1/160
Looks like no tags are added yet.
Name | Mastery | Learn | Test | Matching | Spaced |
|---|
No study sessions yet.

Identify the organ in cross section
kidney

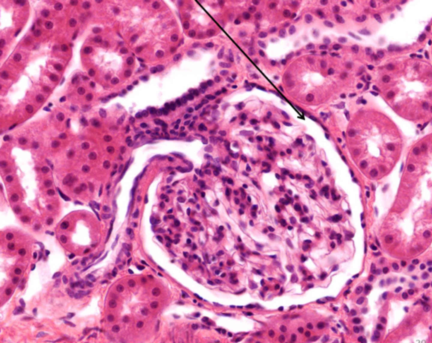
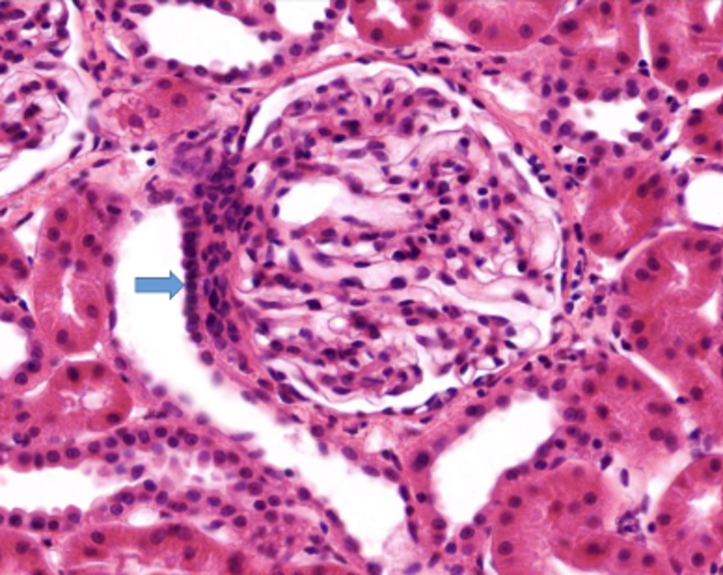
The clear space around the glomerulus is the lumen of
Bowman's capsule

Identify the structure on the kidney
cortex

Identify the structure on the kidney
medulla

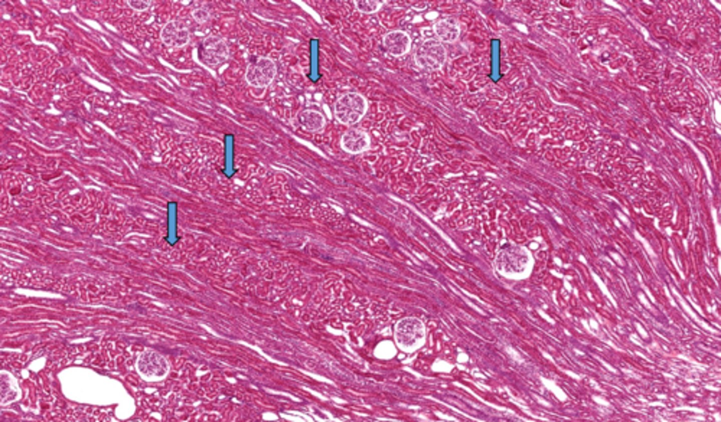
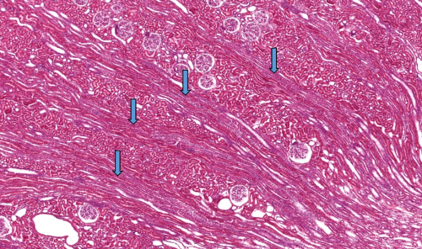
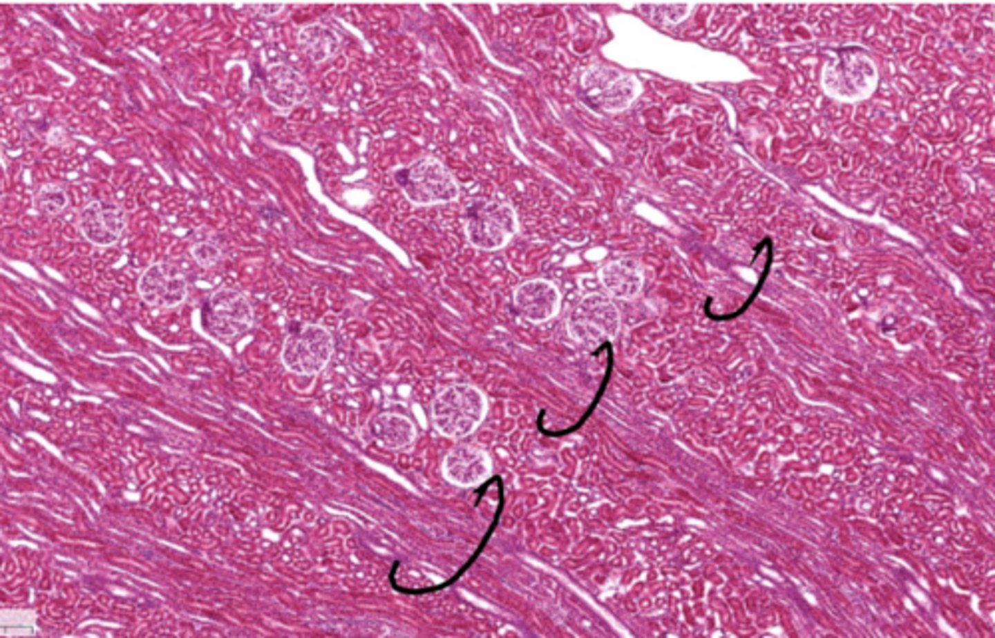
What division of blood vessels is found in the area outlined
arcuate vessels

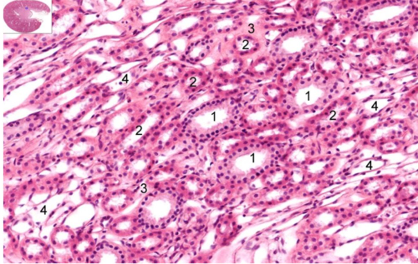
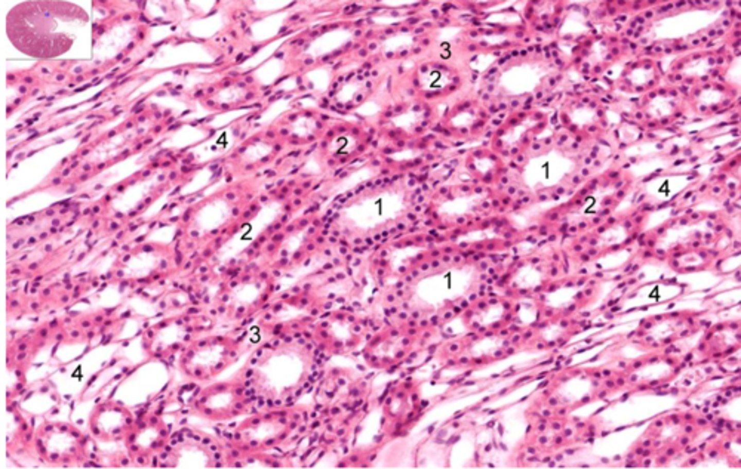
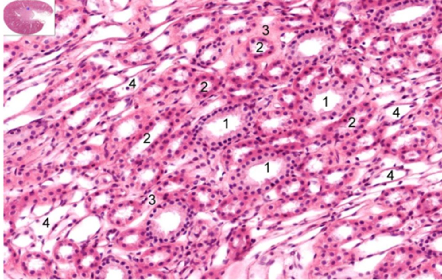
Identify these collections of convoluted structures
cortical labyrinth (pars convoluta)

Identify the collection of straight structures in the cortex of the kidney
medullary rays

Identify the area of the kidney at 1
renal papilla

Identify the structure on the kidney
renal pelvis

Identify the structure on the kidney
renal sinus

Identify the structure of the nephron
glomerulus

Identify this portion of the glomerulus, communicating with the efferent and afferent arterioles
vascular pole

Identify the nuclei on the distal convoluted tubule
macula densa
What is the function of the macula densa
monitor NaCl concentration

