1/41
Looks like no tags are added yet.
Name | Mastery | Learn | Test | Matching | Spaced | Call with Kai |
|---|
No analytics yet
Send a link to your students to track their progress
¿qué es la prueba que utilizamos para la primer screening para la detección de líquido libre?
AFAST (abdominal focused assessment with sonography for trauma)
¿qué es AFAST?
abdominal focused assessment with sonography for trauma.
es el screening inicial para la detección de líquido libre.
¿qué es el protocolo para rápidamente detectar líquido libre en un paciente inestable?
AFAST:
poner el paciente en cualquiera posición, y hacer ecografía en 4 puntos:
1. DH: hepato-diafragma
2. SR: esplenorenal
3. CC: cisticólica
4. HR: hepatorenal
si hay líquido libre (anecoíco), poner un 1 en la categoría y al final dar la puntuación (0-4).
se realiza lo antes posible tras el triaje.
todo esto debe durar 3-4 minutos, y lo repetimos cada 4 horas.

¿en qué posición debe estar el paciente para hacer una AFAST?
cualquiera
¿cuánto tiempo debe durar el AFAST?
3-4min
(repetirla cada 4h)
¿en cuales puntos miramos para hacer el AFAST?
1. DH: hepatodiafragma
2. SR: esplenorenal
3. CC: cistocólica
4. HR: hepatorenal

en la vista DH (hepato-diafragma) del AFAST, ¿en cuales áreas enfocamos para buscar si hay líquido libre?
- hígado (+ valorar si las venas hepáticas son distendidas)
- vesícula biliar
- pericardio
- pleura

en la vista SR (espleno-renal) del AFAST, ¿en cuales áreas enfocamos para buscar si hay líquido libre?
bazo
abdomen
en la vista CC (cisto-cólica) del AFAST, ¿en cuales áreas enfocamos para buscar si hay líquido libre?
vejiga de orina (contorno y pared)
en la vista HR (hepato-renal) del AFAST, ¿en cuales áreas enfocamos para buscar si hay líquido libre?
hígado
riñon
intestino
abdomen
en la ecografía, ¿cómo se ve líquido libre?
- anecóico
- en zonas dependientes, y triángulos creados por los órganos
¿qué es AFS?
abdominal fluid score: ayuda a la monitorización y acúmulo tardío del LL
durante el AFAST, ponemos la sonda en el lado __________ para la vista HR (hepatorenal) y el lado __________ para la vista SR (esplenorenal)
derecho
izquierdo

si viene un paciente tras una trauma, queremos hacer _________ lo antes posible.
si sale positiva:
si sale negativa:
AFAST
+: aspirar el líquido y analizarlo
-: buscar fuente de sangrado (si el paciente es inestable) o monitorizar (si es estable)
¿qué hacemos si el AFAST sale positivo para líquido libre?
aspirar fluido → análisis + tratar el paciente
¿qué es TFAST?
detección de aire y líquido libre
hacer en 3 puntos:
1. CTS: pecho/pulmón
2. PCS: corazón
3. DH: diafragm-hepático

el líquido libre normalmente se ve en forma de:
triangulo

¿dónde buscamos el aire/líquido durante un TFAST?
3 puntos:
1. CTS: área del pulmón
2. PCS: área del corazón
3. DH: diafragma-hepático

¿qué buscamos en la vista CTS del examen TFAST?
neumotórax
derrame pulmonar

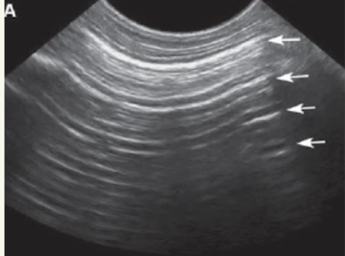
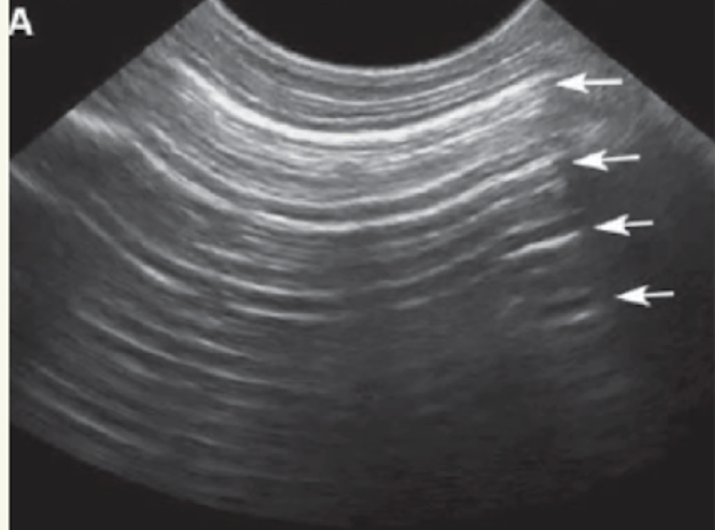
¿qué son los A-lines?
las líneas hiperecoícas y horizontales, de reverberación, creado por el aire en el pulmón. (son normales)

