Lange Q&A Radiography Examination - Procedures

0.0(0)
Studied by 2 people
call kaiCall Kai
learnLearn
examPractice Test
spaced repetitionSpaced Repetition
heart puzzleMatch
flashcardsFlashcards
GameKnowt Play
Card Sorting

1/299

flashcard set

Earn XP

Description and Tags

Registry Review

Last updated 10:58 PM on 11/19/22
Name
Mastery
Learn
Test
Matching
Spaced
Call with Kai

No analytics yet

Send a link to your students to track their progress

300 Terms

1
New cards
The term valgus refers to
(A) turned outward
(B) turned inward
(C) rotated medially
(D) rotated laterally
(A) turned outward

[Valgus - turned/deformed outward.
Varus - bent or turned inward]
2
New cards
Demonstration of the posterior fat pad on the lateral projection of the adult elbow can be caused by
1. trauma or other pathology
2. greater than 90° flexion
3. less than 90° flexion
(A) 1 only
(B) 3 only
(C) 1 and 2 only
(D) 1 and 3 only
(D) 1 and 3 only
3
New cards
What is that portion of bone labeled C in the pediatric PA hand image seen in Figure 2-1?
(A) Diaphysis
(B) Epiphysis
(C) Metaphysis
(D) Apophysis
(C) Metaphysis
(C) Metaphysis
4
New cards
The proximal radius and ulna are seen free of superimposition in the following projection:
(A) scapular Y
(B) AP scapula
(C) medial oblique elbow
(D) lateral oblique elbow
(D) lateral oblique elbow
5
New cards
The female bony pelvis differs from the male bony pelvis in the following way(s):
1. the male greater/false pelvis is deep
2. the male acetabulum faces more laterally
3. the female coccyx is more vertical
(A) 1 only
(B) 1 and 2 only
(C) 2 and 3 only
(D) 1, 2, and 3
(B) 1 and 2 only
6
New cards
Which of the following techniques would provide a posteroanterior (PA) projection of the gastroduodenal surfaces of a barium-filled high and transverse stomach?
(A) Place the patient in a 35°-40° right anterior oblique (RAO) position
(B) Place the patient in a lateral position
(C) Angle the CR 35°-45° cephalad
(D) Angle the CR 35°-45° caudad
(C) Angle the CR 35°-45° cephalad
7
New cards
The structures visualized when positioned as in Figure 2-2 could also be seen when performed with the patient in the following position(s):
1. lateral recumbent
2. seated
3. erect AP
(A) 1 only
(B) 1 and 2 only
(C) 2 and 3 only
(D) 1, 2, and 3
(B) 1 and 2 only
(B) 1 and 2 only
8
New cards
All of the following statements regarding respiratory structures are true, except
(A) the right lung has two fissures
(B) the inferior portion of a lung is its base
(C) each lung is enclosed in pleural membrane
(D) the main stem bronchi enter the lung fissure
(D) the main stem bronchi enter the lung fissure
9
New cards
All of the following statements regarding an exact PA projection of the skull are true, except
(A) the OML is perpendicular to the IR
(B) the petrous pyramids fill the orbits
(C) the MSP is parallel to the IR
(D) the CR is perpendicular to the IR and exits the nasion
(C) the MSP is parallel to the IR
10
New cards
An accurate critique of the PA projection of the chest seen in Figure 2-3 would include the following:
1. the pulmonary apices are demonstrated
2. the air-filled trachea and carina are
demonstrated
3. ten posterior ribs are seen above the diaphragm
(A) 1 only
(B) 1 and 2 only
(C) 2 and 3 only
(D) 1, 2, and 3
(D) 1, 2, and 3
(D) 1, 2, and 3
11
New cards
A pacemaker electrode can be introduced through a vein in the chest or upper extremity, and advanced to the
(A) left atrium
(B) right atrium
(C) left ventricle
(D) right ventricle
(D) right ventricle
12
New cards
Which of the following conditions is characterized by "flattening" of the hemidiaphragms?
(A) Pneumothorax
(B) Pleural effusion
(C) Emphysema
(D) Pneumonia
(C) Emphysema
13
New cards
Structures located in the right lower quadrant (RLQ) include the following:
1. cecum
2. vermiform appendix
3. sigmoid
(A) 1 only
(B) 1 and 2 only
(C) 2 and 3 only
(D) 1, 2, and 3
(B) 1 and 2 only
14
New cards
Which of the following statements regarding Figure 2-4 is correct?
(A) The right kidney is more parallel to the IR
(B) The image was made in the LPO position
(C) The right ureter is better visualized
(D) The image was made post-void
(C) The right ureter is better visualized
(C) The right ureter is better visualized
15
New cards
During an upper GI examination of a stomach of average size and shape, a barium-filled fundus and double contrast of the pylorus and duodenal bulb are demonstrated. e position used is most likely
(A) AP erect
(B) PA
(C) RAO
(D) LPO
(D) LPO
16
New cards
Which of the following articulations participate(s) in formation of the ankle mortise?
1. Talotibial
2. Talocalcaneal
3. Talofibular
