SHAREDGENETICS-LEC-MODULE-1-2.docx
M1 - Lesson 1:Introduction to Genetics: Its Origin and Definition |
|---|
Genetics is one of the major fields in Biology. It is about genes, the so-called "blueprint" of life. The genes determine the traits (variations) that each person has and each person has a unique set of genes.
Genetics studies how traits are passed from parents to their offspring, that is from one generation to the next. The passing of traits from parents to offspring is known as heredity, hence, genetics is also the study of heredity. This introduction to genetics takes you through the basic components of genetics such as DNA, genes, chromosomes and genetic inheritance. This lesson also includes a discussion on the origin of Genetics.
Genetics is built around molecules called DNA. Genes are segments of DNA, therefore, DNA molecules hold all the genetic information for an organism. It provides cells with the information they need to perform tasks that allow an organism to grow, survive and reproduce. A gene tells a cell to perform one specific task.
Heredity is what makes children look like their parents. During reproduction, DNA is replicated and passed from a parent to their offspring. This inheritance of genetic material by offspring influences the appearance and behavior of the offspring. The environment that an organism lives in can also influence how genes are expressed.
M1 - Lesson 2:Types and Causes of Variation |
|---|
In Genetics, we study the traits (variations) in the individual and how the genes that determine those traits are transmitted to the next generation (heredity).
The set of genes or the genotype of the person determines her or his phenotype, the observable traits.
The traits or the characteristics of an individual, a plant or animal can be unique only to the individual (individual characteristics) or can be observed in most members of their species (Species characteristics).
The species characteristics are observed as similarities, while the individual characteristics are the differences.
From Greek words:
Genetikos = genitive/generative
Genesis = origin
Genea = genes, race or generation
Gen = to produce, to become or to grow into something
Genetics - study if genes and how they are transmitted from parents to offspring (Heredity)
- Explains one’s origin or ancestry
Variations:Individuals of the same species may have characteristics common to all of them;
Species Characteristics = denote common origin
Individual Characteristics = yet, they may differ from one another
Variations - The basic quality of living organisms
- Similarities (Special Characteristics)
- Differences (Individual Characteristics)
- Provides the raw materials for adaptation
Phenotype - various observable features by which we recognize the organism
Genotype - type of genes or hereditary material in the organism
Phenocopies - environmental alterations of phenotype
Ex: Straightening of curly hair
Types Of Variations
- Morphological or Structural
- Physical traits or gross anatomical features
Ex: shape of the face, ears, eyes, color of the eyes, hair
- Cellular, Subcellular and Molecular traits
Ex: kind of hemoglobin in the RBC, kind of glycoproteins on the cell membrane, kind of DNA
- Physiological or Functional
- Biochemical and biophysical processes
Ex: 1. Inability to absorb glucose
2. Inability to distinguish colors
3. Failure to perform photosynthesis
4. Inability to synthesize certain amino acid
- Behavioral
- The combined structural and physiological traits
- Pattern of reactions to its environment
Ex: IQ, Mental retardation, Tolerance level
- Sexual
- The most important phenotypic characteristics of an organism
- Capacity for reproduction together with the features associated with it
Types of Sexual Variations
- Primary Sexual Traits - differences in external genitalia and gonads
- Secondary Sexual Traits - non-sexual but related to mating and rearing of youngs
- Developed breast in human female
- Smaller body of male frogs
- Continuous Variation - when the characteristics varies in a small amounts between individuals
Ex: Height, weight
- Discontinuous Variation - when there are one in-between
Ex: Tongue-rolling, Sex
Causes of Variation
- Genes (Inherited)
- Sex determination
- Mental retardation
- Infant deformities
- Environment (Acquired)
- Physical deformities
- Obesity
M1 - Lesson 3: Understanding the Other Fields of Genetics |
|---|
Fields of Genetics
- Transmission Genetic/Classical Genetics - deals with heredity and variation
Methods:
- Planned Experimental/Cross Breeding
- Pedigree Analysis
Method: Planned Experimental Experiments
- Garden pea (Pisum sativum) is ideal for genetic study
- Chose true-breeding/pure breeding which is between homozygous garden peas for his experiments
- Mendel first worked with single-character cross (Monohybrid cross)
1. Mendel Experiments![]()
![]()
- Pea Characters