¿es normal ver los A-lines en el pulmón?
SI- solamente son creado por el aire

¿es normal ver sombra acústica en la ecografía del pulmón?
SI- por las costillas

¿dónde ponemos la sonda para detectar si hay neumotorax o edema pulmonar?
vista CTS (chest tube site)

¿cómo aparece un neumotorax en la radiografía?
hueco anecoíco entre el corazón y la pared torácica.

con una radiografía torácica, vemos un hueco anecoíco entre el corazón y la pared torácica (ventral). ¿qué es el diagnóstico?
neumotorax

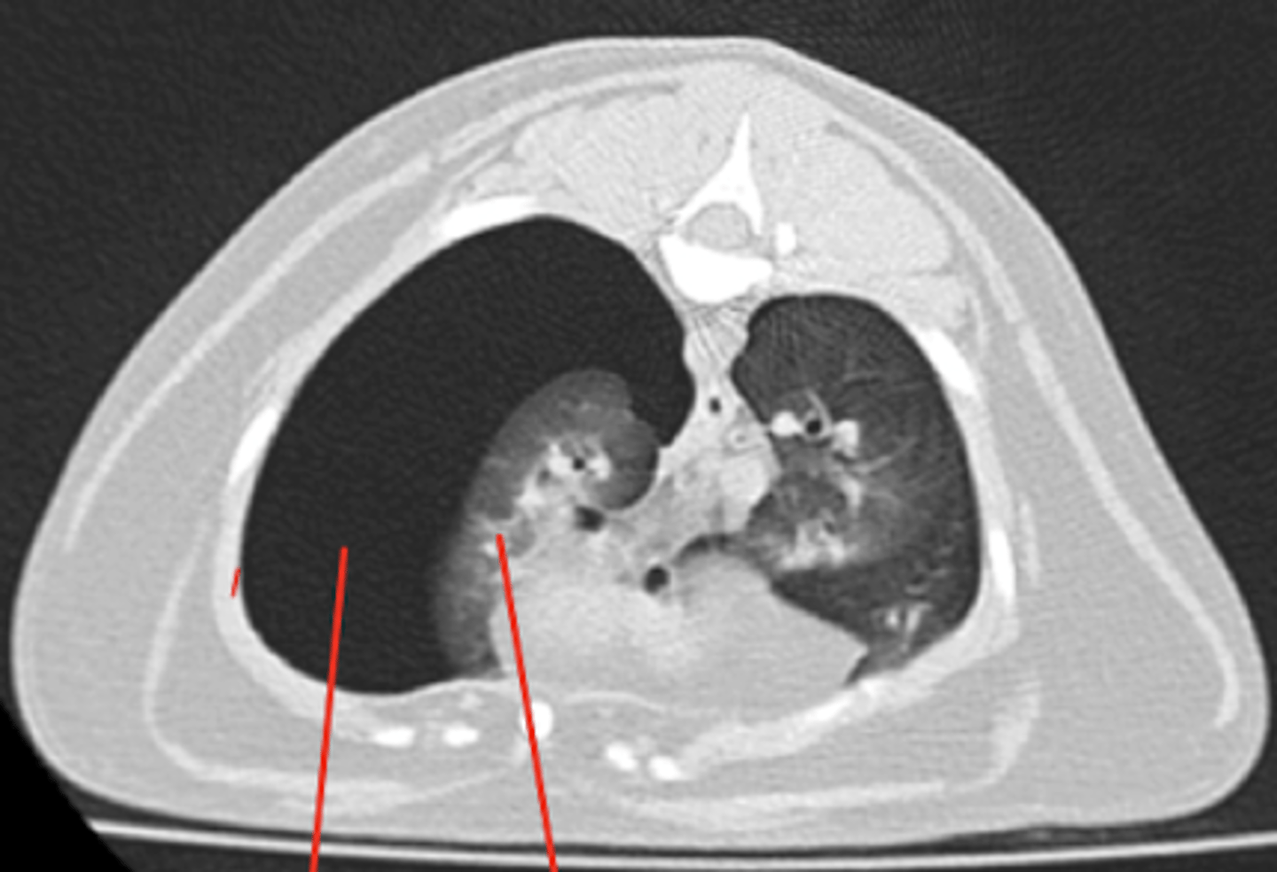
¿cómo aparece un neumotorax en la TAC?
espacio negro entre la pleura parietal y visceral, con pulmón atelectasico