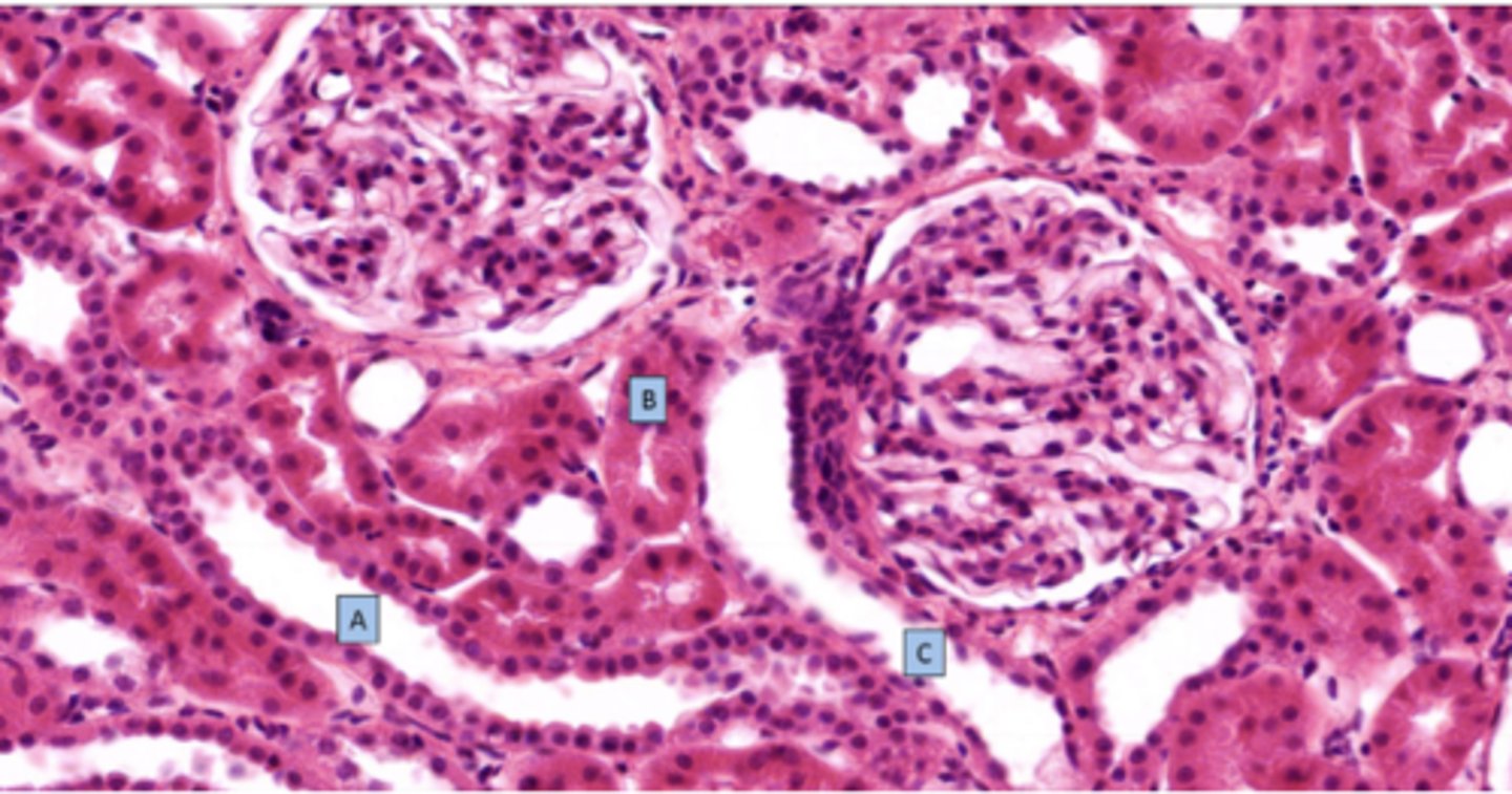
Identify the structure of the glomerulus at 2
urinary pole

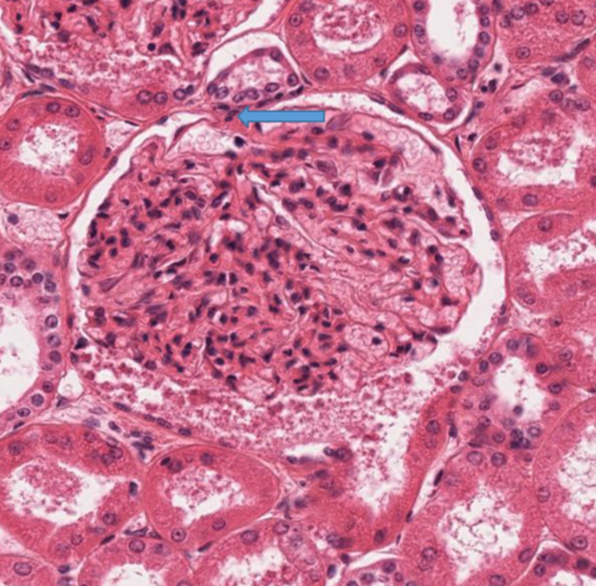
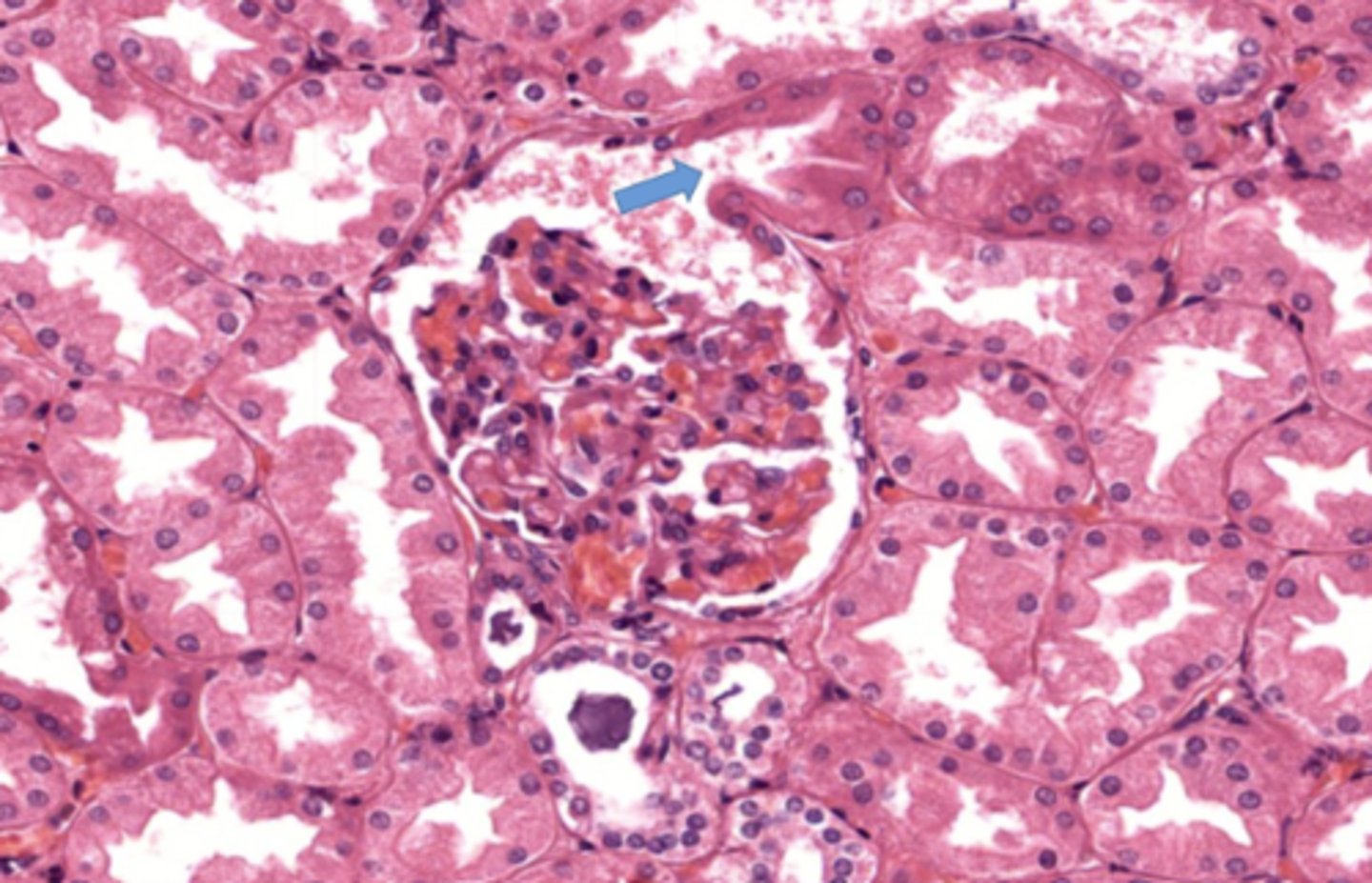
The arrow shows where filtrate enters what segment of the nephron
proximal convoluted tubule

What is the structure at C
distal convoluted tubule

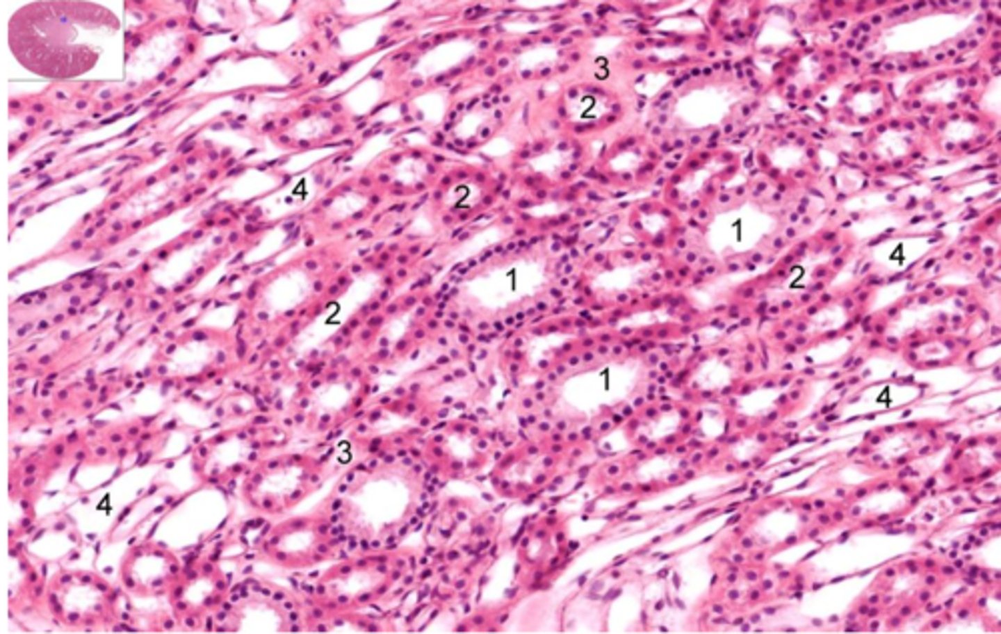
Identify the structure of the medulla at 2
thick loop of henle

