Midterm
Objectives:
60 total questions (58 multiple choice, choose all that applies, 2 matching, fill in the blank with short answers)
Infant, Pedo, Ado: 9
Patient Counseling, Interviewing: 12
Oral Infection Control: 11
Dentifrices/Mouthrinses: 18
Fixed/Removable Appliances: 9
List facts about:
AAPD (American Academy of Pediatric Dentistry)
Definition: advocates policies, guidelines, and oral health care for children
1st dental visit BEFORE 12 months
early morning/after nap
Recall every 4–6 months or as needed

ADA (American Dental Association)
Recommend soft bristles
recommends a minimum of 2x daily
List of approved products on the website
AAPD / ADA Age Classification
Infant: Under 1 year
Toddler: 1–3 years
Preschooler: 3–5 years
School-age: 6–11 years
Adolescent: 12–17 years

ADA Seal of Approval (1931)
help make informed decisions about dental products
Evaluate OTC products for safety and effectiveness
voluntary
awarded after full review of effectiveness/safety
acceptance is for 5 years
use must have an ADA approval statement
lack of seal does not mean unsafe or ineffective

ADHA (American Dental Hygienist Association)

CDC (Centers for Disease Control and Prevention)

FDA
Cosmetic: Cleans or improves appearance only (whitening, fresh breath).
Therapeutic: Prevents or treats disease (caries prevention, gingivitis reduction).

CAMBRA
What does CAMBRA stand for?
Caries management by risk assessment

What is the purpose of CAMBRA?
assessment data to determine caries risk level for children under 6 or adults (over 6+)
Identify protective and contributing factors against caries
balance between protective and risk factors
classify child’s risk levels

Early Childhood Caries (ECC)
List factors/microbes that contribute to ECC
high level of S. mutans in biofilm → risk factor
transfer by saliva-sharing behaviors (AVOID)
Lactobacilli and Candida contribute
Predisposing factors: bottle in bed, prolonged breastfeeding
Pattern: maxillary anteriors → primary molars

List facts about ECC
Also known as: Nursing bottle caries, baby bottle caries, or rampant caries.
presence of 1 or more decayed, missing, or filled tooth surfaces in any primary tooth in a child under 6
S-ECC → child under 3 with any smooth-surface caries
Adolescence: One of the highest caries-risk periods, particularly for males

Define:
Active Listening
being fully engaged and demonstrating that you are listening

Anticipatory Guidance
providing parents and caregivers with information about their child’s current and upcoming developmental stages to help them anticipate needs and support development

Change Talk
self-expressed language that is an argument for change

Motivational Interviewing
A tool used to elicit and strengthen patient motivation for positive behavior change

Sustain Talk
individuals’ own arguments for not changing

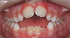
List the consequences of thumb sucking
narrow maxillary arch
anterior open bite
posterior crossbite
increased overjet
decrease overbite

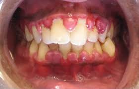
List facts about biofilm-induced gingivitis in adolescents
incidence
Severity may increase during puberty
clinical and hormonal changes related to increased biofilm
exaggerated response to biofilm

fluoride supplement chart:
Less than 0.3ppm | 0.3–0.6ppm | More than 0.6ppm | |
|---|---|---|---|
Birth – 6 months | 0 | 0 | 0 |
6 months – 3 years | 0.25ppm | 0 | 0 |
3 years – 6 years | 0.50ppm | 0.25ppm | 0 |
6 years – 16 years | 1.0ppm | 0.50ppm | 0 |
What prescription should be written for a 4-year-old child in a non-fluoridated community (0.0mg/L)?
0.50ppm
What prescription should be written for a 6-year-old child that has naturally occurring fluoride at .45mg/L?
0.50ppm

Home Care:
List considerations when choosing oral health aids for patients:
anatomy
ability to perform self-care
product they use
time dedicated to oral health
barriers to self care

Finance and Usage Factors:
affordability of the product
product upkeep (battery)
current product usage (suggest to the appointment)

