1/63
Name | Mastery | Learn | Test | Matching | Spaced | Call with Kai |
|---|
No analytics yet
Send a link to your students to track their progress

🧠🐌 Acanthamoeba castellani (Trofozoit)
🧩🦠 Organelle:
🔴- pseudopodium (akantopodium);
🔴 - jądro komórkowe + kariosom;
🔴 - wodniczka tętniąca.
😷❓ Parazytoza: Akantomeboza
🔬🧫 Na podstawie zdjęcia preparatu:
📖 rozpoznaj gatunek pasożyta;
♻ rozpoznaj wszystkie formy rozwojowe;
🦠 wskaż organelle i cechy charakterystyczne dla danego gatunku (jeśli to możliwe);
😷 nazwij chorobę, którą pasożyt wywołuje.


🧠🐌 Acanthamoeba castellani (Trofozoit)
🧩🦠 Organelle:
🔴- pseudopodium (akantopodium);
🔴 - jądro komórkowe + kariosom;
🔴 - wodniczka tętniąca.
😷❓ Parazytoza: Akantomeboza
🔬🧫 Na podstawie zdjęcia preparatu:
📖 rozpoznaj gatunek pasożyta;
♻ rozpoznaj wszystkie formy rozwojowe;
🦠 wskaż organelle i cechy charakterystyczne dla danego gatunku;
😷 nazwij chorobę, którą pasożyt wywołuje.


🐱🦠 Toxoplasma gondii (Cysta)
🧩🦠 Organelle:
🔴 - otoczka;
⚫️ - bradyzoity.
😷❓ Parazytoza: Toksoplazmoza
🔬🧫 Na podstawie zdjęcia preparatu:
📖 rozpoznaj gatunek pasożyta;
♻ rozpoznaj wszystkie formy rozwojowe;
🦠 wskaż organelle i cechy charakterystyczne dla danego gatunku;
😷 nazwij chorobę, którą pasożyt wywołuje.


🐱🦠 Toxoplasma gondii (Cysta)
🧩🦠 Organelle:
🔴 - otoczka;
⚫️ - bradyzoity.
😷❓ Parazytoza: Toksoplazmoza
🔬🧫 Na podstawie zdjęcia preparatu:
📖 rozpoznaj gatunek pasożyta;
♻ rozpoznaj wszystkie formy rozwojowe;
🦠 wskaż organelle i cechy charakterystyczne dla danego gatunku;
😷 nazwij chorobę, którą pasożyt wywołuje.


🐱🦠 Toxoplasma gondii (Trofozoit)
😷❓ Parazytoza: Toksoplazmoza
🔬🧫 Na podstawie zdjęcia preparatu:
📖 rozpoznaj gatunek pasożyta;
♻ rozpoznaj wszystkie formy rozwojowe;
🦠 wskaż organelle i cechy charakterystyczne dla danego gatunku;
😷 nazwij chorobę, którą pasożyt wywołuje.


🐱🦠 Toxoplasma gondii (Trofozoit)
😷❓ Parazytoza: Toksoplazmoza
🔬🧫 Na podstawie zdjęcia preparatu:
📖 rozpoznaj gatunek pasożyta;
♻ rozpoznaj wszystkie formy rozwojowe;
🦠 wskaż organelle i cechy charakterystyczne dla danego gatunku;
😷 nazwij chorobę, którą pasożyt wywołuje.


🐱🦠 Toxoplasma gondii (Trofozoit)
😷❓ Parazytoza: Toksoplazmoza
🔬🧫 Na podstawie zdjęcia preparatu:
📖 rozpoznaj gatunek pasożyta;
♻ rozpoznaj wszystkie formy rozwojowe;
🦠 wskaż organelle i cechy charakterystyczne dla danego gatunku;
😷 nazwij chorobę, którą pasożyt wywołuje.


🐱🦠 Toxoplasma gondii (Bradyzoit)
🔴 - Bradyzoity.
😷❓ Parazytoza: Toksoplazmoza
🔬🧫 Na podstawie zdjęcia preparatu:
📖 rozpoznaj gatunek pasożyta;
♻ rozpoznaj wszystkie formy rozwojowe;
🦠 wskaż organelle i cechy charakterystyczne dla danego gatunku;
😷 nazwij chorobę, którą pasożyt wywołuje.


💠💍 Babesia canis
🟡 - Tetrada merozoitów (krzyż maltański)
🟢- Stadium pierścienia
😷❓ Parazytoza: Babeszjoza
🔬🧫 Na podstawie zdjęcia preparatu:
📖 rozpoznaj gatunek pasożyta;
♻ rozpoznaj wszystkie formy rozwojowe;
🦠 wskaż organelle i cechy charakterystyczne dla danego gatunku;
😷 nazwij chorobę, którą pasożyt wywołuje.


💠💍 Babesia canis
🟡 - Tetrada merozoitów (krzyż maltański)
🟢- Stadium pierścienia
😷❓ Parazytoza: Babeszjoza
🔬🧫 Na podstawie zdjęcia preparatu:
📖 rozpoznaj gatunek pasożyta;
♻ rozpoznaj wszystkie formy rozwojowe;
🦠 wskaż organelle i cechy charakterystyczne dla danego gatunku;
😷 nazwij chorobę, którą pasożyt wywołuje.


💠💍 Babesia canis
🟡 - Tetrada merozoitów (krzyż maltański)
🟢- Stadium pierścienia
😷❓Parazytoza: Babeszjoza
🔬🧫 Na podstawie zdjęcia preparatu:
📖 rozpoznaj gatunek pasożyta;
♻ rozpoznaj wszystkie formy rozwojowe;
🦠 wskaż organelle i cechy charakterystyczne dla danego gatunku;
😷 nazwij chorobę, którą pasożyt wywołuje.


