1/106
Looks like no tags are added yet.
Name | Mastery | Learn | Test | Matching | Spaced | Call with Kai |
|---|
No analytics yet
Send a link to your students to track their progress
Tissue
A group of similar cells and cell products working together to perform a specific role in an organ
Matrix(extracellular material)
Fibrous proteins
clear gel: ground substance
Primary germ layers
tissue layers that is produced by a fertilized egg (Ectoderm,Endoderm,Mesoderm)
Ectoderm
outer layer
gives rise to epidermis and nervous system
Endoderm
inner layer
mucous membrane
digestive lining/glands, respiratory tracts
Mesoderm
middle layer
cartilage, bone, blood
Histological sections
Tissue slicked into thin sections
one or two cells thick
Ex: Fixative and Stains
Longitudinal Section
Tissue cut in it long access
Cross/Transverse Section
Tissue cut perpendicular to long axis of organ
Oblique Section
Tissue cut at an angle between cross and longitudinal sections
Epithelial Tissue
Covers body surfaces and lines body cavities
Constitutes most glands
Avascular(nourished by underlying connective tissue)
Epithelial Tissue Functions
Protection:protect deeper tissues from injury and infection
Secretion:produce and release chemical secretions
Absorption:absorbs chemicals/nutrients
Filtration:substances filtered through
Sensation:sense stimuli
Epithelial Tissue Structure
Cells are close together
High rate of mitosis in cells near connective tissue
Rest on a basement membrane
Basal Surface
Cell surface facing the basement membrane
Apical Surface
Surface the faces away from the basement membrane
Lateral Surface
Between basal and apical surfaces
side wall
Simple epithelium
One layer of cells connected to a basement membrane
simple squamous, simple cuboidal, simple columnar

Simple Squamous Epithelium
Flat, thin, Scale
Secretes Substances
Diffusion/Transport of substances
Location: Alveoli in Lung

Simple Cuboidal Epithelium
Square and round
Absorption and Secretion
Mucous production and movement
Location: liver, thyroid, glands

Simple Columnar Epithelium
Longer than they are wide
absorption and secretion
Location: Uterus, GI tract, kidney
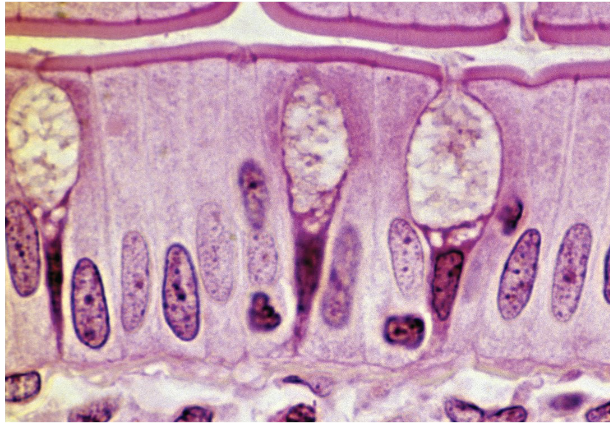
Pseudostratified Columnar Epithelium
Falsely appears to be stratified, but all cells reach the basement membrane

Goblet Cells
Wine Glass shaped cells
Mucous Secreting
Found in simple columnar and pseudostratified tissue

Ciliated pseudostratified columnar epithelium
Looks stratified but isn’t
Has cilia and goblet cells
Secretes and propels nucleus
Location: Respiratory Tract

Stratified Squamous Epithelium Keratinized
Multiple layers found on the surface of skin
Abrasion Resistance
Soles and Palms

Stratified Squamous Epithelium Non-Keratinzed
Multiple layers but lacks surface layer of dead cells
Abrasion resistant
Tongue, mucus, esophagus

Stratified Cuboidal Epithelium
Multiple layers of square and round cells
Secretes sweat, produces sperm, produces ovarian hormones
Stratified Columnar Epithelium
rare

Urothelium
Unique to the urinary tract
change from round to flat when stretched
Connective Tissue
Most cells are not indirect contact with each other
Highly variable vascularity
Connective Tissue Functions
Binding of Organs
Support: bones, cartilage
Physical Protection:cranium, ribs, sternum
Immune protection: attack foreign invaders
Movement: bones act as a leverage
Storage: fat, calcium, phosphorus
Heat production
Transport: blood
Fibroblasts
Fibrous Connective Tissue Cell
Produce fibers and ground substance
Macrophages
Fibrous Connective Tissue Cell
Arise from monocytes
Phagocytize foreign material
Leukocytes
Fibrous Connective Tissue Cell
React against bacteria
Plasma Cells
Fibrous Connective Tissue Cell
Synthesize antibodies(proteins)
Mast Cells
Fibrous Connective Tissue Cell
Secrete heparin to inhibit clotting and histamine to dilate blood vessels
Adipocytes
Fibrous Connective Tissue Cell
Store fat molecules
Collagenous fibers
tough, flexible, stretch resistant (abundant)
tendons and ligaments
Reticular Fibers
Thin and coated with glycoprotein
framework of spleen and lymphnodes
Elastic Fibers
Thin and elastic
stretch and recoil
Components of Fibrous Connective Tissue
Ground Substance
Glycosaminoglycans
Proteoglycans
Adhesive glycoproteins
Loose Fibrous Connective Tissue
gel like ground substance surrounding cells
areolar tissue and reticular tissue
Dense Fibrous connective tissue
Fibers fill space between cells
Dense regular tissue and dense irregular tissue