Identify the structure of the medulla at 4
thin loop of henle

Identify the structure of the medulla at 1
collecting duct

The circled structures are the centers of the
kidney lobule

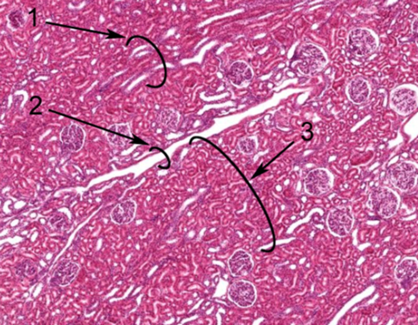
Identify the structure in the cortex of the kidney at 2
interlobular arteries
What joins the glomerulus at the vascular pole of the renal corpuscle
afferent and efferent arterioles
Where is the descending loop of henle
comes out of the proximal convoluted tubule beginning in the medullary rays (resembles PCT but is straight)
Where is the ascending loop of henle
in the outer portion of the medulla and in medullary rays (resembles DCT)
What cells does the glomerulus contain
mesangial cells and podocytes
The distal convoluted tubule and vascular pole contain which cells
juxtaglomerular cells

Identify the structure of the medulla at 3
interstitium

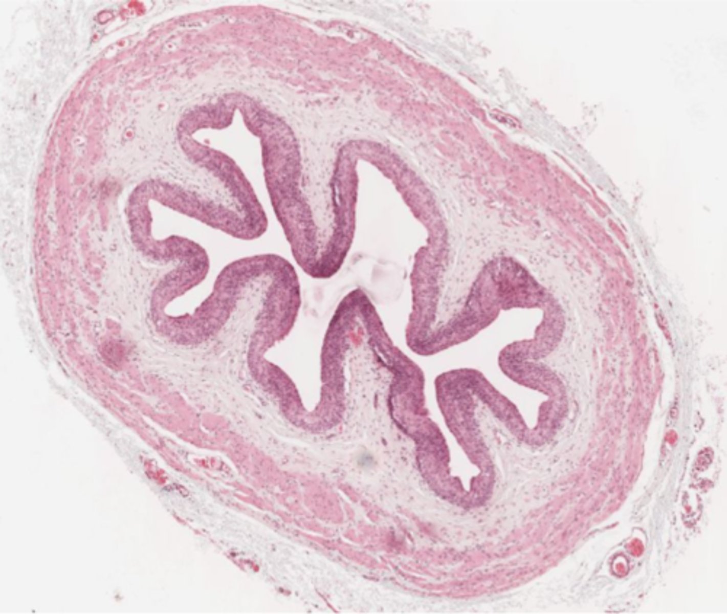
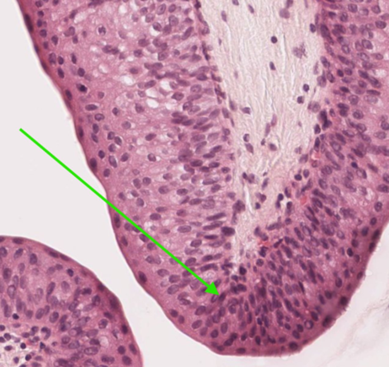
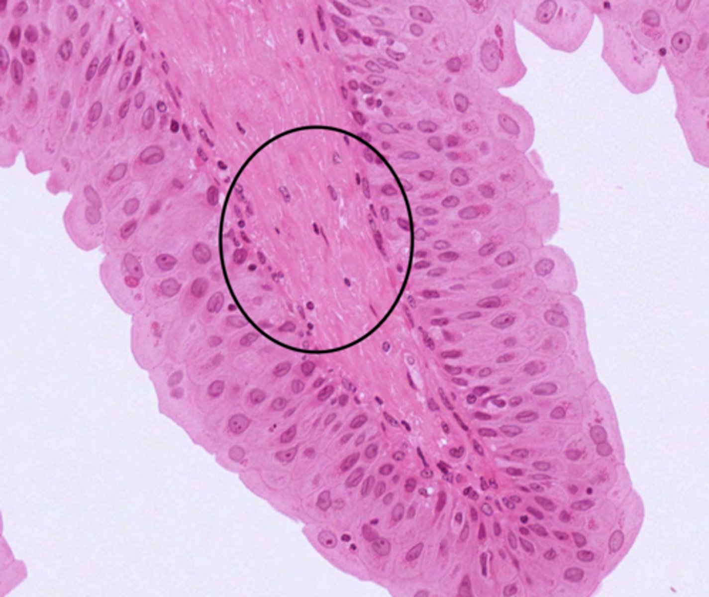
Identify the duct in cross section of the urinary system
ureter

Identify the layer of the ureter
transitional epithelium

Identify the layer of the ureter
lamina propria

Identify the layer of the bladder at 4
smooth muscular wall

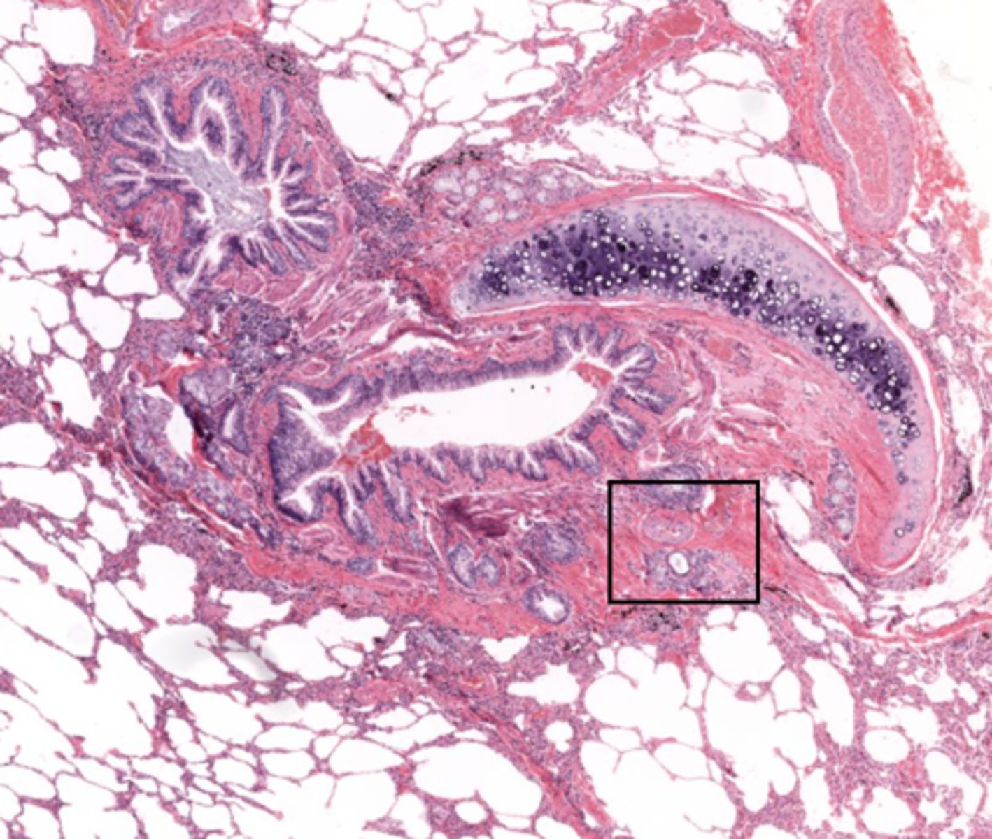
Identify the organ in cross section
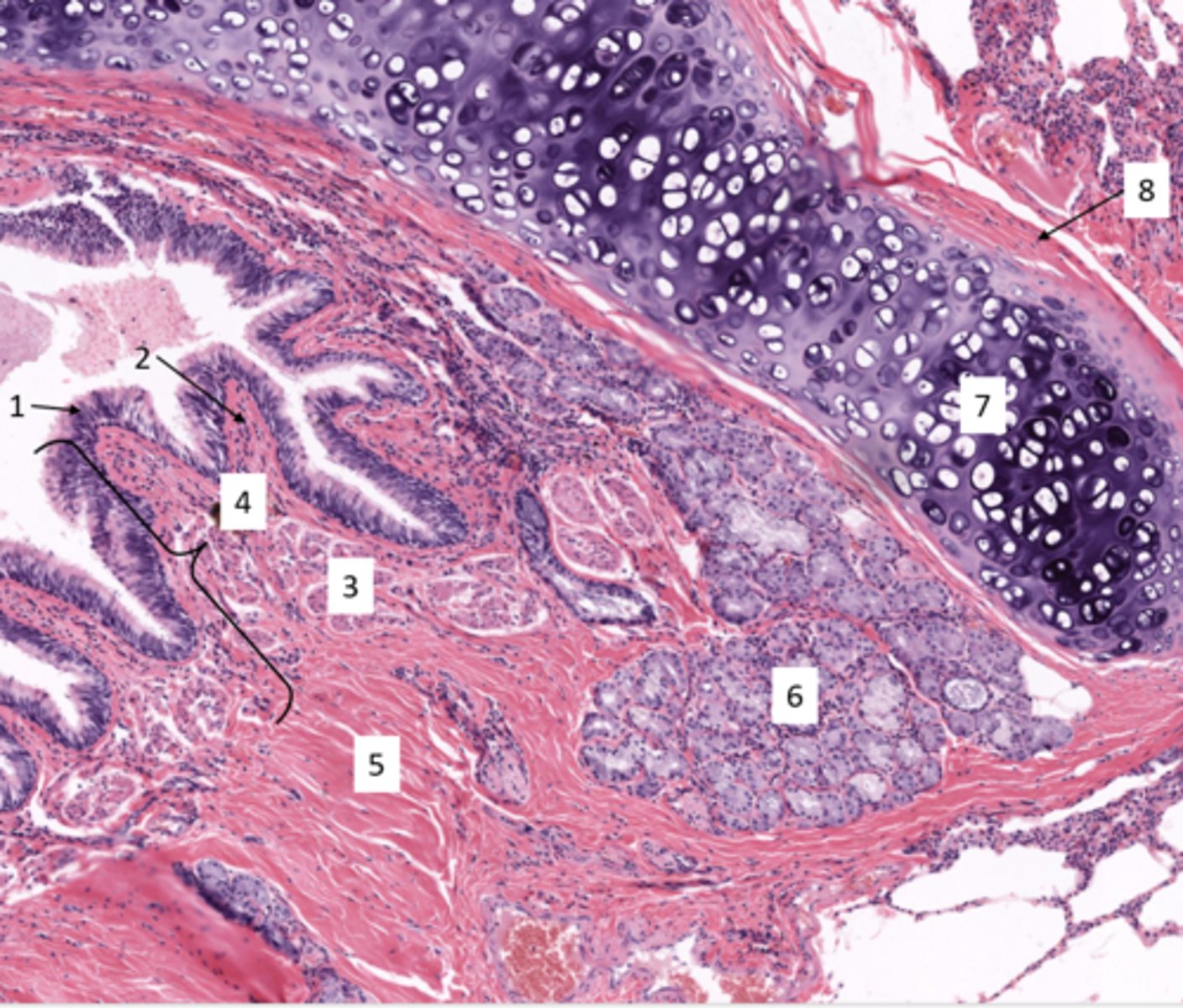
trachea

