mai mari
bronhopneumonie - contur neregulat, neomogene, distribuție bazală

Rx toracică, incidență P-A
DESCRIERE:
pe tot teritoriul pulmonar, bilateral → opacități nodulare multiple de dimensiuni variabile, intensitate medie-mare, omogene, cu contur net
distribuție anarhică
blocuri adenopatice la niv. hilurilor pulmonare
DX: MTS pulmonare hematogene
DD:
hidatidoză - dimensiuni mai mari
bronhopneumonie - contur neregulat, neomogene, distribuție bazală

Rx toracică, incidență P-A
DESCRIERE:
pe tot teritoriul pulmonar, bilateral → opacități nodulare multiple de dimensiuni variabile, intensitate medie-mare, omogene, cu contur net
distribuție anarhică
blocuri adenopatice la niv. hilurilor pulmonare
DX: MTS pulmonare hematogene
DD:
hidatidoză - dimensiuni mai mari
bronhopneumonie - contur neregulat, neomogene, distribuție bazală

Rx toracică, incidență P-A
DESCRIERE:
pe tot teritoriul pulmonar, bilateral → opacități nodulare multiple de dimensiuni variabile, intensitate medie-mare, omogene, cu contur net
distribuție anarhică
blocuri adenopatice la niv. hilurilor pulmonare
DX: MTS pulmonare hematogene
DD:
hidatidoză - dimensiuni mai mari
bronhopneumonie - contur neregulat, neomogene, distribuție bazală

Rx toracică, incidență P-A
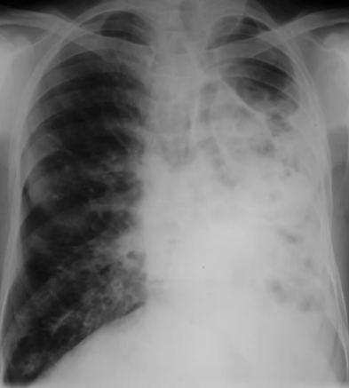
DESCRIERE:
la niv. întregului hemitorace dr → opacitate extinsă, nesistematizată, de intensitate mare, omogenă
caracter retractil → tracționează traheea și mediastinul de partea afectată
fără bronhogramă aerică
la niv. hemitoracelui stg → opacități nodulare multiple de dimensiuni variabile, intensitate medie-mare, omogene, cu contur net
DX: atelectazie prin NBP central endobronșic pe bronhia principală dreaptă + MTS pulmonare hematogene
DD:
hidatidoză
pleurezie masivă - caracter expansiv

Rx toracică, incidență P-A
DESCRIERE:
la niv. hemitoracelui stg → hipertransparențe multiple, rotunde/poliedrice, cu perete subțire, care se suprapun => opacitate neomogenă, reticulară, cu aspect de “bule de săpun“
caracter retractil → tracționează traheea și mediastinul de partea afectată
la niv. hemitoracelui drept → hipertransparență compensatorie (emfizem)
DX: plămân polichistic (anomalie congenitală)
DD:
atelectazie
bronșiectazie
bronhopneumonie

Rx toracică, incidență P-A
DESCRIERE:
la niv. hemitoracelui stg → hipertransparențe multiple, rotunde/poliedrice, cu perete subțire, care se suprapun => opacitate neomogenă, reticulară, cu aspect de “bule de săpun“
caracter retractil → tracționează traheea și mediastinul de partea afectată
la niv. hemitoracelui drept → hipertransparență compensatorie (emfizem)
DX: plămân polichistic (anomalie congenitală)
DD:
atelectazie
bronșiectazie
bronhopneumonie

Rx toracică, incidență P-A
DESCRIERE:
la niv. hemitoracelui stg → hipertransparențe multiple, rotunde/poliedrice, cu perete subțire, care se suprapun => opacitate neomogenă, reticulară, cu aspect de “bule de săpun“
caracter retractil → tracționează traheea și mediastinul de partea afectată
la niv. hemitoracelui drept → hipertransparență compensatorie (emfizem)
DX: plămân polichistic (anomalie congenitală)
DD:
atelectazie
bronșiectazie
bronhopneumonie

