Chapter 1 Procedures 1

0.0(0)
studied byStudied by 3 people
0.0(0)
full-widthCall with Kai
learnLearn
examPractice Test
spaced repetitionSpaced Repetition
heart puzzleMatch
flashcardsFlashcards
GameKnowt Play
Card Sorting

1/148

encourage image

There's no tags or description

Looks like no tags are added yet.

Study Analytics
Name
Mastery
Learn
Test
Matching
Spaced
Call with Kai

No study sessions yet.

149 Terms

1
New cards
ALARA
As Low As Reasonably Achievable
2
New cards
What do you use to clean objects to kill pathogenic bacteria?
Disinfectants
3
New cards
What inhibits the growth of pathogenic microorganisms without killing them?
Antiseptics
4
New cards
What is the easiest & most convenient method of preventing the spread of microorganisms?
Handwashing
5
New cards
Standard Precautions are designed …
to reduce the spread of pathogens (blood, all body fluids, secretions & excretions, nonintact skin, mucus membranes
6
New cards
What is worn when coming in contact with blood or body fluids, secretions, excretions, contaminated items, mucous membranes, nonintact skin?
Gloves
7
New cards
What is worn to protect the mucus membranes of the eyes, nose, and mouth?
Mask & Eye protection/ Face Shield protects
8
New cards
Protects skin and prevents soiling of clothing during procedures & Pt. care activities likely to generate splashes or sprays of blood or body fluids
Gown
9
New cards
Needles are placed
\-in a puncture-proof container

\-on a short-stop needle holder

\-use a safety need cap
10
New cards
Procedure Book
\-covers examination procedure by category

\-outlines supplies, duties, required images
11
New cards
Obtaining the Hx is the responsibility of
radiographer
12
New cards
Pt. Instructions
Make sure the pt. knows what is going to happen and why in a clear and concise way (saves on time & pt. exposure
13
New cards
Diagnosing is the responsibility of the
radiologist
14
New cards
How are pt. bowels cleaned before the radiologic exam? (barium enema, exams of the urinary system)
\-limited diet

\-laxatives

\-cleansing enema
15
New cards
Pt’s attire should NOT consist of
starch (radiopaque), limit folds, zippers, necklaces, snaps, thick elastic bands, buttons, diapers, dentures, partial plates, hair pins, earrings
16
New cards
Surgical Dressings
\-need permission to remove

\-leave a thin layer to protect the open wound
17
New cards
Involuntary motion is primarily controlled by
the length of exposure time
18
New cards
Ways to control voluntary motion:
\-clear communication/instructions

\-make patient comfortable (table pad)

\-support devices

\-immobilization
19
New cards
Voluntary motion
breathing, nervousness, discomfort, excitability, fear, age
20
New cards
Involuntary motion
peristalsis, heart pulsation, chill, tremor, spasm, pain,
21
New cards
Conditions which require a decrease in kVp (exposure factors)
\-old age

\-pneumothorax

\-emphysema

\-emaciation

\-deg. arthritis

\-atrophy
22
New cards
Conditions which require an increase in kVp (exposure factors)
\-pneumonia

\-pleural effusion

\-hydrocephalus

\-enlarged heart

\-edema

\-ascites
23
New cards
Inspiration ____ the diaphragm
depresses (lowers)
24
New cards
Expiration _____ the diaphragm
elevates
25
New cards
Types of Image Receptors
\-cassette with film

\-photostimulable storage phosphor (PSP) image plate used for CR (computed radiography), similar looking outside to cassette

\-solid-state detectors - used for DR (digital radiography) - cassette less

\-fluoroscopic screen
26
New cards
Contrast (film)
differences in densities between areas on radiograph (kVp)
27
New cards
Low contrast (technical factor)
more gray tones (low = lots)
28
New cards
High Contrast (technical factor)
few gray tones with greater differences between them (black + white)
29
New cards
Contrast Resolution (Digital)
controlled by bit depth, the number of brightness values possible for each pixel
30
New cards
Optical Density
degree of blackening of the film (mAs)
31
New cards
Special Resolution (recorded detail)
ability to see small structures
32
New cards
Magnification
enlarges an image, always some degree of mag.
33
New cards
Shape Distortion
change in the overall shape of a structure
34
New cards
What is the policy for gonadal shielding?
All patients must be shielded unless it compromises the exam, questions females of childbearing age as to the possibility of pregnancy
35
New cards
Guidelines to Gonadal Shielding
\-if gonads lie within or close to (5cm) the primary beam