Anatomy and Access:
Position of teeth
crowding
open contact
fixed/removable appliances
limited opening
hard-to-reach areas
Embrasure type:
type I: gingiva fills interproximal area
Type II: missing/reduced papilla
Type III: extensive recession; may be lost

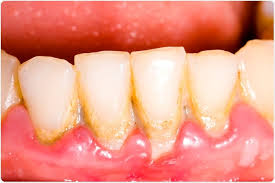
Biofilm and compliance factors:
extent and location of biofilm with BFI

Recommendations for home care
Research shows ____power_____ manual toothbrushes are more effective at biofilm removal by 10-20%

the ADA recommended ____2_____ manual toothbrushes
AM/PM

What toothbrushes are best for patients in orthodontics?
Interdental brushes

Which teeth are more likely to suffer from toothbrush abrasion?
canine, 1st PM, bucco/linguoverted teeth

List methods to disinfect toothbrushes and intraoral aids.
3% hydrogen peroxide
CPC/CHX
essential oil rinse
microwave or UV light

When can children start using mouth-rinse?
over 6 years
Under 3 years: Smear (rice-sized amount)
Ages 3–6 years: Pea-sized amount
List defining properties of each toothbrushing method:
Modified Bass | 45° to sulcus, light pressure, vibrate ×10, roll to crown ![]() | + Gingival stimulation− Limited subgingival biofilm removal |
Modified Stillman | Filaments partly on gingiva, blanch, vibrate, roll ![]() | + Gingival stimulation− Slippage may cause lacerations |
Charters | 45° toward occlusal, rotary strokes ![]() | + Marginal gingiva stimulation− No subgingival removal |
Fones | Teeth edge-to-edge, circular motion ![]() | + Easy for children− Lower biofilm removal |
Leonard | Teeth edge-to-edge, vertical strokes ![]() | + Easy for children− Minimal interproximal/sulcular cleaning |
Horizontal Scrub | 90° to tooth, back-and-forth ![]() | Only for children <7− Cervical abrasion |
Special Areas: Anterior linguals: Brush vertically, overlapping strokes

Occlusals: Handle parallel; overlapping strokes and vibration into pits/fissures

List the best interdental aids for:
Orthodontics
floss threader
interdental brushes (soft-piks & rubber tips)
toothpick holder
water-piks

Bridges
tufted floss (aka superfloss)
interdental brushes
rubber tips

Implants
tufted floss (aka superfloss)
floss threader
interdental brushes
soft-piks
rubber tips
water-piks

Teeth next to edentulous areas
gauze strips

Type I embrasures
dental floss

Type II embrasures
interdental brushes

Type III embrasures
Stim-U-Dent

List important dentifrice active ingredients in:
Therapeutic: Cavity Protection/Remin
sodium fluoride
stannous fluoride
sodium monofluorophosphate
Xylitol
Amorphous calcium phosphate (ACP)
Casein phosphopetide-amorphous calcium phosphate

Therapeutic: Biofilm/Gingivitis Reduction
stannous fluoride
zinc citrate

Therapeutic: Sensitivity Protection
5% potassium nitrate
potassium citrate
potassium chloride
strontium chloride
strontium acetate
stannous fluoride
arginine calcium
carbonate
novamin

Therapeutic: Tartar Control
sodium hexametaphosphate
tetrapotassium pyrophosphate
pyrophosphate
tetrasodium
zinc chloride
zinc citrate

Cosmetic: Malodor Control
sodium hexametaphosphate
stannous fluoride
essential oils
chloride dioxide
cetylpyridinium chloride

Cosmetic: Stain Reduction
tetrasodium pyrophosphate
sodium tripolyphosphate
sodium hexametaphosphate
hydrogen peroxide
carbamide peroxide

List inactive dentifrice ingredients for:
Detergents/Surfactants
sodium lauryl sulfate
sodium N-lauryl sacrosinate

Abrasives
silica and silicates
calcium carbonate
calcium pyrophosphate
aluminum oxide
bicarbonate