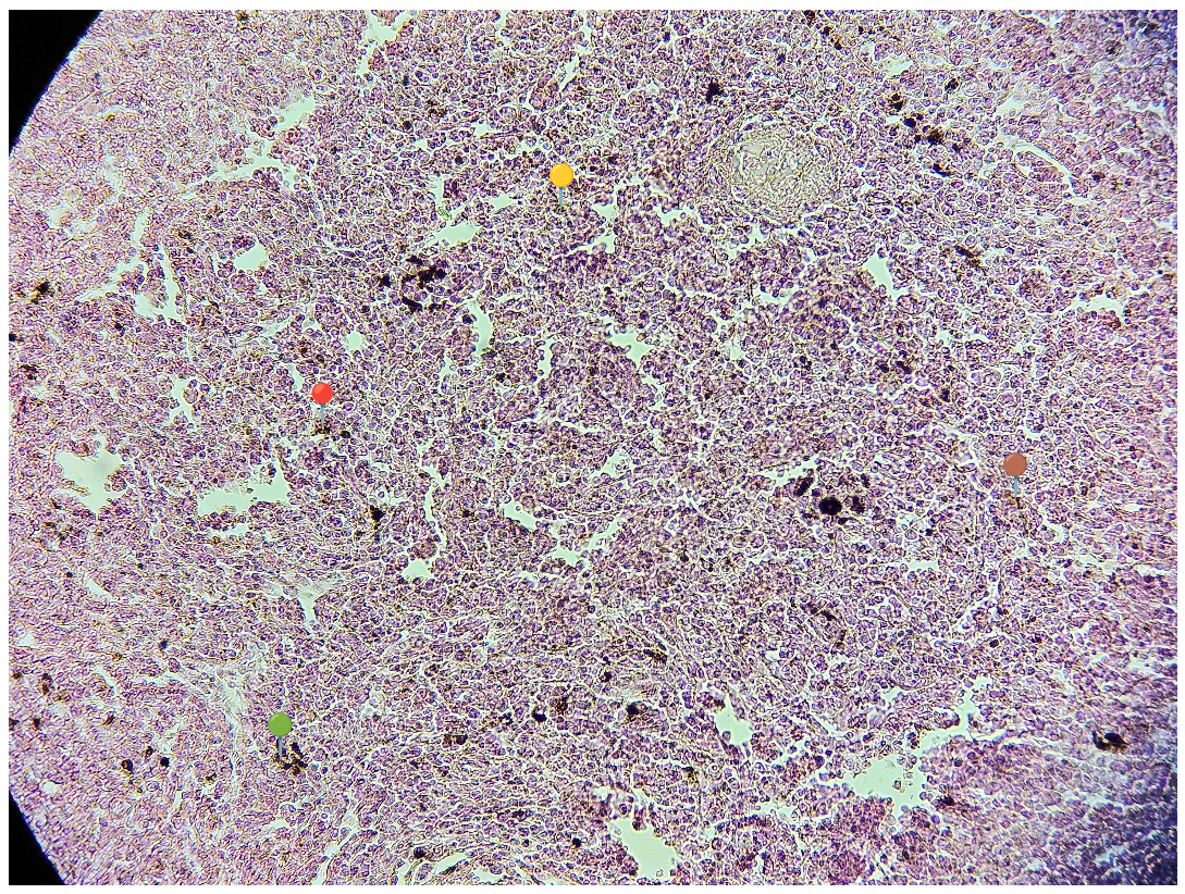
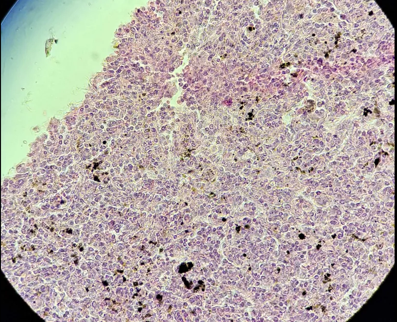
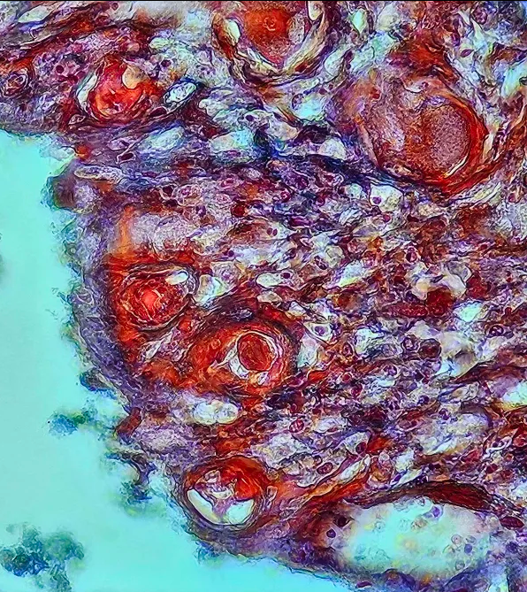
🩸🤖 Plasmodium sp. (śledziona - malaria melanemia)
🧩🦠 Cechy charakterystyczne:
🔴🟡🟢️🟤 - złogi hemosyderyny.
😷❓ Parazytoza: Malaria
🔬🧫 Na podstawie zdjęcia preparatu:
📖 rozpoznaj gatunek pasożyta;
♻ rozpoznaj wszystkie formy rozwojowe;
🦠 wskaż organelle i cechy charakterystyczne dla danego gatunku;
😷 nazwij chorobę, którą pasożyt wywołuje.


🩸🤖 Plasmodium sp. (śledziona - malaria melanemia)
🧩🦠 Cechy charakterystyczne:
🔴🟡🟢️🟤 - złogi hemosyderyny.
😷❓ Parazytoza: Malaria
🔬🧫 Na podstawie zdjęcia preparatu:
📖 rozpoznaj gatunek pasożyta;
♻ rozpoznaj wszystkie formy rozwojowe;
🦠 wskaż organelle i cechy charakterystyczne dla danego gatunku;
😷 nazwij chorobę, którą pasożyt wywołuje.