¿cómo aparece un neumotorax en la ecografía?
parece un pulmón normal, pero sin movimiento del aire entre las pleuras (sliding)
en un pulmón sano, hay sliding/movimiento del aire
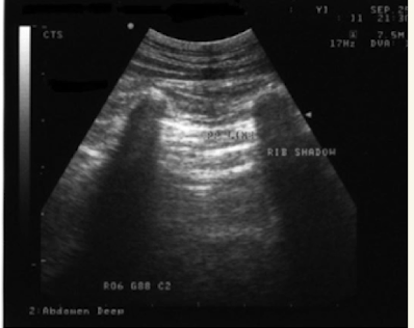
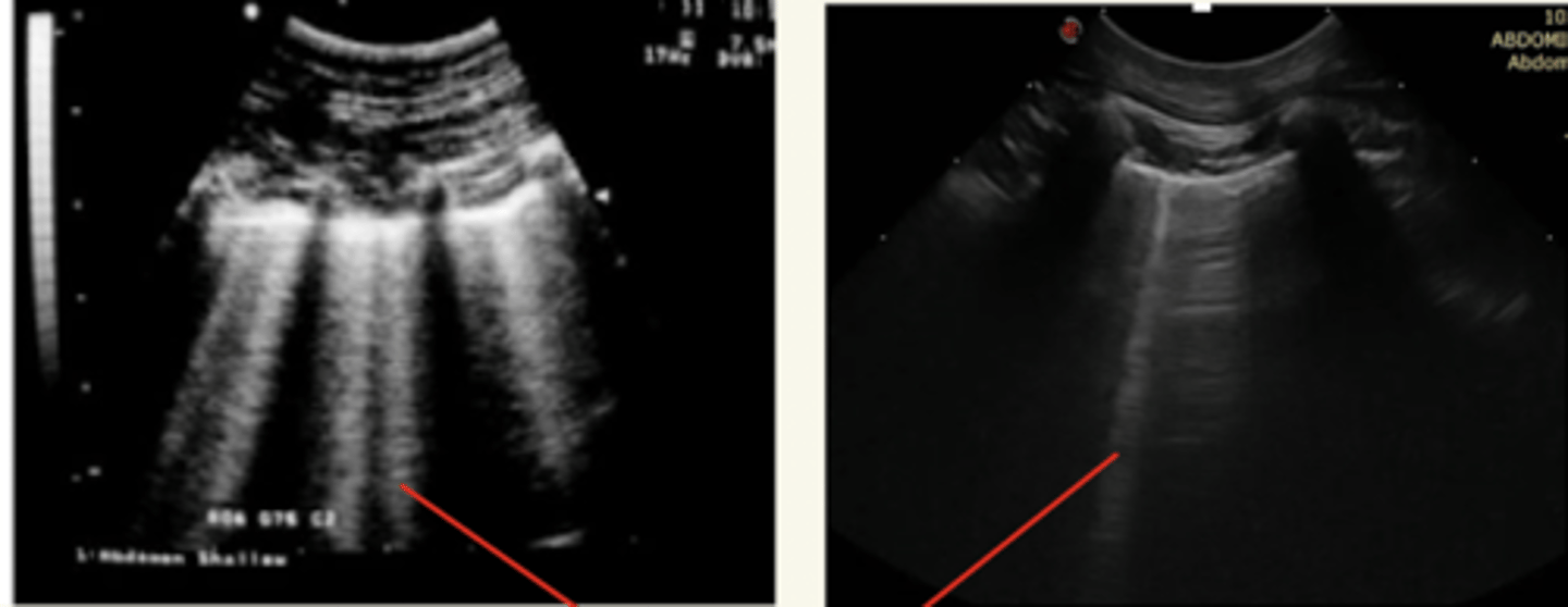
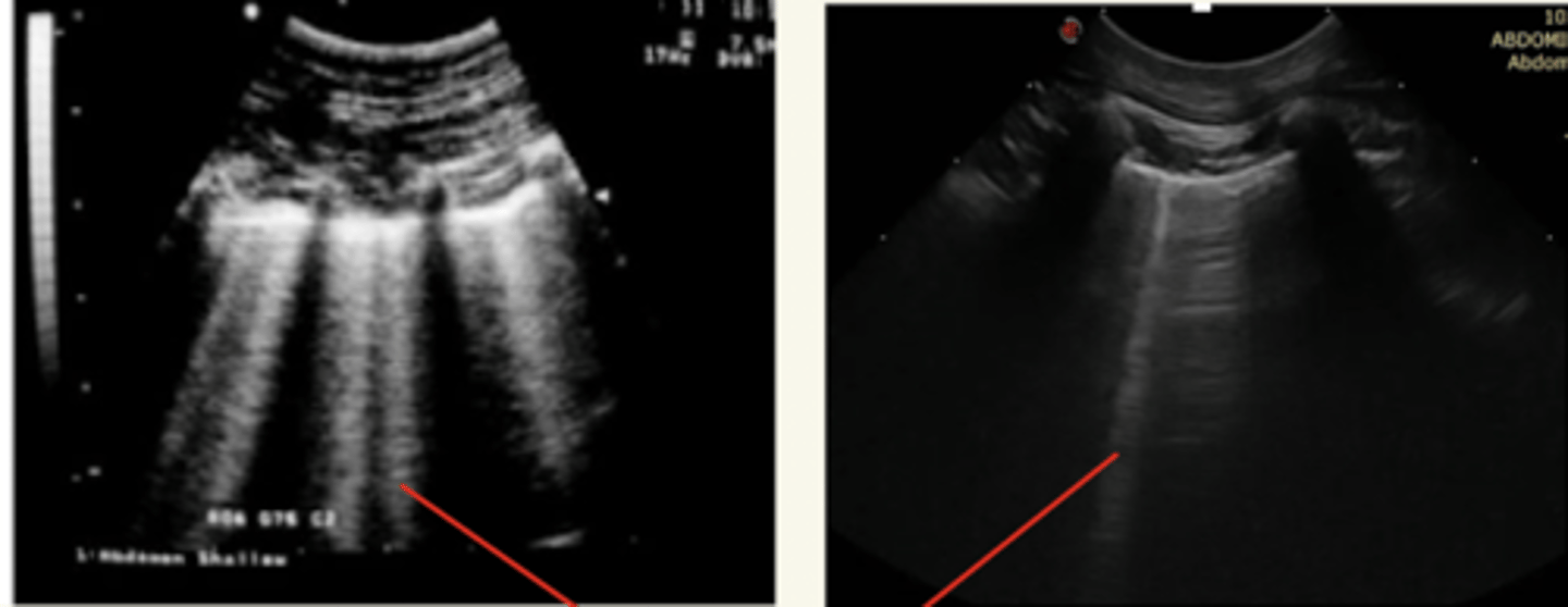
¿qué son los B-lines? ¿son normales?
colas de cometa (líneas hiperecoicos verticales) en el pulmón.
NO son normales- indican derrame pulmonar

