1/21
Looks like no tags are added yet.
Name | Mastery | Learn | Test | Matching | Spaced |
|---|
No study sessions yet.
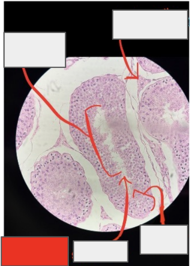
testes
What organ is this?

Seminiferous tubules

Leydig (interstitial endocrine) cells

Spermatogenic cells

Spermatozoon

Uterus
What organ is this?

Myometrium

Endometrium

Endometrial glands
simple columnar epithelium
What is this?
What type of tissue would you find here?

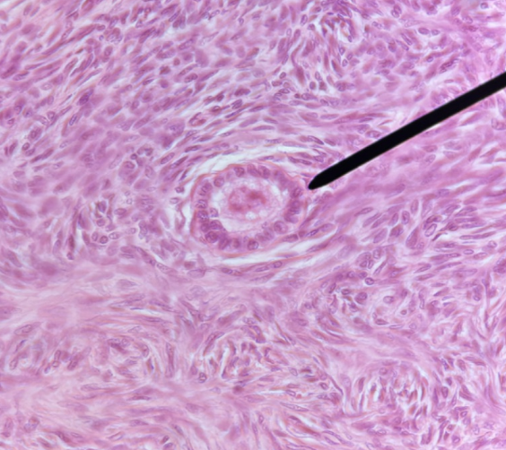
ovary
what organ is this from?

Primordial follicle
What is this whole thing?

Primary oocyte

Follicular cells
(the things that surround it)

Ovary
what organ is this from?

Primary follicle
What is this whole thing?

Primary oocyte

Granulosa cells
(the things that surround it)

ovary
What organ is this from?

Tertiary follicle
what is this whole thing?

Primary oocyte

Granulosa cells

Antrum
