1/128
Looks like no tags are added yet.
Name | Mastery | Learn | Test | Matching | Spaced | Call with Kai |
|---|
No analytics yet
Send a link to your students to track their progress

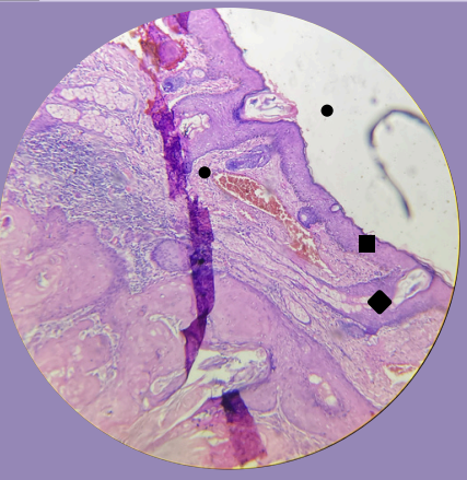
Melanoma:
Melanocitos atípicos dispuestos en toda la epidermis y dermis
Pueden encontrarse en forma de nidos o de manera desordenada.
Extensión pegatoide

Melanoma:
Melanocitos atípicos dispuestos en toda la epidermis y dermis
Pueden encontrarse en forma de nidos o de manera desordenada
Extensión pegatoide

Melanoma:
Melanocitos atípicos dispuestos en toda la epidermis y dermis
Pueden encontrarse en forma de nidos o de manera desordenada
Extensión pegatoide

Carcinoma Epidermoide:
Células escamosas pleomórficas atípicas
Perlas de queratina
Invasión al tejido subyacente

Carcinoma Epidermoide:
Células escamosas pleomórficas atípicas
Perlas de queratina
Invasión al tejido subyacente

Carcinoma Epidermoide:
Células escamosas pleomórficas atípicas
Perlas de queratina
Invasión al tejido subyacente

Carcinoma Epidermoide:
Células escamosas pleomórficas atípicas
Perlas de queratina
Invasión al tejido subyacente

Carcinoma Epidermoide:
Células escamosas pleomórficas atípicas
Perlas de queratina
Invasión al tejido subyacente

Carcinoma Epidermoide:
Células escamosas pleomórficas atípicas
Perlas de queratina
Invasión al tejido subyacente

Teratoma Inmaduro:
Focos de elementos neuroepiteliales primitivos
Células oligodendrogliales, rodeadas por una lámina de células primitivas, pequeñas y redondas

Teratoma Inmaduro:
Focos de elementos neuroepiteliales primitivos
Células oligodendrogliales, rodeadas por una lámina de células primitivas, pequeñas y redondas

Teratoma Inmaduro
Focos de elementos neuroepiteliales primitivos
Células oligodendrogliales, rodeadas por una lámina de células primitivas, pequeñas y redondas

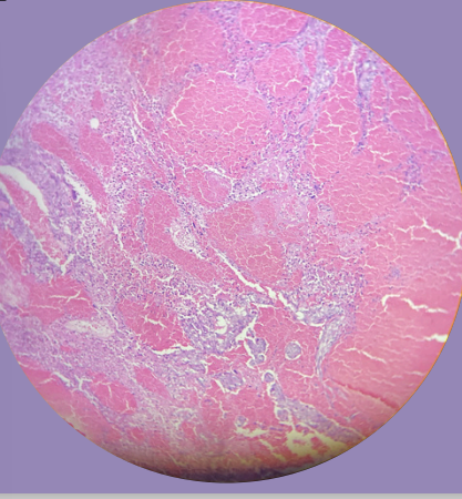
Carcinoma Papilar de Tiroides Metastásico a Ganglio Linfático:
Núcleos Orphan Anni
Presencia de proyecciones papilares
Células tumorales infiltrando el tejido del ganglio linfático

Carcinoma Papilar de Tiroides Metastásico a Ganglio Linfático
Núcleos Orphan Anni
Presencia de proyecciones papilares
Células tumorales infiltrando el tejido del ganglio linfático

Adenocarcinoma de Prostata
Variación en el tamaño y forma de las glándulas
Ausencia de células mioepiteliales
Aumento en el tamaño de los núcleos

