1/42
Looks like no tags are added yet.
Name | Mastery | Learn | Test | Matching | Spaced |
|---|
No study sessions yet.

Which growth stage is this hair in?
telogen; resting (telogen is tapered
most hair in cat ad dog

Which growth stage is this hair in?
anagen (bulb)
more prminant that need regularly grooming eg poodle, maltese, shitszu.
lviing hair, vulnerable to cuytotocic, and chemo drug
fre is normal, fully telogen coat ith aopexia= endocrinopahthy

What do these signify
self induced trauma
broken hair tip

Normal or abnormal hair shafts?
micromelanosomes
small and regular parcel of melanin
synthesised by epidermal melanocyte and incorporated into skin and hair keratinocyte, govern skin and hair colour

What are these hair structures?
macromelanosomes
pigmentary dilution
eg yorkshire, silver lab, blue doberman

What has happened to these hair shafts?
crushed , regular spaced crush artefact from forept
plastic or rubber cover can avoid

Sample from a “dandruffy” rabbit! What can you see?
knits glued on; gratiella mites
parisitt
dc

What is wrong with these hairs?
damaged cortex by dermatophytosis
ectothrix spore, loss of normal structure, notmal cuticle, cortex and medulla
not always present

What has happened to these hairs?
This poodle developed alopecia following treatment with prednisolone & azathioprine for IBD
teisted, pinched, broken
interrupted groeth,
anagen defluxation from azathioprine
iatrogenic hyperadrenaocorticism (dc)+ pregnancy etc

What are these structures?
what can they indicate?
follicular cast (looks like brush tips)
asociated iwthe endocrinopathy can form

Another hair pluck with follicular casts; what else can you see?
demodex (canis/ injaines dc)

What is this?
fleas faeces
overgrooming animal (++)
comma dog shape

Why is this dog itchy?
where would you find them?
when do you find them
harvest mite orange crawlingmite
trabeculi autumani, hotspot in summer and
betweeen toes, cutaneous pocket

Otic cytology in an itchy cat
ocotdectes sino


Low power normal skin cytology what can you see?
keratinocyte

Name all the cells that you can see
malessezia pappidomatous
what are these
bacteria;conchiformibius
aka simonsiella k=formally
add

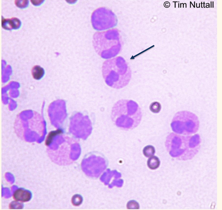
What are these cells and what do they indicate?
eosinophil; indicate hypersensitivity and allergu
MCt, meets in dorse

What are these cells
degranulated eosinophil
cytoplasm not intact
either deut o exceeed capacity or artefact

Interpret this impression smear
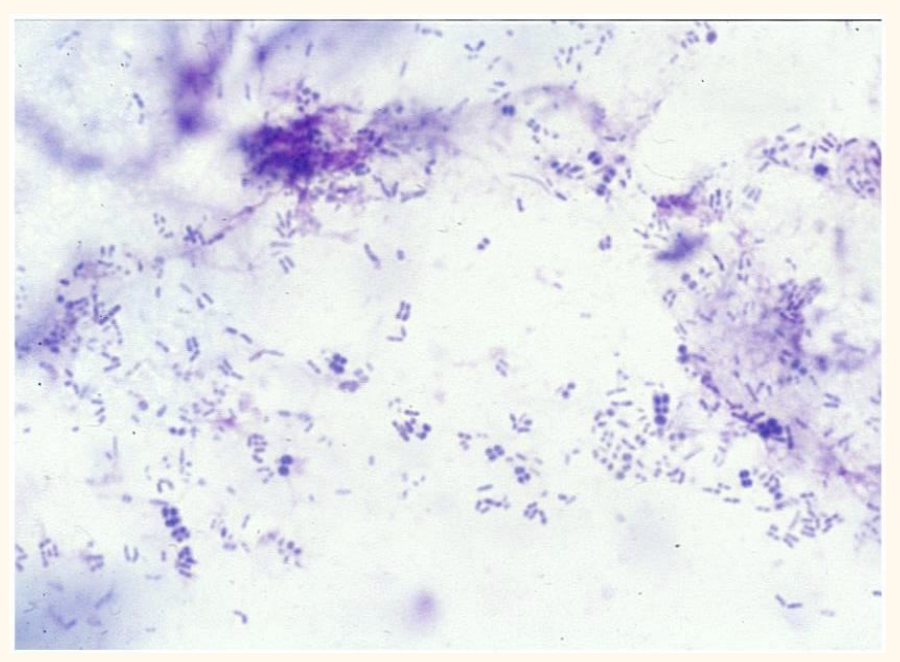
staph, rods, no inflammatory cell
bacterial overgrome sysdome
normal— inflmamtion— dysbiosis— infection