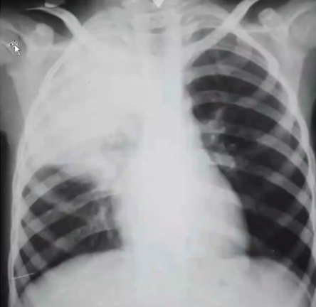
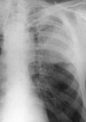
Rx toracică, incidență P-A
DESCRIERE:
în 1/2 sup. a hemitoracelui drept → opacitate triunghiulară cu vf. la hil și baza la periferie, intensitate mare, omogenă
limita spre scizură este netă
fără caracter retractil
bronhograma aerică prezentă (hipertransparențe canaliculare)
DX: pneumonie lobară de lob sup. drept
DD:
atelectazie - caract. retractil
infarct pulmonar

Rx toracică, incidență P-A
DESCRIERE:
în 1/2 sup. a hemitoracelui drept → opacitate triunghiulară cu vf. la hil și baza la periferie, intensitate mare, omogenă
limita spre scizură este netă
fără caracter retractil
bronhograma aerică prezentă (hipertransparențe canaliculare)
DX: pneumonie lobară de lob sup. drept
DD:
atelectazie - caract. retractil
infarct pulmonar

Rx toracică, incidență P-A, centrată pe hemitoracele dr
DESCRIERE:
în 1/2 mijl. a hemitoracelui drept → opacitate triunghiulară cu vf. la hil și baza la periferie, intensitate mare, omogenă
limita spre scizură este netă
fără caracter retractil
bronhograma aerică prezentă (hipertransparențe canaliculare)
DX: pneumonie lobară de lob mijl. drept
DD:
atelectazie - caract. retractil
infarct pulmonar

Rx toracică, incidență P-A
DESCRIERE:
în 1/3 mijl. a hemitoracelui drept → opacitate triunghiulară cu vf. la hil și baza la periferie, intensitate mare, omogenă
limita spre scizură este netă
fără caracter retractil
bronhograma aerică prezentă (hipertransparențe canaliculare)
DX: pneumonie lobară de lob mijl. drept
DD:
atelectazie - caract. retractil
infarct pulmonar

Rx toracică, incidență P-A, centrată pe hemitoracele stg
DESCRIERE:
în 1/3 sup. a hemitoracelui stg → opacitate triunghiulară cu vf. la hil și baza la periferie, intensitate mare, omogenă
limita spre scizură este netă
fără caracter retractil
bronhograma aerică prezentă (hipertransparențe canaliculare)
DX: pneumonie lobară de lob sup. stg
DD:
atelectazie - caract. retractil
infarct pulmonar

Rx toracică, incidență P-A
DESCRIERE:
pe tot teritoriul pulmonar, bilateral → opacități nodulare multiple de dimensiuni variabile, intensitate medie-mare, omogene, cu contur imprecis delim
confluente
distribuție anarhică
DX: bronhopneumonie
DD:
miliara TBC
MTS pulm hematogene

Rx toracică, incidență P-A
DESCRIERE:
pe tot teritoriul pulmonar, bilateral → opacități nodulare multiple de dimensiuni variabile, intensitate medie-mare, omogene, cu contur imprecis delim
confluente
distribuție anarhică
DX: bronhopneumonie
DD:
miliara TBC
MTS pulm hematogene

Rx toracică, incidență P-A
DESCRIERE:
pe tot teritoriul pulmonar, bilateral → opacități nodulare multiple de dimensiuni variabile, intensitate medie-mare, omogene, cu contur imprecis delim
confluente
distribuție anarhică
DX: bronhopneumonie
DD:
miliara TBC
MTS pulm hematogene

Rx toracică, incidență P-A
DESCRIERE:
pe tot teritoriul pulmonar, bilateral → opacități nodulare multiple de dimensiuni variabile, intensitate medie-mare, omogene, cu contur imprecis delim
confluente
distribuție anarhică
DX: bronhopneumonie
DD:
miliara TBC
MTS pulm hematogene

Rx toracică, incidență P-A
DESCRIERE:
pe tot teritoriul pulmonar, bilateral → opacități nodulare multiple de dimensiuni variabile, intensitate medie-mare, omogene, cu contur imprecis delim
confluente
distribuție anarhică
DX: bronhopneumonie
DD:
miliara TBC
MTS pulm hematogene