Adenocarcinoma de Prostata:
Variación en el tamaño y forma de las glándulas
Ausencia de células mioepiteliales
Aumento en el tamaño de los núcleos

Adenocarcinoma de Prostata:
Variación en el tamaño y forma de las glándulas
Ausencia de células mioepiteliales
Aumento en el tamaño de los núcleos

Carcinoma urotelial:
Se observa patrón papilar
Aumento de la actividad mitótica
Células de transición o uroteliales atípicas

Carcinoma urotelial
Se observa patrón papilar
Aumento de la actividad mitótica
Células de transición o uroteliales atípicas

Carcinoma Lobulillar:
Las células tumorales infiltran el estroma con “patrón en fila india”
Las células tumorales suelen ser pequeñas, uniformes y redondeadas

Carcinoma Lobulillar:
Las células tumorales infiltran el estroma con “patrón en fila india”
Las células tumorales suelen ser pequeñas, uniformes y redondeadas

Carcinoma de glándula mamaria (ductal y cribiforme)
Las células tumorales invaden el estroma mamario, con una reacción desmoplásica (formación de tejido fibroso)
Alta cantidad de mitosis

Carcinoma de glándula mamaria (ductal y cribiforme):
Las células tumorales invaden el estroma mamario,con una reacción desmoplásica (formación de tejido fibroso)
Alta cantidad de mitosis

Adenocarcinoma de colon pobremente diferenciado:
Pocas estructuras glandulares ya que las células tumorales comienzan a crecer en laminas solidas nidos o cordones

Adenocarcinoma de colon pobremente diferenciado:
Pocas estructuras glandulares ya que las células tumorales comienzan a crecer en laminas solidas o nidos o cordones

Adenocarcinoma de colon pobremente diferenciado:
Pocas estructuras glandulares ya que las células tumorales comienzan a crecer en laminas solidas o nidos o cordones

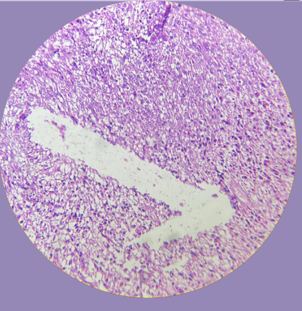
Sarcoma pleomórfico de alto grado:
Células pleomórficas, dispuestas en láminas con una relación N-C aumentada e hipercromasia importante, mitosis aumentada

Sarcoma pleomórfico de alto grado:
Células pleomórficas, dispuestas en láminas con una relación N-C aumentada e hipercromasia importante, mitosis aumentada

Sarcoma pleomórfico de alto grado:
Células pleomórficas, dispuestas en láminas con una relación N-C aumentada e hipercromasia importante, mitosis aumentada

Sarcoma pleomórfico de alto grado:
Células pleomórficas, dispuestas en láminas con una relación N-C aumentada e hipercromasia importante, mitosis aumentada

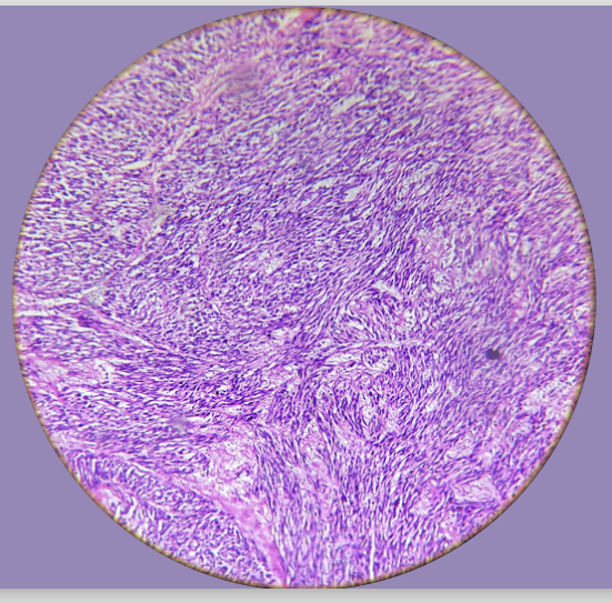
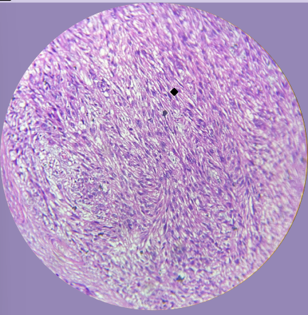
Leiomiosarcoma:
Células son fusiformes pleomórficas que tienen citoplasma eosinófilo
Núcleos son alargados y tienen bordes romos
Las células se disponen en fascículos entrecruzados

