1/36
Looks like no tags are added yet.
Name | Mastery | Learn | Test | Matching | Spaced |
|---|
No study sessions yet.
What is rare in the breast and supportive or connective tissue?
sarcoma
Carcinoma
-origination
-ductal
-lobar
Breast Cancer spreads:
-noninvasive
-noninfiltrating
-in situ- it’s contained
-invasive
-infiltrating

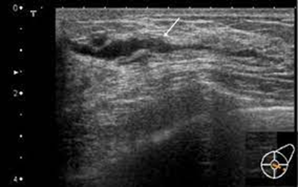
What is this image showing?
breast carcinoma
What is multicentric?
co-existent in separate quadrants or separated by more than 5cm
What is multifocal?
additional lesions within the same quadrant or within 5cm
What are malignant characteristics?
irregular shape
attenuation shadowing hypoechoic or heterogeneous
taller than wide
fixed location
hard/fibrous
What are malignancies of the breast?
ductal carcinoma in situ
invasive ductal carcinoma
lobular carcinoma in situ
invasive lobular carcinoma
comedocarcinoma
juvenile
papillary carcinoma
pagets disease
scirrhous carcinoma
medullary carcinoma
colloid carcinoma
tubular carcinoma
mucinous
phyllodes
What indicates that a lesion is malignant
shadowing
What is the most common non-invasive carcinoma?
ductal carcinoma in situ
What is ductal carcinoma in situ also called?
intraductal carcinoma
Ductal carcinoma in situ is
cancer cells present in the ducts but have not spread
its contained
What kind of prognosis does DCIS have?
very good because they have not spread

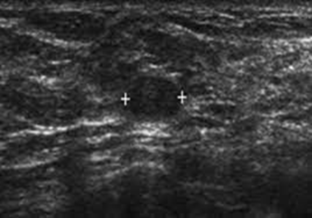
What is this image showing?
ductal carcinoma in situ
Lobular Carcinoma in Situ:
-not necessarily considered malignant
-very low malignant potential
-precancerous growth that occurs in the lobules

What is this image showing?
LCIS
LCIS doesn’t
doesn’t spread, don’t have treatment just follow up to see that it hasn’t grown
What is the most common invasive lesion?
invasive ductal carcinoma 80%
IDC:
begin in ducts but spread to surrounding fatty tissue
-blood and lymph nodes
IDC happens at
peak at age 50
What are the sonographic features of IDC?
-ill defined mass
-hypoechoic

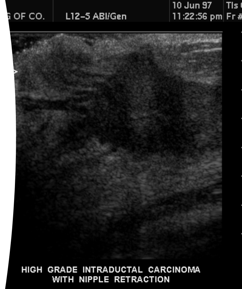
What is this image showing?
intraductal carcinoma
What is the 2nd most common invasive lesion?
invasive lobular carcinoma 10-15%
Invasive Lobular Carcinoma is often?
bilateral
-multicentric/multifocal


What are these images showing?
invasive lobular carcinoma
Medullary clinical signs and sono features:
solid
rounded
taller than wide
Medullary prognosis is?
good

What is this image showing?
medullary carcinoma
Papillary:
-arises from intraductal papilloma
-earliest sign is bloody nipple discharge
Comedocarcinoma:
-intraductal, solid
-ducts filled with yellow paste like material
What arises retroareolar and grows toward the nipple?
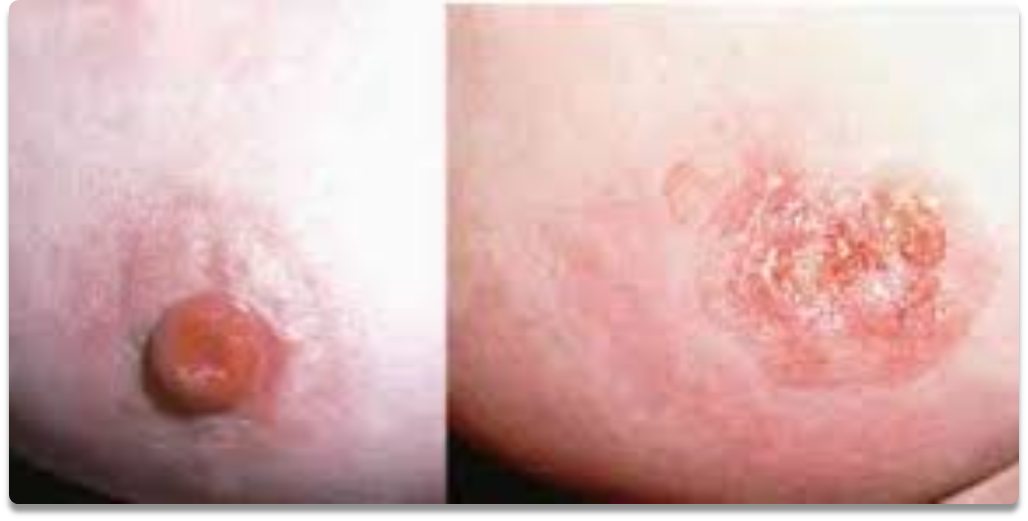
Paget’s disease
Paget’s Disease has a?
rash like appearance
Paget’s Disease is relatively
rare 2.5% of all cancers

What is this image showing?
pagets disease
What is inflammatory breast cancer?
-rare but aggressive
-cancer cells block lymph vessels of the skin
can do skin biopsy because it is superficial
What is the distinct appearance of an inflammatory breast disease?
peau d’orange breast

What is this image showing?
peau d’orange breast