(A) 1 only
(B) 1 and 3 only
(C) 2 and 3 only
(D) 3 only
(B) 1 and 3 only
17
New cards
The upper surface of the foot may be described as the
1. plantar surface
2. anterior surface
3. dorsum
(A) 1 only
(B) 1 and 2 only
(C) 2 and 3 only
(D) 1, 2, and 3
(C) 2 and 3 only
18
New cards
The outermost wall of the digestive tract is the
(A) mucosa
(B) muscularis
(C) submucosa
(D) serosa
(D) serosa
19
New cards
Terms used to describe movement include
1. plantar flexion
2. abduct
3. oblique
(A) 1 only
(B) 1 and 2 only
(C) 1 and 3 only
(D) 2 and 3
(B) 1 and 2 only
20
New cards
Which of the following is best demonstrated in the AP axial projection (Towne method) of the skull, with the CR directed 30° caudad to the orbitomeatal line (OML) and passing midway between the external auditory meati?
(A) Occipital bone
(B) Frontal bone
(C) Facial bones
(D) Basal foramina
(A) Occipital bone
21
New cards
The RPO position (Judet method) of the right acetabulum will demonstrate the
(A) anterior rim of the right acetabulum
(B) anterior iliopubic column
(C) left iliac wing
(D) posterior rim of the right acetabulum
(A) anterior rim of the right acetabulum
22
New cards
Which of the following conditions is demonstrated in Figure 2-5?
(A) Right upper lobe atelectasis
(B) Left upper lobe atelectasis
(C) Pneumothorax
(D) Dextrocardia
(D) Dextrocardia
(D) Dextrocardia
23
New cards
Which of the following positions/projections is used to demonstrate a nearly frontal view of the sternum?
(A) AP
(B) PA
(C) RAO
(D) LAO
(C) RAO
24
New cards
What is the name of the condition that results in the forward slipping of one vertebra upon the vertebra below it?
(A) Spondylitis
(B) Spondylolysis
(C) Spondylolisthesis
(D) Spondylosis
(C) Spondylolisthesis
25
New cards
Which of the following can be used to demonstrate the intercondyloid fossa?
1. Prone, knee exed 40°, CR directed caudad 40° to the popliteal fossa
2. Supine, IR under flexed knee, CR directed cephalad to knee, perpendicular to tibia
3. Prone, patella parallel to IR, heel rotated 5°-10° lateral, CR perpendicular to knee joint
(A) 1 only
(B) 1 and 2 only
(C) 2 and 3 only
(D) 1, 2, and 3
(B) 1 and 2 only
26
New cards
How should a chest examination to rule out air-fluid levels be obtained on a patient with traumatic injuries?
(A) Perform the examination in the Trendelenburg position
(B) Erect inspiration and expiration images should be obtained
(C) Include a lateral chest examination performed in dorsal decubitus position
(D) Perform the examination AP supine at 44-in SID
(C) Include a lateral chest examination performed in dorsal decubitus position
27
New cards
According to ACR (2017), patients with acute kidney injury or severe chronic kidney disease, or those undergoing arterial catheter study, should adhere to the following guideline(s) for iodinated contrast medium administration:
1. patients should temporarily discontinue metformin at time of (or prior to) the procedure
2. withhold metformin for 48 h after the procedure
3. metformin may be reinstituted only after renal function studies have been re-evaluated and found acceptable
(A) 1 only
(B) 1 and 2 only
(C) 1 and 3 only
(D) 1, 2, and 3
(D) 1, 2, and 3
28
New cards
Which of the following methods was used to obtain
the image seen in Figure 2-6?
(A) Erect PA, chin extended, OML forming 37° to IR
(B) Erect PA, OML, and CR perpendicular to IR
(C) Erect PA, chin extended, OML 15° from horizontal
(D) Erect PA, chin extended, OML 30° from horizontal
(C) Erect PA, chin extended, OML 15° from horizontal
(C) Erect PA, chin extended, OML 15° from horizontal
29
New cards
Which of the following statements regarding the radiograph in Figure 2-6 is/are true?
1. The position is used to demonstrate the frontal and ethmoid sinuses
2. The ethmoid sinuses are seen near the medial aspect of the orbits
3. The perpendicular plate is visualized in midline of the nasal cavity
(A) 1 only
(B) 1 and 2 only
(C) 1 and 3 only
(D) 1, 2, and 3
(D) 1, 2, and 3
(D) 1, 2, and 3
30
New cards
Which of the following serves to avoid excessive metacarpophalangeal joint overlap in the oblique projection of the hand?
(A) Oblique the hand no more than 45°
(B) Use a support sponge for the phalanges
(C) Clench the st to bring the carpals closer to the IR
(D) Use ulnar flexion
(A) Oblique the hand no more than 45°
31
New cards
Sternoclavicular articulations are likely to be demonstrated in all of the following, except
(A) weight-bearing
(B) RAO
(C) LAO
(D) PA
(A) weight-bearing
32
New cards
The relationship between the fractured ends of long bones is referred to as
(A) angulation
(B) apposition
(C) luxation
(D) sprain
(B) apposition