- Pedigree Analysis (Pedigree Symbols)

- Sample Pedigree

2. Cytogenetics - study the genes in the cell particularly in the chromosomes
- Provide the chromosomal basis of sex determination
- Explain the distribution of boys and girls in the family

3. Molecular Genetics - investigate in detail the nature of genetic material, it’s structure, mode of replication and how it acts to produce the phenotype
DNA - genetic material
The three remaining bands must be shared with the father. Only one of the possible fathers shares the three bonds with the offspring. Therefore, this must be the biological father.
4. Population Genetics - genetic structure of a population
- Patterns of genetic variation in populations
- Changes in genetic structure through time
Genotype frequencies
200/1000 = 0.2 rr
500/1000 = 0.5 Rr
300/1000 = 0.3 RR
Total = 1000 flowers
5. Applied Genetics - practical application of Genetics
- Animal husbandry & plant breeding
- To produce high yielding varieties of food crops like disease-resistant plants and varieties of cows and pigs
- Epidemiological Genetics - for better therapy, management and prevention of recurrence of inherited disease
- Eugenics - choice of partners for marriage and have an estimate of the likelihood of appearance of desirable trait
- Medicolegal Genetics - to solve legal problems like dispute in paternity and exchange of babies in the hospital nursery
- Genetic Counseling - for deciding abortion and planning responsible parenthood through amniocentesis
- Genetic Engineering - repair of defective genes
- The process of manually adding new DNA to an organism
Ex: GMO (transgenic) organisms
- Plants with resistance to some insects
- Plants that can tolerate herbicides
- Crops with modified oil content
- Recombinant DNA technique and Gene Cloning - DNA fragments are cut out of their normal position in the chromosome using restriction enzymes and then inserted into other chromosomes or DNA molecules using enzymes
Human Genome Project
So what if there would be a database for the Human Genome?!?!?!
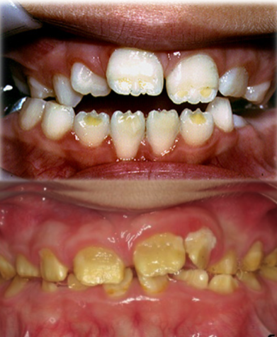
Amelogénesis Imperfecta
- This condition causes teeth to be unusually small, discolored, pitted or grooved, and prone to rapid wear and breakage
- CAUSE: Mutation in the AMELX, ENAM, and MMP20 genes
- TREATMENT: Crowning for the soft enamel In case of worse scenario, teeth may have to be extracted and implants or dentures are required
M1 - Lesson 4: The History of Genetics |
|---|
6000 years ago
- As far back as 6,000 years ago, records of pedigrees of some domesticated animals and some crop plants were kept.
- Examples of domesticated animals: horses, dogs, camels, sheeps, and others
- Examples of cultivated plants: wheat, rice, maize–corn, date palm, and other herbal plants
Prehistoric
The Greek Influence 400 BC
- Hippocrates - The Hippocratic treatise: On the Seed.
Male seed is thicker or more solid while the female is more fluid.
The Greek Influence 500 BC
- Aristotle & Pythagoras “Fluids & Vapors” Theory
- Aristotle: The vital heat fluid–SEMEN Semen was regarded as highly purified blood.
THICK - Semen (Male)
THIN - Menstruation (Female)
- Pythagoras: Vapors were from various organs unite to form individuals.
Era of Awakening
- Jan Swammerdam - Dutch Scientist
- He theorize that cells contain a complete miniatures of an adult, perfect in every form, called a “homunculus”
- William Harvey and Epigenesis - An organism is derived from substances present in the egg that differentiate into adult structure during embryonic development
18th Century
- Casper Wolff - German scientist who disapproved the theory of preformation
- He offered experimental evidence that no performed embryo existed in the egg of the chicken
- Pierre Louis Maupertuis - “The particulate Inheritance Theory”
- He proposed that minute particles, one from each body part, united in sexual reproduction to form a new individual
19th Century
- Charles Darwin - “The theory of Pangenesis” 1859
- He noted that each part of the body produces minute particles “gemmules” or “pangenes” which were contained in the blood of the entire body but eventually concentrated in the reproductive organs.
- The individual represents “blending” of both parents and acquired characters would be inherited too.
- August Weismann: German biologist - He disapproved the Theory of Pangenesis
- His experiment was the 22nd generation of mice where the tails of the parents were cut. Need to prove the absence of tails to offspring.
- Findings: The new lot of offspring considered of tails
- Molecular Genetics:
![]()
![]()
R cells - Colony of bacteria (rough surface)
- Non-virulent
S cells - Colony of bacteria (smooth surface)
- Virulent
- Gregor Mendel: “The Father” (1866)
- The father of modern genetics
- Used statistics to explain genetic events
- Four Postulates:
- Unit Factors in Pairs
- Dominance/Recessiveness
- Segregation
- Independent Assortment
- Fredrich Miescher (1869)
- DNA (first called “nuclein”) is identified by Friedrich Miescher as an acidic substance found in cell nuclei. The significance of DNA is not appreciated for over 70 years
- William Bateson (1905)- The “genetics” is coined by William Bateson
- Quantitative traits in broad beans experiment. 1903- 1909
- Wilhem Johanssen - the first experiments on quantitative traits in broad beans.
- Herman Nilsson-Ehle - the first experiments on quantitative traits in wheat.
- Thomas Morgan & the white eyes - genes are carried on chromosomes and the mechanical basis for heredity
- Conducted the experiments on the Drosophila (fruit flies)
- The phenomenon of crossing over