\- if the clinical objective isn’t compromised

\-if- if the pt. has a reasonable reproductive potential
36
New cards
How should the IR (image receptor) be placed?
The long axis of the pt.’s anatomy of interest is parallel to the IR
37
New cards
Portrait/Lengthwise IR position
knowt flashcard image
38
New cards
Landscape/Crosswise IR Position
knowt flashcard image
39
New cards
Diagonal IR position
knowt flashcard image
40
New cards
Central Ray (CR)
The central portion of the X-ray beam
41
New cards
SID
source-to-IR distance, the distance from the anode in the x-ray tube to the IR
42
New cards
Collimation
the act of configuring the x-ray beam to a determined field size
43
New cards
What does collimation do for an x-ray?
\-reduces pt. Exposure dose by limiting the tissue irradiated

\-reduces amt. of scatter radiation, reducing the image quality

\-improves image quality (recorded detail & improves contrast)
44
New cards
Shuttering
A post-processing electronic technique that reduces the background light outside the collimated (beam restricted) border

\*DOES NOT restrict exposure to only the area of interest
45
New cards
4 Identifications of Radiographs

1. pt. name or ID #
2. Date of procedure
3. Institution
4. Right/left anatomical side marker
46
New cards
Evaluate the image to ensure proper Dx by any ..
\-Superimposition

\-Adjacent structures
47
New cards
An anatomical marker should always mark
the side closes to the IR
48
New cards
Should a marker be placed anterior or posterior to the anatomy?
anterior
49
New cards
AP, PA, or Obl. Chest images are marked where?
the upper-outer corner
50
New cards
An image is to be oriented on monitor or view box so that the person viewing the image sees the body part in …
anatomic position
51
New cards
Computed Radiography (CR)
A special image receptor with a phosphor material plate inside the closed cassette (imaging plate), after exposure the plate is scanned by a laser in a reader
52
New cards
Digital Imaging (DR)
no cassette, use a solid state flat panel or CCD detector that receives the image in the table or wall unit (17'“ x 17’ IR)
53
New cards
Can operate at the higher end of KVP range as to reduce patient exposure by …
reducing mAs accordingly
54
New cards
Too high of a kVp will …
over penetrate & change the scale of subject
55
New cards
What is wrong with this image?
What is wrong with this image?
extraneous line patters caused by noise in the IP reader electronics
56
New cards
mAs affects …
the amount of radiation dose
57
New cards
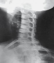
What does this image have?
What does this image have?
shape distortion (elongated cervical spine), it is an oblique image
58
New cards
Why is this image grainy?
Why is this image grainy?
insufficient light produced on IP (under exposure)
59
New cards
Difference between CR and DR
DR, only one exposure is made prior to processing, CR allows for multiple images
60
New cards
This is an example of …
This is an example of …
Shuttering (applying a black surround)
61
New cards
Image Lag
When the detector is unable to eliminate all of the signal from the previous image
62
New cards
Working with an obese patient a radiographer needs?
\-equipment and transportation for the correct weight

\-to be sensitive & show compassion (remains the same)