Rx toracică, incidență P-A
DESCRIERE:
triunghi bronșiectatic hilio-bazal, alcătuit din
dilatații bronșice pline - aspect de ciorchine
dilatații bronșice goale - aspect de fagure
DX: bronșiectazie
DD:
atelectazie - caract. retractil
infarct pulmonar

Rx toracică, incidență P-A (centrată pe hemitoracele drept)
DESCRIERE:
în 1/2 sup. a hemitoracelui stg → imagine hidro-aerică cu nivel orizontal de lichid (hipertransparență superior + opacitate cu nivel orizontal inferior), de formă ovalară, de dimensiune mare, cu perete de grosime medie și contur intern și extern imprecise
DX: abces pulmonar vechi după vomică
DD:
abces pulmonar recent după vomică - pereți mai groși
cavernă TBC - pereți mai subțiri
cavernă neoplazică - trimite prelungiri
chist hidatic rupt - pereți mai subțiri, regulați, nivel ondulant de lichid

Rx toracică, incidență P-A (centrată pe hemitoracele drept)
DESCRIERE:
în 1/3 mijlocie a hemitoracelui drept → imagine hidro-aerică cu nivel orizontal de lichid, de formă rotund-ovalară, de dimensiune mare, cu perete gros și contur intern și extern imprecise
hipertransparență superior + opacitate cu nivel orizontal inferior
aspect particular de “gură de cuptor“
DX: abces pulmonar recent după vomică
DD:
abces pulmonar vechi după vomică - pereți mai subțiri
cavernă TBC - pereți mai subțiri
cavernă neoplazică - trimite prelungiri
chist hidatic rupt - pereți mai subțiri, regulați, nivel ondulant de lichid

Rx toracică, incidență P-A
DESCRIERE:
în 1/2 sup. a hemitoracelui stg → imagine hidro-aerică cu nivel orizontal de lichid (hipertransparență superior + opacitate cu nivel orizontal inferior), de formă ovalară, de dimensiune mare, cu perete de grosime medie și contur intern și extern imprecise
DX: abces pulmonar vechi după vomică
DD:
abces pulmonar recent după vomică - pereți mai groși
cavernă TBC - pereți mai subțiri
cavernă neoplazică - trimite prelungiri
chist hidatic rupt - pereți mai subțiri, regulați, nivel ondulant de lichid

Rx toracică, incidență P-A
DESCRIERE:
în 1/3 mijl. a hemitoracelui dr → imagine hidro-aerică cu nivel orizontal de lichid (hipertransparență superior + opacitate cu nivel orizontal inferior), de formă ovalară, de dimensiune mare, cu perete de grosime medie și contur intern și extern imprecise
DX: abces pulmonar vechi după vomică
DD:
abces pulmonar recent după vomică - pereți mai groși
cavernă TBC - pereți mai subțiri
cavernă neoplazică - trimite prelungiri
chist hidatic rupt - pereți mai subțiri, regulați, nivel ondulant de lichid

Rx toracică, incidență P-A
DESCRIERE:
în 1/2 sup. a hemitoracelui stg → imagine hidro-aerică cu nivel orizontal de lichid (hipertransparență superior + opacitate cu nivel orizontal inferior), de formă ovalară, de dimensiune mare, cu perete de grosime medie și contur intern și extern imprecise
DX: abces pulmonar vechi după vomică
DD:
abces pulmonar recent după vomică - pereți mai groși
cavernă TBC - pereți mai subțiri
cavernă neoplazică - trimite prelungiri
chist hidatic rupt - pereți mai subțiri, regulați, nivel ondulant de lichid

Rx toracică, incidență P-A
DESCRIERE:
în 1/2 sup. a hemitoracelui drept → hipertransparență unică, de dimensiuni mari, perete de grosime medie, contur regulat
DX: cavernă TBC
DD:
cavernă neoplazică - perete mai gros, anfractuos
abces complet evacuat - perete mai gros
chist aerian - perete f. subțire

Rx toracică, incidență P-A
DESCRIERE:
în 1/3 sup. a hemitoracelui drept → hipertransparență unică, de dimensiuni mari, perete de grosime medie, contur regulat
DX: cavernă TBC
DD:
cavernă neoplazică - perete mai gros, anfractuos
abces complet evacuat - perete mai gros
chist aerian - perete f. subțire

