1/100
Looks like no tags are added yet.
Name | Mastery | Learn | Test | Matching | Spaced | Call with Kai |
|---|
No analytics yet
Send a link to your students to track their progress
What will air look like on an x-ray?
Black
What will subcutaneous fat look like on an x-ray?
Dark grey
What will soft tissue look like on an x-ray?
Light grey
What will bone look like on an x-ray?
Off white
What will metal look like on an x-ray?
Bright white
In a PA chest x-ray where is the cassette positioned?
On the chest
In an AP chest x-ray where is the cassette positioned?
On the back
What is the disadvantage of an AP chest x-ray?
Makes it look larger, especially the heart (cardiomegaly) & also can’t get a lateral

This infiltrate over the the hemi-diaphragm indicates what?
Right lower lobe pneumonia
When would you ask a patient to exhale on a chest x-ray?
Pneumothorax - air between lung wall & parenchyma
Atelectasis - collapsed lung
Air trapping
In pneumonia, what would you expect to see on the chest x-ray?
Trachea deviated away from itself & the affected lung

In atelectasis, what would you expect to see on the chest x-ray?
Trachea deviated toward/into the affected lung

In tension pneumothorax (filled with air), what would you expect to see on the chest x-ray?
Trachea deviates away from affected lung

When looking at the caridac silhouette what is considered normal?
Width of the heart being half the width of the thoracic cage

What is skiing down Mt. APAV?
Aorta
Pulmonary artery (trunk)
Left atrium
Left ventricle

If the delineation is disrupted on the right what is the expected diagnosis?
Right middle lobe pneumonia

If the delineation is disrupted on the left what is the expected diagnosis?
Lingula pneumonia

When would the Costophrenic angle go from sharp to blunted?
In a right/left lower lobe pneumonia (filled with fluid)

What do the lucencies in the diaphragm represent?
Free air meaning there’s a perforation somewhere

What is the diagnosis based off of this chest x-ray?
Atelectasis

What is the diagnosis based off of this chest x-ray?
Complete atelectasis of the right side

What is the diagnosis based off of this chest x-ray?
Left lower lobe pneumonia

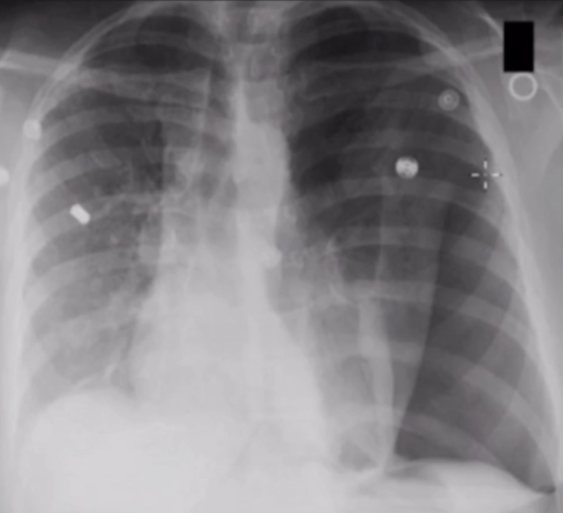
42 year old comes in with acute SOB. What is the diagnosis based off of this chest x-ray?
Tension pneumothorax

What does this “C” sign indicate?
Talocalcaneal coalitions (TCC)
Other than the “C” sign, what is seen radiographically on TCCs?
Talar beaking

What does this “anteater” sign indicate?
Calcaneonavicular coalitions (CNC)

What is the image & view?
Sagittal CT of the foot

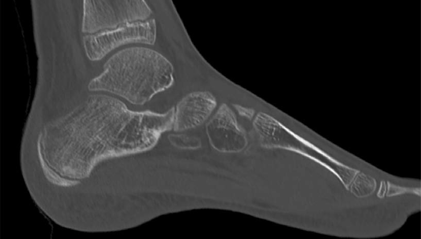
What is the image & view?
Coronal CT of the hind foot