Eugenics Movement - 1910’s-30’s - The eugenics movement in popular, fueling racist sentiment and leading to involuntary sterilization laws
MODERN GENETICS
Molecular Genetics
- Karl Landsteiner and the ABO Blood types
- Harriet Creighton and Barbara Mcclinotck (1931) - Genetic recombination is caused by a physical exchange of chromosomal pieces as shown in corn
- Beadle & Tatum (1941) - One gene encodes are protein
- Erwin Chargaff - 1950
- In DNA, there are equal amounts of A and t, and equal amounts of C and G.
- However, the A+T to C+G ratio can differ between organisms.
- DNA : Adenine, Cytosine, Guanine, Thymine
- RNA : Adenine, Cytosine, Guanine, Uracil
- Alfred Hershey & Martha Chase- 1952
- The Blender Experiment
- DNA is the molecule that mediates heredity, as shown in the bacteriophage labeling experiments

- DNA is Double Helix - 1953
- DNA is the shape of a double helix with antiparallel nucleotide chains and specific base pairing. This was deduced by Watson & Crick who used Rosalind Franklin’s data provided by Maurice Wilkins
- DNA is semi - conservative - 1958
- DNA replication is semi-conservative, as shown by Meselson & Stahl using equilibrium density gradient centrifugation
- Restriction Enzyme - 1970
- The first restriction enzyme is purified by Hamilton Smith
- Recombinant DNA - 1972-73
- The first constructed by Cohen & Boyer