Identify the cells on this aspirate
giant cell (non nucleated macrophage)
add

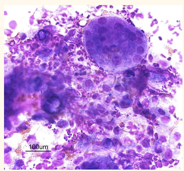
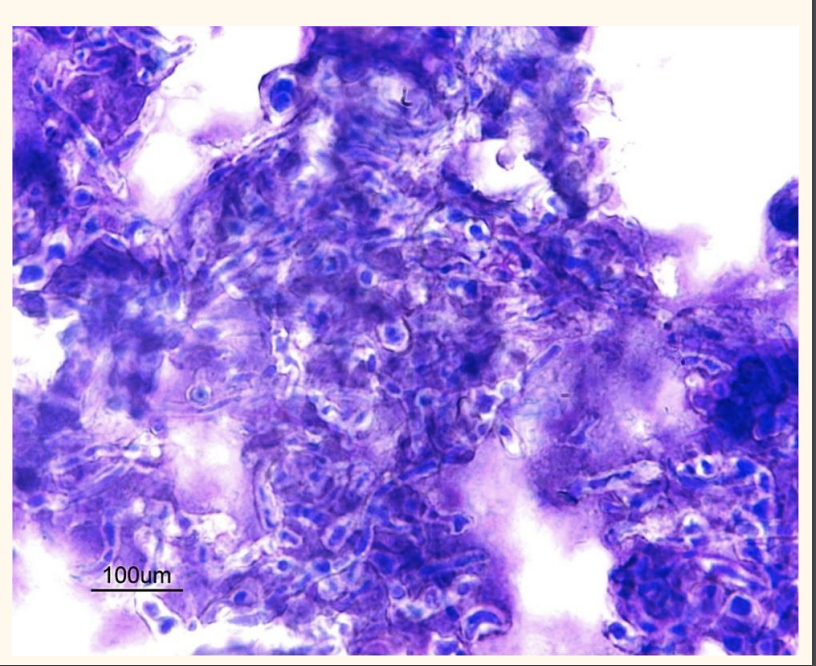
What can you see on this aspirate?
hyphae
dermatophyte mycetoma
persian cat and yorkie, subcut nodule

What are these (aspirate from a nodule in a cat)?
cryptococcus
nodule on front of nose—> laser

identify cell
macrophage, degen beutrophil, ingeted neutrophil, plasma cell, RBC.
likely sterile ptogranuloma but special stain and culture needed to rule out infection

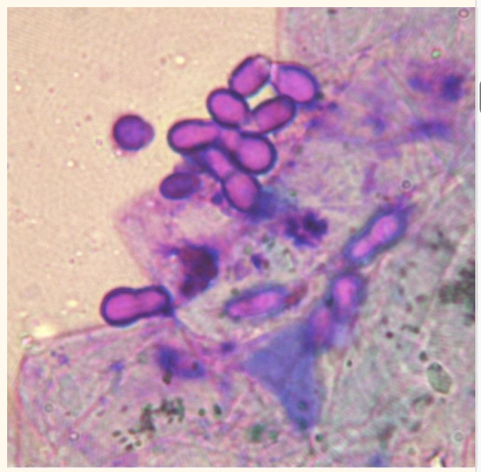
staph
netrosis by neutrophil (release nuclear material from cell)
c (asso w staph pyoderma)