¿cómo se ve derrame pulmonar con la ecografía?
B-lines: líneas hiperecoicas verticales (colas de cometa)

la vista PCS del TFAST nos sirve para evaluar:
la area pericárdica, por derrame pleural o pericárdica
¿dónde ponemos la sonda para buscar derrame pericárdico?
PCS
DH

¿dónde ponemos la sonda para buscar derrame pleural?
PCS
DH

¿cómo posicionamos el animal para hacer un TFAST?
decúbito lateral derecho o izquierdo
decúbito esternal

¿cómo se ve derrame pleural con la vista PCS del TFAST?
líquido libre (anecóico) delante del corazón

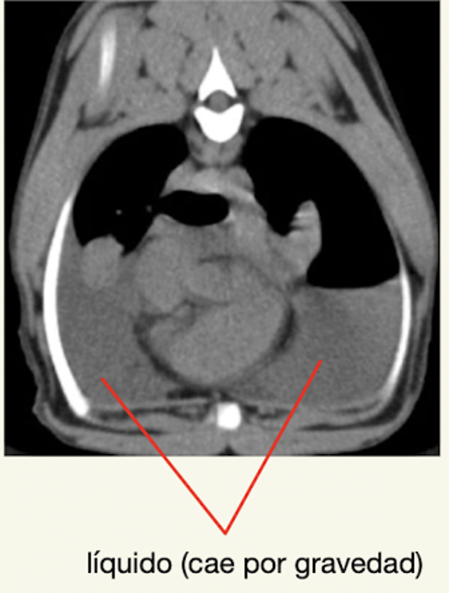
¿cómo se ve derrame pleural con TAC
líquido (gris) en la zona ventral de los pulmones (cae por gravedad)

si con el TAC vemos áreas grises ocupando el espacio ventral de los pulmones, podemos sospechar:
derrame pleural

si con la vista PCS de TFAST vemos una forma anecoíca en frente del corazón, podemos sospechar:
derrame pleural

¿cómo se ve derrame pericárdico en una RX torácica?
un corazón muy grande y redondo.
parece el mismo que cardiomegalia- entonces es importante averiguar cual es con ecografía

¿cómo se ve derrame pericárdico en la vista PCS de TFAST?
espacios anecoicos alrededor del corazón.

¿qué nos indica que hay edema pulmonar en la vista CTS de TFAST?
B-lines
(líneas hiperecoicas verticales)

¿qué nos indica que hay neumotorax en la vista CTS de TFAST?
que NO hay movimiento del aire entre las pleuras
(es necesario verlo en vídeo- que en foto, ve lo mismo que un pulmón sano)
¿es necesario rasurar el animal para hacer el TFAST?
NO- usar alcohol y gel