Identify the organ
lungs

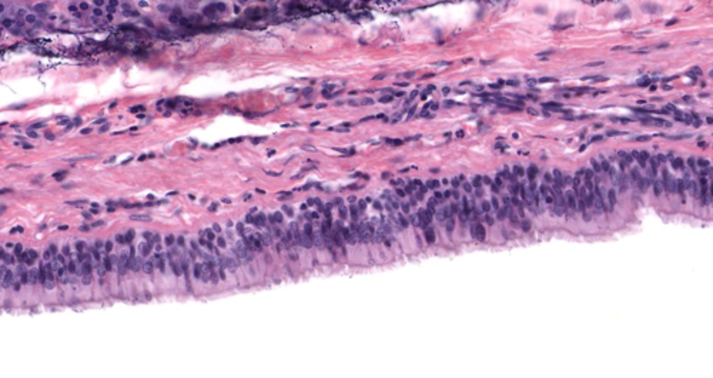
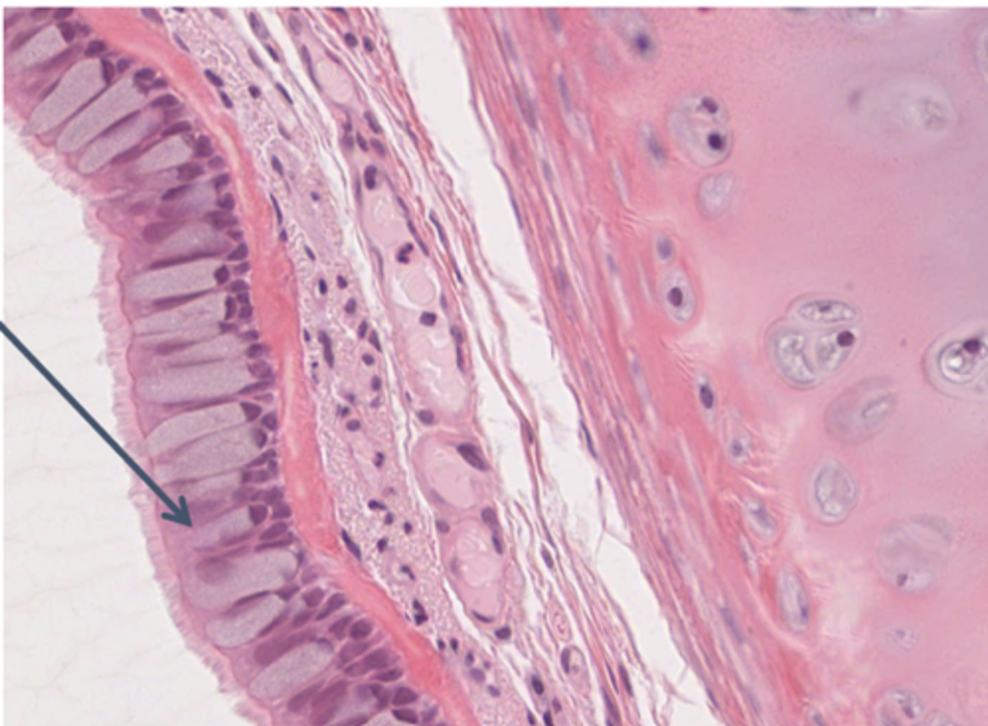
Classify the epithelium of the trachea
pseudostratified columnar ciliated with goblet cells

What is the name of this type of epithelium
respiratory epithelium

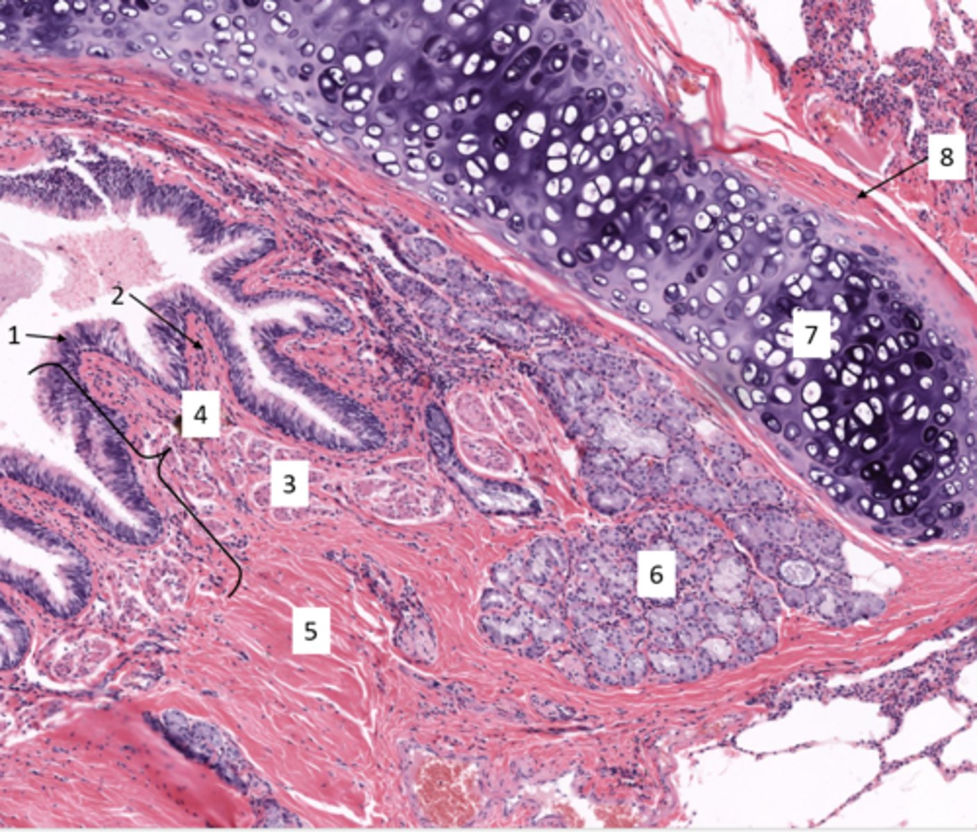
Identify the layer of the respiratory tract at 4
mucosa

Identify the layer of the respiratory tract at 2
lamina propria

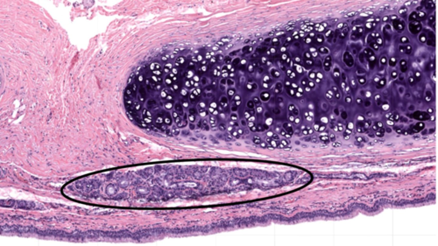
These glands are in which layer of the trachea?
submucosa

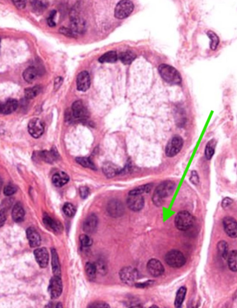
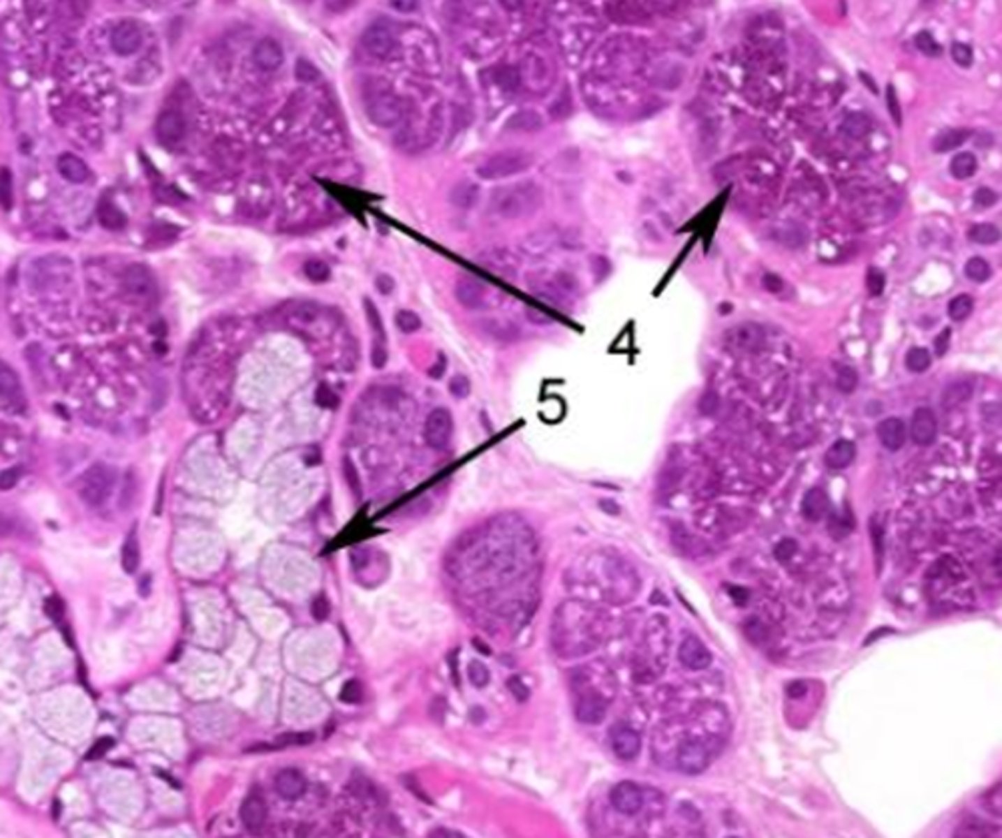
Identify the gland in the mucosa and submucosa
seromucous gland

