Tissues
Epithelial Membranes
Mucous Membrane- lines body surfaces that open directly to the body’s exterior


Serous Membrane- line some closed body cavities and covers many organs in the cavity


Cutaneous Membrane- skin; largest membrane; rests on connective tissue


Tissue
- Connective tissue
- epithelial tissue
- Muscle tissue
- Nervous tissue
Tissue Development
- Three layers
* Ectoderm: outer layer
* Mesoderm: middle layer
* Endoderm: Inner layer - Differentiation: process where each layer gives rise to the different types of tissue.
- Stem cells: can differentiate into many different types of cells
Body tissues
- Groups of cells with similar structure and function
- Four primary types:
* Epithelial tissue (epithelium)
* Connective tissue
* Muscle Tissue
* Nervous Tissue
\n
Epithelial Tissue
- Locations
* Body coverings
* Body linings
* Glandular tissues - Functions:
* Protection
* Absorption
* Filtration
* Secretion - Characteristics
* Cells fit closely together and often form sheets
* The apical surface is the free surface of the tissue
* Lower surface of the epithelium rests on a basement membrane
* Avascular (no blood supply)
* Regenerate easily if well nourished - Classification of Epithelia
* Cell shape
* Squamous
* Cuboidal
* columnar
* Number of Cell Layers
* Simple-one layer
* Stratifies- more than one layer
| Cell Shape | One layer: simple epithelial tissues | More than one layer: stratified epithelial tissues |
|---|---|---|
| Squamous | Diffusion and filtrationSecretion in serous membranes | protection |
| Cuboidal | Secretion and absorption; ciliated types propel mucus or reproductive cells | Protection;these tissue types are rare in humans |
| Columnar | Secretion and absorption ; ciliated types propel mucus or reproductive cells | Protection;these tissue types are rare in humans |
| Transitional | Protection; strechting |
\n
Simple Epithelia
Simple squamous
- Single layer of flat cells located
- Location-usually forms membranes
* Lines air sacs of the lungs
* Four walls of capillaries
* Forms serous membranes (serosae that line and cover organs in ventral cavity - Functions in diffusion, secretion, or filtration in membranes
Simple Cuboidal
- Single layer of cube-like cells
- Locations
* Common in glands and their ducts
* Forms walls of kidney tubes
* Covers the surface of ovaries - Functions in secretion and absorption; ciliated types propel mucus or reproductive cells
Simple Columnar
- Single layer of tall cells
* Goblet cells secrete mucus - Location:
* Lines digestive tract from stomach to anus
* Mucous membranes (mucosae) line body cavities opening to the exterior - Functions in secretion and absorption; ciliated types propel mucus or reproductive cells
Simple Epithelia
- Pseudostratified columnar
* All cells rest on a basement membrane
* Single layer, but some cells are shorter than others giving a false (pseudo) impression of stratification
* Location
* Respiratory tract, where it is ciliated and known as pseudostratified ciliated columnar epithelium
* Function is absorption and secretion
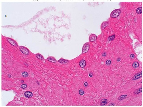
Stratified Squamous
- Named for cells present at the free (apical) surface, which are flattened
- Functions as a protective covering where friction is common
- Locations - lining of the:
* Skin (outer portion)
* Mouth
* Esophagus
Stratified Epithelia
- Stratified Cuboidal - 2 layers of cuboidal cells; functions in protection
- Stratified Columnar - surface cells are columnar, and cells underneath vary in size and shape; function protection
- Stratified cuboidal and columnar
* Rare in human body
* Found mainly in ducts of large glands - Transitional epithelium
* Composed of modified stratified squamous epithelium
* Shape of cells depend upon the amount of stretching
* Functions in stretching and the ability to return to normal shape
* Locations: urinary system organs
Glandular Epithelium
- Gland
* One or more cells responsible for secreting a particular product
* Secretions contain protein molecules in an aqueous (water-based) fluid
* Secretion is an active process - Two major Gland type
* Endocrine gland
* Ductless; secretions diffuse into blood vessels
* All secretions are hormones
* Examples include thyroids, adrenals, and pituitary
* Exocrine gland
* Secretions empty through ducts to the epithelial surface
* Include sweat and oil glands, liver, and pancreas
* Includes both internal and external glands
Connective Tissue
- Found everywhere in the body
- Includes the most abundant and widely distributed tissues
- Functions:
* Provides protection
* Binds body tissues together
* Supports the body
Characteristics
- Variations in blood supply
* Some tissue types are well vascularized
* Some have a poor blood supply or are avascular - Extracellular matrix
* Nonliving material that surrounds living cells
\n
Extracellular Matrix
- Two main Elements
* Found substance-mostly water along with adhesion proteins and polysaccharide molecules