\-imperative to cent pt. Bony skeleton is the same
63
New cards
What is AEC and what does it do?
Automatic exposure control is a device for the automatic termination of the exposure once the radiation penetrates the part & reaches the ionization detector
64
New cards
APR
anatomically programmed radiography
65
New cards
Define image receptor (IR)
a device that receives the energy of the xray beam and forms the image of the body part
66
New cards
Brightness
Digital imaging term equivalent to OD
67
New cards
Spatial resolution
The ability to visualize small structures
68
New cards
Describe how hand and foot radiographs should be displayed
with the digits pointing upward and as viewed from the perspective of the xray tube
69
New cards
When the radiologist is unable to see the patient who is responsible for ensuring that an adequate clinical history accompanies the radiographs?
the radiographer
70
New cards
According to the Centers for Disease Control and Prevention, all human blood and certain bodily fluids should be treated as if they contain \_____ ?
Pathogenic Microorganisms
71
New cards
Sterilization
destruction of all microorganisms
72
New cards
Which term (antiseptic or disinfectant) classifies isopropyl alcohol?
Antiseptic
73
New cards
The rhythmic motion of smooth muscle structures is called \____.
peristalsis
74
New cards
what body system controls the movement of voluntary muscles?
central nervous system
75
New cards
why is it necessary to ensure that any folds in cloth gowns are straightened out before making the radiographic exposure?
to prevent confusing shadows
76
New cards
before beginning a radiographic examination what should the radiographer do to gain the cooperation of a coherent patient?
give an example of the procedure to be performed
77
New cards
what is the minimum number of personnel that should be used to transfer a helpless patient from a gurney to the radiographic table?
four
78
New cards
some examinations require an additional marker to indicate the \__________ after the introduction of a contrast medium.
cumulative time
79
New cards
from the following list indicate which of the following is not recommended or unacceptable for right and left side marker placement:

a) use of electronic insertion of the

b) placement of the marker in the anatomy of interest side marker in digital imaging \n c) placement of the marker on the border of the collimated field

d) writing the side marker on the hard copy images
a b d
80
New cards
what adjustment can be made by the radiographer to compensate for an increase in OID?
increase the SID
81
New cards
T/F in direct digital image the field size or collimation must be manually adjusted
True
82
New cards
T/F creating an image using a larger than required (necessary) field size is a violation of the ASRT Code of Ethics
True
83
New cards
T/F Shuttering of direct digital images is an acceptable substitution for proper collimation
False
84
New cards
what are the two phases of respiration?
Inspiration (inhalation) & Expiration (exhalation)
85
New cards
what respiration procedure provides for lung motion but not rib motion?
slow deep breathing
86
New cards
how have equipment manufacturers responded to the growing obesity problem in the United States?
radiographic and fluoroscopic table weight limits have doubled to 700lb CT and MRI table weights and aperture openings have also increased
87
New cards
what is the major risk factor in transportation and transfer of obese patients?
risk of injury to radiographers other health care workers and the patient
88
New cards
From the following list circle the factors that mAs affect in digital imaging:

a) OD b) Contrast c) image noise d) Spatial resolution e) patient dose
a c e
89
New cards
From the following list circle the six factors that control spatial resolution:

a) IP phosphor (digital) b) flat panel detector c) motion d) distance e) exposure f) geometry g) focal spot size h) mA i) kVp
a b c d f g
90
New cards
From the following list circle the two factors that control radiographic magnification:

a) time in seconds b) mA c) kVp d) Object to image receptor distance (OID) e) Source to image receptor distance (SID)
d e
91
New cards
T/F All radiographs yield some degree of magnification
True
92
New cards
From the following list circle the five factors that control or affect shape distortion of a body part:
a) alignment
b) angulation
c) central ray
d) IR
e) anatomic part
f) OID
g) SID
a b c d e
93
New cards
Describe how hand and foot radiographs should be displayed
with the digits pointing upward and as viewed from the perspective of the xray tube
94
New cards
Identify the three types of muscular tissue and state the type of motion (voluntary or involuntary) associated with each
smooth, involuntary (peristalsis) \n cardiac involuntary (systole) \n striated voluntary
95
New cards
PA skull
(matching best choice for how side markers should be used)
R marker typically used
96
New cards
AP cervical spine
(matching best choice for how side markers should be used)
R marker typically used
97
New cards
Lateral Lumbar Spine
(matching best choice for how side markers should be used)
mark side closer to the IR
98
New cards
AP Oblique Lumbar Spine
(matching best choice for how side markers should be used)
mark side closer to the IR
99
New cards
Bilateral AP Knees (side by side on one IR)
(matching best choice for how side markers should be used)
use both R and L marker to identify both sides
100
New cards
list four reasons why it would become necessary to angle the central ray
-to avoid the superimposition of overlying or underlying structures
-to avoid superimposing a curved structure on itself
-to project through angled joints
-to project through angled structures without foreshortening or elongation