🩸🤖 Plasmodium sp. (śledziona - malaria melanemia)
🧩🦠 Cechy charakterystyczne:
🔴🟡🟢️🟤 - złogi hemosyderyny.
😷❓ Parazytoza: Malaria
🔬🧫 Na podstawie zdjęcia preparatu:
📖 rozpoznaj gatunek pasożyta;
♻ rozpoznaj wszystkie formy rozwojowe;
🦠 wskaż organelle i cechy charakterystyczne dla danego gatunku;
😷 nazwij chorobę, którą pasożyt wywołuje.


🩸🦠 Plasmodium sp.
🔵🟣 - schizont segmenter;
🔴️ - stadium pierścienia.
😷❓ Parazytoza: Malaria
🔬🧫 Na podstawie zdjęcia preparatu:
📖 rozpoznaj gatunek pasożyta;
♻ rozpoznaj wszystkie formy rozwojowe;
🦠 wskaż organelle i cechy charakterystyczne dla danego gatunku;
😷 nazwij chorobę, którą pasożyt wywołuje.


💩🦠 Giardia intestinalis (Trofozoit)
😷❓ Parazytoza: Giardioza
🔬🧫 Na podstawie zdjęcia preparatu:
📖 rozpoznaj gatunek pasożyta;
♻ rozpoznaj wszystkie formy rozwojowe;
🦠 wskaż organelle i cechy charakterystyczne dla danego gatunku;
😷 nazwij chorobę, którą pasożyt wywołuje.


💩🦠 Giardia intestinalis (Trofozoit)
🧩🦠 Organelle:
🔵⚫️ - jądro komórkowe z jąderkiem;
🔴 - ciałko pośrodkowe;
🟡 - aksonema.
😷❓ Parazytoza: Giardioza
🔬🧫 Na podstawie zdjęcia preparatu:
📖 rozpoznaj gatunek pasożyta;
♻ rozpoznaj wszystkie formy rozwojowe;
🦠 wskaż organelle i cechy charakterystyczne dla danego gatunku;
😷 nazwij chorobę, którą pasożyt wywołuje.


💩🦠 Giardia intestinalis (Cysta)
🧩🦠 Organelle:
🔴 - jądro komórkowe;
🔵 - ciałko sierpowate;
🟡 - aksonema.
😷❓ Parazytoza: Giardioza
🔬🧫 Na podstawie zdjęcia preparatu:
📖 rozpoznaj gatunek pasożyta;
♻ rozpoznaj wszystkie formy rozwojowe;
🦠 wskaż organelle i cechy charakterystyczne dla danego gatunku;
😷 nazwij chorobę, którą pasożyt wywołuje.


👾🟥 Entamoeba histolytica (Trofozoit)
😷❓ Parazytoza: Pełzakowica
🔬🧫 Na podstawie zdjęcia preparatu:
📖 rozpoznaj gatunek pasożyta;
♻ rozpoznaj wszystkie formy rozwojowe;
🦠 wskaż organelle i cechy charakterystyczne dla danego gatunku;
😷 nazwij chorobę, którą pasożyt wywołuje.


👾🟥 Entamoeba histolytica (Cysta)
🧩🦠 Organelle:
🔴 - ciałko chromatoidalne;
⚫️🟤 - jądra komórkowe.
😷❓ Parazytoza: Pełzakowica
🔬🧫 Na podstawie zdjęcia preparatu:
📖 rozpoznaj gatunek pasożyta;
♻ rozpoznaj wszystkie formy rozwojowe;
🦠 wskaż organelle i cechy charakterystyczne dla danego gatunku;
😷 nazwij chorobę, którą pasożyt wywołuje.


👾🟥 Entamoeba histolytica (Cysta)
🧩🦠 Organelle:
🔴 - ciałko chromatoidalne
🟡🟢🟣 - jądra komórkowe.
😷❓ Parazytoza: Pełzakowica
🔬🧫 Na podstawie zdjęcia preparatu:
📖 rozpoznaj gatunek pasożyta;
♻ rozpoznaj wszystkie formy rozwojowe;
🦠 wskaż organelle i cechy charakterystyczne dla danego gatunku;
😷 nazwij chorobę, którą pasożyt wywołuje.


👾🟥 Entamoeba histolytica (Cysta)
🧩🦠 Organelle:
🔴 - ciałko chromatoidalne;
🟡⚪ - jądra komórkowe.
😷❓ Parazytoza: Pełzakowica
🔬🧫 Na podstawie zdjęcia preparatu:
📖 rozpoznaj gatunek pasożyta;
♻ rozpoznaj wszystkie formy rozwojowe;
🦠 wskaż organelle i cechy charakterystyczne dla danego gatunku;
😷 nazwij chorobę, którą pasożyt wywołuje.


👾🥩 Entamoeba coli (Cysta)
🧩🦠 Organelle:
🔴🟡🟢🔵 - jądra komórkowe.
😷❓ Parazytoza: Pełzakowica
🔬🧫 Na podstawie zdjęcia preparatu:
📖 rozpoznaj gatunek pasożyta;
♻ rozpoznaj wszystkie formy rozwojowe;
🦠 wskaż organelle i cechy charakterystyczne dla danego gatunku;
😷 nazwij chorobę, którą pasożyt wywołuje.