Humectants
glycerol
sorbitol
synthetic cellulose
vegetable oils

Binders
mineral/seaweed colloids
xanthan gum
carrageenan
synthetic cellulose

Preservatives
alcohol
benzoates
dichlorinated phenols

Flavoring
essential oils (peppermint, cinnamon, wintergreen, and clove)
artificial non-cariogenic sweeteners (xylitol, glycerol, and sorbitol)

For mouthrinses, describe the function of:
Surfactant (detergent)
foam and cleanse
lower surface tension
penetrate/loosen surface deposits
suspension of debris
emulsify/disperse flavor oil
contribute to foaming action

Humectant
moisture stabilizer
retain moisture
prevent hardening when exposed to air

Preservatives
prevent bacterial growth
prolong shelf life

Dyes
adds color

Flavor/sweetener
add pleasantness/freshness
contributes to overall flavor perception

Alcohol
enhances flavor impact
contributes to cleaning
acts as perservative

Water
major vehicle to carry ingredients

List important uses/functions and considerations for these mouthrinse ingredients:
Tips:
antimicrobial → stannous fluoride, Chlorhexidine, Cetylpyridium chloride, Sanguinarine and Essential oils
taste alteration → stannous fluoride and Chlorhexidine
staining → stannous fluoride, Chlorhexidine, and Cetylpyridium chloride
tissue sloughing → Cetylpyridium chloride and oxygenating agent
Short-term ONLY: Chlorhexidine and oxidizing agents
Sodium fluoride
decrease demin/increase remin
decrease hypersensitivity

Stannous fluoride
decrease demin/increase remin
decrease hypersensitivity
antimicrobial
taste alteration
staining

Chlorhexidine
0.12% prescription only rinse 20z/30sec
8-12 substantivity
increase supragingival calculus formation
short-term use ONLY
do NOT use CHX after brushing w/ SLS product (wait 30 seconds)
antimicrobial
decrease biofilm and gingivitis
taste alteration
staining

Cetylpyridium chloride
0.05%-0.07% OTC rinse
low substantivity
burning sensation
tissue sloughing
antimicrobial
decrease biofilm and gingivitis
staining

Sanguinarine
increase risk of oral leukoplakia
potential carcinogen
antimicrobial
decrease biofilm and gingivitis

Phenolic-Related Essential oils (thymol, eucalyptol, menthol, and methyl salicylate)
burning sensation
bitter taste
contradicted for recovering alcoholics
Good for preprocedural rinse
low substantivity
antimicrobial
decrease biofilm and gingivitis

Oxygenating agents
debriding agent/releases CO2
reduce symptoms for NUG/NUP
whitening(?)
no reduction of SARS-CoV-2
anodyne
pericornitis
tissue sloughing
low substantivity

Oxidizing agents
deodorizer (neutralizes VSC)
reduction of malodor
cosmetic use
short term ONLY
decrease biofilm and gingivitis
low substantivity

Process of Removable Appliances in Clinic
Place wet paper towels in denture cup.
Give patient tissue and instruct them to remove appliance.
If tight, apply even vertical pressure — avoid pulling on clasp.
Inspect appliance for defects.

Place appliance in denture cup to transport for sterilization
Double-bag:
Write patient’s name on outer bag.
Put cleaning solution in inner bag with appliance.
Seal bag and place in ultrasonic cleaner for 10 minutes

Remove bag and discard.
Rinse appliance under warm water.
Clean with denture brush to remove debris.
Place wet paper towel in denture cup and set appliances on top.
Allow patient to inspect and reinsert appliance.
Return empty denture cup and brush to care bag

After removing ortho brackets, fluoride can remineralize up to:
38-44%
Define: Oral Concerns
Angular cheilitis
inflammation of the corners of the mouth
nutrient deficiency, fungal or yeast infection, loss of vertical dimension

Denture stomatitis
inflammation of the oral mucosa under a prosthesis

Tissue hyperplasia
excessive growth of tissue in response to inflammation or trauma

Traumatic ulceration
isolated, red inflamed area surrounding ulcerated lesions

Fixed/Removable Appliances:
List the purposes for replacing missing teeth
preserves alveolar bone
enhances oral functions (chewing, swallowing, and speaking)
improved psychological impact

