Orodental Pathology
Sir William Osler
One of the greatest icons of modern medicine and described as the Father of Modern Medicine, was the first to refer to the mouth as the ‘mirror’ of the body.
Early signs of many common degenerative diseases, nutritional deficiencies, and metabolic diseases are seen intraorally before they are physically apparent elsewhere.
Carbohydrates and Correlation to Diet:
Based on a study of 15 individuals over 6 weeks. Ten participants went on a low-carb, anti-inflammatory diet (which also included increasing intake of omega-3 3-fatty acids, vitamin C, vitamin D, antioxidants, and fiber), while the other 5 continued their normal diets.
The results of the experiment on the 15 individuals were by no means comprehensive, but they seemed to indicate that Dr. Wolber was ‘on to something.’ According to the summary, “the experimental group showed significantly reduced gingival and periodontal inflammation compared with the group who did not change their diet.” Specifically, reducing carbohydrates led to a significant improvement in gingival index, bleeding on probing, and periodontal inflamed surface area.
Another interesting finding from this group of participants was that neither group experienced a change in the amount of plaque on their teeth despite the reduction of periodontal inflammation in those who altered their diets. This leaves room for a a new question to study. does plaque play less of a role in the development of periodontal disease than we currently believe?

Legal/ Medical Dental Record- For Comprehensive Record Keeping




Odontology- is the science dealing with the teeth, their structure and development, and their diseases. Understanding why they are important is a diagnostic tool
Forensic Odontology- The branch of forensic medicine that deals with teeth and marks left by teeth (as in identifying criminal suspects or the remains of a dead person).
It involves the proper handling, examination, and evaluation of dental evidence, which will then be presented in the interest of justice.
Nomenclature for Teeth
Permanent (adult)- There are 32 of these teeth
Maxillary (upper)- These are found in the upper jaw of the maxilla
Mandibular (lower)- These are found in the mandible or lower jaw of the mouth.
There are 52 buds in the jaw that cut into the mouth with a predictable pattern of eruption and when they shed.
Slang
Permanent/Adult
Baby/Milk/ Deciduous
Eye teeth/Stomach teeth/Fangs
Bicuspids, Cuspids
Wisdom/ Third Molars
Pyorrhea
Primary Teeth
There are 20 in number (8 incisors, 4 canines, 8 molars)
Charted as “A” - “T”
Primary teeth don’t have premolars or third molars
Primary Eruption

Mixed Dentition
It can be seen from ages 6 years ± 9 months to ages 12 years ± 6 months
Primary teeth come out, and permanent teeth are moving in during this time
There is a wide variance in the age of the mixed dentition stage.
This stage is significant for monitoring dental health and ensuring proper alignment as the jaws and teeth develop. Additionally, it's crucial for parents and caregivers to encourage good oral hygiene practices during this transitional period.


Permanent Teeth
32 in number (8 incisors, 4 canines, 8 premolars, 12 molars)
Charted 1-32
Chart these using numbers; have 2 premolars in each quadrant; and 4 extra molars, these are called 3rd molars.
Incisors: Located in the anterior segment, with 2 in each quadrant
Canines: Positioned immediately posterior to the incisors, 1 in each quadrant
Premolars: Found in the posterior segment, 2 in each quadrant, numbering from 3-5
Molars: 3 molars in each quadrant, including the 3rd molars, typically referred to as wisdom teeth, numbered from 14-17 in the upper jaw and 18-32 in the lower jaw.

0 – 3 years = primary teeth erupt
3 – 6.5 years = 20 primary teeth in function
6.5 – 12.5 years = mixed dentition (primary shedding as permanent erupt)
12.5 – 17 years = 28/32 permanent teeth in function
17 – 21 years – 3rd molars (wisdom teeth) erupt if present and if they can be accommodated