- DNA Sequencing Technology - 1977
- DNA sequencing technology is developed by Fred Sanger
Quest for the Genomes: Challenge for Modern Genetics |
|---|
1990's Genome projects are begun. The yeast genome is complete in 1996, and the C. elegans genome is done in 1998.
1990's DNA microarrays are invented by Pat Brown and colleagues.
1990's DNA fingerprinting, gene therapy, and genetically modified foods come onto the scene.
1995 Automated sequencing technology allows genome projects to accelerate.
1996-7 The first cloning of a mammal (Dolly the sheep) is performed by Ian Wilmut and colleagues, from the Roslin institute in Scotland.
2000 The Drosophila genome is completed. The Arabidopsis genome is completed.
The human genome is reported to be completed. 2001 The sequence of the human genome is released, and the "post-genomic era" officially begins.
2009 Controversies continue over human and animal cloning, research on stem cells, and genetic modification of crops.
M2 - Cell Structure and Function |
|---|
Cells are the basic building blocks of all living things. The human body is composed of trillions of cells. They provide structure for the body, take in nutrients from food, convert those nutrients into energy, and carry out specialized functions.
Eukaryotic cells - contain a nucleus and organelles bound by plasma membranes.
Prokaryotic cells - do not have a membrane-bound nucleus or organelles.
ANIMAL CELL![]()
- Nucleus - Cell’s control center
- Mitochondrion - Produces energy for cells to use by breaking down substances during oxidative metabolism.
- Golgi complex - Collects, packages and distributes molecules made in the cell
- Ribosomes - Tiny protein producing factories proteins produce chemical messages that run a cell
- Vacuole - Storage area from fats and other substances.
- Peroxisome - Vesicle that contains enzymes that carry out particular reactions, such as detoxifying potentially harmful molecules
- Centriole - Tiny organs that help the cell divide.

- DNA - Contains coded information that passes on every single inherited characteristic.
- Endoplasmic reticulum - Smooth and rough lubes that move and store materials made by the cell.
- Lysosome - Where digestion of cell nutrients takes place.
- Cytoplasm - Jelly Like fluid between cell membrane and the nucleus. This is where all organelles (little organs) are found.
- Cell Membrane - Made up of a double layer of fatty material. It allows some materials to pass into and out the cell at thousands of places across the surface. It allows foods to pass into the cell and waste to pass out of the cell.

CELL THEORY |
|---|
Proposed by Matthias Schleiden and Theodor Schwann in 1839
- All living things are made up of cells.
- Cells are the smallest working unit of all living things
- All cells come from preexisting cells through cell division
Major Structures Present in a cell are:
- Cell Membrane
- Cytoplasm and its Organelles
- Nucleus
CELL CYCLE |
|---|
What is Cell Cycle?
- Series of events that take place in a cell leading to its division and DNA replication
- A cell cycle is a series of events that takes place in a cell as it grows and divides. A cell spends most of its time in what is called interphase, and during this time it grows, replicates its chromosomes, and prepares for cell division. The cell then leaves interphase, undergoes mitosis, and completes its division.
Interphase - Period of the cell between cell divisions. Preparatory stage for cell division
- Interphase (G1 Phase) - Between Mitosis and DNA synthesis Growing cell: organelles are duplicating Metabolically active cell Lasts up to 11 hrs. G1 phase is the phase of the cell between mitosis and initiation of replication of the genetic material of the cell. During this phase, the cell is metabolically active and continues to grow without replicating its DNA.
- Interphase (G0 Phase) - Quiescent stage. Metabolically active cell. Not dividing cell
- It is the resting phase.
- Cells enter the G0 phase from a cell cycle checkpoint in the G1 phase.
- Cells reside in this place until they receive appropriate signals.
- Interphase (S Phase) - Dna replication. Increases in DNA content last up to 8 hrs.
- The S phase of a cell cycle occurs during interphase, before mitosis or meiosis, and is responsible for the synthesis or replication of DNA. In this way, the genetic material of a cell is doubled before it enters mitosis or meiosis, allowing there to be enough DNA to be split into daughter cells.
- Interphase (G2 Phase) - Protein Synthesis.
- Check point: damaged DNA unreplicated DNA Lasts up to 4 hrs
- This last stage is all about prepping the cell for mitosis or meiosis. During G2, the cell has to grow some more and produce any molecules it still needs to divide.
- M Phase -