Identify the cell at 5
mucous cells

Identify the cell at 4
serous cells

Identify the muscle and organ
trachealis muscle of the trachea

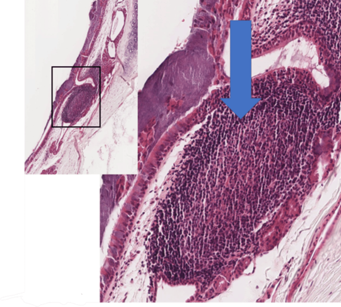
Identify the structure in the trachea
secondary lymph node

Identify the type of airway
bronchi

Identify this type of airway
bronchioles
T/F: Only bronchi have cartilage
true

Identify the type of bronchiole
terminal bronchioles

Identify the type of bronchiole
respiratory bronchioles

Identify the airway segment between the lines.
alveolar ducts

Identify the starred portion of the airway
alveolar sacs

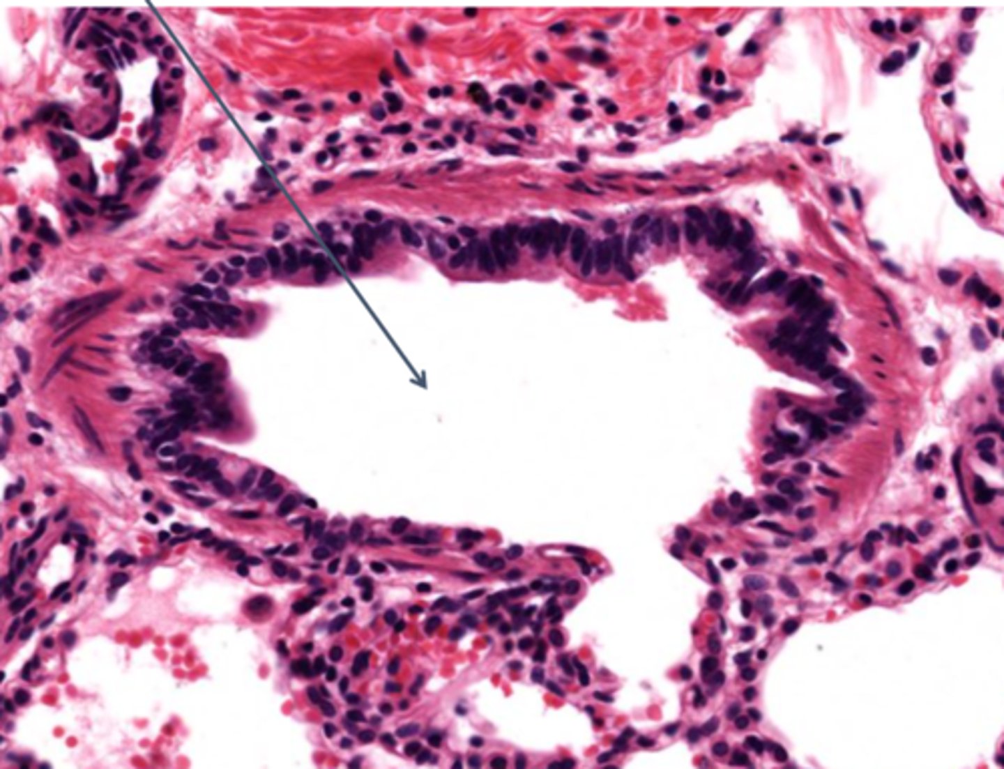
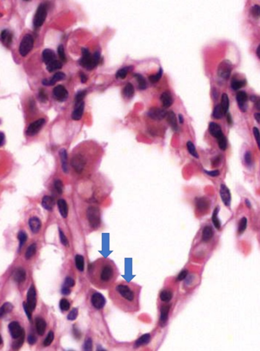
Identify these unattached cells in this alveolus
pulmonary alveolar macrophages

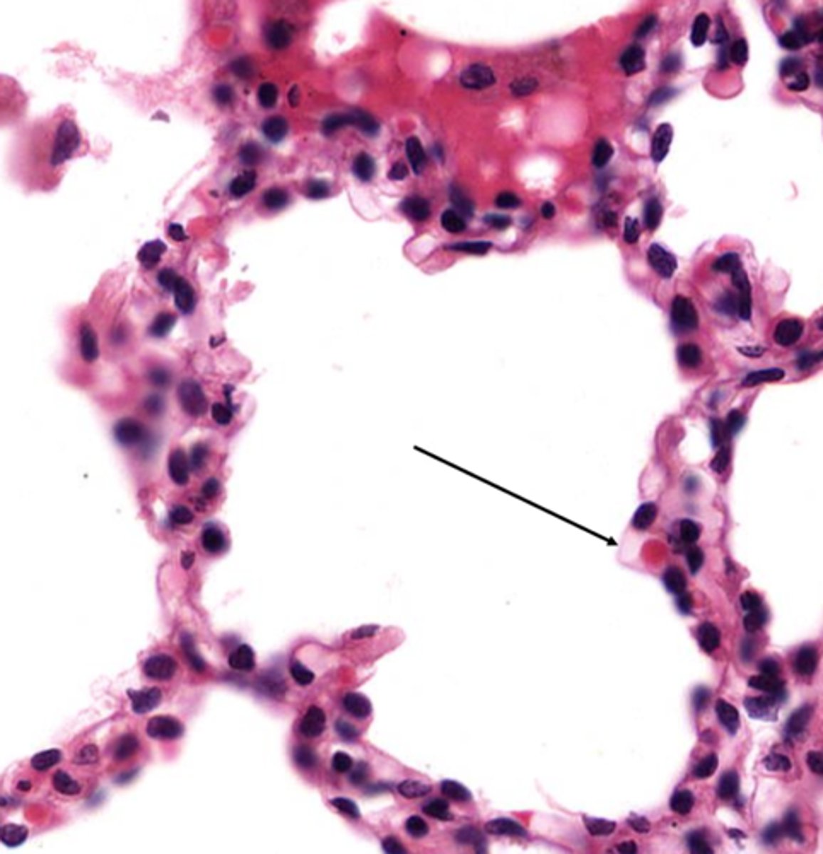
Name the barrier located here
blood air barrier
What cells make up the blood air barrier
type 1 pneumocyte and endothelial cells

Identify the part of the spinal cord
dorsal funiculi

Identify the part of the spinal cord
lateral funiculi

Identify the part of the spinal cord
ventral funiculi

Identify the part of the spinal cord
dorsal horn

Identify the part of the spinal cord
ventral horn

Identify the part of the spinal cord
dorsal root of spinal nerve

Identify the part of the spinal cord
ventral root of spinal nerve

What is the midline structure that separates the dorsal left and right halves of the white matter
dorsal median septum

What is the midline structure that separates the ventral left and right halves of the white matter
ventral median sulcus

Identify the section of the spinal cord that contains nuclei
gray matter

Identify the section of the spinal cord that contains nerve tracts
white matter

Identify the part of the spinal cord
central canal

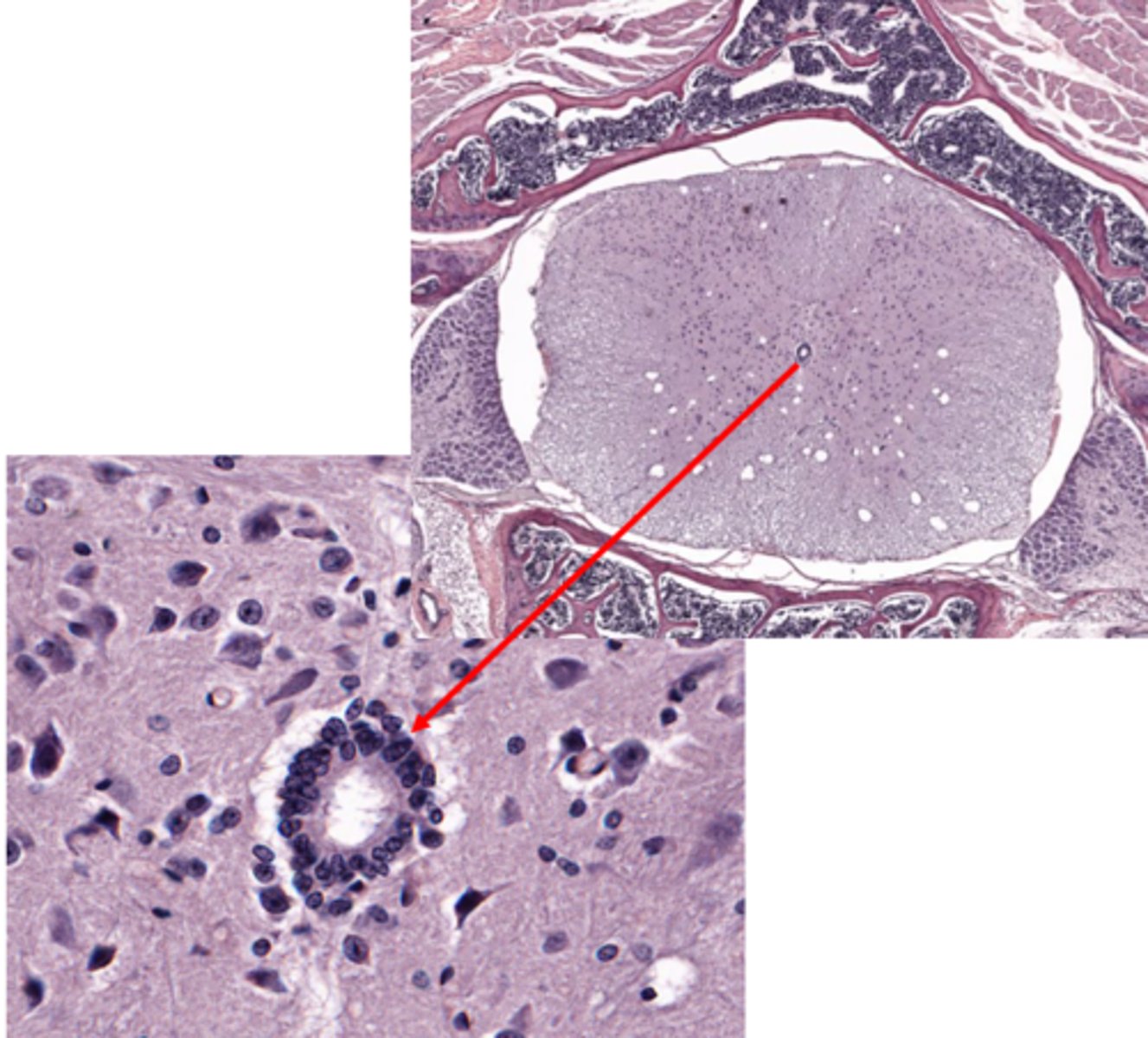
Identify the cells that line the ventricles of the brain and the central canal of the spinal cord
ependymal cells