Rx toracică, incidență P-A
DESCRIERE:
în 1/3 sup. a hemitoracelui drept → hipertransparență unică, de dimensiuni mari, perete de grosime medie, contur regulat
DX: cavernă TBC
DD:
cavernă neoplazică - perete mai gros, anfractuos
abces complet evacuat - perete mai gros
chist aerian - perete f. subțire

Rx toracică, incidență P-A
DESCRIERE:
în 1/3 sup. a hemitoracelui drept → hipertransparență unică, de dimensiuni mari, perete de grosime mică, contur regulat
DX: cavernă TBC
DD:
cavernă neoplazică - perete mai gros, anfractuos
abces complet evacuat - perete mai gros
chist aerian - perete f. subțire

Rx toracică, incidență P-A
DESCRIERE:
DX: TB secundară (caverne + miliară)
DD:
cavernă neoplazică - perete mai gros, anfractuos
abces complet evacuat - perete mai gros
chist aerian - perete f. subțire

Rx toracică, incidență P-A
DESCRIERE:
DX: cavernă TBC suprainfectată
DD:
cavernă neoplazică - perete mai gros, anfractuos
abces complet evacuat - perete mai gros
chist aerian - perete f. subțire

Rx toracică, incidență P-A
DESCRIERE:
pe tot teritoriul pulmonar, bilateral → multiple opacități micronodulare diseminate, de intensitate mare
la niv. hilului drept → opacitate policiclică (blocuri adenopatice)
DX: miliara TBC
DD:
miliara carcinomatoasă
bronhopneumonie
→ distribuție predominant bazală, noduli de dimensiuni mai mari, fără ADP

Rx toracică, incidență P-A
DESCRIERE:
pe tot teritoriul pulmonar, bilateral → multiple opacități micronodulare diseminate, de intensitate mare
la niv. hilului drept → opacitate policiclică (blocuri adenopatice)
DX: miliara TBC
DD:
miliara carcinomatoasă
bronhopneumonie
→ distribuție predominant bazală, noduli de dimensiuni mai mari, fără ADP

Rx toracică, incidență P-A
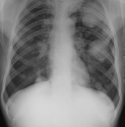
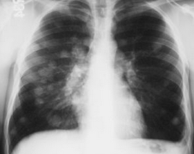
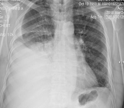
DESCRIERE:
la niv. ½ inf. a hemitoracelui dr → opacitate nodulară, unică, dimensiune mare, intensitate medie, omogenă, contur net, cu plasticitate la contactul cu structurile vecine
DX: chist hidatic necomplicat
DD:
abces pulmonar înainte de vomică - contur neregulat
NBP nodular periferic - contur neregulat, trimite prelungiri

Rx toracică, incidență P-A
DESCRIERE:
la niv. ½ inf. a hemitoracelui dr → opacitate nodulară, unică, dimensiune mare, intensitate medie, omogenă, contur net, cu plasticitate la contactul cu structurile vecine
DX: chist hidatic necomplicat
DD:
abces pulmonar înainte de vomică - contur neregulat
NBP nodular periferic - contur neregulat, trimite prelungiri

Rx toracică, incidență P-A
DESCRIERE:
la niv. ½ inf. a hemitoracelui dr → opacitate nodulară, unică, dimensiune mare, intensitate medie, omogenă, contur net, cu plasticitate la contactul cu structurile vecine
DX: chist hidatic necomplicat
DD:
abces pulmonar înainte de vomică - contur neregulat
NBP nodular periferic - contur neregulat, trimite prelungiri

Rx toracică, incidență P-A
DESCRIERE:
la niv. ½ inf. a hemitoracelui dr → opacitate nodulară, unică, dimensiune mare, intensitate medie, omogenă, contur net, cu plasticitate la contactul cu structurile vecine
DX: chist hidatic necomplicat
DD:
abces pulmonar înainte de vomică - contur neregulat
NBP nodular periferic - contur neregulat, trimite prelungiri