🦠🥩 Balantidium coli (Trofozoit)
🧩🦠 Organelle:
🔵 - cytopyge;
🟢 - makronukleus;
🟡 - wodniczka tętniąca;
🔴 - cytostom.
😷❓ Parazytoza: Balantydioza
🔬🧫 Na podstawie zdjęcia preparatu:
📖 rozpoznaj gatunek pasożyta;
♻ rozpoznaj wszystkie formy rozwojowe;
🦠 wskaż organelle i cechy charakterystyczne dla danego gatunku;
😷 nazwij chorobę, którą pasożyt wywołuje.


🦠🥩 Balantidium coli (Trofozoit)
🧩🦠 Organelle:
🔴 - cytostom;
🟢 - makronukleus;
🟡 - cytopyge.
😷❓ Parazytoza: Balantydioza
🔬🧫 Na podstawie zdjęcia preparatu:
📖 rozpoznaj gatunek pasożyta;
♻ rozpoznaj wszystkie formy rozwojowe;
🦠 wskaż organelle i cechy charakterystyczne dla danego gatunku;
😷 nazwij chorobę, którą pasożyt wywołuje.


🦠🥩 Balantidium coli (Trofozoit)
🧩🦠 Organelle:
🔴 - cytostom;
🟡 - makronukleus;
🔵 - mikronukleus;
🟢 - wodniczka tętniąca;
🟣 - cytopyge.
😷❓ Parazytoza: Balantydioza
🔬🧫 Na podstawie zdjęcia preparatu:
📖 rozpoznaj gatunek pasożyta;
♻ rozpoznaj wszystkie formy rozwojowe;
🦠 wskaż organelle i cechy charakterystyczne dla danego gatunku;
😷 nazwij chorobę, którą pasożyt wywołuje.


🦠🥩 Balantidium coli (Cysta)
🧩🦠 Organelle:
🟣 - makronukleus;
🟢 - otoczka.
😷❓ Parazytoza: Balantydioza
🔬🧫 Na podstawie zdjęcia preparatu:
📖 rozpoznaj gatunek pasożyta;
♻ rozpoznaj wszystkie formy rozwojowe;
🦠 wskaż organelle i cechy charakterystyczne dla danego gatunku;
😷 nazwij chorobę, którą pasożyt wywołuje.


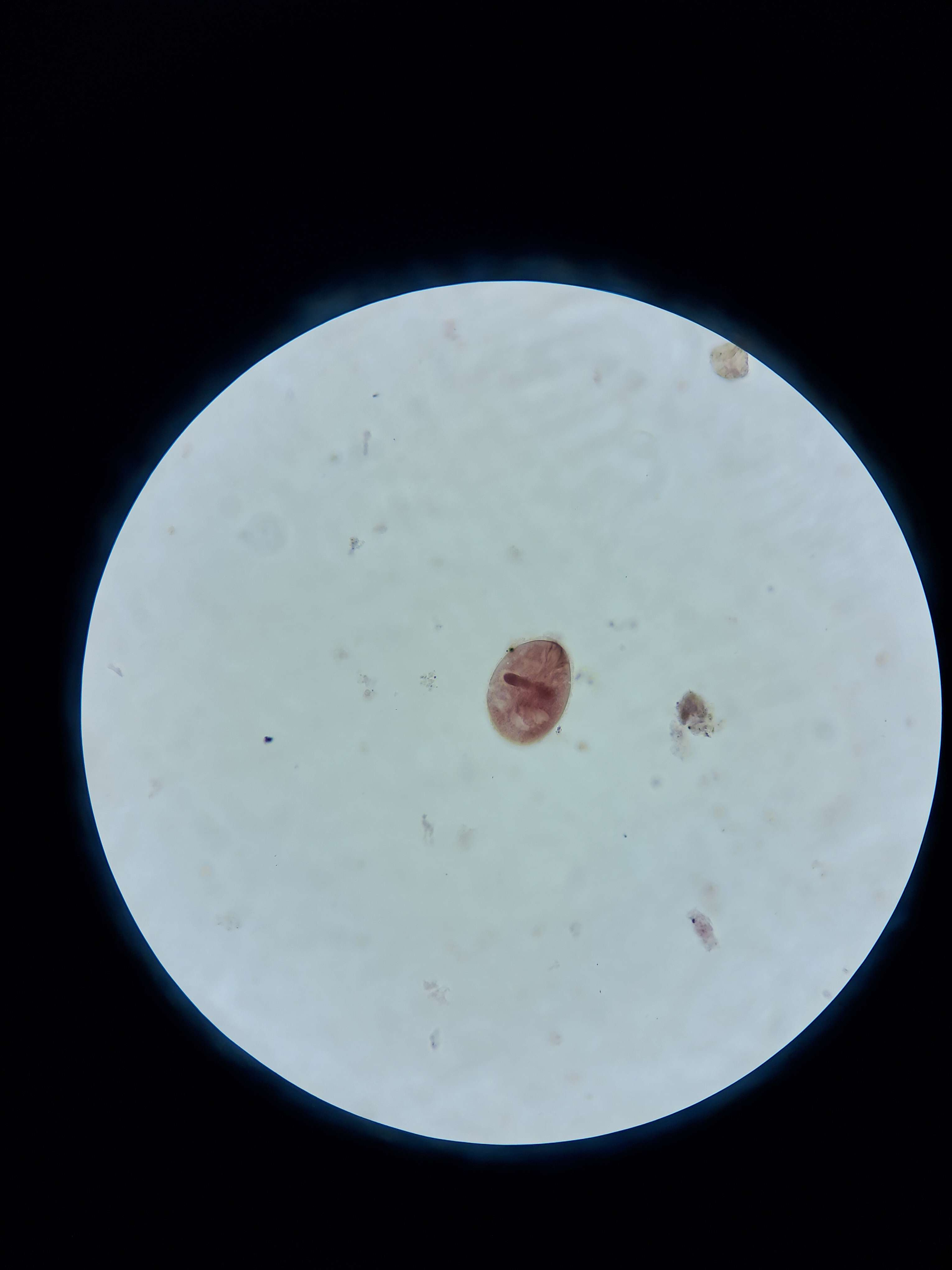
🐰🦠 Eimeria stedae (Oocysta)
🧩🦠 Organelle:
⚫️ - jądro komórkowe;
🔴 - otoczka;
🟢 - mikropyle.
🔬🧫 Na podstawie zdjęcia preparatu:
📖 rozpoznaj gatunek pasożyta;
♻ rozpoznaj wszystkie formy rozwojowe;
🦠 wskaż organelle i cechy charakterystyczne dla danego gatunku;
😷 nazwij chorobę, którą pasożyt wywołuje.


