1/22
Looks like no tags are added yet.
Name | Mastery | Learn | Test | Matching | Spaced |
|---|
No study sessions yet.
Hypertrophia myocardii
Cardiomyocytes with increased size.
The nuclei of the cells are also enlarged, slightly hyperchromatic, with "sharp" edges

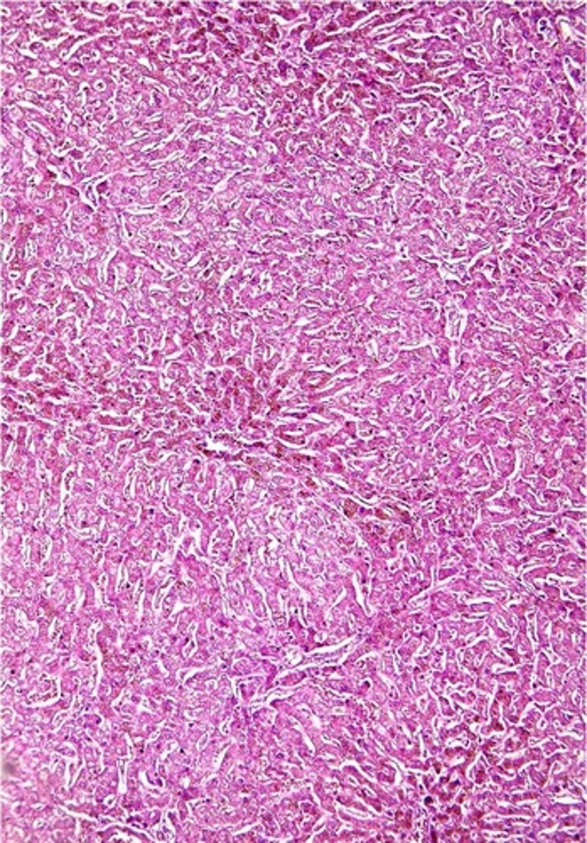
Atrophia fusca hepatis
On low magnification there is thinning of the liver plates and dilatation of the sinusoids.
On higher magnification (х20) are seen decreased in size hepatocytes with accumulation of golden-brown pigmented granules of lipofuscin.

Emphysema pulmonum
In chronic pulmonary emphysema the alveolar walls are thin and at some places ''disappeared'' (1). The alveolar ducts are dilated (2). Usually, the walls of the bronchi showed the morphological picture of chronic bronchitis (3). For that reason both diseases are called Chronic Obstructive Pulmonary Disease (COPD).

Degeneratio adiposa hepatis - stain sudan 3, HE

Anthracosis pulmonis

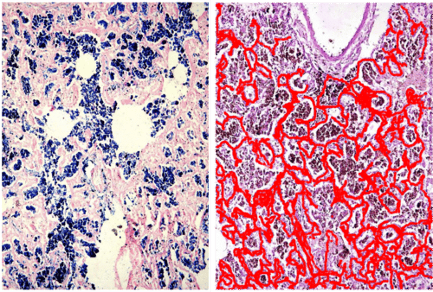
Haemosiderosis pulmonic - HE Staining, Perls
In chronic left-sided heart failure are seen: 1. Lots of spotty haemorrhagеs that caused haemosiderosis of lungs. 2. Diffuse intersticial fibrosis. This condition is grossly called - Induratio fusca pulmonum (brown induration of lungs). The alveolar walls are thick and marcophages laden with brown pigment -haemosiderin, called siderophages, are found in the alveoli or in the interstitium. Some special stain are used: Van Gieson stain, for fibrous tissue -collagen fibers are coloured in red. Perls stain for haemosiderin - the pigment is coloured in blue

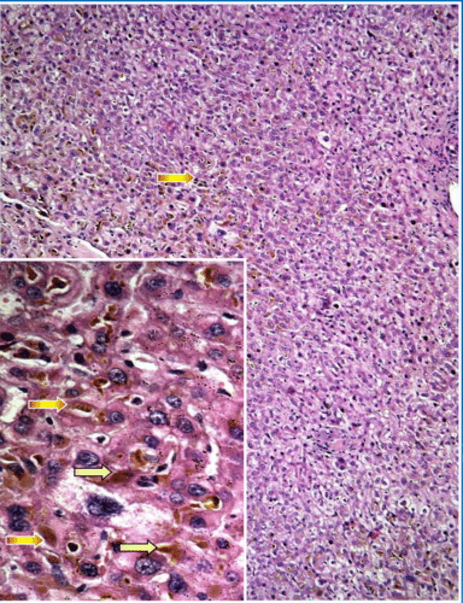
Icterus hepatis
In mechanical jaundice the retained bile is accumulated in the lumens of bile canaliculi and bile ductules in the portal tracks as yellow-brown ''plug''. Brown-yellow granules of direct bilirubin are found in the cytoplasm of hepathocytes and Kupffer cells (х 20) .

Nephrosclerosis arteriolosclerotica

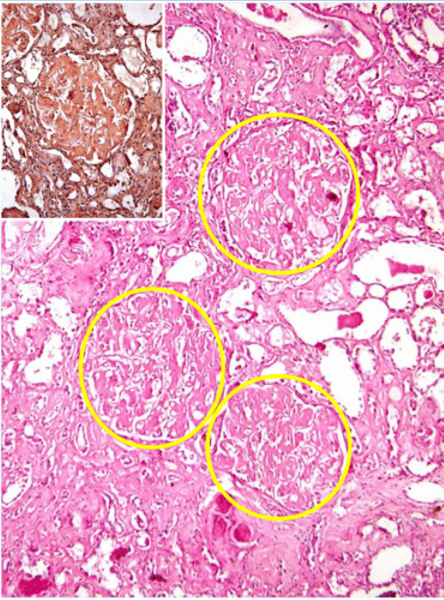
Amyloidosis renis

Trophi urici

Fatty Degeneration of liver

Sugar-coated spleen

Amyloidosis renis (Large white kidney)

Amyloidosis lienis (Sago spleen)

Hyperplasia of prostate gland

Macroglossia in acromegaly

Pulmonary emphysema and anthracosis

Hydrocephalus

Brain Haemorrhage

Anaemic infarction of spleen

Anaemic infarction of kidneys

Anaemic infarction of the brain

Postinfarction pseudocyst of the brain