Rx toracică, incidență P-A
DESCRIERE:
la niv. 1/3 inf. a hemitoracelui dr → opacitate nodulară, unică, dimensiune mare, intensitate medie, omogenă, contur net, cu plasticitate la contactul cu structurile vecine
DX: chist hidatic necomplicat
DD:
abces pulmonar înainte de vomică - contur neregulat
NBP nodular periferic - contur neregulat, trimite prelungiri

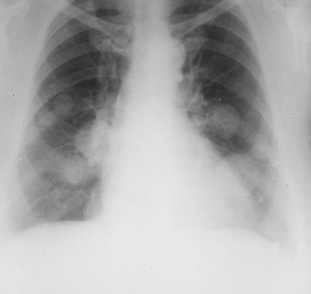
Rx toracică, incidență P-A
DESCRIERE:
la niv. 1/3 inf. a hemitoracelui dr, supradiafragmatic → opacitate nodulară, dimensiune mare, intensitate medie, omogenă, contur net, care aparține pulmonului (regulile Bernou, Felson, Lenck)
la niv. 1/3 mijlocii a hemitoracelui stg, perihilar → opacitate nodulară, dimensiune mare, intensitate medie, omogenă, contur net, deformată prin contact cu mediastinul
cu plasticitate la contactul cu structurile vecine
DX: hidatidoză necomplicată
DD:
abces pulmonar înainte de vomică - contur neregulat
NBP nodular periferic - contur neregulat, trimite prelungiri
MTS hematogene - dimensiuni mai mici

Rx toracică, incidență P-A
DESCRIERE:
la niv. 1/3 inf. a hemitoracelui dr, supradiafragmatic → opacitate nodulară, dimensiune mare, intensitate medie, omogenă, contur net, care aparține pulmonului (regulile Bernou, Felson, Lenck)
la niv. 1/3 mijlocii a hemitoracelui stg, perihilar → opacitate nodulară, dimensiune mare, intensitate medie, omogenă, contur net, deformată prin contact cu mediastinul
DX: hidatidoză necomplicată
DD:
abces pulmonar înainte de vomică - contur neregulat
NBP nodular periferic - contur neregulat, trimite prelungiri
MTS hematogene - dimensiuni mai mici

Rx toracică, incidență P-A
DESCRIERE:
Leziune hidro-aerica pulmonara cu nivel hidro-aeric ondulant si perete subtire si neted
DX: chist hidatic evacuat
DD:

Rx toracică, incidență P-A
DESCRIERE:
Leziune hidro-aerica pulmonara cu nivel hidro-aeric ondulant si perete subtire si neted
DX: chist hidatic evacuat
DD:

Rx toracică, incidență P-A
DESCRIERE:
Leziune hidro-aerica pulmonara cu nivel hidro-aeric convex (imagine in menisc) si perete subtire si neted
DX: chist hidatic evacuat
DD:

Rx toracică, incidență P-A
DESCRIERE:
Leziune hidro-aerica pulmonara cu nivel hidro-aeric ondulat si perete subtire si neted
DX: chist hidatic evacuat
DD:

Rx toracică, incidență P-A
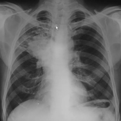
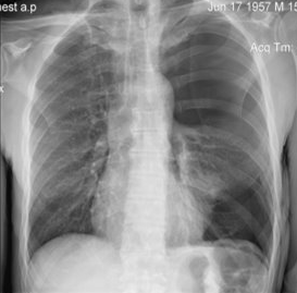
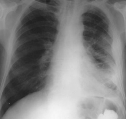
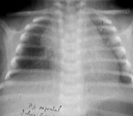
DESCRIERE:
½ inf. a hemitoracelui dr → opacitate extinsă, nesistematizată, de intensitate mare, omogenă
caracter expansiv → împinge traheea și mediastinul de partea opusă
diafragm deplasat în jos
lărgirea spațiilor intercostale
umplerea spațiului costo-diafragmatic
DX: pleurezie masivă
DD: atelectazie → caracter retractil

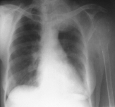
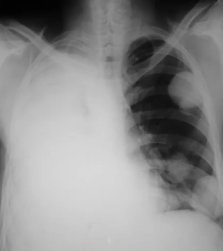
Rx toracică, incidență P-A
DESCRIERE:
la niv. întregului hemitorace drept → opacitate extinsă, nesistematizată, de intensitate mare, omogenă
caracter expansiv → împinge traheea și mediastinul de partea opusă
diafragm deplasat în jos
lărgirea spațiilor intercostale
umplerea spațiului costo-diafragmatic
DX: pleurezie masivă
DD: atelectazie → caracter retractil

