1/4
Looks like no tags are added yet.
Name | Mastery | Learn | Test | Matching | Spaced | Call with Kai |
|---|
No analytics yet
Send a link to your students to track their progress

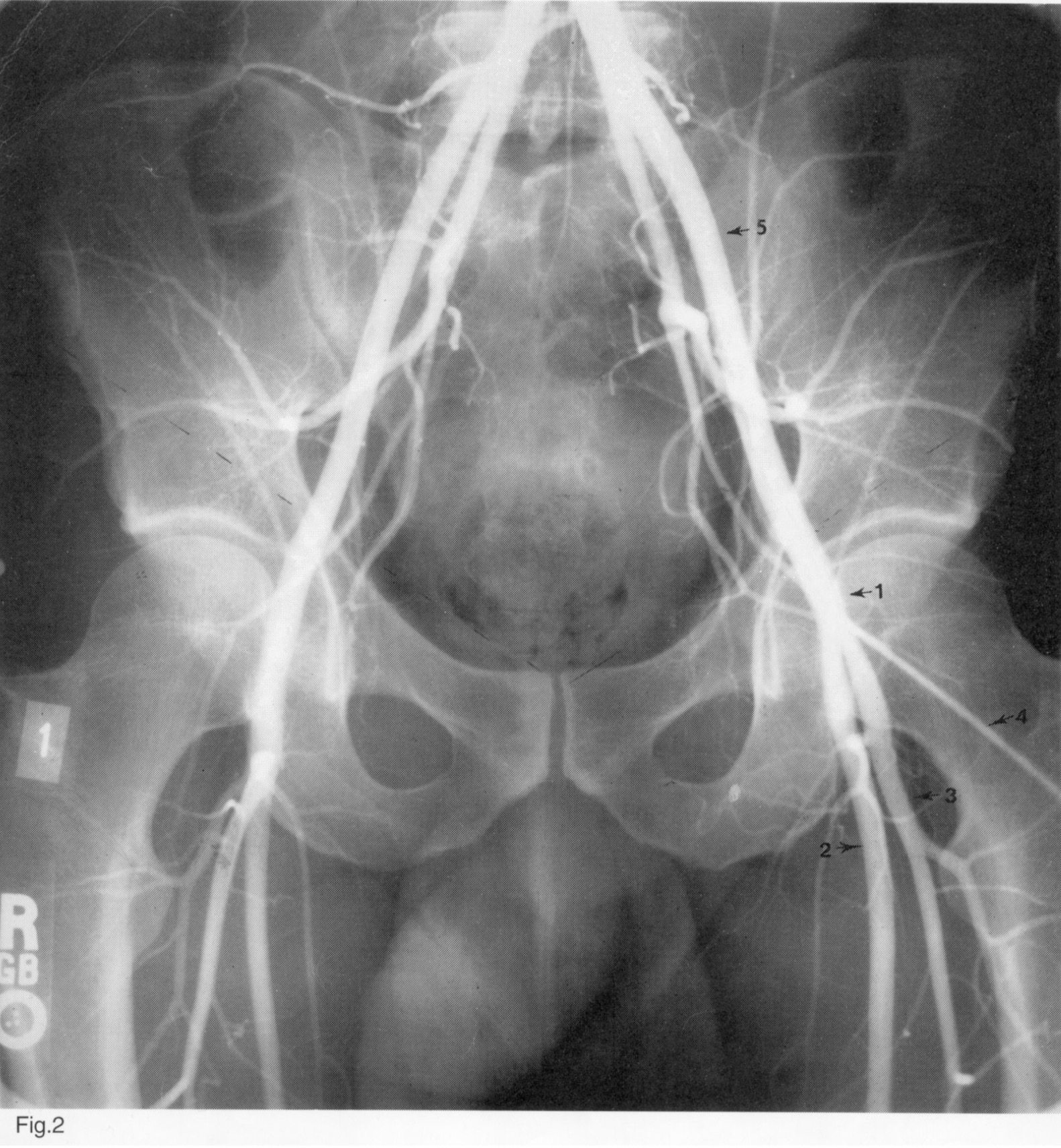
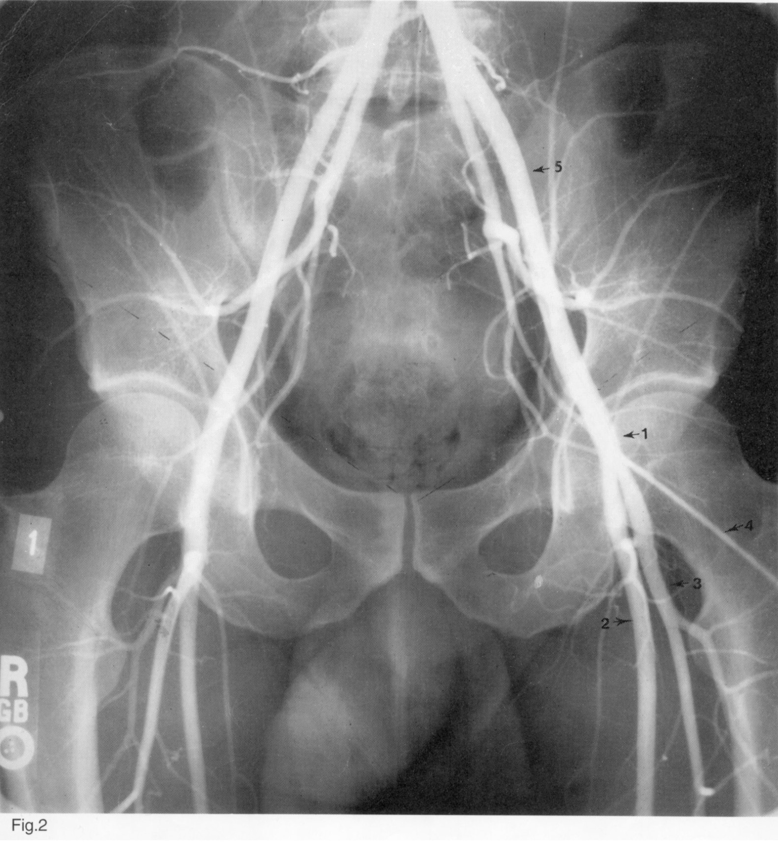