What is Cell Division
- Biological Basis of Life:
- Reproduction: To produce new individuals of the same kind.
- Maintains the Genome:
- Keeps the genomic information consistent between generations.
- Cell Multiplication:
- Increase in the number of cells for growth, development and repair.
Somatic Cell
- Make up all the body tissues and organs.
- Diploid Chromosomes
- Undergo Mitosis
Examples: Neuron, Epithelial Cells, Blood Cells, Muscle Cells
Germinal Cells
- Gametes reproduction cells
- Haploid Chromosomes
- Undergo Meiosis
The Chromosome: Are threadlike structures made of protein and a single molecule of DNA that serve to carry the genomic information from cell to cell. In plants and animals (including humans). Chromosomes reside in the nucleus of the cell.
MITOSIS |
|---|
Mitosis is the process by which a cell replicates its chromosomes and then segregates them, producing two identical nuclei in preparation for cell division. Mitosis is generally followed by equal division of the cell's content into two daughter cells that have identical genomes
- Prophase:
- Nucleus disappears.
- Chromatin condenses into chromosomes.
- Separation of centrosomes.
- Formation of the mitotic spindle.
- Early Prophase:
- Mitotic spindle starts to form.
- Chromosomes start to condense.
- Nucleolus is gone.
- Late Prophase (ProMetaphase):
- Nuclear envelope breaks down
- Chromosomes fully condensed
- Metaphase:

Chromosomes line up along metaphase plate
- Anaphase:
Chromosomes break at centromeres, and sister chromatids move to opposite ends of the cell.
- Telophase:
- Chromosomes have arrived at opposite poles and nuclear envelope reforms.
- Cytokinesis:
- Contractile ring creating cleavage furrow
- Completed nuclear envelope surrounds decondensing chromosomes.
MEIOSIS |
|---|
Meiosis is a type of cell division in sexually reproducing organisms that reduces the number of chromosomes in gametes (the sex cells, or egg and sperm). In humans, body (or somatic) cells are diploid, containing two sets of chromosomes (one from each parent.
MEIOSIS I |
|---|
Meiosis I: Prophase I
- First stage of the first meiotic division. Where chromosomes are “bead”-like and the nuclear membrane and nucleolus disintegrate.
- STAGES OF PROPHASE I:
- During prophase I, the complex of DNA and protein known as chromatin condenses to form chromosomes. The pairs of replicated chromosomes are known as sister chromatids, and they remain joined at a central point called the centromere.
Condensation of chromosomes.
Shortening and thickening of chromosomes Doubled chromosomes.
Meiosis I: Prophase II
- During prophase II, the chromosomes condense, and a new set of spindle fibers forms. The chromosomes begin moving toward the equator of the cell. During metaphase II, the centromeres of the paired chromatids align along the equatorial plate in both cells.
Meiosis I: Metaphase I
Meiosis I: Anaphase I
Meiosis I: Anaphase I
- The cell now undergoes a process called cytokinesis that divides the cytoplasm of the original cell into two daughter cells. Each daughter cell is haploid and has only one set of chromosomes, or half the total number of chromosomes of the original cell.
Meiosis I: Cytokinesis I
- Each daughter cell is haploid and has only one set of chromosomes, or half the total number of chromosomes of the original cell.
MEIOSIS II |
|---|
Meiosis II is a mitotic division of each of the haploid cells produced in meiosis I.
Meiosis II: Prophase II
- The chromosomes condense, and a new set of spindle fibers forms. The chromosomes begin moving toward the equator of the cell.
Meiosis II: Metaphase II
Meiosis II: Anaphase II
The chromatids split at the centromere and migrate along the spindle fibers to opposite poles.
Meiosis II: Telophase II
- Nuclear membranes form around each set of chromosomes, and the chromosomes decondense.
Meiosis II: Cytokinesis II
Nuclear membranes form around each set of chromosomes, and the chromosomes decondense.
Genetic variation is increased by meiosis:
- During fertilization, 1 gamete from each parent combines to form a zygote. Because of recombination and independent assortment in meiosis, each gamete contains a different set of DNA. This produces a unique combination of genes in the resulting zygote.
SUMMARY |
|---|
- Meiosis I begins with one diploid parent cell and ends with two haploid daughter cells. This results in halving the number of chromosomes in each cell.
- Meiosis II resembles a mitotic division, except that the chromosome number has been reduced by half. Thus, the products of meiosis II are four haploid cells that contain a single copy of each chromosome.
How sex is determined? Sperm Cell
How is genetic material inherited? By cell division