🚺🦠 Trichomonas vaginalis (Trofozoit)
🧩🦠 Organelle:
🟣 - jądro komórkowe;
🔴 - wici;
⚫️ - aksostyl.
😷❓ Parazytoza: Rzęsistkowica
🔬🧫 Na podstawie zdjęcia preparatu:
📖 rozpoznaj gatunek pasożyta;
♻ rozpoznaj wszystkie formy rozwojowe;
🦠 wskaż organelle i cechy charakterystyczne dla danego gatunku;
😷 nazwij chorobę, którą pasożyt wywołuje.


🚺🦠 Trichomonas vaginalis (Trofozoit)
🧩🦠 Organelle:
🔴 - wici;
⚫️ - aksostyl.
😷❓ Parazytoza: Rzęsistkowica
🔬🧫 Na podstawie zdjęcia preparatu:
📖 rozpoznaj gatunek pasożyta;
♻ rozpoznaj wszystkie formy rozwojowe;
🦠 wskaż organelle i cechy charakterystyczne dla danego gatunku;
😷 nazwij chorobę, którą pasożyt wywołuje.


🦋 Fasciola hepatica (Postać dojrzała)
😷❓ Parazytoza: Fascjoloza
🔬🧫 Na podstawie zdjęcia preparatu:
📖 rozpoznaj gatunek pasożyta;
♻ rozpoznaj wszystkie formy rozwojowe;
🦠 wskaż organelle i cechy charakterystyczne dla danego gatunku;
😷 nazwij chorobę, którą pasożyt wywołuje.


🦋 Fasciola hepatica (Postać dojrzała)
🧩🦠 Organelle:
⚫️ - przyssawka gębowa;
🟣 - gardziel;
🟢 - przełyk;
🟤 - jelito i rozgałęzienia;
🟡 - przyssawka brzuszna;
🔵 - macica z jajami.
😷❓ Parazytoza: Fascjoloza
🔬🧫 Na podstawie zdjęcia preparatu:
📖 rozpoznaj gatunek pasożyta;
♻ rozpoznaj wszystkie formy rozwojowe;
🦠 wskaż organelle i cechy charakterystyczne dla danego gatunku;
😷 nazwij chorobę, którą pasożyt wywołuje.

🦋 Fasciola hepatica (Postać dojrzała)
😷❓ Parazytoza: Fascjoloza
🔬🧫 Na podstawie zdjęcia preparatu:
📖 rozpoznaj gatunek pasożyta;
♻ rozpoznaj wszystkie formy rozwojowe;
🦠 wskaż organelle i cechy charakterystyczne dla danego gatunku;
😷 nazwij chorobę, którą pasożyt wywołuje.


🦋 Fasciola hepatica (Postać dojrzała)
🧩🦠 Organelle:
🟡 - przyssawka brzuszna;
🔵 - macica z jajami;
🟤 - jelito z rozgałęzieniami.
😷❓Parazytoza: Fascjoloza
🔬🧫 Na podstawie zdjęcia preparatu:
📖 rozpoznaj gatunek pasożyta;
♻ rozpoznaj wszystkie formy rozwojowe;
🦠 wskaż organelle i cechy charakterystyczne dla danego gatunku;
😷 nazwij chorobę, którą pasożyt wywołuje.


🦋 Fasciola hepatica (Postać dojrzała)
🧩🦠 Organelle:
⚫️ - przyssawka gębowa;
🟣 - gardziel;
🟢 - przełyk;
🟤 - jelito i rozgałęzienia.
😷❓ Parazytoza: Fascjoloza
🔬🧫 Na podstawie zdjęcia preparatu:
📖 rozpoznaj gatunek pasożyta;
♻ rozpoznaj wszystkie formy rozwojowe;
🦠 wskaż organelle i cechy charakterystyczne dla danego gatunku;
😷 nazwij chorobę, którą pasożyt wywołuje.


🦋🌱 Fasciolopsis buski (Postać dojrzała)
🧩🦠 Organelle:
⚫️ - przyssawka gębowa;
🟣 - gardziel;
🟢 - przełyk;
🟤 - jelito bez rozgałęzień;
🟡 - przyssawka brzuszna;
🔵 - macica z jajami.
😷❓ Parazytoza: Fascjolopsoza
🔬🧫 Na podstawie zdjęcia preparatu:
📖 rozpoznaj gatunek pasożyta;
♻ rozpoznaj wszystkie formy rozwojowe;
🦠 wskaż organelle i cechy charakterystyczne dla danego gatunku;
😷 nazwij chorobę, którą pasożyt wywołuje.


🦋🌱 Fasciolopsis buski (Postać dojrzała)
🧩🦠 Organelle:
⚫️ - przyssawka gębowa;
🔴 - gardziel i przełyk;
🟡️ - przyssawka brzuszna;
🔵 - macica z jajami;
🟤 - jelita bez rozgałęzień.
😷❓ Parazytoza: Fascjolopsoza
🔬🧫 Na podstawie zdjęcia preparatu:
📖 rozpoznaj gatunek pasożyta;
♻ rozpoznaj wszystkie formy rozwojowe;
🦠 wskaż organelle i cechy charakterystyczne dla danego gatunku;
😷 nazwij chorobę, którą pasożyt wywołuje.


