Lab Practical 2

0.0(0)
Studied by 1 person
call kaiCall Kai
learnLearn
examPractice Test
spaced repetitionSpaced Repetition
heart puzzleMatch
flashcardsFlashcards
GameKnowt Play
Card Sorting

1/102

flashcard set

Earn XP

Description and Tags

u know

Last updated 3:18 AM on 4/6/23
Name
Mastery
Learn
Test
Matching
Spaced
Call with Kai

No analytics yet

Send a link to your students to track their progress

103 Terms

1
New cards
simple stain
done to see morphologies and arrangements
2
New cards
Capsule staining
a differential stain that uses acidic/basic dyes to stain background and bacterial cells
3
New cards
Gram stain
differential stain, gram-positive (purple) and gram-negative (pink)
4
New cards
Acid-Fast stain
differential stain,used for mycobacterium, red = positive, blue = non-acid-fast bacteria) 
5
New cards
Endospore stain
special stain used for endospores, (Bacillus, Clostridium)
6
New cards
coccus
round/spherical shape
7
New cards
bacillus
rod shape
8
New cards
vibrio
slightly curved
9
New cards
Spirillum
spiral without movement
10
New cards
Spirochete
spiral with movement
11
New cards
Pleomorphic
“many shapes” bacteria that vary in shape 
12
New cards
Diplococcus
groups of 2
13
New cards
Streptococcus/bacilli
chains of cells
14
New cards
Tetrad
groupings of 4
15
New cards
Sarcinae
Clusters of 8
16
New cards
Staphylococci
clusters of cells
17
New cards
Borrelia burgdorferi
Borrelia burgdorferi
gram negative, Spirochete, causes *Lyme disease*
18
New cards
Treponema pallidum
Treponema pallidum
gram negative, Spirochete, causes Syphilis
19
New cards
Leptospira interrogans
Leptospira interrogans
gram negative, Spirochete, causes Leptospirosis
20
New cards
Gram-positive
2 layers: Thick peptidoglycan and plasma membrane, Teichoic Acids, Exotoxin, include: Staphylococcus, Streptococcus, Bacillus, Clostridium, Corynebacterium, and Listeria
21
New cards
Gram-negative
3 layers: Outer membrane, thin peptidoglycan, plasma membrane, Lipopolysaccharide LPS, Endotoxin, includes Escherichia, Haemophilus, Neisseria, Salmonella, and everything else
22
New cards
Acid-Fast
Thin peptidoglycan, Mycolic Acid - Waxy, includes Mycobacterium
23
New cards
Mycoplasma
\
No cell wall, only plasma membrane, includes *Mycoplasma pneumoniae*
24
New cards
Bacillus anthracis
Bacillus anthracis
gram positive, streptobacillus, causes antrax
25
New cards
Bacillus cereus
Bacillus cereus
gram positive, streptobacillus, causes food posioning
26
New cards
Clostridium botulinum
Clostridium botulinum
gram positive, bacillus, causes botulism
27
New cards
Clostridium difficile
Clostridium difficile
gram positive, bacillus, causes C-diff (normal flora, nosocomial)
28
New cards
Clostridium perfringens
Clostridium perfringens
gram positive, bacillus, causes gas gangrene and food poisoning
29
New cards
Clostridium tetani
Clostridium tetani
gram positive, bacillus, causes tetanus
30
New cards
Listeria monocytogenes
Listeria monocytogenes
gram positive, bacillus, causes listeriosis
31
New cards
Corynebacterium diphtheriae
Corynebacterium diphtheriae
gram positive, bacillus, v-shape arrangement, causes diptheria
32
New cards
Lactobacillus acidophilus
Lactobacillus acidophilus
gram positive, bacillus, normal *aginal flora; metabolizes sugars into lactic acid+ maintained acidic pH*
33
New cards
*Bordetella pertussis*
*Bordetella pertussis*
gram negative, coccobacillus, causes pertussis (whooping cough)
34
New cards
Escherichia coli
Escherichia coli
gram negative, bacillus, causes food poisoning
35
New cards
Escherichia coli O157:H7
deadly strain of E. coli
36
New cards
Haemophilus influenzae
Haemophilus influenzae
gram negative, bacillus and pleomorphic, causes pneumonia, epiglottitis, meningitis, respiratory infractions, and pinkeye
37
New cards
Klebsiella pneumoniae
Klebsiella pneumoniae
gram negative, bacillus, opportunistic, nosocomial
38
New cards
Pseudomonas aeruginosa
Pseudomonas aeruginosa
gram negative, bacillus, opportunistic, nosocomial
39
New cards
Salmonella typhi
Salmonella typhi
gram negative, bacillus, causes typhoid fever
40
New cards
Enterobacter aerogenes
Enterobacter aerogenes
gram negative, bacillus, Opportunistic, nosocomial infections, normal flora
41
New cards
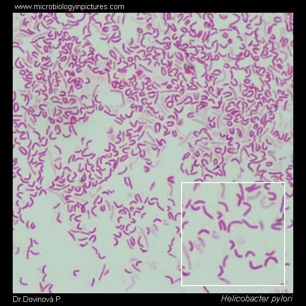
Helicobacter pylori
Helicobacter pylori
gram negative, spiral, causes peptic ulcers
42
New cards
Mycobacterium leprae
Mycobacterium leprae
acid fast, bacillus, causes leprosy (Hansens disease)
43
New cards
Mycobacterium tuberculosis
Mycobacterium tuberculosis
acid fast, bacillus, causes tuberculosis
44
New cards
Neisseria gonorrhoeae
Neisseria gonorrhoeae
gram negative, diplococcus, causes gonorrhea
45
New cards
Neisseria meningitidis
Neisseria meningitidis
gram negative, diplococcus, causes meningitis
46
New cards
Staphylococcus aureus
Staphylococcus aureus
gram positive, staphylococcus, causes MRSA “Methicillin Resistant Staphylococcus aureus”, opportunistic,nosocomial
47
New cards
Streptococcus pneumoniae
Streptococcus pneumoniae
gram positive, diplococcus, causes pneumonia and meningitis
48
New cards
streptococcus pyogenes
streptococcus pyogenes
gram positive, streptococcus, causes strep throat
49
New cards
Vibrio cholerae
Vibrio cholerae
gram negative, virbio, causes cholera
50
New cards
Organisms used in endospore staining lab?
*Bacillus cereus* and *Escherichia coli* 
51
New cards
Out of the two organisms in the endospore lab which forms endospores?
Bacillus cereus
52
New cards
Staining properties for endospore lab?
Primary stain - Malachite green