[apposition - alignment or misalignment]
33
New cards
Which of the following positions of the abdomen is obtained with the patient lying supine on the radiographic table and the CR directed horizontally to the iliac crest?
(A) AP abdomen
(B) PA abdomen
(C) Ventral decubitus position
(D) Dorsal decubitus position
(D) Dorsal decubitus position
34
New cards
Small amounts of air in the peritoneal cavity can be demonstrated in which of the following positions?
(A) Lateral decubitus, affected side up
(B) Lateral decubitus, affected side down
(C) AP Trendelenburg
(D) AP supine
(A) Lateral decubitus, affected side up

[Small amounts of fluid within the peritoneal or pleural space are best demonstrated in the lateral decubitus position, affected side down. Small amounts of air within the peritoneal or pleural space are best demonstrated in the lateral decubitus position, affected side up.]
35
New cards
Which of the following anatomic structures is seen most anteriorly in a lateral projection of the chest?
(A) Esophagus
(B) Trachea
(C) Cardiac apex
(D) Superimposed scapular borders
(C) Cardiac apex
36
New cards
For an AP projection of the knee on a patient whose measurement from ASIS to tabletop is 21 cm, which CR direction will best demonstrate the knee joint?
(A) 5° caudad
(B) 10° caudad
(C) 5° cephalad
(D) 0° (perpendicular)
(D) 0° (perpendicular)
37
New cards
In which of the following projections was the image in Figure 2-7 made?
(A) AP
(B) Medial oblique
(C) Lateral oblique
(D) Acute flexion
(B) Medial oblique
(B) Medial oblique
38
New cards
Which of the following anatomic structures is indicated by the number 3 in Figure 2-7?
(A) Medial epicondyle
(B) Trochlea
(C) Capitulum
(D) Olecranon process
(B) Trochlea
(B) Trochlea
39
New cards
The following is/are well demonstrated in the lumbar spine seen in Figure 2-8:
1. pedicles
2. vertebral foramina
3. zygapophyseal articulations
(A) 1 only
(B) 1 and 2 only
(C) 2 and 3 only
(D) 1, 2, and 3
(A) 1 only
(A) 1 only
40
New cards
An intrathecal injection is associated with which of the following examinations?
(A) Intravenous urogram
(B) Retrograde pyelogram
(C) Myelogram
(D) Cystogram
(C) Myelogram
41
New cards
Which of the following projections can be used to supplement the traditional "open-mouth" projec- tion when the upper portion of the odontoid process cannot be well demonstrated?
(A) AP or PA through the foramen magnum
(B) AP oblique with right and le head rotation
(C) Horizontal beam lateral
(D) AP axial
(A) AP or PA through the foramen magnum
42
New cards
The floor of the cranium includes all of the following bones, except
(A) the temporal bones
(B) the occipital bone
(C) the ethmoid bone
(D) the sphenoid bone
(B) the occipital bone
43
New cards
A lateral projection of the hand in extension is often recommended to evaluate
1. a fracture
2. a foreign body
3. so tissue
(A) 1 only
(B) 2 only
(C) 2 and 3 only
(D) 1 and 3 only
(C) 2 and 3 only
44
New cards
In which of the following positions was Figure 2-9 made?
(A) RPO
(B) LPO
(C) AP axial
(D) Right lateral decubitus
(A) RPO
(A) RPO
45
New cards
The ascending colon is labeled in Figure 2-9 as number
(A) 3
(B) 4
(C) 5
(D) 6
(A) 3
(A) 3
46
New cards
Persistent connection between the fetal aorta and pulmonary artery is referred to as
(A) an atrial septal defect
(B) a ventricular septal defect
(C) a patent ductus arteriosus
(D) coarctation of the aorta
(C) a patent ductus arteriosus
47
New cards
Which of the following projections/positions will best demonstrate a subacromial or subcoracoid dislocation?
(A) Tangential
(B) AP axial
(C) Transthoracic lateral
(D) PA oblique scapular Y
(D) PA oblique scapular Y
48
New cards
Arteries and veins enter and exit the medial aspect of each lung at the
(A) root
(B) hilus
(C) carina
(D) epiglottis
(B) hilus
49
New cards
Which of the following positions can be used to demonstrate the axillary ribs of the right thorax?
1. RAO
2. LAO
3. RPO
(A) 1 only
(B) 1 and 2 only
(C) 2 and 3 only
(D) 1, 2, and 3
(C) 2 and 3 only
50
New cards
The interspaces between the first and second cunei- forms best demonstrated in which of the following projections?
(A) Lateral oblique foot
(B) Medial oblique foot
(C) Lateral foot
(D) Weight-bearing foot
(A) Lateral oblique foot
51
New cards
The sternal angle is at approximately the same level as the
(A) T2-T3 interspace fifth thoracic vertebra
(B) T9-T10 interspace
(C) T5
(D) costal margin
(C) T5
52
New cards
The condition in which an occluded blood vessel stops blood flow to a portion of the lungs is referred to as
(A) pneumothorax
(B) atelectasis
(C) pulmonary embolism
(D) hypoxia
(C) pulmonary embolism
53
New cards
To demonstrate esophageal varices, the patient must be examined in
(A) the recumbent position
(B) the erect position
(C) the anatomic position
(D) the Fowler position
(A) the recumbent position