* Fibers
* Produced by the cells
* Three types:
* Collagen (white) fibers
* Elastic (yellow) fibers
* Reticular Fibers (a type of collagen
Connective Tissue Types
From most rigid to softest, or most fluid:
Bone (osseous tissue)
Cartilage
Dense connective tissue (woven, thick)
Loose connective tissue
Blood
Bone (osseous tissue)
* Composed of
* Osteocytes (bone cells) sitting in lacunae (cavities)
* Hard matrix of calcium salts
* Large numbers of collagen fibers
* Functions to protect and support the bodyCartilage
* Less hard and more flexible than bone
* Found in only a few places in the body
* Chondrocyte (cartilage cell) is the major cell typeHyaline Cartilage
* Hyaline cartilage is the most widespread type of cartilage
* Composed of abundant collagen fibers and a rubbery matrix
* Locations:
* Larynx
* Entire fetal skeleton prior to birth
* Epiphyseal plates
* Functions as a more flexible skeletal element than boneElastic cartilage
* Provides elasticity
* Location:
* Supports the external ear
* Fibrocartilage
* High compressibility
* Location:
* Forms cushion like discs between vertebrae of the spinal columnDense Connective tissue (dense fibrous tissue)
* Main matrix element is collagen fiber
* Fibroblasts are cells that make fibers
* Location
* Tendons-attach skeletal muscle to bone
* Ligaments- attach bone to bone at joints are more elastic than tendons
* Dermis-lower layers of the skin
\n
Loose fibrous connective tissue
* Areolar tissue
* Most widely distributed connective tissue
* Soft, pliable tissue like “cobwebs”
* Functions as a universal packing tissue and “glue” to hold organs in place
* Layer of areolar tissue called lamina propria underlies all membranes
* All fiber types form a loose network
* Can soak up excess fluid (causes edema)
* Adipose tissue
* Matrix is an areolar tissue in which fat globules predominate
* Many cells contain large lipid deposits with nucleus to one side (signet ring cells)
* Functions
* Insulates the body
* Protects some organs
* Serves as a site of fuel storage
*Reticular connective tissue
* Delicate network of interwoven fibers with reticular cells (like fibroblasts)
* Locations:
* of organs, such as these lymphoid organs
* Lymph nodes
* Spleen
* Bone marrowBlood (vascular tissue)
* Blood cells surrounded by fluid matrix known as blood plasma
* Soluble fibers are visible only during clotting
* Functions as the transport vehicle for the cardiovascular system, carrying
* Nutrients
* Wastes
* Respiratory Gases
\n
Muscle Tissue Types
Skeletal Muscle
* Voluntarily (consciously) controlled
* Attached to the skeleton and pull on bones or skin
* Produces gross body movements or facial expressions
* Characteristics: of skeletal muscle cells
* Striations (stripes)
* Multinucleate (more than one nucleus)
* Long, cylindrical shapeCardiac Muscle
* Involuntarily controlled
* Found only in the heart
* Pumps blood through blood vessels
* Characteristics: of cardiac muscle cells
* Striations
* Uninucleate, short, branching cells
* Intercalated discs contain gap junctions to connect cells togetherSmooth (visceral) Muscle
* Involuntarily controlled
* Found in the walls of hollow organs such as stomach, uterus, and blood vessels
* Peristalsis, a wavelike activity, is a typical activity
* Characteristics: of smooth muscle cells
* No visible striations
* Uninucleate
* Spindle-Shaped Cells
\n
Nervous Tissue
- Composed of neurons and nerve support cells
- Function is to receive and conduct electrochemical impulses to and from body parts
* Irritability
* conductivity - Support cells called neuroganglia insulate, protect, and support neurons
Tissue Repair (Wound Healing)
- Tissue repair (wound healing) occurs in two ways:
* Regeneration
* Replacement of destroyed tissue by the same kind of cells
* Fibrosis
* Repair by dense (fibrous) connective tissue (scar tissue)
- Hemostasis - when a cut occurs n the skin, the severed blood vessels bled into the wound
- Inflammatory - A blot clot forms. The surface of the blood clot dries, forming a scab. Beneath the scab, white blood cells begins to ingest bacteria and cellular debris
- Proliferative -The healthy tissue surrounding the wound sends blood, nutrients, proteins, and other materials need for growing new tissue to the damaged area. The newly formed tissue is called granulation tissue, Fibroblasts in the granulation tissue secrete collagen, which forms sear tissue inside the wound.
- Remolding- The surface area around the wound generates new epithelial cells. These cells migrate beneath the scab. Eventually, the scab loosens and falls off to reveal new, functional tissue. \n

Regeneration of Tissues
- Tissues that regenerate easily
* Epithelial tissue (skin and mucous membranes)
* Fibrous connective tissues and bone) - Tissues that regenerate poorly
* Skeletal muscle - Tissues that are replaced largely with scar tissue
* Cardiac muscle
* Nervous tissue within the brain and spinal cord
\n