🪱🇨🇳 Clonorchis sinensis (Postać dojrzała)
😷❓ Parazytoza: Klonorchoza
🔬🧫 Na podstawie zdjęcia preparatu:
📖 rozpoznaj gatunek pasożyta;
♻ rozpoznaj wszystkie formy rozwojowe;
🦠 wskaż organelle i cechy charakterystyczne dla danego gatunku;
😷 nazwij chorobę, którą pasożyt wywołuje.


🪱🇨🇳 Clonorchis sinensis (Postać dojrzała)
🧩🦠 Organelle:
⚫️ - przyssawka gębowa;
🟣 - gardziel;
🟢 - przełyk;
🟤 - jelito;
🟡 (pośrodku) - przyssawka brzuszna;
🔵 - macica z jajami;
🟡 (po bokach) - żółtniki;
🔴 - jajnik;
️⚪ - jądro.
😷❓ Parazytoza: Klonorchoza
🔬🧫 Na podstawie zdjęcia preparatu:
📖 rozpoznaj gatunek pasożyta;
♻ rozpoznaj wszystkie formy rozwojowe;
🦠 wskaż organelle i cechy charakterystyczne dla danego gatunku;
😷 nazwij chorobę, którą pasożyt wywołuje.


🪱🇨🇳 Clonorchis sinensis (Postać dojrzała)
🧩🦠 Organelle:
🟡 - przyssawka brzuszna;
🔵 - macica z jajami;
⚫️ - żółtniki;
🔴 - jajnik;
⚪ - jądra.
😷❓ Parazytoza: Klonorchoza
🔬🧫 Na podstawie zdjęcia preparatu:
📖 rozpoznaj gatunek pasożyta;
♻ rozpoznaj wszystkie formy rozwojowe;
🦠 wskaż organelle i cechy charakterystyczne dla danego gatunku;
😷 nazwij chorobę, którą pasożyt wywołuje.


🦋🐷 Dicrocoelium dendriticum
😷❓ Parazytoza: Dikrocelioza
🔬🧫 Na podstawie zdjęcia preparatu:
📖 rozpoznaj gatunek pasożyta;
♻ rozpoznaj wszystkie formy rozwojowe;
🦠 wskaż organelle i cechy charakterystyczne dla danego gatunku;
😷 nazwij chorobę, którą pasożyt wywołuje.


🦋🐷 Dicrocoelium dendriticum
🧩🦠 Organelle:
⚫ - przyssawka gębowa;
🟣 - gardziel i przełyk;
🟡 - przyssawka brzuszna;
️⚪ - jądra;
🔴 - jajnik;
🟤 - jelito;
🟢 - żółtniki;
🔵 - macica.
😷❓ Parazytoza: Dikrocelioza
🔬🧫 Na podstawie zdjęcia preparatu:
📖 rozpoznaj gatunek pasożyta;
♻ rozpoznaj wszystkie formy rozwojowe;
🦠 wskaż organelle i cechy charakterystyczne dla danego gatunku;
😷 nazwij chorobę, którą pasożyt wywołuje.

🪱🇯🇵 Schistosoma japonicum (Postać dojrzała)
😷❓ Parazytoza: Schistosomoza przewodu pokarmowego
🔬🧫 Na podstawie zdjęcia preparatu:
📖 rozpoznaj gatunek pasożyta;
♻ rozpoznaj wszystkie formy rozwojowe;
🦠 wskaż organelle i cechy charakterystyczne dla danego gatunku;
😷 nazwij chorobę, którą pasożyt wywołuje.


🪱🇯🇵 Schistosoma japonicum (Postać dojrzała)
🧩🦠 Organelle:
⚫️ - przyssawka gębowa;
🟡 - przyssawka brzuszna;
🔴 - rynienka.
😷❓ Parazytoza: Schistosomoza przewodu pokarmowego
🔬🧫 Na podstawie zdjęcia preparatu:
📖 rozpoznaj gatunek pasożyta;
♻ rozpoznaj wszystkie formy rozwojowe;
🦠 wskaż organelle i cechy charakterystyczne dla danego gatunku;
😷 nazwij chorobę, którą pasożyt wywołuje.

🪱🇯🇵 Schistosoma japonicum (Postać dojrzała)
😷❓ Parazytoza: Schistosomoza przewodu pokarmowego
🔬🧫 Na podstawie zdjęcia preparatu:
📖 rozpoznaj gatunek pasożyta;
♻ rozpoznaj wszystkie formy rozwojowe;
🦠 wskaż organelle i cechy charakterystyczne dla danego gatunku;
😷 nazwij chorobę, którą pasożyt wywołuje.

🪱🇯🇵 Schistosoma japonicum (Postać dojrzała)
😷❓ Parazytoza: Schistosomoza przewodu pokarmowego
🔬🧫 Na podstawie zdjęcia preparatu:
📖 rozpoznaj gatunek pasożyta;
♻ rozpoznaj wszystkie formy rozwojowe;
🦠 wskaż organelle i cechy charakterystyczne dla danego gatunku;
😷 nazwij chorobę, którą pasożyt wywołuje.


🪱🇯🇵 Schistosoma japonicum (Postać dojrzała)
🧩🦠 Organelle:
⚫️ - przyssawka gębowa;
🟡 - przyssawka brzuszna;
🔴 - rynienka.
😷❓ Parazytoza: Schistosomoza przewodu pokarmowego
🔬🧫 Na podstawie zdjęcia preparatu:
📖 rozpoznaj gatunek pasożyta;
♻ rozpoznaj wszystkie formy rozwojowe;
🦠 wskaż organelle i cechy charakterystyczne dla danego gatunku;
😷 nazwij chorobę, którą pasożyt wywołuje.