[Esophageal varices - veins in lower part of the tube running from the throat to the stomach
54
New cards
Select the incorrect statement regarding Figure 2-10.
1. The degree of obliquity is too great
2. The midphalanges are foreshortened
3. The interphalangeal joints are well
demonstrated
(A) 1 only
(B) 1 and 2 only
(C) 2 and 3 only
(D) 1, 2, and 3
(A) 1 only
(A) 1 only
55
New cards
The tissue that occupies the central cavity of the adult long bone body/shaft is
(A) red marrow
(B) yellow marrow
(C) endosteum
(D) cancellous tissue
(B) yellow marrow
56
New cards
All the following structures are associated with the posterior femur, except
(A) popliteal surface
(B) intercondyloid fossa
(C) intertrochanteric line
(D) linea aspera
(C) intertrochanteric line
57
New cards
The following projection of the ankle best demonstrates the mortise:
(A) medial oblique 15°-20°
(B) lateral oblique 15°-20°
(C) medial oblique 45°
(D) lateral oblique 45°
(A) medial oblique 15°-20°
58
New cards
What condition(s) is/are demonstrated in Figure 2-11?
1. Emphysema
2. Pneumothorax
3. Pleural Effusion
(A) 1 only
(B) 1 and 2 only
(C) 2 and 3 only
(D) 1, 2, and 3
(C) 2 and 3 only
(C) 2 and 3 only
59
New cards
Which of the following bony landmarks is in the same transverse plane as L2-L3?
(A) Inferior costal margin
(B) Greater trochanter
(C) Iliac crest
(D) ASIS
(A) Inferior costal margin
60
New cards
A radiolucent sponge can be placed under the patient's waist for a lateral projection of the lumbosacral spine to
1. make the vertebral column parallel with the IR
2. place the intervertebral disk spaces perpendicular to the IR
3. decrease the amount of SR reaching the IR
(A) 1 only
(B) 1 and 2 only
(C) 2 and 3 only
(D) 1, 2, and 3
(B) 1 and 2 only
61
New cards
Which of the following may be used to evaluate the glenohumeral joint?
1. ScapularYprojection
2. Inferosuperior axial
3. Transthoracic lateral
(A) 1 only
(B) 1 and 2 only
(C) 2 and 3 only
(D) 1, 2, and 3
(D) 1, 2, and 3
62
New cards
Which of the following is/are distal to the tibial plateau?
1. Intercondyloid fossa
2. Tibial condyles
3. Tibial tuberosity
(A) 1 only
(B) 1 and 2 only
(C) 2 and 3 only
(D) 1, 2, and 3
(C) 2 and 3 only
63
New cards
Evaluation criteria for a lateral projection of the humerus include
1. epicondyles parallel to the IR
2. lesser tubercle in profile
3. superimposed epicondyles
(A) 1 only
(B) 1 and 3 only
(C) 2 and 3 only
(D) 1, 2, and 3
(C) 2 and 3 only
64
New cards
Which of the following are mediastinal structures?
1. Heart
2. Trachea
3. Esophagus
(A) 1 only
(B) 1 and 2 only
(C) 2 and 3 only
(D) 1, 2, and 3
(D) 1, 2, and 3
65
New cards
With the patient in the PA position, which of the following tube angle and direction combinations is correct for an axial projection of the clavicle?
(A) 5°-15° caudad
(B) 5°-15° cephalad
(C) 15°-30° cephalad
(D) 15°-30° caudad
(D) 15°-30° caudad
66
New cards
Which of the following fracture classifications describes a small, bony fragment pulled from a bony process?
(A) Avulsion fracture
(B) Torus fracture
(C) Comminuted fracture (D) Compound fracture
(A) Avulsion fracture