what is this

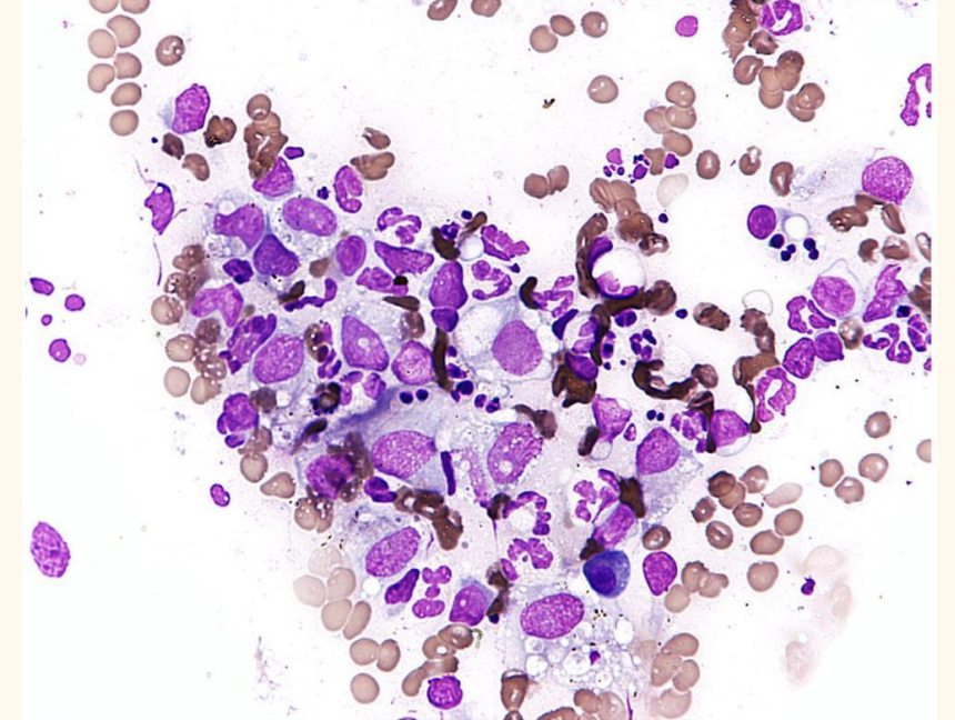
Interpret this otic impression smear
biofilm (comonly prodced by pseudomona)
(rods) psedomonas, e,coli, proteas, Proteus mirabilis, caranibacter, klepsialis ( in the ear)

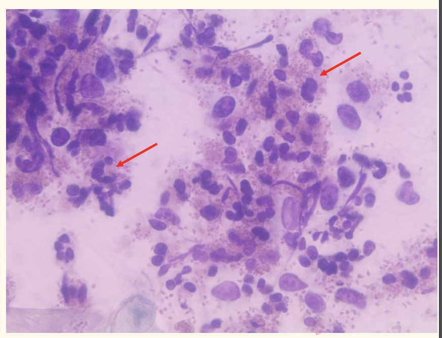
Identify the cells on this impression from a crust
neutrophil, non degenerate
acantholytic keratinocyte
rbc
propb pemphigus foliaceus
or dermatophytosis (if hyphae sen), pyoderma

Epidermal collarettes
Highly specific for staphylococcal pyoderma
Rare in pemphigus foliaceus
Useful to help differentiate these conditions

infection
as intracellular

Identify these cells and make the diagnosis (aspirate from a rapidly growing nodule in a dog)
macrophage eosinophil, neutrophil
nodules on paitient
eosinmphillic furunculosis/ granuloma/ usually due to plant or insects,
mosquito bite hpersensitivity, catapillar

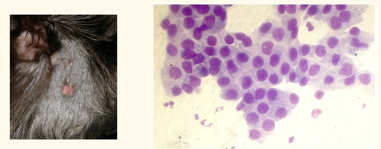
Another nodule in a dog; what is your interpretation?
epithelial cell;
one cell type so probably neoplastic rather than inflammatory