Leiomiosarcoma:
Células son fusiformes pleomórficas que tienen citoplasma eosinófilo
Núcleos son alargados y tienen bordes romos
Las células se disponen en fascículos entrecruzados

Leiomiosarcoma:
Células son fusiformes pleomórficas que tienen citoplasma eosinófilo
Núcleos son alargados y tienen bordes romos
Las células se disponen en fascículos entrecruzados

Leiomiosarcoma:
Células fusiformes pleomórficas que tienen citoplasma eosinófilo
Núcleos son alargados y tienen bordes romos
Las células se componen en fascículos entrecruzados

Carcinoma verrucoso:
El carcinoma verrucoso muestra un patrón papilar o exofítico con proyecciones digitiformes o papilares
Las proyecciones pueden estar cubiertas por una capa de epitelio escamoso hiperplásico

Carcinoma lobulillar metastásico a Hígado:
Patrón infiltrativo difuso con células pequeñas redondas, que pueden presentar fila india

Oncocitoma
Células oncocitocas poseen un citoplasma muy eosinofilo
Los núcleos son pequeños, redondos y uniformes
Células agrupadas se pueden encontrar separadas por septos fibrosos

Oncocitoma:
Células oncocitocas poseen un citoplasma muy eosinófilo
Los núcleos son pequeños, redondos y uniformes
Células agrupadas se pueden encontrar separadas por septos fibrosos

Sarcoma de Kaposi:
Vasos sanguíneos en forma de herradura y con glóbulos rojos
Proliferación de células fusiformes con núcleos alargados y ovalados
Hemorragia, glóbulos rojos

Sarcoma de Kaposi:
Vasos sanguíneos en forma de herradura y glóbulos rojos
Proliferación de células fusiformes con núcleos alargados u ovalados.
Hemorragia, glóbulos rojos

Adenocarcinoma de endometrio:
Células que forman estructuras glandulares anormales. Las glándulas pueden ser irregulares en tamaño y en forma, y a menudo están densamente empaquetadas

Adenocarcinoma de endometrio:
Células que forman estructuras glandulares anormales. Las glándulas pueden ser irregulares en tamaño y forma, y a menudo están densamente empaquetadas.

Coriocarcinoma:
Nidos: células citotrofoblásticas mononucleadas y sincitiotrofoblastos multinucleados
Áreas de necrosis
Áreas de hemorragia

Coriocarcinoma:
Nidos: células citotrofoblásticas mononucleadas y sincitiotrofoblastos multinucleados
Áreas de necrosis
Áreas de hemorragia

Coriocarcinoma:
Nidos: células citotrofoblásticas mononucleadas
Áreas de necrosis
Áreas de hemorragia

Coriocarcinoma:
Nidos: células citotrofoblásticas mononucleadas y sincitiotrofoblastos multinucleados
Áreas de necrosis
Áreas de hemorragia

Carcinoma lobulillar metastásico a epiplón:
Células pequeñas, uniformes y con núcleos redondeados que se disponen en forma de fila india

Carcinoma lobulillar metastásico a epiplón:
Células pequeñas, uniformes y con núcleos redondeados que se disponen en forma de fila india

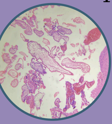
Cistoadenocarcinoma papilar de ovario
Proyecciones papilares cubiertas por células epiteliales atípicas
Pleomorfismo o atipia celular
Pseudomicropapilas

Cistoadenocarcinoma papilar de ovario:
Proyecciones papilares cubiertas por células epiteliales atípicas
Pleomorfismo o atipia celular
Pseudomicropapilas

Seminoma:
Estroma escaso y fibroso
Células tumorales forman masas sólidas
Citoplasma claro

Seminoma
Estroma escaso y fibroso
Células tumorales forman masas sólidas
Citoplasma claro