67
New cards
That portion of the humerus which articulates with the ulna to help form the elbow joint is the
(A) semilunar/trochlear notch
(B) radial head
(C) capitulum
(D) trochlea
(D) trochlea
68
New cards
Foot motion caused by turning the ankle outward is termed
(A) eversion
(B) inversion
(C) abduction
(D) adduction
(A) eversion
69
New cards
During myelography, contrast medium is introduced into the
(A) subdural space
(B) subarachnoid space
(C) epidural space
(D) epidermal space
(B) subarachnoid space
70
New cards
The junction of the sagittal and coronal sutures is the
(A) diploe
(B) lambda
(C) bregma
(D) pterion
(C) bregma
71
New cards
Which of the following statements is/are true regarding the radiograph in Figure 2-12?
1. The patient is placed in an RAO position
2. The midcoronal plane is about 60° to the IR
3. The acromion process is free of
superimposition
(A) 1 only
(B) 1 and 2 only
(C) 2 and 3 only
(D) 1, 2, and 3
(D) 1, 2, and 3
(D) 1, 2, and 3
72
New cards
Which of the following precautions should be observed when radiographing a patient who has sustained a traumatic injury to the hip?
1. When a fracture is suspected, manipulation of the affected extremity should be performed by a physician
2. e AP axiolateral projection should be avoided
3. To evaluate the entire region, the pelvis is typically included in the initial examination
(A) 1 only
(B) 1 and 3 only
(C) 2 and 3 only
(D) 1, 2, and 3
(B) 1 and 3 only
73
New cards
The lumbar vertebral pedicle is represented by which part of the "Scotty dog" seen in a correctly positioned oblique lumbar spine?
(A) Eye
(B) Nose
(C) Body
(D) Ear
(A) Eye
74
New cards
An injury to a structure located on the side opposite that of the primary injury is referred to as
(A) blowout
(B) Le Fort
(C) contracture
(D) contrecoup
(D) contrecoup
75
New cards
Which of the following places the anatomical points of the hand's third digit in correct order from proximal to distal?
(A) Base of metacarpal, head of middle phalanx, carpometacarpal joint, metacarpophalangeal joint, distal interphalangeal joint, proximal interphalangeal joint, ungual tuft
(B) Carpometacarpal joint, base of metacarpal, metacarpophalangeal joint, proximal interphalangeal joint, head of middle phalange, distal interphalangeal joint, ungual tuft
(C) Ungual tuft, distal interphalangeal joint, head of middle phalanx, proximal interphalangeal joint, metacarpophalangeal joint, base of metacarpal, carpometacarpal joint
(D) Carpometacarpal joint, metacarpophalangeal joint, base of metacarpal, head of middle phalanx, proximal interphalangeal joint, distal interphalangeal joint, ungual tuft
(B) Carpometacarpal joint, base of metacarpal, metacarpophalangeal joint, proximal interphalangeal joint, head of middle phalange, distal interphalangeal joint, ungual tuft
76
New cards
Which of the following conditions is limited specifically to the tibial tuberosity?
(A) Ewing sarcoma
(B) Osgood-Schlatter disease
(C) Gout
(D) Exostosis
(B) Osgood-Schlatter disease
77
New cards
AP stress studies of the ankle may be performed
1. to demonstrate fractures of the distal tibia and fibula
