Midterm Review for Lab

0.0(0)
Studied by 1 person
call kaiCall Kai
learnLearn
examPractice Test
spaced repetitionSpaced Repetition
heart puzzleMatch
flashcardsFlashcards
GameKnowt Play
Card Sorting

1/101

flashcard set

Earn XP

Description and Tags

Lab midterm review, exercise 1 to 6

Last updated 1:45 PM on 2/20/23
Name
Mastery
Learn
Test
Matching
Spaced
Call with Kai

No analytics yet

Send a link to your students to track their progress

102 Terms

1
New cards
Infundibulum
Narrow stalk that connects the hypothalamus and pituitary gland
2
New cards
\
Anterior lobe (pituitary gland)
\
Anterior lobe (pituitary gland)
* Adenohypophyis
* Regulated by the hypothalamus
* Releases 6 hormones
3
New cards
Posterior lobe (pituitary gland)
Posterior lobe (pituitary gland)
* Neurohypophysis
* Composed of neurons
* Releases 2 hormones ADH and OT
4
New cards
Growth hormone (GH)
Lobe: Anterior

Target: Bones and muscles

Action: Stimulates cell growth
5
New cards
Adrenocorticotropic hormone

(ACTH)
Lobe: Anterior

Target: Adrenal cortex

Action: Stimulates release of adrenal cortex hormone
6
New cards
Thyroid-stimulating hormone (TSH)
Lobe: Anterior

Target: Thyroid gland

Action: Stimulates release of thyroid hormones
7
New cards
Follicle-stimulating hormone (FSH)
Lobe: Anterior

Target: Gonads (sex organs)

Action: Stimulates development of ova and sperm
8
New cards
Luteinizing hormone (LH)
Lobe: Anterior

Target: Gonads

Action: Stimulates secretion of sex hormones
9
New cards
Prolactin (PRL)
Lobe: Anterior

Target: Mammary gland

Action: Stimulates milk production
10
New cards
Antidiuretic hormone (ADH)
Lobe: Posterior

Target: Renal tubules

Action: Stimulates water reabsorption
11
New cards
Oxytocin (OT)
Lobe: Posterior

Target: Uterus and mammary gland

Action: Stimulates uterine contractions during labor and delivery and release of milk
12
New cards
Thyroxine (T4) and Triiodothyronine (T3)
Gland: Thyroid

Secreted by: Follicular cells

Target: Every cell

Action: Regulate oxygen utilization and rate of metabolism
13
New cards
Calcitonin
Gland: Thyroid

Secreted by: Parafollicular cells

Target: Bone and kidneys

Action: Reduces blood calcium levels
14
New cards
Glucocorticoids (Cortisol)
Gland: Adrenal cortex

Target: Most cells

Action: Increase blood glucose levels
15
New cards
Androgen
Gland: Adrenal cortex

Target: Has little effect

Action: Precursor of male and female sex hormones
16
New cards
Epinephrine (EP)
Gland: Adrenal medulla

Target: Most cells

Action: Increases cardiac activity, BP, and blood glucose levels

\*neurotransmitter
17
New cards
Norepinephrine (NEP)
Gland: Adrenal medulla

Target: Most cells

Action: Increases cardiac activity, BP, and blood glucose levels
18
New cards
Pancreas
Known as a mixed gland since it contains endo and exocrine functions
19
New cards
Insulin (Beta)
Gland: Pancreatic islets

Target: Every cell

Action: Lowers blood glucose levels
20
New cards
Glucagon (Alpha)
Gland: Pancreatic islets

Target: Liver

Action: Raises blood glucose level by breaking down glycogen
21
New cards
Melatonin
A hormone secreted by the pineal gland that regulates the circadian rhythm
22
New cards
Parathyroid hormone (PTH)
Gland: Parathyroid

Action: Raises blood calcium level
23
New cards
Thyroid gland slide
Thyroid gland slide

1. Thyroid follicle
2. Follicular cells
3. Parafollicular cells
4. Collid
24
New cards
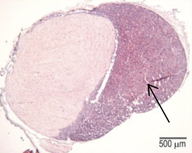
Thymus slide
Thymus slide

1. Lobule
2. Cortex
3. Medulla
25
New cards
Pancreas slide
Pancreas slide

1. Acinar cells
2. Pancreatic islet
26
New cards
Testis slide
Testis slide

1. Seminiferous tubule
2. Interstitial cells
3. Spermatozoa in lumen
4. Spermatogonia
27
New cards
Ovary slide
Ovary slide

1. Follicular cell
2. Developing ovum (oocyte)
28
New cards
Blood
* The body has around 5.5 L circulating
* A type of connective tissue
* The matrix is a watery liquid called plasma
* Cells has no nucleus
29
New cards
What are some of the major functions of blood?
* Transport dissolved substances
* Hemostasis
* Defence against pathogens
* pH regulation
* Body temperature regulation
30
New cards
Plasma
Plasma
* 55% of total blood volume
* 91% water
* Transport dissolved substances
* Remains when clotting is prevented
31
New cards
What are some items that dissolves in plasma?
* **Protein**: Antibodies
* **Nutrient**: Glucose
* **Electrolytes**: Na+
* **Enzymes**
* **Waste**: Urea
* **Gases**: O2 and CO2
32
New cards
Serum
Liquid that remains after the blood has clotted
33
New cards
Buffy coat layer
Buffy coat layer
Leukocytes and platelets
34
New cards
Red cell layer
Red cell layer
Erythrocytes
35
New cards
Centrifuge
Centrifuge
A device that spins and separates thee blood into three layers
36
New cards
Erythrocytes
Erythrocytes
* RBC
* Most common element in the whole blood
* Anucleated (lacks nucleus)
* Transport O2 and CO2
37
New cards
Platelets
Platelets
* Cytoplasmic fragments with granules
* Forms a soft plug at the site of blood vessel damage
* Secrete hemostasis factors
38
New cards
Neutrophils
Neutrophils
* Most numerous WBC
* Contains granules
* Phagocytic (macrophage)
* Increases in bacterial infection
39
New cards
Eosinophils
Eosinophils
* WBC (second to least common)
* Contains granules
* Phagocytic
* Reduce inflammation
* Increase in cases of parasitic infection
40
New cards
Basophils
Basophils
* Least numerous WBC
* Contains granules
* Increased but allergies and leukaemia
41
New cards
Monocytes
Monocytes
* Largest of the WBCs
* Phagocytic (macrophages)
* Increase in various infections
* Decrease in chronic diseases
42
New cards
Lymphocytes
Lymphocytes
Second most common