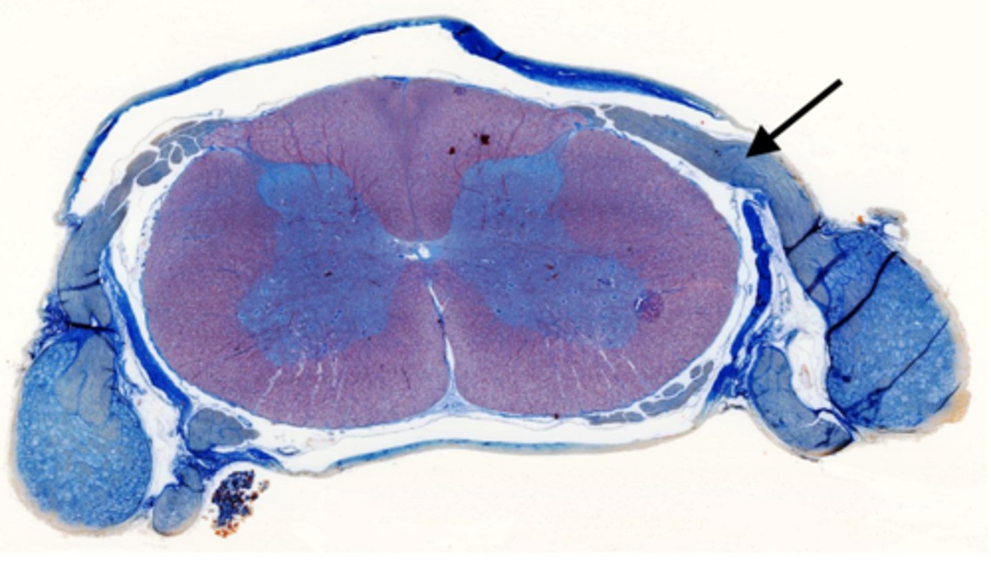
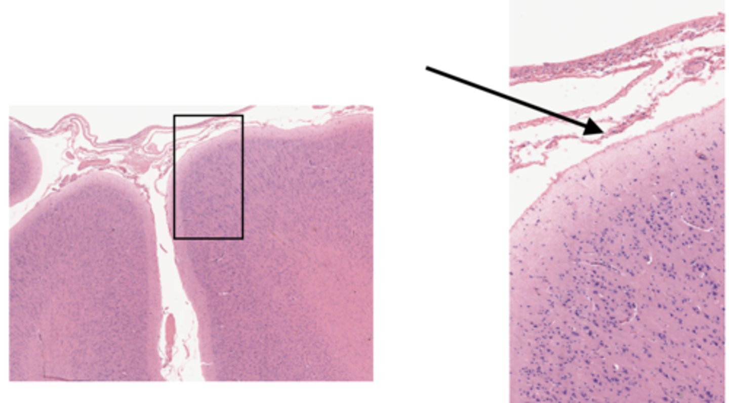
Identify the part of the meninges
pia mater

Identify the part of the meninges
arachnoid

Identify the part of the meninges
dura mater

Identify the part of the spinal cord
dorsal root ganglion

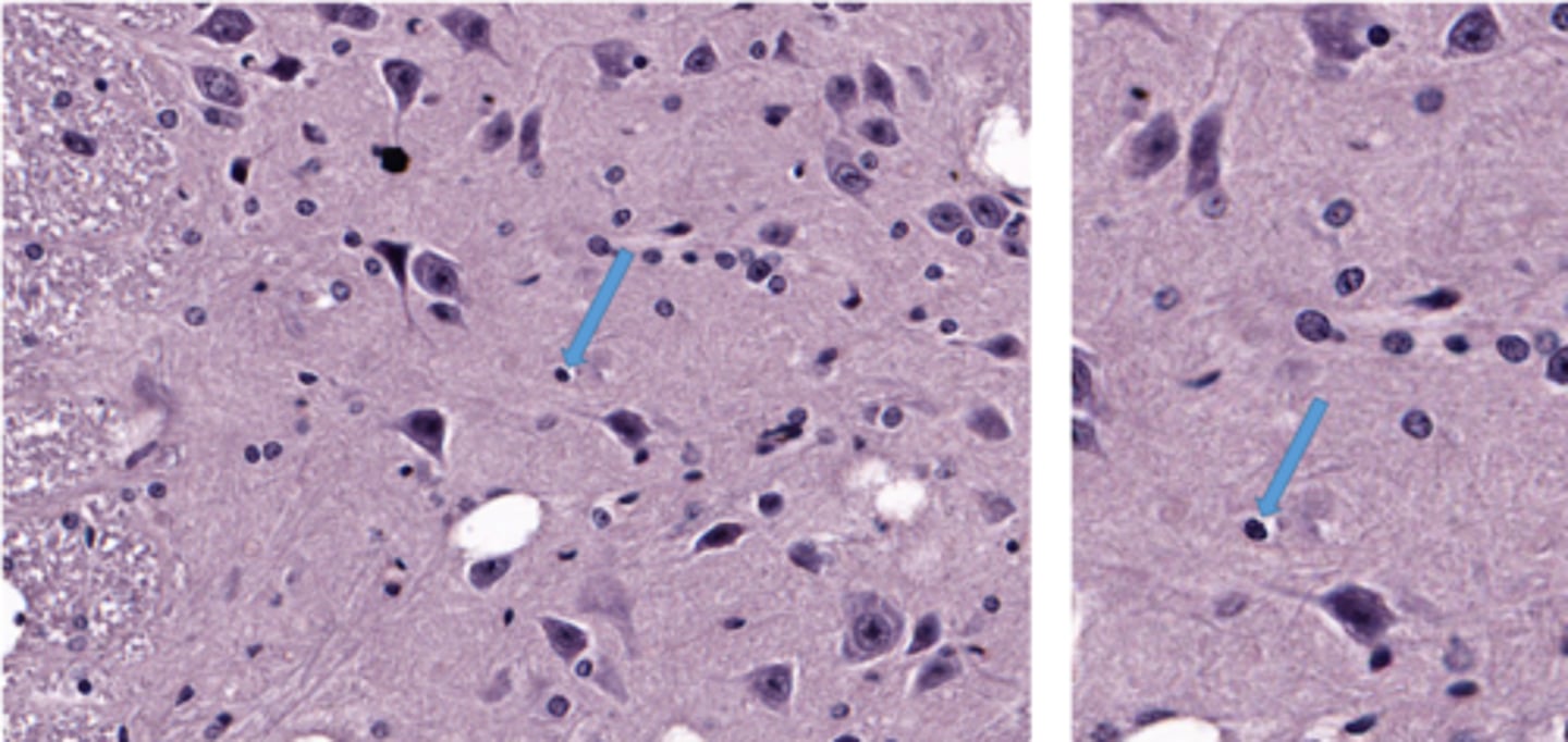
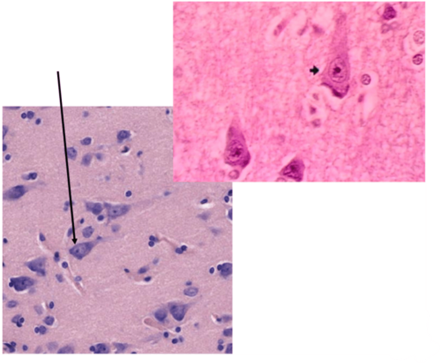
Identify this cell
purkinje cells in the brain