Which teeth are usually not replaced?
third molars
extractions for ortho

Fixed Appliance Example: |
|---|
Fixed Partial Prosthesis ![]() |
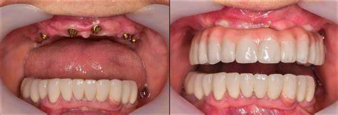
Implant Supported Over Denture ![]() |
Fixed Ortho Appliances ![]() |
Perio Splint ![]() |
Space Maintainer ![]() |
Removable Appliance |
|---|
Removable Partial Denture ![]() |
Complete Denture ![]() |
Root-supported Overdenture ![]() |
Obturator ![]() |
Removable Ortho Appliance ![]() |
List the best methods to clean around fixed appliances
soft toothbrush
mouth rinse
gum stimulator
superfloss
waterpik
soft pik
non-abrasive dentifrice

Describe:
Abutment
natural tooth or implant supporting pontic

Pontic
false (floating) teeth

Bridge
fixed partial prosthesis

Implant
prosthetic device placed in the jaw to which a tooth or denture may be anchored

Denture Type | Classification | Description and Purpose |
|---|---|---|
Partial Denture | Removable | Replaces only some missing teeth in a dental arch rather than the full set. |
Tissue-supported Denture | Removable | Rests directly on the residual ridges and replaces an entire arch of teeth. |
Interim Denture | Temporary | A provisional appliance designed to be replaced by a more definitive restoration at a later time. |
Immediate Denture | Removable | Fabricated for placement immediately following the removal of teeth; it often requires relining or replacement as the bone heals and remodels. |
Implant-supported Denture | Fixed | Anchored to dental implants (prosthetic devices placed in the jaw) to provide a stable base for the prosthesis. |
List examples of:
Verbal/vocal communication
spoken language

Verbal/non-vocal communication
signs or signals: writing, braille, sign language

Nonverbal/vocal communication
based on characteristics of language
qualifiers: volume, pitch, tempo, cadence
characteristics: crying, laughing

Nonverbal/non-vocal communication
body language, movement of body and eyes, facial expressions

Define barriers to communication:
Cultural

Physical
noise levels, not positioned face-to-face

Physiological
inability to see, hear, touch, or vocalize to communicate

Psychosociological
emotional factors, pain, or fear

Define:
Aphasia:
loss of power of expression by speech, writing, sign, or comprehension of language

Dysarthria
motor/speech disorder that weakens/paralyzes muscles of face, mouth, larynx, vocal cords that result in difficult speech

List those who have highest treatment needs and greatest barriers to care
older adults
immigrants
minorities
below poverty level
little to no english
low education

Define the acronym PACE
Partnership
establish a positive environment
Patients are experts on themselves
avoid communication based on professional experience

Acceptance
Absolute Worth: respect the patient as a human being
Accurate Empathy: understand the patient’s perspective
Autonomy Support: respect patient choice
Affirmation: encourage hope and belief in change

Compassion
Prioritizing the needs of the patient over the agenda
establishing trust in the patient

Evocation
elicit patient’s strength, thoughts, and ideas
build up on patient’s thoughts

Define the acronym RULE
Resist the Righting Reflex
Avoid the urge to “fix” the patient

Understand the Patient’s Motivation
Identify their reasons for change
Restate to confirm understanding

Listen to the Patient
Practice active listening
Remain neutral

Empower the Patient
Support autonomy
Outcomes improve with patient involvement

Define the acronym OARS
Open-ended questions

Affimations
to validate or recognize a patient’s effort toward change

Reflective listening
responding with a summary or statement that shows understanding (not just repeating words)

Summary

List and define the four steps in the Process of MI
Engaging
process of establishing a connection and working relationship

Focusing
process of developing and maintaining a direction in conversation about change

Evoking
process of eliciting the patients’ motivations for change

Planning
process encompasses developing commitment to change and formulating a plan of action

Commitment to Behavior Change
List statements that represent a high-level commitment to change
I will
I promise
I am ready
I intend to

List statements that represent a low-level commitment to change
I’ll think about it
I’ll consider it
I plan to
I hope to
I’ll try to
