What is the image & view?
T1 & T2 Sagittal MRI of the ankle

What is this image & view?
Coronal CT of a TC coalition
What is Stage 1 of Paget’s disease?
Starts in subchondral & spreads to whole long bone. Will also see “blades of grass” sign
What is Stage 2 of Paget’s disease?
Osteolysis & osteonecrosis - diaphysis is lucent while rest of bone is sclerotic
What is Stage 3 of Paget’s disease?
All sclerotic & thickening
What is Stage 4 of Paget’s disease?
Malignant degeneration

What is this?
Blades of grass in stage 1 of Paget’s disease

What is this?
Banana/chalk transverse fracture - insufficiency fractures bc bone is weak seen in Pagets
What are clinical signs of Hyperparathyroidism?
HTN
Weakness
Bone pain
Anxiety/confusion
Polyuria/nocturia

What are radiographic signs of Hyperparathyroidism?
Subperiosteal resorption
Brown’s tumors (lucent oval lesions)
Soft tissue calcification

What is this a sign of?
Sub-periosteal bone resorption distal tufts in Hyperparathyroidism

What are these signs of?
Rheumatoid arthritis
What is usually affected 1st in RA?
5th MTPJ
What is usually spared in RA?
IPJs except for the Hallux

Where do the erosions in RA usually occur?
MTPJs & IPJ of hallux
Medial aspects of met heads & the head of the proximal phalanx of hallux
What comes first in Psoriatic arthritis?
Skin changes (then articular changes)
What clinical signs would be seen in Psoriatic arthritis?
Nail changes - subungual keratosis, lateral onycholysis, thickening, & irregularly
Affects hands & feet
What are radiographic signs seen in Psoriatic arthritis?
No osteoporosis
DIPJ involvement
Widening/narrowing of joint space
Distal phalangeal tuft erosion
Pencil-in-cup deformity
What are clinical signs of Gout?
1st MTPJ most common
Soft tissue swelling
Tophi
Cortical erosions w/ overhanging margins (Martel sign

What does this x-ray indicate?
Martel sign in Gout
What is Ankylosing spondylitis?
Chronic inflamm disorder of unknown origin that’s a widespread systemic disorder affecting the MTPJ, Lis Franc’s joint, & IPJ. Also causes subluxations & tarsal tunnel syndrome
What are radiographic signs seen in Ankylosing spondylitis?
Bilateral symmetrical sacroilitis
Bamboo spine
Oligoarticular asymmetrical joint changes in foot
Calcaneal changes (retrocalcaneal bursitis leading to erosion + enthesophytes)
Where are Angiosarcomas mainly found?
Bone - tibia

What does this x-ray indicate?
Lysis of the bone in Angiosarcoma

What would be seen on a CT for angiosarcomas?
Similar to muscle
Bright contrast
Large feeding vessels

What would be seen on a MRI for angiosarcomas?
Soft tissue mass
Hyperintense on T2
Prominent flow voids
What is the T score of the Dexa scan?
Based on normal mineralized bone of a 30 year old female
What is the Z score of the Dexa scan?
Based on normal density of the age of patient as compared to same age & gender normal value
What does a T score of -1 - -2.5 SD indicate?
Osteopenia
What does a T score at or below -2.5 SD indicate?
Osteoporosis
What does a Z score at or below -2.5 SD indicate?
It’s lower than it should be for age & gender
What are the 3 categories of Juvenile RA?
Pauciarticular
Polyarticular
Systemic-onset
What is Type I Pauciarticular Juvenile RA?
Involvement of 4 or less joints in young females
What is Type II Pauciarticular Juvenile RA?
Involvement of 4 or less joints in older boys, associated with spondyloarthropathies
What is Polyarticular Juvenile RA?
Involvement of 5 or more joints either seronegative or seropositive
What is Systemic-onset Juvenile RA?
Fever, skin rash, lymphadenopathy, organomegaly, &/or pericarditis
What are characteristics of a periosteal reaction in benign tumors?
Slow growing with time to remodel
Solid
Uniform
Wavy
What are characteristics of a periosteal reaction in malignant tumors?
Quick growing with no time to remodel
Multilayer or lamellated
Perpendicular to long axis of bone
Spiculated or interrupted
What type of Periosteal interaction is Codman’s triangle?
Periosteum lifts away from the bone, seen in osteogenic sarcomas &/or osteomyelitis