Rx toracică, incidență P-A
DESCRIERE:
la niv. întregului hemitorace drept → opacitate extinsă, nesistematizată, de intensitate mare, omogenă
caracter expansiv → împinge traheea și mediastinul de partea opusă
diafragm deplasat în jos
lărgirea spațiilor intercostale
umplerea spațiului costo-diafragmatic
DX: pleurezie masivă
DD: atelectazie → caracter retractil

Rx toracică, incidență P-A
DESCRIERE:
la niv. întregului hemitorace drept → opacitate extinsă, nesistematizată, de intensitate mare, omogenă
caracter expansiv → împinge traheea și mediastinul de partea opusă
diafragm deplasat în jos
lărgirea spațiilor intercostale
umplerea spațiului costo-diafragmatic
DX: pleurezie masivă
DD: atelectazie → caracter retractil

Rx toracică, incidență P-A
DESCRIERE:
½ inf hemitorace drept → opacitate extinsă, nesistematizată, de intensitate mare, omogenă
limita sup concavă (curba lui Damoiseau)
DX: pleurezie în cant. medie
DD: atelectazie → caracter retractil

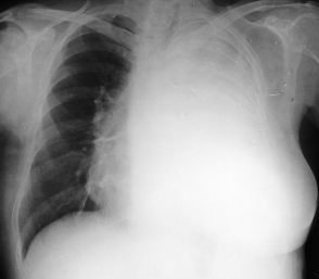
Rx toracică, incidență P-A
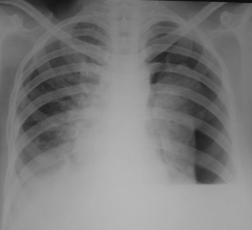
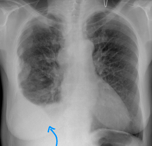
DESCRIERE:
în ½ inf. a hemitoracelui dr → opacitate extinsă, de intensitate mare, omogenă, cu limita sup. concavă, ascendentă spre axilă (linia lui Damoiseau)
opacitate liniară/fusiformă, închistată, biconvexă, acoperită parțial de prima opacitate
DX: pleurezie liberă în cantitate medie-mare + pleurezie închistată
DD: pneumonie extinsă - bronhogramă aerică, limite nete

Rx toracică, incidență P-A
DESCRIERE:
DX: pleurezie liberă în cantitate medie-mare + pleurezie închistată ??
DD: pneumonie extinsă - bronhogramă aerică, limite nete

Rx toracică, incidență P-A
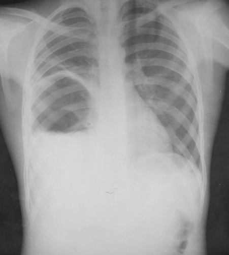
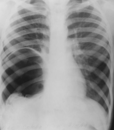
DESCRIERE:
la nivelul hemitoracelui dr → hipertransparență fără desen vascular pulmonar, cu colabarea plămânului spre hil, care este conturat de o linie fină (pleura viscerală)
caracter expansiv → deplasarea mediastinului de partea opusă
diafragm deplasat în jos
lărgirea spațiilor intercostale
DX: pneumotorax
DD:
emfizem pulmonar - desen vascular păstrat
bulă gigantică de emfizem - nu se văd pleura viscerală și plămânul colabat

Rx toracică, incidență P-A
DESCRIERE:
la nivelul hemitoracelui stg → hipertransparență fără desen vascular pulmonar, cu colabarea plămânului spre hil, care este conturat de o linie fină (pleura viscerală)
caracter expansiv → deplasarea mediastinului de partea opusă
diafragm deplasat în jos
lărgirea spațiilor intercostale
DX: pneumotorax
DD:
emfizem pulmonar - desen vascular păstrat
bulă gigantică de emfizem - nu se văd pleura viscerală și plămânul colabat