Carcinoma ductal tipo comedo
Células tumorales en los comedones intraductales muestran necrosis central. Presencia de atipia nuclear

Carcinoma ductal tipo comedo:
Células tumorales en los comedones intraductales muestran necrosis central. Presencia de atipia nuclear

Carcinoma ductal de mama:
Pequeños nidos infiltrativos y túbulos ocasionales de células tumorales con núcleos moderadamente agrandados dentro de un estroma desmoplásico prominente

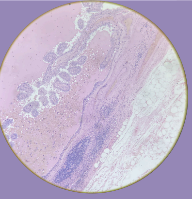
Adenoma velloso de colon
Vellosidades con aspecto papilar, están recubiertas por células epiteliales que forman estructuras glandulares ramificadas y complejas

Adenoma velloso de colon:
Vellosidades con aspecto papilar, están recubiertas por células epiteliales que forman estructuras glandulares ramificadas y complejas

Fibroadenoma
Neoplasia benigna bifásica con afectación de ductos y estroma
Colapso de ductos por sobreproducción de estroma
Estroma compuesto principalmente por tejido fibroso que rodea y sostiene las estructurales glandulares

Fibroadenoma:
Neoplasia benigna bifásica con afectación de ductos y estroma
Colapso de ductos por sobreproducción de estroma
Estroma compuesto principalmente por tejido fibroso que rodea y sostiene las estructuras glandulares

Hemangioma de hígado:
Proliferación de vasos dilatados y congestivos separados por un estroma de tejido conectivo

Hemangioma de hígado:
Proliferación de vasos dilatados y congestivos separados por un estroma de tejido conectivo

Hemangioma de hígado:
Proliferación de vasos dilatados y congestivos separados por un estroma de tejido conectivo

Queratosis seborreica:
Epitelio escamoso con globos córneos (células escamosas, queratinocitos) dilatados, llenos de queratina y forman remolinos

Queratosis seborreica:
Epitelio escamoso con globos córneos (células escamosas, queratinocitos) dilatados, llenos de queratina y forman remolinos

Queratosis seborreica
Epitelio escamoso con globos córneos (células escamosas, queratinocitos) dilatados, llenos de queratina y forman remolinos

Queratosis seborreica:
Epitelio escamoso con globos córneos (células escamosas, queratinocitos) dilatados, llenos de queratina y forman remolinos.

Leiomioma en colon
Proliferación excesiva de fibras músculares lisas
Células fusiformes con núcleos alargados y patrones de crecimiento fascicular o entrelazado

Leiomioma en colon:
Proliferación excesiva de fibras musculares lisas
Células fusiformes con núcleos alargados y patrones de crecimiento fascicular o entrelazado

Polipo endocervical:
Pólipo endocervical está compuesto por un núcleo fibrovascular central cubierto por un epitelio cilíndrico simple. El estroma posee abundantes vasos sanguíneos y tejido fibroso

Polipo endocervical
Compuesto por un núcleo fibrovascular central cubierto por un epitelio cilíndrico simple. El estroma posee abundantes vasos sanguíneos y tejido fibroso

Pólipo endocervical:
Está compuesto por un núcleo fibrovascular central cubierto por un epitelio cilíndrico simple. El estroma posee abundantes vasos sanguíneos y tejido fibroso

Polipo endocervical:
Está compuesto por un núcleo fibrovascular central cubierto por un epitelio cilíndrico simple. El estroma posee abundantes vasos sanguíneos y tejido fibroso

Pólipo de colon:
Criptas dilatadas, que pueden crecer de manera lateral y pueden ramificarse. Abundantes vasos sanguíneos.
El epitelio que reviste el pólipo puede ser de tipo cilíndrico simple
Arquitectura acerrada o aserruchada

Pólipo de colon:
Criptas dilatadas, que pueden crecer de manera lateral y pueden ramificarse. Abundantes vasos sanguíneos.
El epitelio que reviste el pólipo puede ser de tipo cilíndrico simple
Arquitectura acerrada o aserruchada

Condiloma acuminado:
Presencia de atipia coilicitica ya que se evidencia coilocitocis y halo perinuclear claro en las células epiteliales. Epitelio hiperplásico

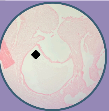
Quiste simple de Trompa Uterina:
Epitelio cilíndrico simple. Fibrosis dilatación llena de líquido claro o seroso