2. following inversion or eversion injuries
3. to demonstrate a ligament tear
(A) 1 only
(B) 1 and 2 only
(C) 2 and 3 only
(D) 1, 2, and 3
(C) 2 and 3 only
78
New cards
Which of the following is/are part of the bony thorax?
1. Manubrium
2. Clavicles
3. 24 ribs
(A) 1 only
(B) 1 and 2 only
(C) 1 and 3 only
(D) 1, 2, and 3
(C) 1 and 3 only
79
New cards
Aspirated foreign bodies in older children and adults are most likely to lodge in the
(A) right main stem bronchus
(B) left main stem bronchus
(C) esophagus
(D) proximal stomach
(A) right main stem bronchus
80
New cards
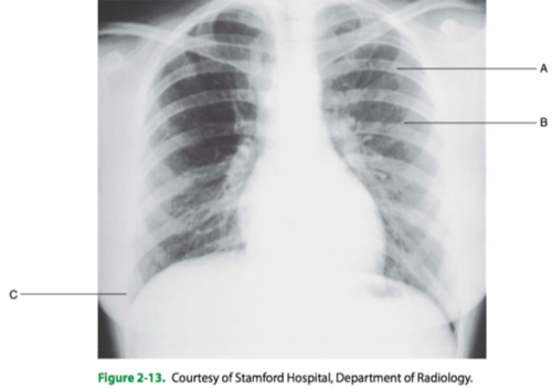
The PA chest radiograph shown in Figure 2-13 demonstrates
1. rotation
2. scapulae removed from lung fields
3. adequate inspiration
(A) 1 only
(B) 1 and 2 only
(C) 2 and 3 only
(D) 1, 2, and 3
(B) 1 and 2 only
(B) 1 and 2 only
81
New cards
The letter A in Figure 2-13 indicates
(A) a left anterior rib
(B) a right posterior rib
(C) a left posterior rib
(D) a right anterior rib
(C) a left posterior rib
(C) a left posterior rib
82
New cards
With the patient seated at the end of the x-ray table, elbow resting on table and flexed 80°, and the CR directed 45° laterally from the shoulder to the elbow joint, which of the following structures will be demonstrated best?
(A) Radial head
(B) Ulnar head
(C) Coronoid process
(D) Olecranon process
(C) Coronoid process
83
New cards
Types of articulations lacking a joint cavity include
1. fibrous
2. cartilaginous
3. synovial
(A) 1 only
(B) 1 and 2 only
(C) 2 and 3 only
(D) 1, 2, and 3
(B) 1 and 2 only
84
New cards
The CR is parallel to the intervertebral foramina in the following projection(s):
1. lateral cervical spine
2. lateral thoracic spine
3. lateral lumbar spine
(A) 1 only
(B) 1 and 2 only
(C) 2 and 3 only
(D) 1, 2, and 3
(C) 2 and 3 only
85
New cards
The structure located midway between the anterosuperior iliac spine (ASIS) and pubic symphysis is the
(A) dome of the acetabulum
(B) femoral neck
(C) greater trochanter
(D) iliac crest
(A) dome of the acetabulum
86
New cards
The structure labeled 4 in Figure 2-14 is the
(A) maxillary sinus
(B) sphenoidal sinus
(C) ethmoidal sinus
(D) frontal sinus
(A) maxillary sinus
(A) maxillary sinus
87
New cards
Which of the following would best evaluate the structure labeled 3 in Figure 2-14?
(A) PA axial projection (Caldwell method)
(B) Parietoacanthial projection (Waters' method)
(C) Lateral projection
(D) Submentovertex projection
(D) Submentovertex projection
(D) Submentovertex projection
88
New cards
Hysterosalpingography may be performed for demonstration of
1. uterine tubal patency
2. mass lesions in the uterine cavity
3. uterine position
(A) 1 and 2 only
(B) 1 and 3 only
(C) 2 and 3 only
(D) 1, 2, and 3
(D) 1, 2, and 3
89
New cards
The radiograph shown in Figure 2-15 demonstrates the articulation between the
1. talus and the calcaneus
2. calcaneus and the cuboid
3. talus and the navicular
(A) 1 only
(B) 1 and 2 only
(C) 2 and 3 only
(D) 1, 2, and 3
(C) 2 and 3 only
(C) 2 and 3 only
90
New cards
The base of the fifth metacarpal seen in Fig 2-16 is indicated by number