Rx toracică, incidență P-A
DESCRIERE:
la nivelul hemitoracelui stg → hipertransparență fără desen vascular pulmonar, cu colabarea plămânului spre hil (aspect de opacitate ca un “bont“)
diafragm deplasat în jos
lărgirea spațiilor intercostale
DX: pneumotorax total
DD:
emfizem pulmonar - desen vascular păstrat
bulă gigantică de emfizem - nu se văd pleura viscerală și plămânul colabat
agenezie congenitală de parenchim pulmonar

Rx toracică, incidență P-A
DESCRIERE:
la nivelul hemitoracelui dr → hipertransparență fără desen vascular pulmonar, cu colabarea plămânului spre hil (aspect de opacitate ca un “bont“)
diafragm deplasat în jos
lărgirea spațiilor intercostale
DX: pneumotorax total
DD:
emfizem pulmonar - desen vascular păstrat
bulă gigantică de emfizem - nu se văd pleura viscerală și plămânul colabat
agenezie congenitală de parenchim pulmonar

Rx toracică, incidență P-A
DESCRIERE:
la nivelul hemitoracelui dr → hipertransparență fără desen vascular pulmonar, cu colabarea plămânului spre hil (aspect de opacitate ca un “bont“)
diafragm deplasat în jos
lărgirea spațiilor intercostale
DX: pneumotorax total
DD:
emfizem pulmonar - desen vascular păstrat
bulă gigantică de emfizem - nu se văd pleura viscerală și plămânul colabat
agenezie congenitală de parenchim pulmonar

Rx toracică, incidență P-A
DESCRIERE:
la nivelul hemitoracelui stg → hipertransparență fără desen vascular pulmonar, cu colabarea plămânului spre hil (aspect de opacitate ca un “bont“)
diafragm deplasat în jos
lărgirea spațiilor intercostale
DX: pneumotorax total
DD:
emfizem pulmonar - desen vascular păstrat
bulă gigantică de emfizem - nu se văd pleura viscerală și plămânul colabat
agenezie congenitală de parenchim pulmonar

Rx toracică, incidență P-A
DESCRIERE:
la nivelul hemitoracelui stg → hipertransparență fără desen vascular pulmonar, cu colabarea plămânului spre hil (aspect de opacitate ca un “bont“)
diafragm deplasat în jos
lărgirea spațiilor intercostale
DX: pneumotorax total
DD:
emfizem pulmonar - desen vascular păstrat
bulă gigantică de emfizem - nu se văd pleura viscerală și plămânul colabat
agenezie congenitală de parenchim pulmonar

Rx toracică, incidență P-A
DESCRIERE:
DX: hidropneumotorax
DD:

Rx toracică, incidență P-A
DESCRIERE:
DX: hidropneumotorax
DD:

Rx toracică, incidență P-A
DESCRIERE:
DX: hidropneumotorax
DD:

Rx toracică, incidență P-A
DESCRIERE:
pe peretele toracic stg, la niv. pleurei (unghi obtuz cf regulii lui Bernou) → opacitate extinsă, polilobată, de intensitate medie-mare, omogenă, cu contur rotunjit, relativ net
DX: mezoteliom pleural
DD:
NBP periferic - unghi ascuțit cf regulii lui Bernou
pleurezie închistată

Rx toracică, incidență P-A
DESCRIERE:
pe peretele toracic stg, la niv. pleurei (unghi obtuz cf regulii lui Bernou) → opacitate extinsă, polilobată, de intensitate medie-mare, omogenă, cu contur rotunjit, relativ net
DX: mezoteliom pleural
DD:
NBP periferic - unghi ascuțit cf regulii lui Bernou
pleurezie închistată

Rx toracică, incidență P-A
DESCRIERE:
pe peretele toracic stg, la niv. pleurei (unghi obtuz cf regulii lui Bernou) → opacitate extinsă, polilobată, de intensitate medie-mare, omogenă, cu contur rotunjit, relativ net
DX: mezoteliom pleural
DD:
NBP periferic - unghi ascuțit cf regulii lui Bernou
pleurezie închistată