Identify the glial cell
oligodendrocyte

Identify the glial cell
astrocyte

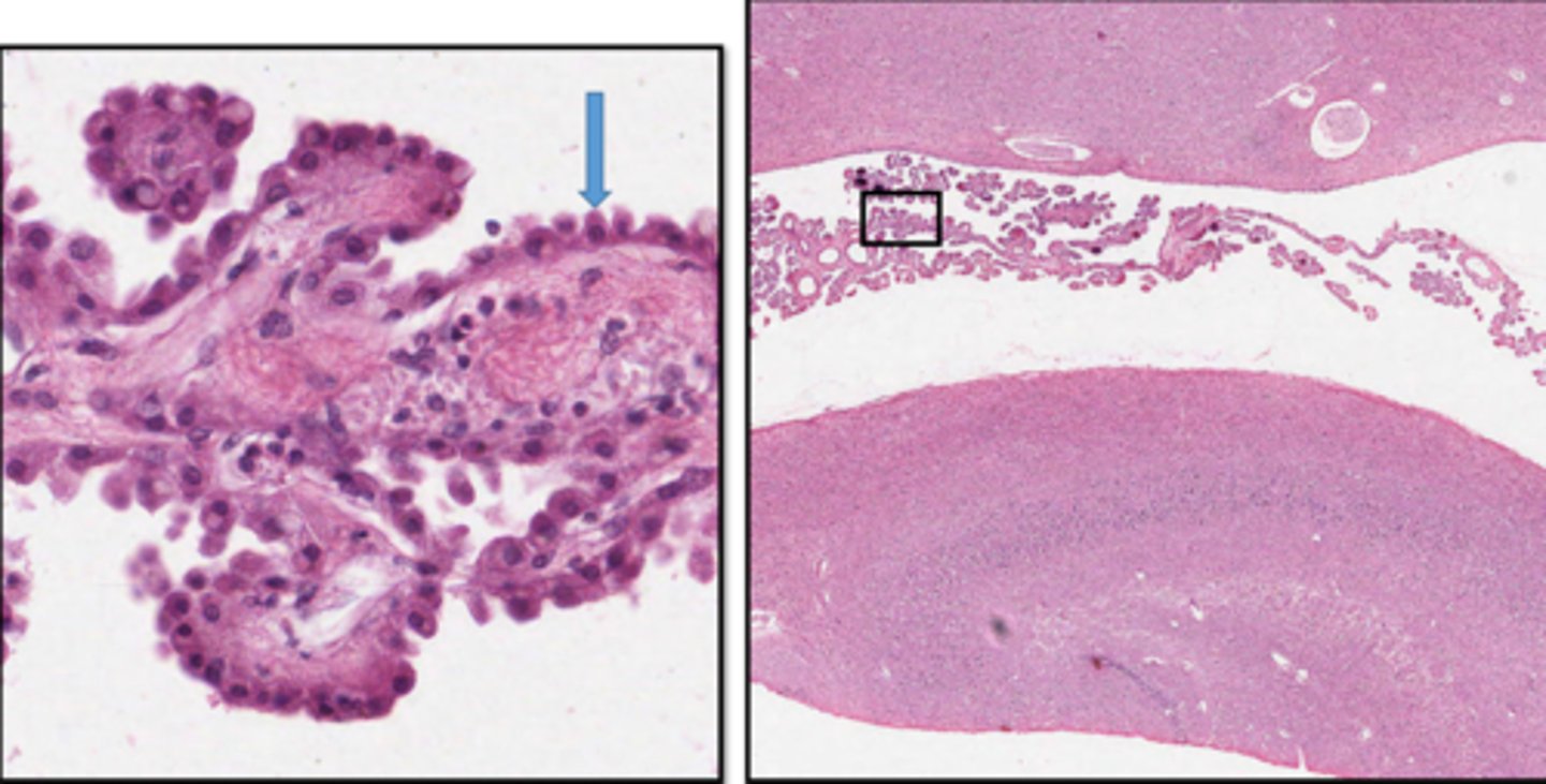
Identify the cuboidal cells on the surface of this choroid plexus
ependymal cell

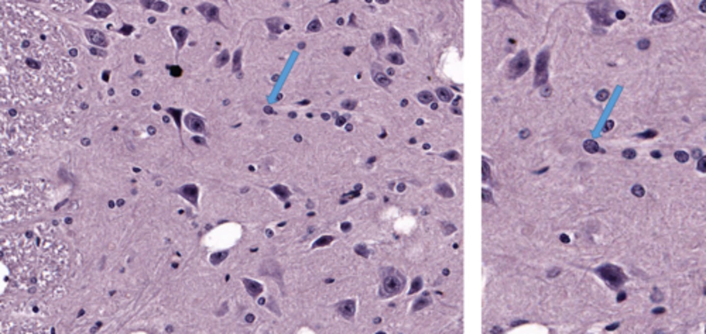
Identify the glial cell
microglial cell

The structure at the arrow represents the junction between adjacent cells of what type
schwann cell

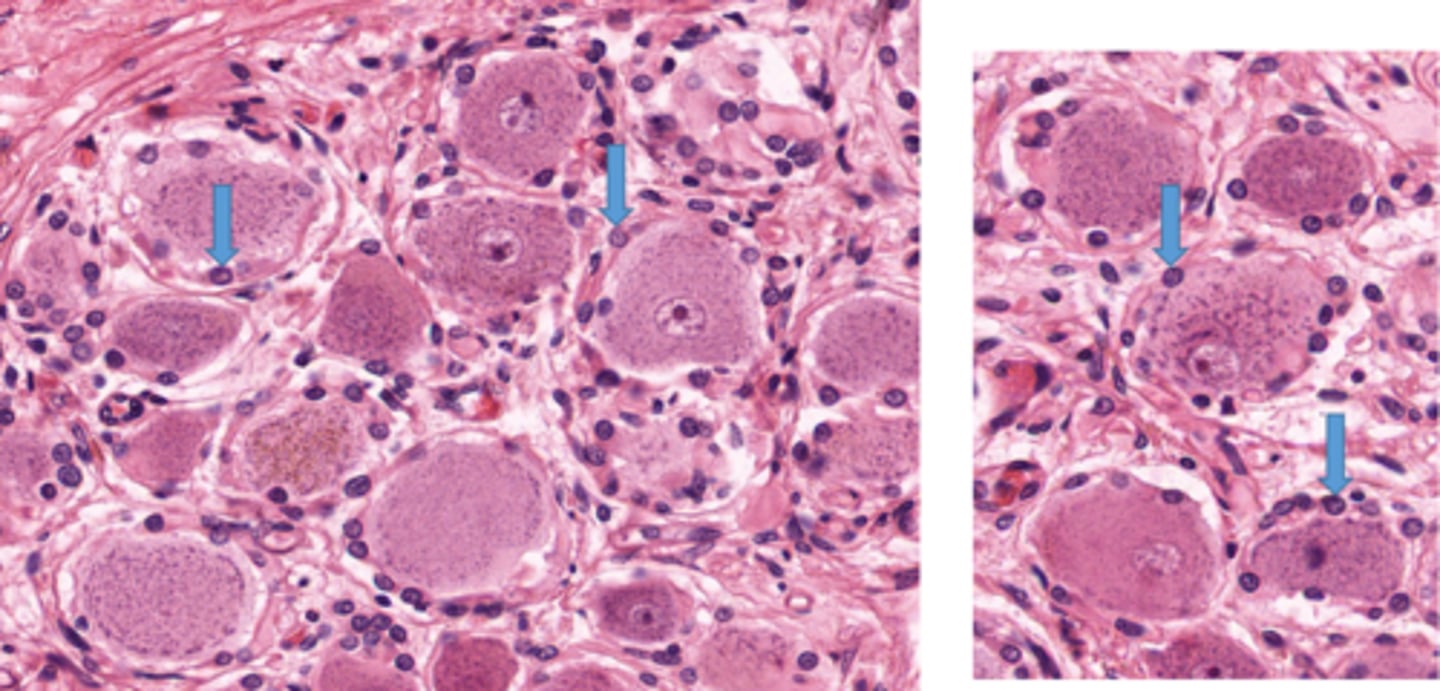
Identify this cell
satellite cell

Identify this cell
pyramidal cell

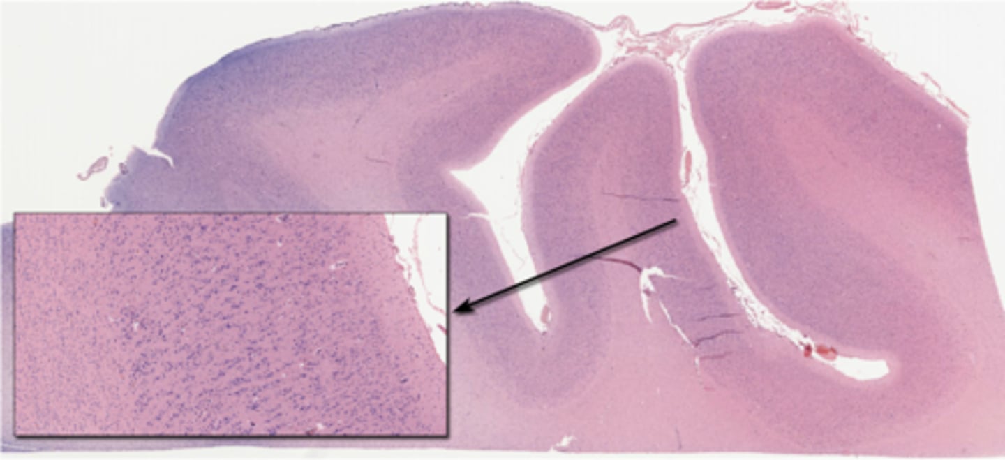
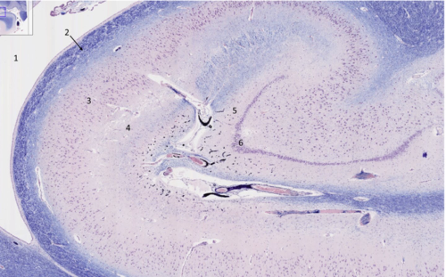
Identify the specific part of the brain
cerebrum