Decolorization - water

Counterstain - Safranin 
53
New cards
Two genus that form endospores
Bacillus and Clostridium (both bacillus)
54
New cards
All endospores are gram-
positive
55
New cards
Which culture would have endospores: fresh culture or old culture?
Old culture (bacteria don’t want to form endospore only do it when there is no resources available)
56
New cards
Organisms used in Acid-fast staining lab?
*Mycobacterium nonchromogenicum* and *Staphylococcus epidermidis*
57
New cards
Out of the two organisms in the acid-fast lab which would stain red (is acid fast)?
Mycobacterium nonchromogenicum
58
New cards
What color would *Staphylococcus epidermidis* stain (non-Acid-fast)?
blue
59
New cards
Staining properties for Acid-fast staining?
Primary stain - Carbol fuchsin

Decolorization - Acid Alcohol

Counterstain - Methylene blue 
60
New cards
What do Acid-fast bacteria contain in their cell wall?
Mycolic acid - very thick and waxy
61
New cards
All Acid-fast bacteria have
bacillus shapes
62
New cards
Special Acid-fast medium
Lowenstein-Jensen agar, has malachite green 
63
New cards
Two diseases caused by Acid-fast bacteria:
leprosy (Hansen's disease) and tuberculosis 
64
New cards
(Acid-Fast) Hot/ZN Method what we used, created by Franz Ziehl and Friedrich Neelsen
what we used, created by Franz Ziehl and Friedrich Neelsen
65
New cards
What was the source of heat for the acid-fast?
Steam bath
66
New cards
Other Acid-Fast method
Cold/Kinyoun method
67
New cards
What does ELISA stand for?
Enzyme-Linked ImmunoabSorbant Assay 
68
New cards
(ELISA) What disease did we test for?
HIV
69
New cards
Our three lines of defense
First: skin

Second: nonspecific

Third: specific T-cells (very important for our immune system, stimulate B-cells to produce antibodies), B-cells (antibodies)
70
New cards
Two types of ELISA
direct and indirect
71
New cards
Indirect ELISA
what we used, detects antibodies
72
New cards
Direct ELISA
detects antigens
73
New cards
Equipment for ELISA
microtiter plate (96 wells), pipet, simulated antigen, positive/negative controls, simulated antibody, simulated enzyme, simulated chromogen
74
New cards
How many patients did we test (ELISA)
6 patients (A-F)
75
New cards
(ELISA) 2 differences from the demo and real life:
IRL microtiter plates are coated, we have to add the simulated antigen

IRL they also incubate and wash the plates, we skip those steps (5 hours vs 15 min)
76
New cards
Define pathogens
small disease-causing agents
77
New cards
Examples of pathogens
viruses, bacteria, protozoa
78
New cards
ELISA results
dark color: positive

No color: negative

Light color: weak positive
79
New cards
Bioremediation
the use of microbes to clean up pollutants  
80
New cards
Bacteria used in bioremediation lab?
Pseudomonas culture broth
81
New cards
Fungi used in bioremediation lab?
Penicillium culture broth
82
New cards
(bioremediation) What kind of oil did we use?
motor oil
83
New cards
What else is added with the microbes?
Fertilizer (nitrogen and phosphorus) 
84
New cards
Our three stations:
Group A - Visual (test tubes)

Group B - Open Ocean (Jars)

Group C - Shore (Petri dish)
85
New cards
probiotics
a microorganism introduced into the body for its beneficial qualities
86
New cards
What organism were we looking for?
Lactobacilli
87
New cards
Three yogurts we used
Activia, ratio protein, and stani 
88
New cards
Procedure (yogurt lab)

1. Clean work area well with bleach and dry with paper towels
2. Look at pre-streaked Lactobacilli MRS agar plates and record observations


1. Create a smear and heat fix sample from a Lactobacilli MRS agar
2. The instructor will divide the class into Gram staining and simple staining groups
3. Allow the slides to air dry
4. View under microscope
5. Determine if lactobacillus or other bacteria are present in the culture
89
New cards
How many wells does the microtiter plate have?
96 wells
90
New cards
and the band played on disease
AIDS (acquired immunodeficiency syndrome)
91
New cards
and the band played on etiologic agent
HIV (human immunodeficiency virus)
92
New cards
and the band played on family
retroviridae
93
New cards
and the band played on genus
lentivirus
94
New cards
and the band played on species
HIV 1, HIV 2
95
New cards
beguinning of US AIDS epidemic
1981
96
New cards
san fransisco gay district
castro district
97
New cards
and the band played on - what media labeled virus
gay cancer, gay pneumonia, GRID
98
New cards
Index case
Gaetan Dugas
99
New cards
4-H
hemophiliacs, homosexuals, heroin, haitains
100
New cards
what is factor VIII
blood clotting protein