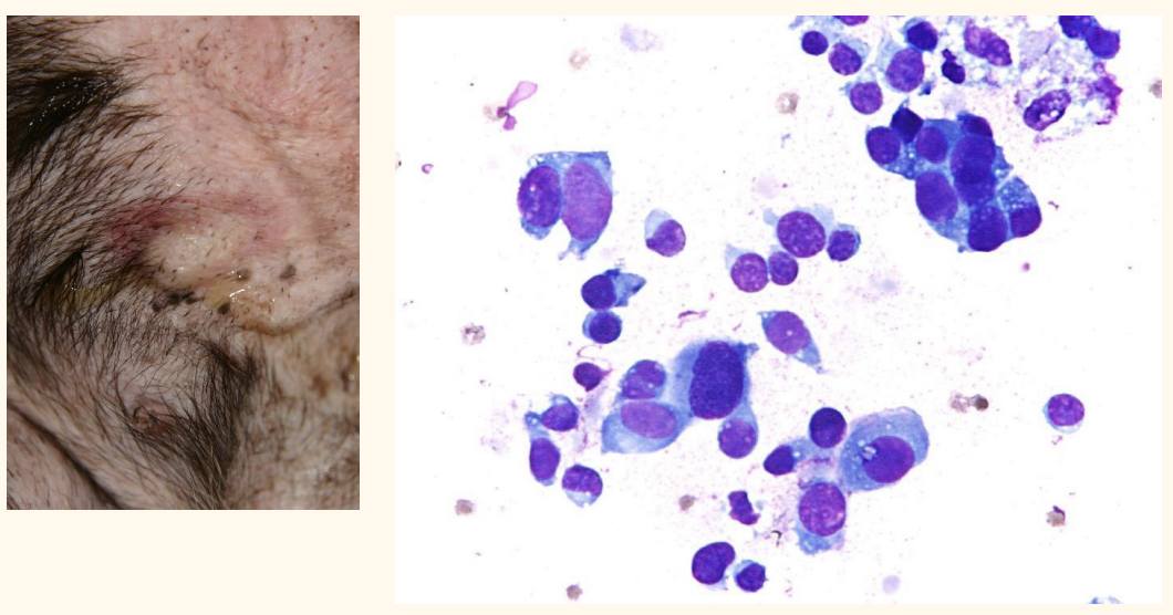
Another skin mass! What is your interpretation?
mast cells.
periton—> send home and come hom.
can cause anaphylaxis—> adrenaline
firstshock organ: liver then gut in dog

Rapidly growing mass in a young dog; what is it?
histiocytoma, round cell to=umour
most go away in couple wwek- months)

Another rapidly growing mass in young dog; what is it?
spindle cell tumous
marked pleomorphism

What is this? Same dog as the previous slide
mitotic figure— malignacy

Lymph node aspirate; what’s going on here?
neutrophil, protozoa
macrophage with intracytoplasmic organism
leishmania
mediterranian, sandfly, warm, dusk and dawn, female
us hunting beagles

Aspirates from enlarged lymph nodes...
whcih is neoplastic and which is reactive (non neoplastic)
uniform, macrophage, neutrophil (L)
aniosocytosis (R)

itchy and crusty donkey: whta samples would you take?
hair pluck(100-200), citrate, scarpe
scrape, pluck, smear

name the cell
cocci, denegerate neutrophil, acantholytic keratinocyte (can be both pyo and pf)
pyoderma
pemficous follicu
—> differentiate by clean=ring pyo, then see if acantholytic kera is associated with pf
A feather plucking Eclectus parrot What samples would you take?
feather pluck skin scrape

snowsprint: malassezia overgroath
always secondary

a hair pluck from balding dog
twisted , misshapen, split and broken hair,
follicular dysplasia
irish water dog etc, curly coat retriever, black dogs.