1/19
Looks like no tags are added yet.
Name | Mastery | Learn | Test | Matching | Spaced | Call with Kai |
|---|
No analytics yet
Send a link to your students to track their progress
Mirror sticks to buccal mucosa
Score 1
Mirror sticks to tongue
Score 2
Saliva frothy
Score 3
No saliva pooling in floor of mouth
Score 4
Tongue shows generalised shortened papillae (mild depapillation)
Score 5
Altered gingival architecture
Score 6
Glassy appearance of oral mucosa, especially palate
Score 7
Tongue lobulated/fissured
Score 8
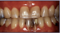
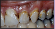
Cervical caries (more than two teeth)
Score 9
Debris on palate or sticking to teeth
Score 10

Saliva frothy (3)

Mirror sticks to cheeks (1)

Mirror sticks to tongue (1)

No saliva pooling on floor of mouth (4)

Shorten papillae (5)

Altered gingival architecture (6)

Glassy appearance (7)

Lobulated/fissured tongue

Cervical Caries [more than 2] (9)

Debris on palate or sticking to teeth