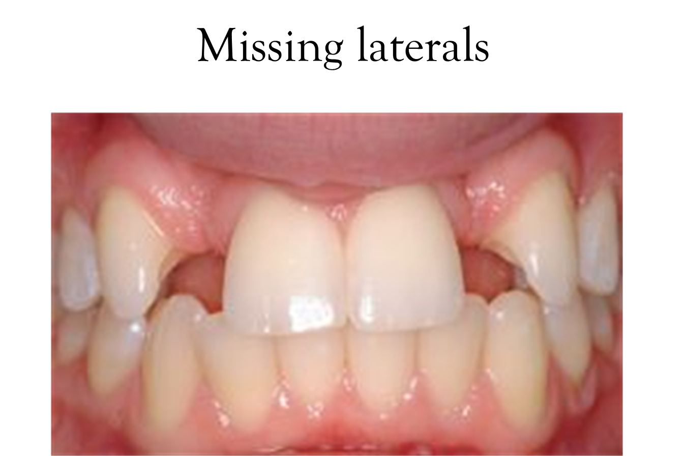
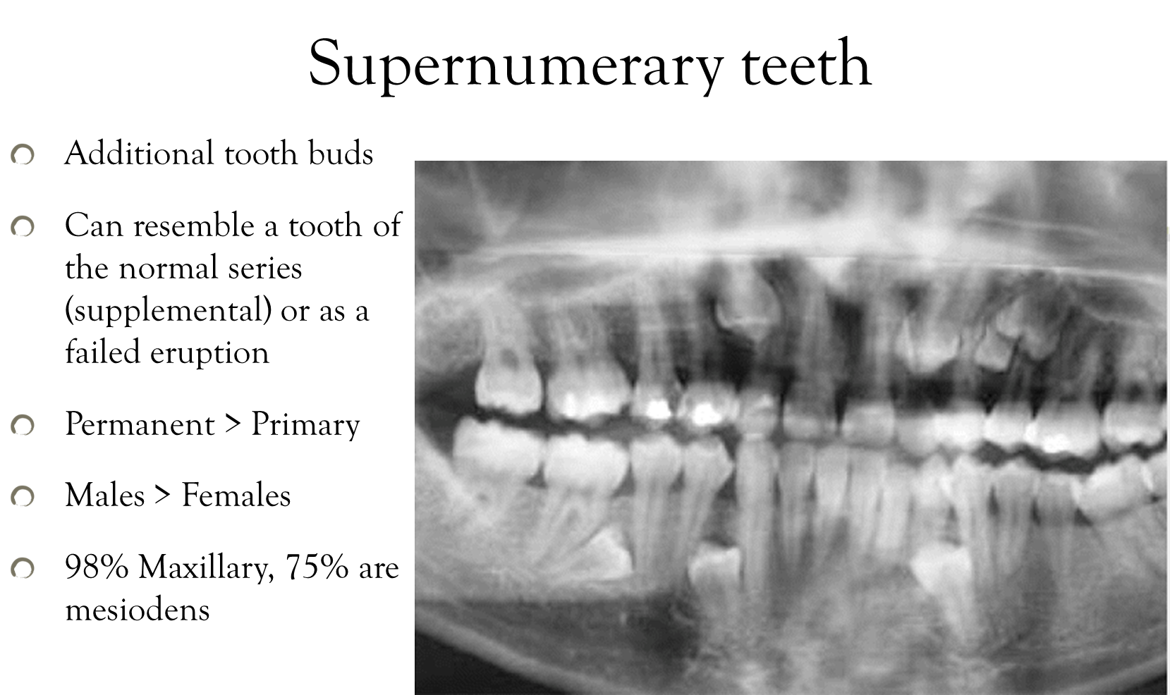
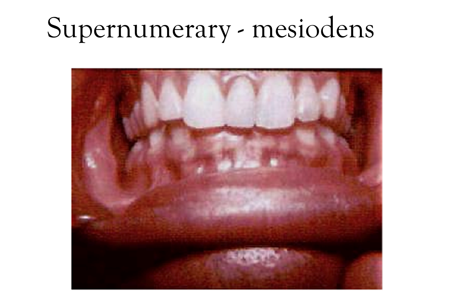
Referred to as extra teeth
More so with permanent than primary, more males than females.
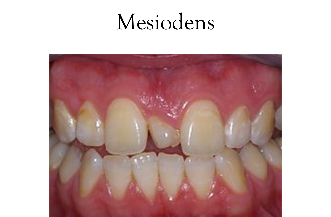
Mesio= midline, Dens= tooth (i.e. central incisor)
Gardner’s Syndrome is another condition characterized by the occurrence of multiple, impacted supernumerary teeth
Also known as familial colorectal polyposis, an autosomal dominant form of polyposis
This disease is of interest to the dental profession because the presence of supernumerary teeth and multiple osteomas in the mandible and maxilla may lead to its diagnosis


Look at slide 46*