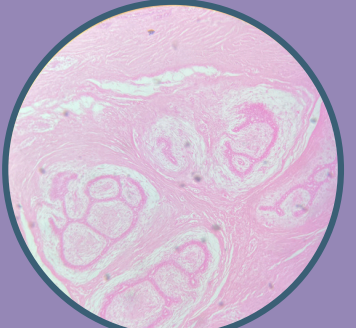
Condroma:
Cartilago hialino con lagunas de condrocitos
Vascularización escasa
Calcificación dentro del cartílago hialino

Condroma:
Cartilago hialino con lagunas de condrocitos
Vascularización escasa
Calcificación dentro del cartílago hialino

Condroma:
Cartilago hialino con lagunas de condrocitos
Vascularización escasa
Calcificación dentro del cartílago hialino

Divertículo de colon:
La pared está compuesta por mucosa, submucosa y, a menudo, una delgada capa de músculo liso

Divertículo de colon:
La pared está compuesta por mucosa, submucosa y, a menudo, una delgada capa de músculo liso

Fibroadenoma de mama:
Proliferación del estroma intralobular
Presencia de ductos comprimidos

Fibroadenoma de mama:
Proliferación del estroma intralobular
Presencia de ductos comprimidos

Fibroadenoma de mama:
Proliferación del estroma intralobular
Presencia de ductos comprimidos

Fibroadenoma de mama:
Proliferación del estroma intralobular
Presencia de ductos comprimidos

Fibroadenoma de mama:
Proliferación del estroma intralobular
Presencia de ductos comprimidos

Fibroadenoma de mama
Proliferación del estroma intralobular
Presencia de ductos comprimidos

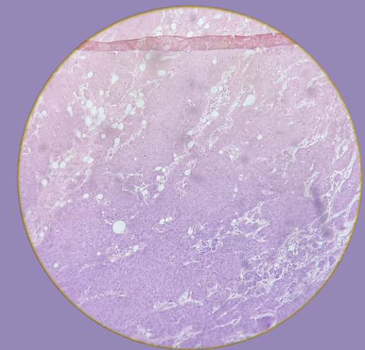
Lipoma:
Se encuentra rodeado por una cápsula fibrosa delgada. Cuenta con una proliferación de adipocitos y presenta poca vascularización y estroma

Lipoma:
Se encuentra rodeado por una cápsula fibrosa delgada. Cuenta con una proliferación de adipocitos y presenta poca vascularización y estroma

Adenofibroma de ovario:
Abundancia de tejido fibroso denso que rodea y separa las estructuras glandulares

Adenofibroma de ovario:
Abundancia de tejido fibroso denso que rodea y separa las estructuras glandulares

Adenofibroma de ovario
Abundancia de tejido fibroso denso que rodea y separa las estructuras glandulares

Adenofibroma de ovario:
- Abundancia de tejido fibroso denso que rodea y separa las estructuras glandulares

Osteoma:
Patrón óseo laminar con canales de tipo haversiano. Los osteoblastos que recubren el hueso son pequeños y poco visibles. Los osteocitos son pequeños y no son atípicos

Osteoma:
Patrón óseo laminar con canales de tipo haversiano. Los osteoblastos que recubren el hueso son pequeños y poco visibles. Los osteocitos son pequeños y no son atípicos

Osteoma:
Patrón óseo laminar con canales de tipo haversiano. Los osteoblastos que recubren el hueso son pequeños y poco visibles. Los osteocitos son pequeños y no son atípicos

Osteoma:
Patrón óseo laminar con canales de tipo haversiano. Los osteoblastos que recubren el hueso son pequeños y poco visibles. Los osteocitos son pequeños y no son atípicos

Mola Hidatiforme:
Vellosidades hinchadas y agrandadas debido a edema
Ausencia de vascularización de vellosidades

Mola Hidatiforme:
Vellosidades hinchadas y agrandadas debido a edema
Ausencia de vascularización dentro de vellosidades

Adenoma de glándula sebácea:
Citoplasma claro y espumoso debido a la presencia de vacuolas lipídicas. Los núcleos de las células sebáceas son pequeños, redondos y ubicados de manera central