🪱🇯🇵 Schistosoma japonicum (Jaja)
🧩🦠 Organelle:
🟡 - kolec (nie do końca poprawnie ułożony - poprawnie byłby zwrócony w drugą stronę, ale trudno);
🟢 - skorupka.
😷❓ Parazytoza: Schistosomoza przewodu pokarmowego
🔬🧫 Na podstawie zdjęcia preparatu:
📖 rozpoznaj gatunek pasożyta;
♻ rozpoznaj wszystkie formy rozwojowe;
🦠 wskaż organelle i cechy charakterystyczne dla danego gatunku;
😷 nazwij chorobę, którą pasożyt wywołuje.


🪱🇯🇵 Schistosoma japonicum (Jaja)
🧩🦠 Organelle:
🟡 - kolec (nie do końca poprawnie ułożony - poprawnie byłby zwrócony w drugą stronę, ale trudno);
🟢 - skorupka.
😷❓ Parazytoza: Schistosomoza przewodu pokarmowego
🔬🧫 Na podstawie zdjęcia preparatu:
📖 rozpoznaj gatunek pasożyta;
♻ rozpoznaj wszystkie formy rozwojowe;
🦠 wskaż organelle i cechy charakterystyczne dla danego gatunku;
😷 nazwij chorobę, którą pasożyt wywołuje.


🪱🧱 Schistosoma mansoni (Cerkaria)
🧩🦠 Organelle:
⚫️ - przyssawka gębowa
🟣 - gardziel;
🟤 - jelito;
🟡 - przyssawka brzuszna;
🔴 - wyrostek ogonowy.
😷❓ Parazytoza: Schistosomoza przewodu pokarmowego
🔬🧫 Na podstawie zdjęcia preparatu:
📖 rozpoznaj gatunek pasożyta;
♻ rozpoznaj wszystkie formy rozwojowe;
🦠 wskaż organelle i cechy charakterystyczne dla danego gatunku;
😷 nazwij chorobę, którą pasożyt wywołuje.


🪱🧱 Schistosoma mansoni (Cerkaria)
🧩🦠 Organelle:
⚫️ - przyssawka gębowa
🟣 - gardziel;
🟤 - jelito;
🟡 - przyssawka brzuszna;
🔴 - wyrostek ogonowy;
️⚪ - widełki.
😷❓ Parazytoza: Schistosomoza przewodu pokarmowego
🔬🧫 Na podstawie zdjęcia preparatu:
📖 rozpoznaj gatunek pasożyta;
♻ rozpoznaj wszystkie formy rozwojowe;
🦠 wskaż organelle i cechy charakterystyczne dla danego gatunku;
😷 nazwij chorobę, którą pasożyt wywołuje.


🪱🧱 Schistosoma mansoni (Jaja)
🧩🦠 Organelle:
🟡 - kolec;
🟢 - skorupka.
😷❓ Parazytoza: Schistosomoza przewodu pokarmowego
🔬🧫 Na podstawie zdjęcia preparatu:
📖 rozpoznaj gatunek pasożyta;
♻ rozpoznaj wszystkie formy rozwojowe;
🦠 wskaż organelle i cechy charakterystyczne dla danego gatunku;
😷 nazwij chorobę, którą pasożyt wywołuje.


🪱🧱 Schistosoma mansoni (Jaja)
🧩🦠 Organelle:
🟡 - kolec;
🟢 - skorupka.
😷❓ Parazytoza: Schistosomoza przewodu pokarmowego
🔬🧫 Na podstawie zdjęcia preparatu:
📖 rozpoznaj gatunek pasożyta;
♻ rozpoznaj wszystkie formy rozwojowe;
🦠 wskaż organelle i cechy charakterystyczne dla danego gatunku;
😷 nazwij chorobę, którą pasożyt wywołuje.


🪱🧱 Schistosoma mansoni (Jaja)
🧩🦠 Organelle:
🟡 - kolec;
🟢 - skorupka.
😷❓ Parazytoza: Schistosomoza przewodu pokarmowego
🔬🧫 Na podstawie zdjęcia preparatu:
📖 rozpoznaj gatunek pasożyta;
♻ rozpoznaj wszystkie formy rozwojowe;
🦠 wskaż organelle i cechy charakterystyczne dla danego gatunku;
😷 nazwij chorobę, którą pasożyt wywołuje.


🪱🌍 Trypanosoma gambiense (Trofozoit)
🟣 - jest większy, bardziej wybarwiony, bardziej liczebny i bardziej powyginany niż Trypanosoma cruzi.
😷❓ Parazytoza: Trypanosomoza afrykańska/Śpiączka afrykańska
🔬🧫 Na podstawie zdjęcia preparatu:
📖 rozpoznaj gatunek pasożyta;
♻ rozpoznaj wszystkie formy rozwojowe;
🦠 wskaż organelle i cechy charakterystyczne dla danego gatunku;
😷 nazwij chorobę, którą pasożyt wywołuje.


🪱🇺🇸 Trypanosoma cruzi (Trofozoit)
🟡 - jest mniejszy, słabiej wybarwiony, mniej liczebny i mniej wygięty niż Trypanosoma gambiense; należy zwracać uwagę na ciemniej zarysowane jądra komórkowe.
😷❓ Parazytoza: Trypanosomoza amerykańska/Choroba Chagasa
🔬🧫 Na podstawie zdjęcia preparatu:
📖 rozpoznaj gatunek pasożyta;
♻ rozpoznaj wszystkie formy rozwojowe;
🦠 wskaż organelle i cechy charakterystyczne dla danego gatunku;
😷 nazwij chorobę, którą pasożyt wywołuje.


