1/74
Looks like no tags are added yet.
Name | Mastery | Learn | Test | Matching | Spaced | Call with Kai |
|---|
No analytics yet
Send a link to your students to track their progress
- Localised increase in cell number
- Localised increase in cell size
- a disordered growth pattern of cells ( creating a pile up)
- collection of fluid
- lump originating in deeper tissues pushing mucosa upwards
What can causer a lump in the oral mucosa? (5)
Hyperplastic lesions
Benign tumour of epithelial tissue
Benign tumour of connective tissue
What are 3 types of benign lesions in the mucosa?
- occlusal line
- polyps
- denture hyperplasia
- papillary hyperplasia of the palate
4 types of Hyperplastic lesions ?
Hyperplastic lesions
They are are a type of lesion that is result of chronic irritation, infection, proliferation of granulation tissue. It leads to progressive fibrosis and epithelialistation - it may be hyperkeritinised
Occlusal line Hyperplastic lesion
What is this?

Fibro-epithelial polyp
What is this?

Fibro epithelial polyp
Usually caused by trauma and can be very common, it is slow growing and painless - usually removed because of irritation

Epulides
A solid swelling on the gum - there are 4 types
Pregnancy epulis
What is this?

Pregnancy epulis
What is this?

Pregnancy epulis
Usually an over response to an irritant - can appear with or without good OH can be common in pregnancy - they are usually surgically removed

Peripheral giant cell granuloma (epulis)
What is this?

Peripheral giant cell granuloma (epulis)
Unknown aetiology, red, haemorrhagic and soft, occasional superficial bone erosion - usually excised - what am i?

Pyogenes granuloma
What this is?

Pyogenes granuloma
Appears on the gingival margins, ulcerated appearance and is thought to be an over response to irritation - usually excised - what am i ?

Denture hyperplasia
What is this?

Denture hyperplasia
Associated with chronic irritation - treatment is excision and creation of a new applicance

Papillary hyperplasia
What is this?

Papillary hyperplasia
Multipul small nodules with various inflammation, usually in the palate vault - treatment to stop the infection or irritation - what am i?

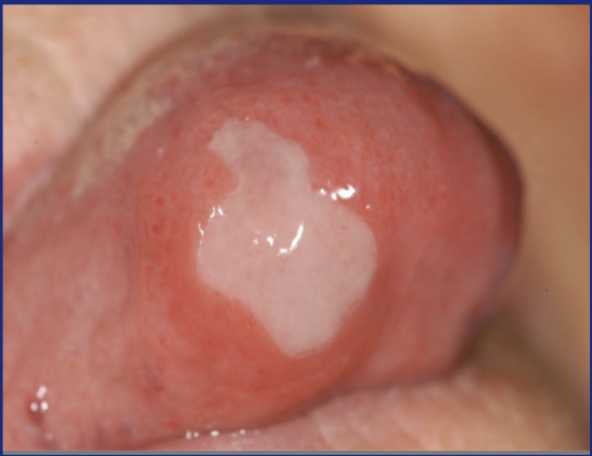
Squamous cell papilloma
What is this?

Viral papillomas (viral warts)
Squamous cell papilloma has the identical appearance to what ?

Viral warts
What is this?

Condyloma acumata (HIV - multipul squamous cell papilloma)
What is this?

Single Pedunculated squamous cell papilloma
What is this ?

An adenoma
A benign tumor of glandular origin - usually lobulated firm or rubbery and can be pleomorphic or monomorphic

Pleomorphic
Posh word for organisms that are variable in shape
Monomorphic
Posh word for having a single form
Lymphangiomas
Small or dilated vessels filled with lymph - almost colourless and may appear black if blood is in the lymph spaces - what am i?

Leaf Fibroma
Flattened pedunculated mass on maxilla from denture

Neuromas
May be assosiated with multipul endocrine neoplasia III syndromes (MEN III)

Varicose veins
What is this ?

Cobblestoning caused by crohns disease
What is this and what is it caused by?

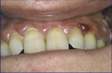
Drug induced gingival hyperplasia
What is this?

Scurvy
Caused by vitamin C deficiency - causes gingival overgrowth and bleeding - what am i?

Kaposis sarcoma
malignant tumor of the blood vessels associated with AIDS - what am i?

Kaposis sarcoma
What is this>?

Leukaemia
What is this? - haemorrhagic areas/ patches normally along gingivae with no associated plaque

Squamous cell carcinoma on the lip
What is this ?

Sessile
An organism that does not move. It remains attached to one place and has a broad base (descriptive word)
Pedunculated
Attached by a stemlike or stalklike base
Macule
flat, colored spot on the skin less than 1cm
Patch
a flat, discolored area on the skin larger than 1 cm
Hyperplastic
excessive cell numbers / development of cells
Squamous cell papilloma
Pedunculated or sessile, usually soft but may be keritanized, rarely malignant at base - what am i?

Adenoma
What is this?

fibroma
tumor of fibrous tissue

Neuroma
tumor made up of nerve cells (benign) - can be due to trauma

Lipoma
a benign, slow-growing fatty tumor located between the skin and the muscle layer

Haemangioma
A benign tumour of the vascular endothelium (blood vessels) - treated by cryosurgery

Scurvy
what is this ?

Melanoma
Quite rare to be seen in the mouth - there is a spreading blue/black area with diffuse margins - what am i?

Squamous cell carcinoma
What is this ?


‘A bright red, velvety plaque that cannot be characterised clinically or pathologically as any other recognisable condition
Erythroplakia

Clinical term, no specific histology
Leukoplakia

Mixed lesion - leukoplakia with red patches/areas of erythroplakia. High risk lesion
Speckled leukoplakia

White → due to epithelial thickening, various forms
Keratosis

Thinning of the epithelium, associated with areas of erosion/ulceration
Atrophy

‘Partial loss of surface epithelium without underlying exposure of deep layers or connective tissue
Erosion

‘Complete loss of epithelium with exposure of the underlying connective tissue’
Ulcer

A larger blister >5mm
Bulla

A small blister <5mm
Vesicle

‘A circumscribed flat area of discoloration <10mm diameter’, non palpable
Macule
‘A circumscribed, flat area of discolouration >10mm diameter’ Non-palpable
Patch
Broad based
Sessile
Attached by a stalk
Pedunculated
Lesion with multiple finger-like projections
Papillomatous
Where is the lesion in the mouth?
Site
Size (L&W) or diameter (in mm), what does it look like?
Size and shape
Single or multiple? Localised or generalised?
Distribution
Flat/raised?
Does all/part of the lesion wipe off?
Contact bleeding?
Smooth/rough/papillary/crusted/corrugated/fissured?
Texture
Soft? Hard? Indurated? Fluctuant?
Consistency
Are the margins well-circumscribed or poorly circumscribed?
Outline
Is it erythroplakia, leukoplakia or other?
Colour of lesion

Keratotic halo

Slough