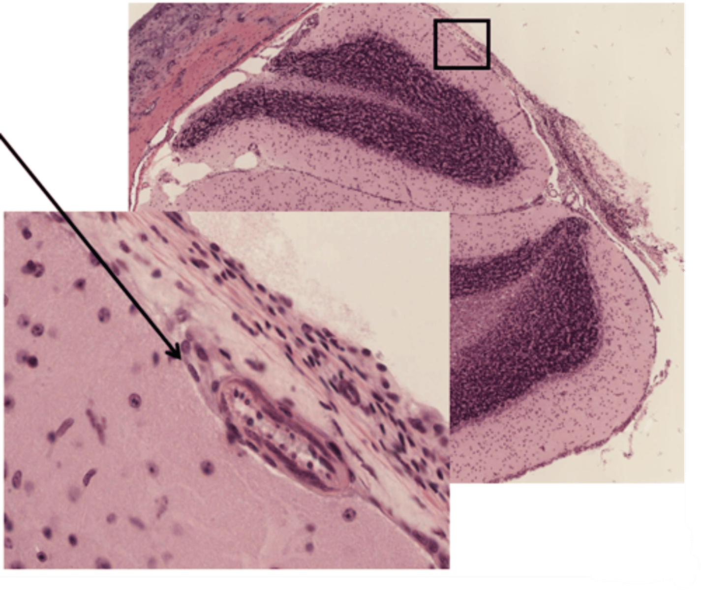
Identify the portion of the CNS
cerebellum

Identify the specific part of the brain in the inset
hippocampus

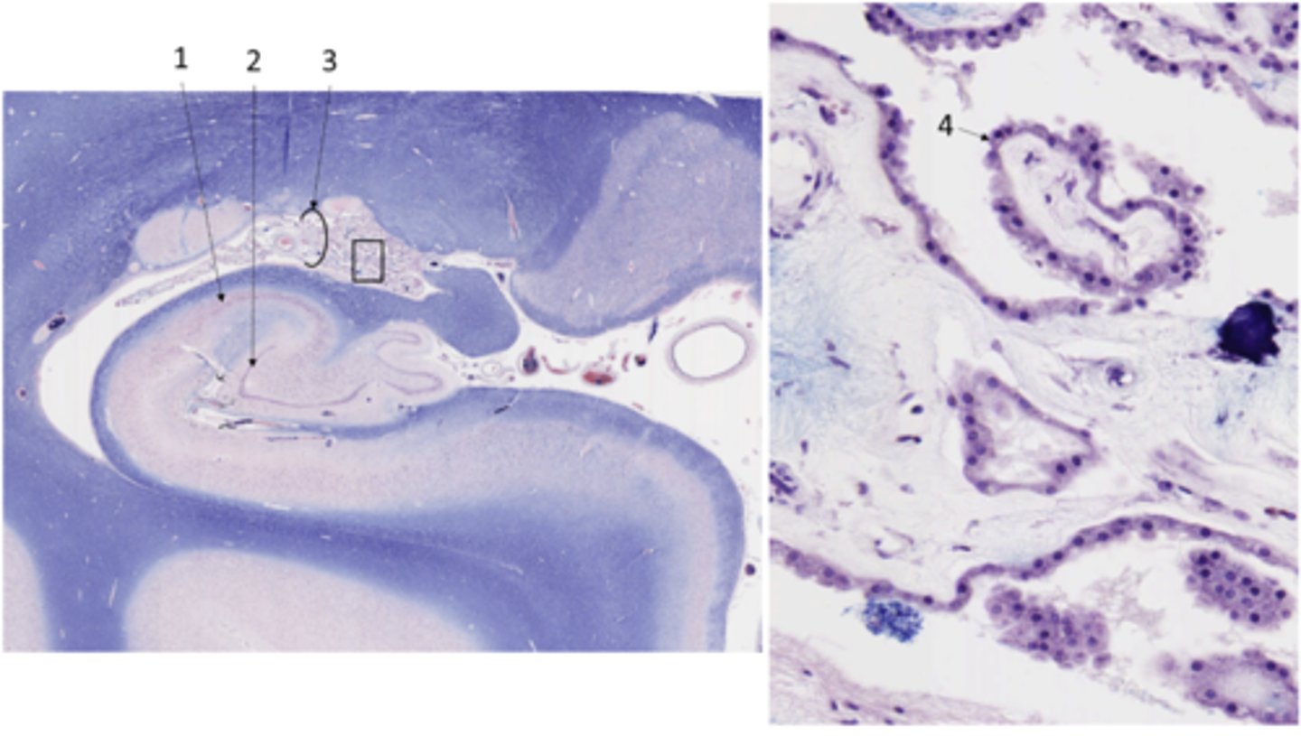
Identify the structure at 3 (enlarged at the right)
choroid plexus

Identify the layer of the cerebellum
molecular layer

Identify the layer of the cerebellum
white matter

Identify the layer of the cerebellum
purkinje layer

Identify the layer of the cerebellum
pia mater

Identify the layer of the cerebellum
granular layer

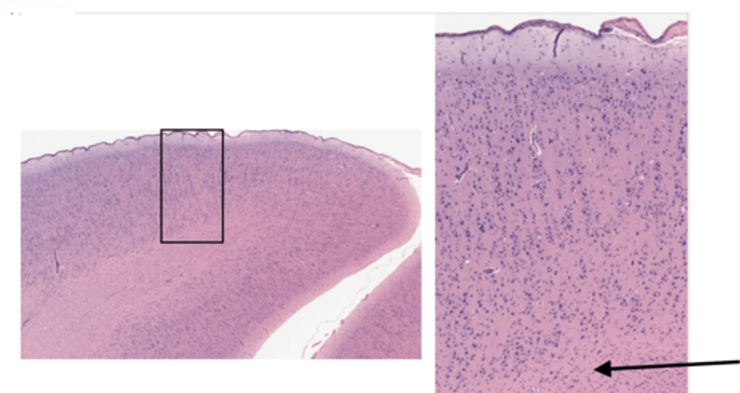
Identify the layer of the cerebrum
molecular layer

Identify the layer of the cerebrum
pia mater

Identify the layer of the cerebrum
arachnoid

Identify the layer of the cerebrum
pyramidal layer

Identify the layer of the cerebrum
white matter

Identify the cluster of neurons at the green arrows
nucleus of the brainstem

Identify the cluster of neurons circled
nucleus of the deep cerebellum

What part of the hippocampus is at 5 and 6
dentate gyrus

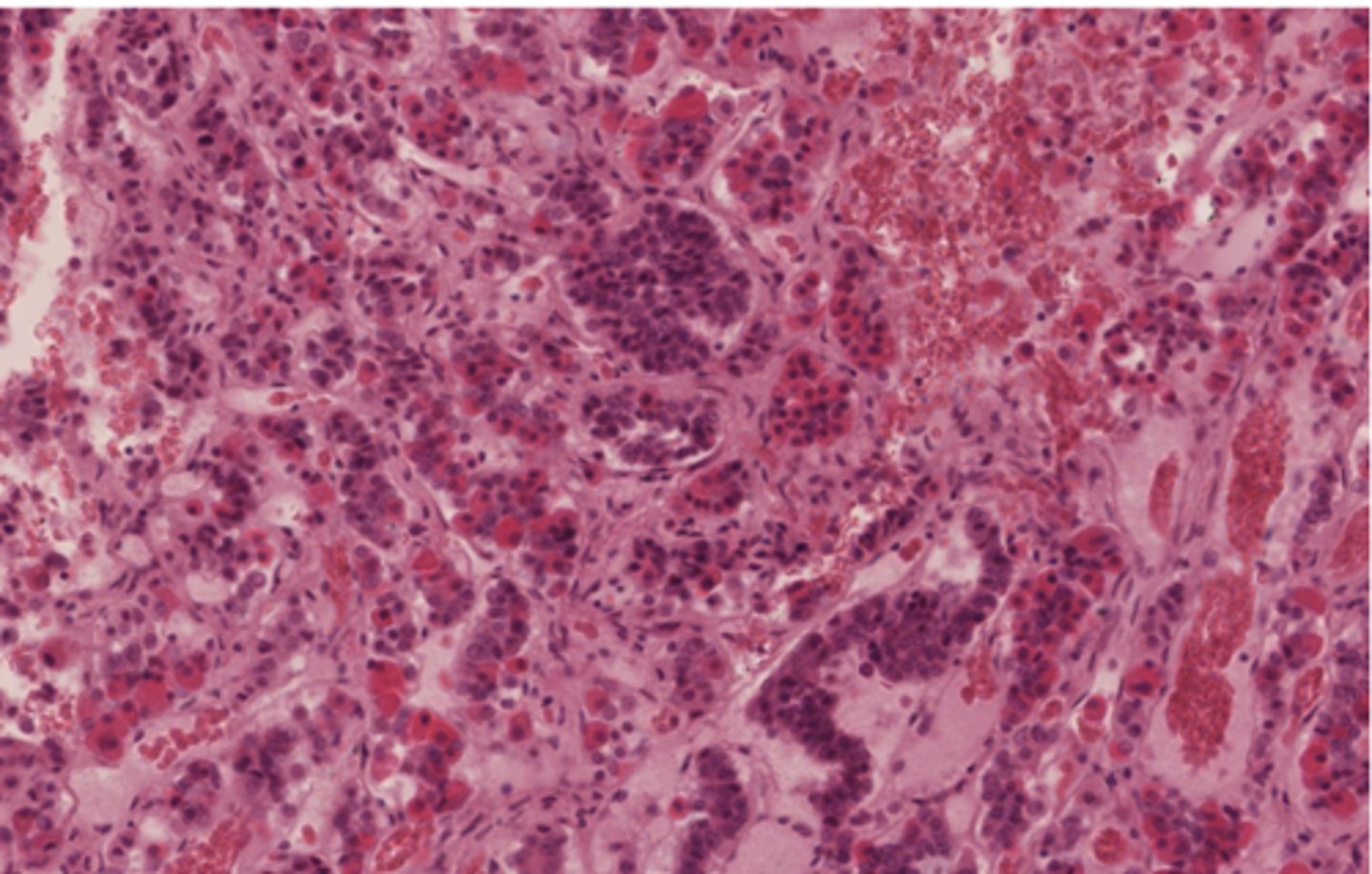
What are the hallmarks of endocrine organs?
cords and clusters of cells and extensive capillary network

Identify the organ
pituitary

Identify the organ
adrenal gland

Identify the organ
thyroid