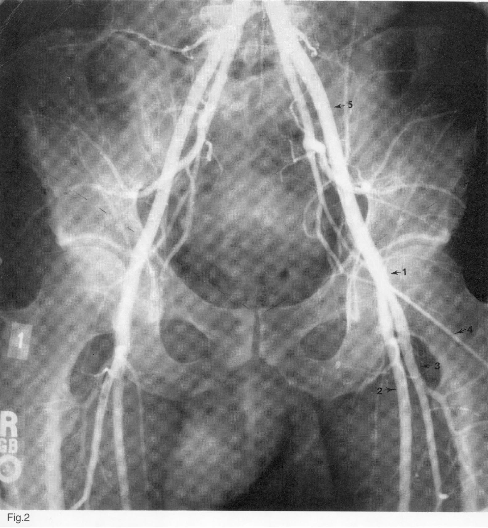
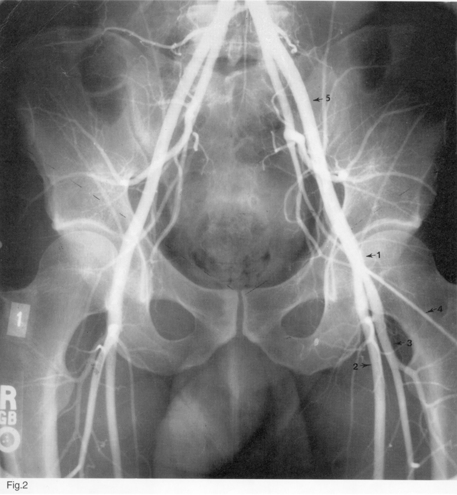
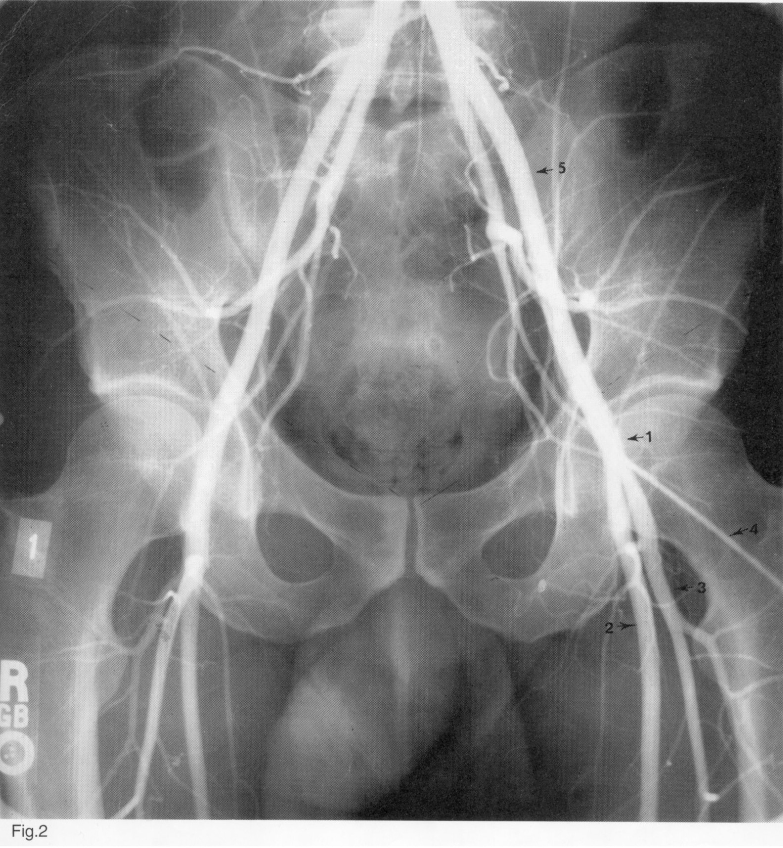
1
A. femoralis communis

2
A. femoralis superficialis

3
A. profunda femoris

4
Kateteris

5
A. iliaca externa