🪱🇺🇸 Trypanosoma cruzi (Trofozoit)
🟡 - jest mniejszy, słabiej wybarwiony, mniej liczebny i mniej wygięty niż Trypanosoma gambiense; należy zwracać uwagę na ciemniej zarysowane jądra komórkowe.
😷❓ Parazytoza: Trypanosomoza amerykańska/Choroba Chagasa
🔬🧫 Na podstawie zdjęcia preparatu:
📖 rozpoznaj gatunek pasożyta;
♻ rozpoznaj wszystkie formy rozwojowe;
🦠 wskaż organelle i cechy charakterystyczne dla danego gatunku;
😷 nazwij chorobę, którą pasożyt wywołuje.


🔷🪳 Leishmania donovani (Promastigota)
🧩🦠 Organelle:
🟣 - jądro komórkowe;
🔴 - wić;
🟢 - kinetosom
😷❓ Parazytoza: Leiszmanioza
🔬🧫 Na podstawie zdjęcia preparatu:
📖 rozpoznaj gatunek pasożyta;
♻ rozpoznaj wszystkie formy rozwojowe;
🦠 wskaż organelle i cechy charakterystyczne dla danego gatunku;
😷 nazwij chorobę, którą pasożyt wywołuje.

🔷🪳 Leishmania donovani (Amastigota)
😷❓ Parazytoza: Leiszmanioza
🔬🧫 Na podstawie zdjęcia preparatu:
📖 rozpoznaj gatunek pasożyta;
♻ rozpoznaj wszystkie formy rozwojowe;
🦠 wskaż organelle i cechy charakterystyczne dla danego gatunku;
😷 nazwij chorobę, którą pasożyt wywołuje.


🔷🪳 Leishmania donovani (Amastigota)
🧩🦠 Organelle:
🟣 - jądro komórkowe; wici są zredukowane i niewidoczne.
😷❓ Parazytoza: Leiszmanioza
🔬🧫 Na podstawie zdjęcia preparatu:
📖 rozpoznaj gatunek pasożyta;
♻ rozpoznaj wszystkie formy rozwojowe;
🦠 wskaż organelle i cechy charakterystyczne dla danego gatunku;
😷 nazwij chorobę, którą pasożyt wywołuje.


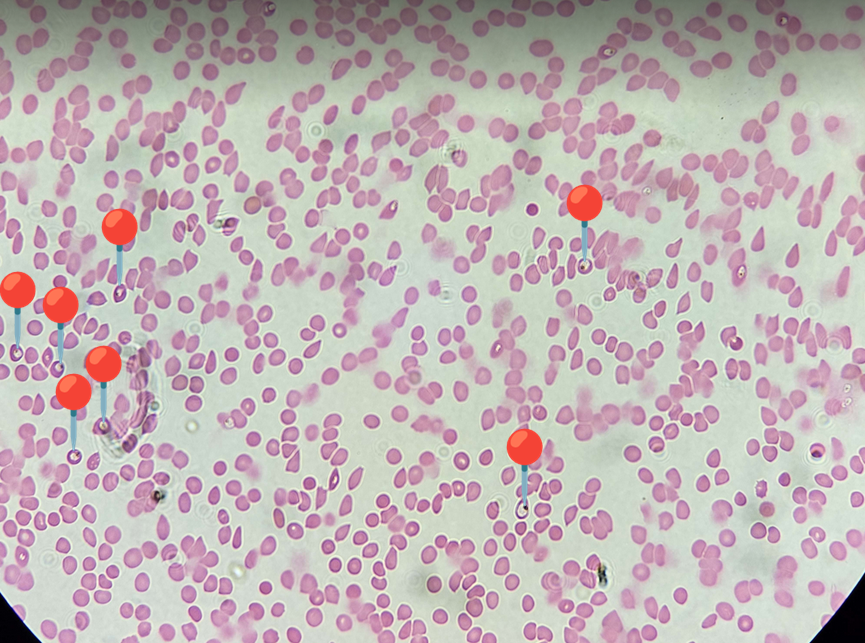
🩸🦠 Plasmodium falciparum (Postać pierścienia)
🔴 - postać pierścienia.
😷❓ Parazytoza: Malaria
🔬🧫 Na podstawie zdjęcia preparatu:
📖 rozpoznaj gatunek pasożyta;
♻ rozpoznaj wszystkie formy rozwojowe;
🦠 wskaż organelle i cechy charakterystyczne dla danego gatunku;
😷 nazwij chorobę, którą pasożyt wywołuje.


🩸🦠 Plasmodium falciparum (Postać pierścienia)
🔴 - postać pierścienia.
😷❓ Parazytoza: Malaria
🔬🧫 Na podstawie zdjęcia preparatu:
📖 rozpoznaj gatunek pasożyta;
♻ rozpoznaj wszystkie formy rozwojowe;
🦠 wskaż organelle i cechy charakterystyczne dla danego gatunku;
😷 nazwij chorobę, którą pasożyt wywołuje.


🩸🦠 Plasmodium falciparum (Postać pierścienia)
🔴 - stadium pierścienia;
🟡 - ciekawostka: potrójne zarażenie.
😷❓ Parazytoza: Malaria
🔬🧫 Na podstawie zdjęcia preparatu:
📖 rozpoznaj gatunek pasożyta;
♻ rozpoznaj wszystkie formy rozwojowe;
🦠 wskaż organelle i cechy charakterystyczne dla danego gatunku;
😷 nazwij chorobę, którą pasożyt wywołuje.


🩸🦠 Plasmodium sp. (Schizont segmenter)
🔵 - schizont segmenter.
😷❓ Parazytoza: Malaria
🔬🧫 Na podstawie zdjęcia preparatu:
📖 rozpoznaj gatunek pasożyta;
♻ rozpoznaj wszystkie formy rozwojowe;
🦠 wskaż organelle i cechy charakterystyczne dla danego gatunku;
😷 nazwij chorobę, którą pasożyt wywołuje.