Areolar Tissue
Loosely organized fibers, abundant blood vessels
Location: serous membrane, between mm, passageway for nerves

Reticular Tissue
Forms framework for lymphatic organs, bone marrow, spleen
mesh of reticular fibers and fibroblasts

Dense regular connective tissue
Dense, parallel, compressed, wavy tissue
attach mm to bones and ligaments, hold bones together

Dense irregular connective tissue
dense, random, few visible cells
can handle stress, deep layer of skin, capsules around organs

Adipose tissue (white):
energy, storage, insulation, cushioning, organ packing, body contour, secretes hormones that regulate metabolism
Fat is recycled continuously
Adipose Tissue (brown)
In children
produces heat
color of the fat comes from blood vessels
Cartilage
Stiff connective tissue with flexible rubbery matrix
avascular
shapes eat, tip of nose, larynx, joints
heals slowly

Hyaline Cartilage
clear and glassy appearance
eases joint movement, holds airways open, moves vocal cords
Location: joints, ribs, larynx

Elastic Cartilage
covered with perichondrium
abundance of elastic fibers
flexible elastic, supports
Location: external ear, epiglottis

Fibrocartilage
large coarse collagen fibers
resists compression absorbs shock
Pubic symphysis, menisci
Bone (osseous tissue)
calcified connective tissue
skeleton

Compact bone
calcified connective tissue
no space, complex arrangement
Central Canal
where blood vessels and nerves run through the bone
Concentric Lamellae
Ring like layers of bone surrounding central canal
Osteon
Central canal and its surrounding lamellae
Osteocytes
Mature bone cells
Canaliculi
canals between lacunae
communication
Lacunae
holes where osteocytes are located
chondroblasts
produce the matrix
“builders”
osteocytes
mature cells trapped in the lacunae
Spongy bone
porous appearance, covered by compact bone
spiny points of bone: trabeculae
found in heads of long bones and the middle of flat bones
Blood
fluid, transport cells and dissolved matter from place to place
Plasma
liquid ground substances in blood
White Blood Cells
Defend against infection and disease
Red Blood Cells
Transport 02 and C02
Platelets
Cell fragments that involve clotting

Nervous Tissue
Communication by electrical and chemical signals
Neurons
Nerve cells
detect, respond, and transmit info
Neuroglia
glial cells
protect and assist neurons
Neurosoma
Cell body of a nerve
holds nucleus and orgchelles
controls protein synthesis
Dendrite
Branched processes that receive signals
Axon
nerve fiber, sends signals to other cells
Muscular Tissue Function
contraction, body heat, movement, exert physical force

Skeletal Muscle Tissue
attach to bone
voluntary control over skeleton
striations: light and dark bands
multiple nuclei

Cardiac Muscle Tissue
Limited to the heart wall
Striated, branched, short intercalated discs
involuntary, one nucleus

Smooth Muscle Tissue
Fusiform cells, lacking striations
one nucleus, involuntary
make up parts of walls of organs

Tight Junction
Interlocking linkage between two cells

Desmosome
Patch that holds cells together
more space than a tight junction
resists mechanical stress
hook like

Gap Junction
Formed by a ring like connexon a channel
ions and nutrients that pass through the cell
Glands
Cell that secretes or excrete substances
composed of epithelial and connective tissue
Secretion
product useful to the body
Excretion
waste product
Exocrine Glands
Have ducts
sweat, tear glands, pancreas, salivary glands
Endocrine Glands
No ducts, secrete into blood
Hormones: chemical messengers
Unicellular glands
secretory cells found in an epithelium Ex: goblet cells
Capsule
connective tissue covering exocrine glands
Stroma
Connective tissue framework, supports and organizes tissue in a gland
Parenchyma
Cell that Synthesizes and secretes
Serous Glands
thin, watery
milk and tears
Mucous glands
mucin
goblet cells
Mixed glands
serous and mucus cell types
salivary glands in the chin
Eccrine gland secretion
Release their products by exocytosis
tear glands, pancreas
Apocrine Gland Secretion
Lipid droplet covered by membrane and buds from cell surface
milk secretion by mammary glands
Holocrine gland secretion
accumulate a product and entire cell disintegrates
oil glands of scalp and skin
flands of eyelids
Mucous Membrane
lines passages that open to the external environment
absorption, secretion, protection
Ex: digestive tract
Serous Membranes
Line internal body cavities
mesothelium resting on a layer of areolar tissue