What type of Periosteal interaction is “Hair on end?”
Perpendicular rays of periosteal new bone, seen in osteogenic sarcomas &/or ewings sarcomas

What type of Periosteal interaction is “Sun burst?”
Filiform radiating pattern seen in osteogenic sarcoma

What type of Periosteal interaction is “Onion skin?”
Multiple layers of concentric layers of periosteal new bone formation seen in ewings sarcoma

What type of Periosteal interaction is “Buttressing?”
Formation of many layers of thick periosteum seen in Paget’s disease

What is concerning for malignancy?
Wide zone of transition (border)
What are aggressive, destructive, & have a wide zone of transition but are not malignant tumors?
Infection
Eosinophilic granuloma
What does a lucent - narrow zone of transition indicate?
Well-defined
Good sign
What does a lucent - wide zone of transition indicate?
Ill-defined
Concerning
What type of Zone of transition do sclerotic lesions have?
Wide
What are the most common tumors over 40?
MM (primary)
Multiple myeloma
Metastatic
What are the over-under/transitional tumors?
GE
Giant cell
Endochondroma
Which tumors under 30 are malignant?
Osteosarcoma
Ewing sarcoma
What are the other significant over 30 tumors?
Old Folk Population in the Country
Osteoma
Fibrosarcoma
Pareosteal sarcoma
Chondrosarcoma
What will not produce a Periosteal reaction unless the bone fractures from them?
Simple bone cyst
Non-osseous fibroma
Enchondroma
Fibrous dysplasia
What is the most common area for bone tumors & what kind occur there?
Knee - all, especially osteosarcoma, ewings
What is the most common area for non-osseous fibromas, fibrous dysplasia, & osteoid osteomas?
Tibial shaft
What is the most common area for simple bone cyst, ewing sarcoma, osteoblastoma, & chondroblastomas?
Calcaneus
What is the most common area for enchondroma (most occurrence), chondromyxoid fibrous, & osteoid osteomas?
Phalanges
Where in the bone are Chondroblastomas & giant cell tumors (giant joint) found?
Epiphysis
Where in the bone are osteosarcomas, chondrosarcomas, & _ fibromas found?
Metaphysis
Where are CEMENTs found?
C - bone cysts
E - enchondroma/ewing
M - metastatic
E - eosinophilic granuloma
N - non-ossifying fibroma
T - tuberculosis
Where do tumors primarily metasticize?
PBKTL/Lead Kettle
P - prostate
B - breast
K - kidney
T - thyroid
L - lung
What is multiple lesions (enchondromatosis)?
Ollier’s disease
What is multiple lesions + hemangiomatosis (enchondromas)?
Mafucci’s disease
What is associated with Albright’s disease as well as Von recklinghausen’s disease?
Fibrous dysplasia
What is the most common benign bone tumor in children?
Osteochondroma
Where would you see a fallen fragment or fallen leaf sign?
Solitary bone cysts (simple or unicameral)
Where are Chondroblastomas of the foot most commonly found?
Subchondral areas of the talus, calcaneus, & calcaneal apophysis
What is the most common soft tissue tumor in children?
Rhabdomyosarcoma
What are the most common Podiatry masses?
Ganglion cysts
Synovial cysts
Lipomas
What is the preferred imaging for soft tissue masses?
MRI with T1 & T2 STIR
What is the best combination for anterior/posterior soft tissue lesions?
Sagittal & axial
What is the best combination for medial/lateral soft tissue lesions?
Coronal & axial