1/22
Looks like no tags are added yet.
Name | Mastery | Learn | Test | Matching | Spaced |
|---|
No study sessions yet.
Bone and cartilage
Skeleton is contructed of ______ and _______.
False, it has 206 bones
True or false
The human adult skeleton has 300 bones
Joints
Places where bones connect
Axial skeleton
Make up the longitudinal axis of the body
Consists of the skull, rib cage, and the vertebral column
provides a framework that both supports and protects organs located inside the dorsal and ventral body cavities
Appendicular Skeleton
made up of the bones of the limbs (arms and legs), as well as the bones that attach the limbs to the axial skeleton; these bones are referred to as girdles
Bones
provide a solid system that supports and shapes the body, and provide
levers on which muscles can act to allow movement
Cartilage
Precursor to bone
provides cushioning between many joints
referred to as gristle
Ossification
cartilage hardens due to the addition of minerals, primarily calcium carbonate and tricalcium phosphate, by bone cells called osteocytes
Compact bone tissue
dense outer portion of most bones
Cancellous (spongy) bone tissue
inner part
porous or sponge-like
Osteon or haversian system
A Haversian canal, with its surrounding cells and layers of bone,
haversian canal
a microscopic channel in bone tissue that contains blood vessels and nerves
Lamellae
concentric rings of inorganic matrix
lacunae
this is where osteocytes are located
canaliculi
transport network that allows blood vessels to reach osteocytes
TRUE
TRUE OR FALSE
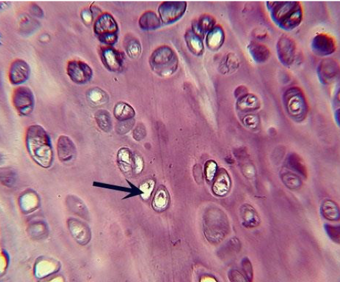
Cartilage cells are termed CHONDROCYTES and are located in small chambers called lacunae.
Hyaline cartilage
glassy, homogenous appearing matrix
very fine collagen fiber
covers the articulating (contact) surfaces of bones, reinforces the tip of the
nose, and provides attachment of the ribs to the sternum

Elastic cartilage
matrix contains elastic fibers
This tissue is found in the external ear, the Eustachian tubes, and the cartilage of the larynx and the epiglottis

Fibrocartilage
wavy matrix
contains collagen fibers
extremely tough
forms protective pads between
many bone surfaces, including in the knee joints.
Such pads are most obvious between the
vertebrae of the spine.

YELLOW BONE MARROW
bone marrow that is primarily made of FAT CELLS
RED BONE MARROW
produces red blood cells, some white blood cells and platelets (involved in blood clotting)
hyoid
what is this bone called?

phalanges
what is number 2?