(A) 7
(B) 8
(C) 11
(D) 12
(A) 7
(A) 7
91
New cards
The articular facets of L5-S1 are best demonstrated in a/an
(A) AP projection
(B) 30° oblique
(C) 45° oblique
(D) AP axial projection
(B) 30° oblique
92
New cards
The patient's chin should be elevated during chest radiography to
(A) permit the diaphragm to move to its lowest position
(B) avoid superimposition on the apices
(C) assist in maintaining an upright position
(D) keep the MSP parallel
(B) avoid superimposition on the apices
93
New cards
That portion of a long bone from which it lengthens/grows is the
(A) diaphysis
(B) epiphysis
(C) metaphysis
(D) apophysis
(D) apophysis
94
New cards
Medial displacement of a tibial fracture would be best demonstrated in the
(A) AP projection
(B) lateral projection
(C) medial oblique projection
(D) lateral oblique projection
(A) AP projection
95
New cards
What part of the "Scotty dog," seen in a correctly positioned oblique lumbar spine, represents the lumbar transverse process?
(A) Eye
(B) Nose
(C) Body
(D) Neck
(B) Nose
96
New cards
All the following statements regarding the position shown in Figure 2-17 are true, except
(A) a left pleural effusion could be demonstrated
(B) a right pneumothorax could be demonstrated
(C) a left lateral decubitus position is illustrated
(D) the CR is directed vertically to the level of T7
(D) the CR is directed vertically to the level of T7
(D) the CR is directed vertically to the level of T7
97
New cards
Which of the following positions best demonstrates the proximal tibiofibular articulation?
(A) AP
(B) 90° mediolateral
(C) 45° internal rotation
(D) 45° external rotation
(C) 45° internal rotation
98
New cards
At what level do the carotid arteries bifurcate?
(A) Foramen magnum
(B) Trachea
(C) Pharynx
(D) C4
(D) C4
99
New cards
During a double-contrast BE, which of the following positions would afford the best double-contrast visualization of the lateral wall of the descending colon and the medial wall of the ascending colon?
(A) AP or PA erect
(B) Right lateral decubitus
(C) Le lateral decubitus
(D) Ventral decubitus
(B) Right lateral decubitus
100
New cards
Which of the following statements is/are true regarding the shoulder image seen in Figure 2-18?
1. The unaffected arm is adjacent to the IR
2. It provides a lateral view
3. It is useful in trauma situations
(A) 1 only
(B) 1 and 2 only
(C) 2 and 3 only
(D) 1, 2, and 3
(C) 2 and 3 only
(C) 2 and 3 only

Explore top flashcards

flashcards
SCIENCE - Energy
52
Updated 496d ago
0.0(0)
flashcards
OMM Final Exam Terms
42
Updated 1197d ago
0.0(0)
flashcards
GODSDIENST WOORDENSCHAT
62
Updated 461d ago
0.0(0)
flashcards
#1/5
29
Updated 80d ago
0.0(0)
flashcards
Lab Quiz 5
110
Updated 496d ago
0.0(0)
flashcards
bio transport test
49
Updated 1053d ago
0.0(0)
flashcards
SCIENCE - Energy
52
Updated 496d ago
0.0(0)
flashcards
OMM Final Exam Terms
42
Updated 1197d ago
0.0(0)
flashcards
GODSDIENST WOORDENSCHAT
62
Updated 461d ago
0.0(0)
flashcards
#1/5
29
Updated 80d ago
0.0(0)
flashcards
Lab Quiz 5
110
Updated 496d ago
0.0(0)
flashcards
bio transport test
49
Updated 1053d ago
0.0(0)