Rx toracică, incidență P-A
DESCRIERE:
pe peretele toracic stg, la niv. pleurei (unghi obtuz cf regulii lui Bernou) → opacitate extinsă, polilobată, de intensitate medie-mare, omogenă, cu contur rotunjit, relativ net
la baza plămânului dr → opacitate de intensitate mare, omogenă, cu limita sup. concavă, ascendentă spre axilă (linia lui Damoiseau)
DX: mezoteliom pleural + pleurezie închistată
DD:
NBP periferic - unghi ascuțit cf regulii lui Bernou

Rx toracică, incidență P-A
DESCRIERE:
opacitate cervico-mediastinală cu limite externe nete, în mediastinul antero-sup, ce deviază traheea
DX: gușă cervico-mediastinală (plonjantă)
DD:

Rx toracică, incidență P-A
DESCRIERE:
opacitate cervico-mediastinală cu limite externe nete, în mediastinul antero-sup, ce deviază traheea lat și post, neomogenă datorită calcificărilor
diametrul sup > diametrul inf
DX: gușă cervico-mediastinală (plonjantă)
DD:

Rx toracică, incidență P-A
DESCRIERE:
DX: hiperplazie timică bilaterală
DD:

Rx toracică, incidență P-A
DESCRIERE:
DX: hiperplazie timică unilaterală
DD:

Rx toracică, incidență P-A
DESCRIERE:
opacitate mediastinala asimetrica ce lărgește mediastinul in etajele superior si mijlociu, cu contur polilobat (policiclic), bine delimitat
DX: adenopatii tumorale mediastinale (limfom Hodgkin)
DD:

Rx toracică, incidență P-A
DESCRIERE:
opacitate mediastinala asimetrica ce lărgește mediastinul in etajele superior si mijlociu, cu contur polilobat (policiclic), bine delimitat
DX: adenopatii tumorale mediastinale (limfom Hodgkin)
DD:

Rx toracică, incidență P-A
DESCRIERE:
opacitate mediastinala asimetrica ce lărgește mediastinul in etajele superior si mijlociu, cu contur polilobat (policiclic), bine delimitat
DX: adenopatii tumorale mediastinale (limfom Hodgkin)
DD:

Rx toracică, incidență P-A
DESCRIERE:
opacitate mediastinala asimetrica ce lărgește mediastinul in etajele superior si mijlociu, cu contur polilobat (policiclic), bine delimitat
DX: adenopatii tumorale mediastinale (limfom Hodgkin)
DD:

Rx toracică, incidență P-A
DESCRIERE:
opacitate nodulara, bine delimitata, localizata in mediastinul posterior paravertebral drept (in santul costo-vertebral, largind spatiul intercostal + scolioza), cu dimensiuni de 6 x 4 cm, bine delimitata
DX: tumoră neurogenă
DD:

Rx toracică, incidență P-A
DESCRIERE:
DX: anevrism de Ao ascendentă
DD:

Rx toracică, incidență P-A
DESCRIERE: DAS + stază
indice cardiotoracic ↑
semne de dilatare a AS:
dublu contur inferior drept (contur dublu “festonat“)
deschiderea unghiului de bifurcație a traheei >120 grade
bombarea arcului mijl stg (golful pulm) → HTP
semne de stază pulm: dilatarea hilurilor + apicalizarea circulației + linii Kerley B
DX: stenoză mitrală
DD: insuf mitrală, boală mitrală, stenoză Ao

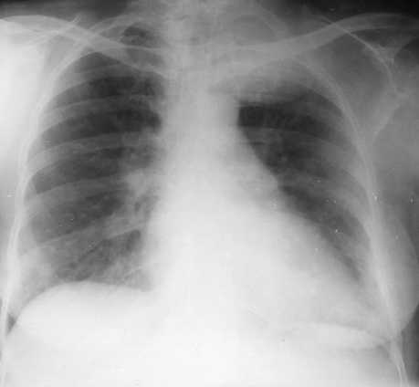
Rx toracică, incidență P-A
DESCRIERE: DAS + stază
indice cardiotoracic ↑
semne de dilatare a AS:
dublu contur inferior drept (contur dublu “festonat“)
deschiderea unghiului de bifurcație a traheei >120 grade
bombarea arcului mijl stg (golful pulm) → HTP
semne de stază pulm: dilatarea hilurilor + apicalizarea circulației + linii Kerley B
DX: stenoză mitrală
DD: insuf mitrală, boală mitrală, stenoză Ao