3 Types of antibodies: B, T, Natural Killer

Increase by various infections

Decrease in immune disease
43
New cards
Leukemia
* Uncontrollable production of WBC (cancer)
* Acute: Rapid, WBC are immature and non-functioning
* Chronic: Gradual, functioning as few are immature
44
New cards
Anemia
* The inability of RBC to deliver the needed oxygen
* Causes fatigue, dizziness, numbness
45
New cards
Iron deficiency anemia
Iron deficiency anemia
Lack of hemoglobin which causes the RBC to be pale
46
New cards
Sickle cell anemia
Sickle cell anemia
RBCs are misshapen, some appering as a sickle
47
New cards
Plasmacrit
Percentage of whole blood that is plasma
48
New cards
Hematocrit
Percentage of whole blood that is formed elements (RBC)
49
New cards
Whats the normal hematocrit range?
* Overall: 37-52%
* Men: 42-52%
* Women: 37-47%
50
New cards
What would cause hematocrit to be low?
Aplastic anemia (insufficient RBC production)

Sickle cell anemia (destroyed too easily)
51
New cards
Polycythemia
* Too many RBCs → raises the hematocrit
* Blood too thick → difficult to flow
52
New cards
Blood typing
* Classifying blood by glycoprotein markers (antigens/agglutinogens)
* Genetically determined
* A different set of markers are antibodies/agglutinins
* When incompatible types crosslink form clumps (agglutination)
* \
53
New cards
ABO and Rh
* Typing systems using ABO plus positive and negative
* Together creates 8 different blood types
54
New cards
Universal donor
Blood type O(-)
55
New cards
Universal recipient
Blood type AB(+)
56
New cards
Type A
**Antigen:** A

**Antibodies:** B

**Agglutinates with:** B and AB
57
New cards
Type B
**Antigen:** B

**Antibodies:** A

**Agglutinates with:** A and AB
58
New cards
Type AB
**Antigen:** A and B

**Antibodies:** None

**Agglutinates with:** None
59
New cards
Type O
**Antigen:** None

**Antibodies:** A and B

**Agglutinates with:** A, B, and AB
60
New cards
Rh+
**Antigen:** Rh

**Antibodies:** none

**Agglutinates with:** none
61
New cards
Rh-
**Antigen:** None

**Antibodies:** Rh

**Agglutinates with:** Rh+
62
New cards
Circulatory system
Blood + heart + blood vessels
63
New cards
Cardiovascular system
Heart + blood vessels
64
New cards
Heart
* Fist size
* Four chambered
* Cardiac muscle
* Within the mediastinum (thoracic cavity)
65
New cards
Parietal pericardium / Pericardial sac
Serous membrane that enclose the heart
66
New cards
Pericardial cavity
Small space between the membrane and heart
67
New cards
Vein
Carry blood (CO2) towards the heart
68
New cards
Artery
Carry blood (O2) away from the heart
69
New cards
Label #1
Label #1
Right pulmonary artery
70
New cards
Label #2
Label #2
Superior vena cava
71
New cards
Label #3
Label #3
Right pulmonary veins
72
New cards
Label #4
Label #4
Right pulmonary artery
73
New cards
Label #5
Label #5
Right auricle
74
New cards
Label #6
Label #6
Marginal artery
75
New cards
Label #7
Label #7
Small cardiac vein
76
New cards
Label #8
Label #8
Inferior vena cava
77
New cards
Label #9
Label #9
Right ventricle
78
New cards
Label #10
Label #10
Apex
79
New cards
Label #11
Label #11
Great cardiac vein
80
New cards
Label #12
Label #12
Left ventricle
81
New cards
Label #13
Label #13
Anterior interventricular artery
82
New cards
Label #14
Label #14
Circumflex artery
83
New cards
Label #15
Label #15
Left auricle
84
New cards
Label #16
Label #16
Left pulmonary vein
85
New cards
Label #17
Label #17
Pulmonary trunk
86
New cards
Label #18
Label #18
Left pulmonary artery
87
New cards
Label #19
Label #19
Ligamentum arteriosum
88
New cards
Label #20
Label #20
Aortic arch / Aorta
89
New cards
Label #1
Label #1
Right atrium
90
New cards
Label #2
Label #2
Tricuspid valve
91
New cards
Label #3
Label #3
Right ventricle
92
New cards
Label #4
Label #4
Papillary muscle
93
New cards
Label #5
Label #5
Interventricular septum
94
New cards
Label #6
Label #6
Trabeculae corneae
95
New cards
Label #7
Label #7
Left ventricle
96
New cards
Label #8
Label #8
Chordae tendineae
97
New cards
Label #9
Label #9
Bicuspid valve
98
New cards
Label #10
Label #10
Left atrium
99
New cards
Label #11
Label #11
Ligamentum arteriosium
100
New cards
Label #12
Label #12
Aorta